1例活动性牙周炎伴晚期种植周炎的康复治疗。微创入路]。

Revista Cientifica Odontologica Pub Date : 2022-06-27 eCollection Date: 2022-04-01 DOI:10.21142/2523-2754-1002-2022-113
Eduardo Anitua
{"title":"1例活动性牙周炎伴晚期种植周炎的康复治疗。微创入路]。","authors":"Eduardo Anitua","doi":"10.21142/2523-2754-1002-2022-113","DOIUrl":null,"url":null,"abstract":"<p><p>Periodontal disease (PD) is an oral pathology with a high prevalence worldwide. There are different treatments for periodontal disease, with the trend in recent years being towards minimally invasive treatments. In cases where implants cannot be treated predictably in the long term, we should also consider removing the implant using atraumatic methods and retreatment of the case. A point to be taken into account both for the insertion of a dental implant and for its maintenance after periimplantitis or for its replacement is the periodontal status of the patient. Periodontal disease can affect the prognosis of our treatment in this type of situation. In the following clinical case, we show the treatment of a patient affected by PD and periimplantitis with a minimally invasive approach.</p>","PeriodicalId":33326,"journal":{"name":"Revista Cientifica Odontologica","volume":"10 2","pages":"e113"},"PeriodicalIF":0.0000,"publicationDate":"2022-06-27","publicationTypes":"Journal Article","fieldsOfStudy":null,"isOpenAccess":false,"openAccessPdf":"https://www.ncbi.nlm.nih.gov/pmc/articles/PMC11641415/pdf/","citationCount":"0","resultStr":"{\"title\":\"[Rehabilitation of a case with active periodontitis and advanced perii-implantitis. Minimally invasive approach].\",\"authors\":\"Eduardo Anitua\",\"doi\":\"10.21142/2523-2754-1002-2022-113\",\"DOIUrl\":null,\"url\":null,\"abstract\":\"<p><p>Periodontal disease (PD) is an oral pathology with a high prevalence worldwide. There are different treatments for periodontal disease, with the trend in recent years being towards minimally invasive treatments. In cases where implants cannot be treated predictably in the long term, we should also consider removing the implant using atraumatic methods and retreatment of the case. A point to be taken into account both for the insertion of a dental implant and for its maintenance after periimplantitis or for its replacement is the periodontal status of the patient. Periodontal disease can affect the prognosis of our treatment in this type of situation. In the following clinical case, we show the treatment of a patient affected by PD and periimplantitis with a minimally invasive approach.</p>\",\"PeriodicalId\":33326,\"journal\":{\"name\":\"Revista Cientifica Odontologica\",\"volume\":\"10 2\",\"pages\":\"e113\"},\"PeriodicalIF\":0.0000,\"publicationDate\":\"2022-06-27\",\"publicationTypes\":\"Journal Article\",\"fieldsOfStudy\":null,\"isOpenAccess\":false,\"openAccessPdf\":\"https://www.ncbi.nlm.nih.gov/pmc/articles/PMC11641415/pdf/\",\"citationCount\":\"0\",\"resultStr\":null,\"platform\":\"Semanticscholar\",\"paperid\":null,\"PeriodicalName\":\"Revista Cientifica Odontologica\",\"FirstCategoryId\":\"1085\",\"ListUrlMain\":\"https://doi.org/10.21142/2523-2754-1002-2022-113\",\"RegionNum\":0,\"RegionCategory\":null,\"ArticlePicture\":[],\"TitleCN\":null,\"AbstractTextCN\":null,\"PMCID\":null,\"EPubDate\":\"2022/4/1 0:00:00\",\"PubModel\":\"eCollection\",\"JCR\":\"\",\"JCRName\":\"\",\"Score\":null,\"Total\":0}","platform":"Semanticscholar","paperid":null,"PeriodicalName":"Revista Cientifica Odontologica","FirstCategoryId":"1085","ListUrlMain":"https://doi.org/10.21142/2523-2754-1002-2022-113","RegionNum":0,"RegionCategory":null,"ArticlePicture":[],"TitleCN":null,"AbstractTextCN":null,"PMCID":null,"EPubDate":"2022/4/1 0:00:00","PubModel":"eCollection","JCR":"","JCRName":"","Score":null,"Total":0}
引用次数: 0

摘要

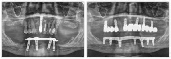
牙周病(PD)是一种世界范围内高发的口腔疾病。牙周病有不同的治疗方法,近年来的趋势是微创治疗。如果种植体不能长期治疗,我们也应该考虑使用非创伤性方法移除种植体并对该病例进行再治疗。在植入植牙体和在种植周炎后维持植牙体或更换植牙体时,需要考虑的一点是患者的牙周状况。在这种情况下,牙周病会影响我们治疗的预后。在以下的临床病例中,我们展示了一种微创方法治疗PD和种植周炎患者。
本文章由计算机程序翻译,如有差异,请以英文原文为准。

[Rehabilitation of a case with active periodontitis and advanced perii-implantitis. Minimally invasive approach].

[Rehabilitation of a case with active periodontitis and advanced perii-implantitis. Minimally invasive approach].

[Rehabilitation of a case with active periodontitis and advanced perii-implantitis. Minimally invasive approach].

[Rehabilitation of a case with active periodontitis and advanced perii-implantitis. Minimally invasive approach].

Periodontal disease (PD) is an oral pathology with a high prevalence worldwide. There are different treatments for periodontal disease, with the trend in recent years being towards minimally invasive treatments. In cases where implants cannot be treated predictably in the long term, we should also consider removing the implant using atraumatic methods and retreatment of the case. A point to be taken into account both for the insertion of a dental implant and for its maintenance after periimplantitis or for its replacement is the periodontal status of the patient. Periodontal disease can affect the prognosis of our treatment in this type of situation. In the following clinical case, we show the treatment of a patient affected by PD and periimplantitis with a minimally invasive approach.

求助全文
通过发布文献求助,成功后即可免费获取论文全文。 去求助
来源期刊
自引率
0.00%
发文量
43
审稿时长
20 weeks
×
引用
GB/T 7714-2015
复制
MLA
复制
APA
复制
导出至
BibTeX EndNote RefMan NoteFirst NoteExpress
×
提示
您的信息不完整,为了账户安全,请先补充。
现在去补充
×
提示
您因"违规操作"
具体请查看互助需知
我知道了
×
提示
确定
请完成安全验证×
copy
已复制链接
快去分享给好友吧!
我知道了
右上角分享
点击右上角分享
0
联系我们:info@booksci.cn Book学术提供免费学术资源搜索服务,方便国内外学者检索中英文文献。致力于提供最便捷和优质的服务体验。 Copyright © 2023 布克学术 All rights reserved.
京ICP备2023020795号-1
ghs 京公网安备 11010802042870号
Book学术文献互助
Book学术文献互助群
群 号:604180095
Book学术官方微信