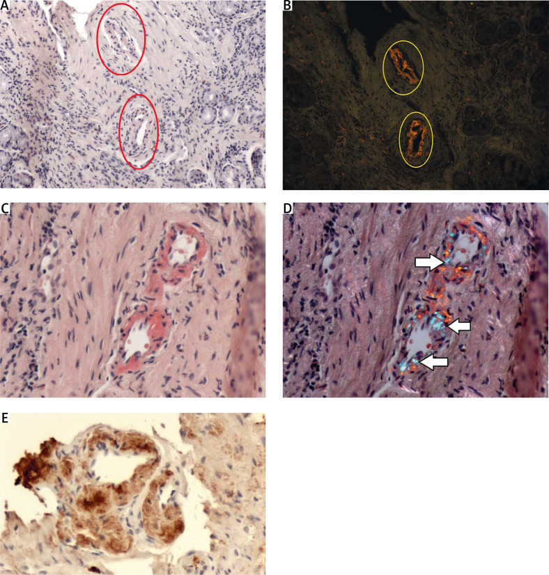
与碱性刚果红相比,苯酚刚果红对淀粉样蛋白的检出率更高。

IF 1.7 Q3 RHEUMATOLOGY
Reumatologia Pub Date : 2024-01-01 Epub Date: 2024-11-06 DOI:10.5114/reum/192390
Marta Legatowicz-Koprowska, Justyna Szczygieł, Małgorzata Mańczak, Ewa Walczak
{"title":"与碱性刚果红相比,苯酚刚果红对淀粉样蛋白的检出率更高。","authors":"Marta Legatowicz-Koprowska, Justyna Szczygieł, Małgorzata Mańczak, Ewa Walczak","doi":"10.5114/reum/192390","DOIUrl":null,"url":null,"abstract":"<p><strong>Introduction: </strong>Amyloidosis is a heterogeneous group of conditions associated with tissue deposition of insoluble abnormal proteins that damage vital organs. Early diagnosis, when the deposits are minimal, determines the prognosis and requires histological confirmation. The commonly adopted gold standard technique is alkaline Congo red (ACR) staining, though its sensitivity is limited. There is a need for a simple and inexpensive screening method offering a better chance of detecting minimal amyloid deposits. The aim of this study was to compare amyloid detectability with ACR and phenol Congo red (PHCR) staining techniques for early detection of minimal deposits.</p><p><strong>Material and methods: </strong>We assessed 452 tissue specimens (including adipose tissue, gastrointestinal mucosa, labial salivary gland, myocardium, and bone marrow) from 425 patients with clinically suspected systemic or local amyloidosis, which had been sent to the Pathology Laboratory of the National Institute of Geriatrics, Rheumatology and Rehabilitation in Warsaw. Adjacent sections from each specimen were stained with ACR and PHCR. If amyloid was detected, immunohistochemical typing was conducted. The consistency of the two staining methods was expressed as Cohen's κ coefficient.</p><p><strong>Results: </strong>A total of 169 tissue specimens (37%) yielded positive readings, with 93 cases ACR(+) and PHCR(+); 75 cases ACR(-) and PHCR(+), and 1 case ACR(+) and PHCR(-). The percentage agreement between the staining methods was 83%, with the Cohen's κ coefficient value of 0.60 (95% CI: 0.52-0.69), which corresponds to moderate agreement according to Fleiss. Additional immunohistochemical amyloid typing, conducted in ACR(-) and PHCR(+) specimens, yielded conclusive results in 82% of cases.</p><p><strong>Conclusions: </strong>The use of PHCR staining as a screening method in suspected amyloidosis improves amyloid (light chain, transthyretin, and amyloid A protein) detectability in various tissues. The PHCR staining specificity should be verified via electron microscopy and/or mass spectrometry.</p>","PeriodicalId":21312,"journal":{"name":"Reumatologia","volume":"62 5","pages":"338-345"},"PeriodicalIF":1.7000,"publicationDate":"2024-01-01","publicationTypes":"Journal Article","fieldsOfStudy":null,"isOpenAccess":false,"openAccessPdf":"https://www.ncbi.nlm.nih.gov/pmc/articles/PMC11635617/pdf/","citationCount":"0","resultStr":"{\"title\":\"Higher detectability of amyloid with phenol Congo red compared with alkaline Congo red.\",\"authors\":\"Marta Legatowicz-Koprowska, Justyna Szczygieł, Małgorzata Mańczak, Ewa Walczak\",\"doi\":\"10.5114/reum/192390\",\"DOIUrl\":null,\"url\":null,\"abstract\":\"<p><strong>Introduction: </strong>Amyloidosis is a heterogeneous group of conditions associated with tissue deposition of insoluble abnormal proteins that damage vital organs. Early diagnosis, when the deposits are minimal, determines the prognosis and requires histological confirmation. The commonly adopted gold standard technique is alkaline Congo red (ACR) staining, though its sensitivity is limited. There is a need for a simple and inexpensive screening method offering a better chance of detecting minimal amyloid deposits. The aim of this study was to compare amyloid detectability with ACR and phenol Congo red (PHCR) staining techniques for early detection of minimal deposits.</p><p><strong>Material and methods: </strong>We assessed 452 tissue specimens (including adipose tissue, gastrointestinal mucosa, labial salivary gland, myocardium, and bone marrow) from 425 patients with clinically suspected systemic or local amyloidosis, which had been sent to the Pathology Laboratory of the National Institute of Geriatrics, Rheumatology and Rehabilitation in Warsaw. Adjacent sections from each specimen were stained with ACR and PHCR. If amyloid was detected, immunohistochemical typing was conducted. The consistency of the two staining methods was expressed as Cohen's κ coefficient.</p><p><strong>Results: </strong>A total of 169 tissue specimens (37%) yielded positive readings, with 93 cases ACR(+) and PHCR(+); 75 cases ACR(-) and PHCR(+), and 1 case ACR(+) and PHCR(-). The percentage agreement between the staining methods was 83%, with the Cohen's κ coefficient value of 0.60 (95% CI: 0.52-0.69), which corresponds to moderate agreement according to Fleiss. Additional immunohistochemical amyloid typing, conducted in ACR(-) and PHCR(+) specimens, yielded conclusive results in 82% of cases.</p><p><strong>Conclusions: </strong>The use of PHCR staining as a screening method in suspected amyloidosis improves amyloid (light chain, transthyretin, and amyloid A protein) detectability in various tissues. The PHCR staining specificity should be verified via electron microscopy and/or mass spectrometry.</p>\",\"PeriodicalId\":21312,\"journal\":{\"name\":\"Reumatologia\",\"volume\":\"62 5\",\"pages\":\"338-345\"},\"PeriodicalIF\":1.7000,\"publicationDate\":\"2024-01-01\",\"publicationTypes\":\"Journal Article\",\"fieldsOfStudy\":null,\"isOpenAccess\":false,\"openAccessPdf\":\"https://www.ncbi.nlm.nih.gov/pmc/articles/PMC11635617/pdf/\",\"citationCount\":\"0\",\"resultStr\":null,\"platform\":\"Semanticscholar\",\"paperid\":null,\"PeriodicalName\":\"Reumatologia\",\"FirstCategoryId\":\"1085\",\"ListUrlMain\":\"https://doi.org/10.5114/reum/192390\",\"RegionNum\":0,\"RegionCategory\":null,\"ArticlePicture\":[],\"TitleCN\":null,\"AbstractTextCN\":null,\"PMCID\":null,\"EPubDate\":\"2024/11/6 0:00:00\",\"PubModel\":\"Epub\",\"JCR\":\"Q3\",\"JCRName\":\"RHEUMATOLOGY\",\"Score\":null,\"Total\":0}","platform":"Semanticscholar","paperid":null,"PeriodicalName":"Reumatologia","FirstCategoryId":"1085","ListUrlMain":"https://doi.org/10.5114/reum/192390","RegionNum":0,"RegionCategory":null,"ArticlePicture":[],"TitleCN":null,"AbstractTextCN":null,"PMCID":null,"EPubDate":"2024/11/6 0:00:00","PubModel":"Epub","JCR":"Q3","JCRName":"RHEUMATOLOGY","Score":null,"Total":0}
引用次数: 0

摘要

简介:淀粉样变性是一种异质性疾病,与不溶性异常蛋白的组织沉积有关,损害重要器官。早期诊断,当沉积物是最小的,决定预后,需要组织学证实。通常采用的金标准技术是碱性刚果红(ACR)染色,尽管其灵敏度有限。需要一种简单而廉价的筛查方法,以提供更好的机会检测最小的淀粉样蛋白沉积。本研究的目的是比较淀粉样蛋白检测与ACR和苯酚刚果红(PHCR)染色技术早期检测微量沉积物。材料和方法:我们评估了425例临床疑似全身性或局部淀粉样变性患者的452份组织标本(包括脂肪组织、胃肠黏膜、唇唾液腺、心肌和骨髓),这些标本已送往华沙国立老年病学、风湿病和康复研究所病理实验室。每个标本的相邻切片用ACR和PHCR染色。如果检测到淀粉样蛋白,则进行免疫组织化学分型。两种染色方法的一致性用Cohen’s κ系数表示。结果:169例组织标本(37%)呈阳性,其中ACR(+)和PHCR(+) 93例;ACR(-)和PHCR(+) 75例,ACR(+)和PHCR(-) 1例。两种染色方法的一致性百分比为83%,Cohen's κ系数值为0.60 (95% CI: 0.52-0.69),根据Fleiss,这对应于中度一致性。在ACR(-)和PHCR(+)标本中进行的额外免疫组织化学淀粉样蛋白分型在82%的病例中得出了结论性结果。结论:PHCR染色作为疑似淀粉样变性的筛查方法可提高各种组织中淀粉样蛋白(轻链、转甲状腺素和淀粉样蛋白a蛋白)的检出率。应通过电子显微镜和/或质谱法验证PHCR染色的特异性。
本文章由计算机程序翻译,如有差异,请以英文原文为准。

Higher detectability of amyloid with phenol Congo red compared with alkaline Congo red.

Higher detectability of amyloid with phenol Congo red compared with alkaline Congo red.

Higher detectability of amyloid with phenol Congo red compared with alkaline Congo red.

Higher detectability of amyloid with phenol Congo red compared with alkaline Congo red.

Introduction: Amyloidosis is a heterogeneous group of conditions associated with tissue deposition of insoluble abnormal proteins that damage vital organs. Early diagnosis, when the deposits are minimal, determines the prognosis and requires histological confirmation. The commonly adopted gold standard technique is alkaline Congo red (ACR) staining, though its sensitivity is limited. There is a need for a simple and inexpensive screening method offering a better chance of detecting minimal amyloid deposits. The aim of this study was to compare amyloid detectability with ACR and phenol Congo red (PHCR) staining techniques for early detection of minimal deposits.

Material and methods: We assessed 452 tissue specimens (including adipose tissue, gastrointestinal mucosa, labial salivary gland, myocardium, and bone marrow) from 425 patients with clinically suspected systemic or local amyloidosis, which had been sent to the Pathology Laboratory of the National Institute of Geriatrics, Rheumatology and Rehabilitation in Warsaw. Adjacent sections from each specimen were stained with ACR and PHCR. If amyloid was detected, immunohistochemical typing was conducted. The consistency of the two staining methods was expressed as Cohen's κ coefficient.

Results: A total of 169 tissue specimens (37%) yielded positive readings, with 93 cases ACR(+) and PHCR(+); 75 cases ACR(-) and PHCR(+), and 1 case ACR(+) and PHCR(-). The percentage agreement between the staining methods was 83%, with the Cohen's κ coefficient value of 0.60 (95% CI: 0.52-0.69), which corresponds to moderate agreement according to Fleiss. Additional immunohistochemical amyloid typing, conducted in ACR(-) and PHCR(+) specimens, yielded conclusive results in 82% of cases.

Conclusions: The use of PHCR staining as a screening method in suspected amyloidosis improves amyloid (light chain, transthyretin, and amyloid A protein) detectability in various tissues. The PHCR staining specificity should be verified via electron microscopy and/or mass spectrometry.

求助全文
通过发布文献求助,成功后即可免费获取论文全文。 去求助
来源期刊
Reumatologia
Reumatologia Medicine-Rheumatology
CiteScore
2.70
自引率
0.00%
发文量
44
审稿时长
10 weeks
×
引用
GB/T 7714-2015
复制
MLA
复制
APA
复制
导出至
BibTeX EndNote RefMan NoteFirst NoteExpress
×
提示
您的信息不完整,为了账户安全,请先补充。
现在去补充
×
提示
您因"违规操作"
具体请查看互助需知
我知道了
×
提示
确定
请完成安全验证×
copy
已复制链接
快去分享给好友吧!
我知道了
右上角分享
点击右上角分享
0
联系我们:info@booksci.cn Book学术提供免费学术资源搜索服务,方便国内外学者检索中英文文献。致力于提供最便捷和优质的服务体验。 Copyright © 2023 布克学术 All rights reserved.
京ICP备2023020795号-1
ghs 京公网安备 11010802042870号
Book学术文献互助
Book学术文献互助群
群 号:604180095
Book学术官方微信