治疗室性心动过速的立体定向心律失常射频消融术:临床试验回顾与成像的新作用。

IF 2 4区 医学 Q2 BIOLOGY
Mariko Kawamura, Masafumi Shimojo, Fuminari Tatsugami, Kenji Hirata, Shohei Fujita, Daiju Ueda, Yusuke Matsui, Yasutaka Fushimi, Tomoyuki Fujioka, Taiki Nozaki, Akira Yamada, Rintaro Ito, Noriyuki Fujima, Masahiro Yanagawa, Takeshi Nakaura, Takahiro Tsuboyama, Koji Kamagata, Shinji Naganawa
{"title":"治疗室性心动过速的立体定向心律失常射频消融术:临床试验回顾与成像的新作用。","authors":"Mariko Kawamura, Masafumi Shimojo, Fuminari Tatsugami, Kenji Hirata, Shohei Fujita, Daiju Ueda, Yusuke Matsui, Yasutaka Fushimi, Tomoyuki Fujioka, Taiki Nozaki, Akira Yamada, Rintaro Ito, Noriyuki Fujima, Masahiro Yanagawa, Takeshi Nakaura, Takahiro Tsuboyama, Koji Kamagata, Shinji Naganawa","doi":"10.1093/jrr/rrae090","DOIUrl":null,"url":null,"abstract":"<p><p>Ventricular tachycardia (VT) is a severe arrhythmia commonly treated with implantable cardioverter defibrillators, antiarrhythmic drugs and catheter ablation (CA). Although CA is effective in reducing recurrent VT, its impact on survival remains uncertain, especially in patients with extensive scarring. Stereotactic arrhythmia radioablation (STAR) has emerged as a novel treatment for VT in patients unresponsive to CA, leveraging techniques from stereotactic body radiation therapy used in cancer treatments. Recent clinical trials and case series have demonstrated the short-term efficacy and safety of STAR, although long-term outcomes remain unclear. Imaging techniques, such as electroanatomical mapping, contrast-enhanced magnetic resonance imaging and nuclear imaging, play a crucial role in treatment planning by identifying VT substrates and guiding target delineation. However, challenges persist owing to the complex anatomy and variability in target volume definitions. Advances in imaging and artificial intelligence are expected to improve the precision and efficacy of STAR. The exact mechanisms underlying the antiarrhythmic effects of STAR, including potential fibrosis and improvement in cardiac conduction, are still being explored. Despite its potential, STAR should be cautiously applied in prospective clinical trials, with a focus on optimizing dose delivery and understanding long-term outcomes. Collaborative efforts are necessary to standardize treatment strategies and enhance the quality of life for patients with refractory VT.</p>","PeriodicalId":16922,"journal":{"name":"Journal of Radiation Research","volume":" ","pages":"1-9"},"PeriodicalIF":2.0000,"publicationDate":"2025-01-22","publicationTypes":"Journal Article","fieldsOfStudy":null,"isOpenAccess":false,"openAccessPdf":"https://www.ncbi.nlm.nih.gov/pmc/articles/PMC11753837/pdf/","citationCount":"0","resultStr":"{\"title\":\"Stereotactic arrhythmia radioablation for ventricular tachycardia: a review of clinical trials and emerging roles of imaging.\",\"authors\":\"Mariko Kawamura, Masafumi Shimojo, Fuminari Tatsugami, Kenji Hirata, Shohei Fujita, Daiju Ueda, Yusuke Matsui, Yasutaka Fushimi, Tomoyuki Fujioka, Taiki Nozaki, Akira Yamada, Rintaro Ito, Noriyuki Fujima, Masahiro Yanagawa, Takeshi Nakaura, Takahiro Tsuboyama, Koji Kamagata, Shinji Naganawa\",\"doi\":\"10.1093/jrr/rrae090\",\"DOIUrl\":null,\"url\":null,\"abstract\":\"<p><p>Ventricular tachycardia (VT) is a severe arrhythmia commonly treated with implantable cardioverter defibrillators, antiarrhythmic drugs and catheter ablation (CA). Although CA is effective in reducing recurrent VT, its impact on survival remains uncertain, especially in patients with extensive scarring. Stereotactic arrhythmia radioablation (STAR) has emerged as a novel treatment for VT in patients unresponsive to CA, leveraging techniques from stereotactic body radiation therapy used in cancer treatments. Recent clinical trials and case series have demonstrated the short-term efficacy and safety of STAR, although long-term outcomes remain unclear. Imaging techniques, such as electroanatomical mapping, contrast-enhanced magnetic resonance imaging and nuclear imaging, play a crucial role in treatment planning by identifying VT substrates and guiding target delineation. However, challenges persist owing to the complex anatomy and variability in target volume definitions. Advances in imaging and artificial intelligence are expected to improve the precision and efficacy of STAR. The exact mechanisms underlying the antiarrhythmic effects of STAR, including potential fibrosis and improvement in cardiac conduction, are still being explored. Despite its potential, STAR should be cautiously applied in prospective clinical trials, with a focus on optimizing dose delivery and understanding long-term outcomes. Collaborative efforts are necessary to standardize treatment strategies and enhance the quality of life for patients with refractory VT.</p>\",\"PeriodicalId\":16922,\"journal\":{\"name\":\"Journal of Radiation Research\",\"volume\":\" \",\"pages\":\"1-9\"},\"PeriodicalIF\":2.0000,\"publicationDate\":\"2025-01-22\",\"publicationTypes\":\"Journal Article\",\"fieldsOfStudy\":null,\"isOpenAccess\":false,\"openAccessPdf\":\"https://www.ncbi.nlm.nih.gov/pmc/articles/PMC11753837/pdf/\",\"citationCount\":\"0\",\"resultStr\":null,\"platform\":\"Semanticscholar\",\"paperid\":null,\"PeriodicalName\":\"Journal of Radiation Research\",\"FirstCategoryId\":\"3\",\"ListUrlMain\":\"https://doi.org/10.1093/jrr/rrae090\",\"RegionNum\":4,\"RegionCategory\":\"医学\",\"ArticlePicture\":[],\"TitleCN\":null,\"AbstractTextCN\":null,\"PMCID\":null,\"EPubDate\":\"\",\"PubModel\":\"\",\"JCR\":\"Q2\",\"JCRName\":\"BIOLOGY\",\"Score\":null,\"Total\":0}","platform":"Semanticscholar","paperid":null,"PeriodicalName":"Journal of Radiation Research","FirstCategoryId":"3","ListUrlMain":"https://doi.org/10.1093/jrr/rrae090","RegionNum":4,"RegionCategory":"医学","ArticlePicture":[],"TitleCN":null,"AbstractTextCN":null,"PMCID":null,"EPubDate":"","PubModel":"","JCR":"Q2","JCRName":"BIOLOGY","Score":null,"Total":0}
引用次数: 0

摘要

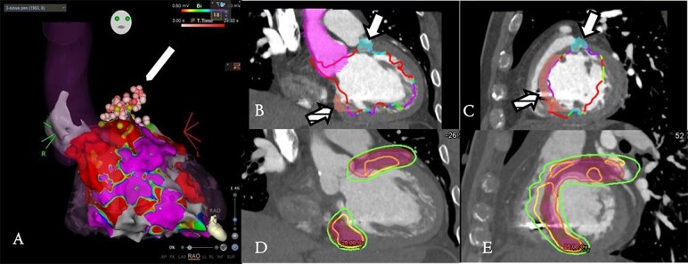
室性心动过速(VT)是一种严重的心律失常,通常采用植入式心律转复除颤器、抗心律失常药物和导管消融术(CA)进行治疗。虽然导管消融术能有效减少复发性 VT,但其对存活率的影响仍不确定,尤其是在有广泛瘢痕的患者中。立体定向心律失常射频消融术(STAR)利用用于癌症治疗的立体定向体放射治疗技术,已成为治疗对 CA 无反应患者 VT 的一种新型疗法。最近的临床试验和病例系列证明了 STAR 的短期疗效和安全性,但长期疗效仍不明确。电解剖图、造影剂增强磁共振成像和核成像等成像技术在治疗规划中起着至关重要的作用,它们能识别 VT 基底面并指导靶点的划分。然而,由于复杂的解剖结构和靶区定义的多变性,挑战依然存在。成像和人工智能的进步有望提高 STAR 的精确度和疗效。STAR 抗心律失常作用的确切机制,包括潜在的纤维化和心脏传导的改善,仍在探索之中。尽管 STAR 潜力巨大,但仍应在前瞻性临床试验中谨慎应用,重点是优化剂量给药和了解长期疗效。有必要开展合作,以规范治疗策略,提高难治性 VT 患者的生活质量。
本文章由计算机程序翻译,如有差异,请以英文原文为准。

Stereotactic arrhythmia radioablation for ventricular tachycardia: a review of clinical trials and emerging roles of imaging.

Stereotactic arrhythmia radioablation for ventricular tachycardia: a review of clinical trials and emerging roles of imaging.

Ventricular tachycardia (VT) is a severe arrhythmia commonly treated with implantable cardioverter defibrillators, antiarrhythmic drugs and catheter ablation (CA). Although CA is effective in reducing recurrent VT, its impact on survival remains uncertain, especially in patients with extensive scarring. Stereotactic arrhythmia radioablation (STAR) has emerged as a novel treatment for VT in patients unresponsive to CA, leveraging techniques from stereotactic body radiation therapy used in cancer treatments. Recent clinical trials and case series have demonstrated the short-term efficacy and safety of STAR, although long-term outcomes remain unclear. Imaging techniques, such as electroanatomical mapping, contrast-enhanced magnetic resonance imaging and nuclear imaging, play a crucial role in treatment planning by identifying VT substrates and guiding target delineation. However, challenges persist owing to the complex anatomy and variability in target volume definitions. Advances in imaging and artificial intelligence are expected to improve the precision and efficacy of STAR. The exact mechanisms underlying the antiarrhythmic effects of STAR, including potential fibrosis and improvement in cardiac conduction, are still being explored. Despite its potential, STAR should be cautiously applied in prospective clinical trials, with a focus on optimizing dose delivery and understanding long-term outcomes. Collaborative efforts are necessary to standardize treatment strategies and enhance the quality of life for patients with refractory VT.

求助全文
通过发布文献求助,成功后即可免费获取论文全文。 去求助
来源期刊
CiteScore
3.60
自引率
5.00%
发文量
86
审稿时长
4-8 weeks
期刊介绍: The Journal of Radiation Research (JRR) is an official journal of The Japanese Radiation Research Society (JRRS), and the Japanese Society for Radiation Oncology (JASTRO). Since its launch in 1960 as the official journal of the JRRS, the journal has published scientific articles in radiation science in biology, chemistry, physics, epidemiology, and environmental sciences. JRR broadened its scope to include oncology in 2009, when JASTRO partnered with the JRRS to publish the journal. Articles considered fall into two broad categories: Oncology & Medicine - including all aspects of research with patients that impacts on the treatment of cancer using radiation. Papers which cover related radiation therapies, radiation dosimetry, and those describing the basis for treatment methods including techniques, are also welcomed. Clinical case reports are not acceptable. Radiation Research - basic science studies of radiation effects on livings in the area of physics, chemistry, biology, epidemiology and environmental sciences. Please be advised that JRR does not accept any papers of pure physics or chemistry. The journal is bimonthly, and is edited and published by the JRR Editorial Committee.
×
引用
GB/T 7714-2015
复制
MLA
复制
APA
复制
导出至
BibTeX EndNote RefMan NoteFirst NoteExpress
×
提示
您的信息不完整,为了账户安全,请先补充。
现在去补充
×
提示
您因"违规操作"
具体请查看互助需知
我知道了
×
提示
确定
请完成安全验证×
copy
已复制链接
快去分享给好友吧!
我知道了
右上角分享
点击右上角分享
0
联系我们:info@booksci.cn Book学术提供免费学术资源搜索服务,方便国内外学者检索中英文文献。致力于提供最便捷和优质的服务体验。 Copyright © 2023 布克学术 All rights reserved.
京ICP备2023020795号-1
ghs 京公网安备 11010802042870号
Book学术文献互助
Book学术文献互助群
群 号:604180095
Book学术官方微信