DNMT3a 下调触发 mPFC 中 GABAA 受体的上调,促进雄性小鼠紫杉醇诱发的疼痛和焦虑。

IF 14.1 1区 材料科学 Q1 CHEMISTRY, MULTIDISCIPLINARY
Lixia Tian, Xu-Hui Li, Yu-Long Zhao, Hui-Yuan Yi, Xue-Ru Liu, Rongrong Yao, Xue-Mei Hou, Xuan Zhu, Fu-Quan Huo, Tao Chen, Lingli Liang
{"title":"DNMT3a 下调触发 mPFC 中 GABAA 受体的上调,促进雄性小鼠紫杉醇诱发的疼痛和焦虑。","authors":"Lixia Tian,&nbsp;Xu-Hui Li,&nbsp;Yu-Long Zhao,&nbsp;Hui-Yuan Yi,&nbsp;Xue-Ru Liu,&nbsp;Rongrong Yao,&nbsp;Xue-Mei Hou,&nbsp;Xuan Zhu,&nbsp;Fu-Quan Huo,&nbsp;Tao Chen,&nbsp;Lingli Liang","doi":"10.1002/advs.202407387","DOIUrl":null,"url":null,"abstract":"<p>Chemotherapeutic agents, such as paclitaxel (PTX), induce neuroplastic changes and alter gene expression in the prefrontal cortex (PFC), which may be associated with chemotherapy-induced pain and negative emotions. Notably, DNA methylation undergoes adaptive changes in neurological disorders, emerging as a promising target for neuromodulation. In this study, systemic administration of PTX leads to a decrease in the expression of the DNA methyltransferase DNMT3a, while concurrently upregulating the expression of <i>Gabrb1</i> mRNA and its encoded GABA<sub>A</sub>Rβ1 protein in the medial PFC (mPFC) of male mice. Overexpression of DNMT3a in the mPFC alleviates PTX-induced pain hypersensitivity, and anxiety-like behavior in these mice. Additionally, it reverses the PTX-induced increase in inhibitory synaptic transmission in the pyramidal neurons of the mPFC. Mechanistically, the upregulation of GABA<sub>A</sub>Rβ1 in the mPFC is linked to the reduced expression of DNMT3a and DNA hypomethylation at the promoter region of the <i>Gabrb1</i> gene. Furthermore, a long-term diet rich in methyl donors alleviates PTX-induced pain hypersensitivity and anxiety-like behavior in mice. These findings suggest that the DNMT3a-mediated upregulation of GABA<sub>A</sub>Rβ1 in the mPFC contributes to PTX-induced neuropathic pain and anxiety, highlighting DNA methylation-dependent epigenetic regulation as a potential therapeutic target for addressing chemotherapy-induced cortical dysfunction.</p>","PeriodicalId":117,"journal":{"name":"Advanced Science","volume":"12 5","pages":""},"PeriodicalIF":14.1000,"publicationDate":"2024-12-16","publicationTypes":"Journal Article","fieldsOfStudy":null,"isOpenAccess":false,"openAccessPdf":"https://onlinelibrary.wiley.com/doi/epdf/10.1002/advs.202407387","citationCount":"0","resultStr":"{\"title\":\"DNMT3a Downregulation Ttriggered Upregulation of GABAA Receptor in the mPFC Promotes Paclitaxel-Induced Pain and Anxiety in Male Mice\",\"authors\":\"Lixia Tian,&nbsp;Xu-Hui Li,&nbsp;Yu-Long Zhao,&nbsp;Hui-Yuan Yi,&nbsp;Xue-Ru Liu,&nbsp;Rongrong Yao,&nbsp;Xue-Mei Hou,&nbsp;Xuan Zhu,&nbsp;Fu-Quan Huo,&nbsp;Tao Chen,&nbsp;Lingli Liang\",\"doi\":\"10.1002/advs.202407387\",\"DOIUrl\":null,\"url\":null,\"abstract\":\"<p>Chemotherapeutic agents, such as paclitaxel (PTX), induce neuroplastic changes and alter gene expression in the prefrontal cortex (PFC), which may be associated with chemotherapy-induced pain and negative emotions. Notably, DNA methylation undergoes adaptive changes in neurological disorders, emerging as a promising target for neuromodulation. In this study, systemic administration of PTX leads to a decrease in the expression of the DNA methyltransferase DNMT3a, while concurrently upregulating the expression of <i>Gabrb1</i> mRNA and its encoded GABA<sub>A</sub>Rβ1 protein in the medial PFC (mPFC) of male mice. Overexpression of DNMT3a in the mPFC alleviates PTX-induced pain hypersensitivity, and anxiety-like behavior in these mice. Additionally, it reverses the PTX-induced increase in inhibitory synaptic transmission in the pyramidal neurons of the mPFC. Mechanistically, the upregulation of GABA<sub>A</sub>Rβ1 in the mPFC is linked to the reduced expression of DNMT3a and DNA hypomethylation at the promoter region of the <i>Gabrb1</i> gene. Furthermore, a long-term diet rich in methyl donors alleviates PTX-induced pain hypersensitivity and anxiety-like behavior in mice. These findings suggest that the DNMT3a-mediated upregulation of GABA<sub>A</sub>Rβ1 in the mPFC contributes to PTX-induced neuropathic pain and anxiety, highlighting DNA methylation-dependent epigenetic regulation as a potential therapeutic target for addressing chemotherapy-induced cortical dysfunction.</p>\",\"PeriodicalId\":117,\"journal\":{\"name\":\"Advanced Science\",\"volume\":\"12 5\",\"pages\":\"\"},\"PeriodicalIF\":14.1000,\"publicationDate\":\"2024-12-16\",\"publicationTypes\":\"Journal Article\",\"fieldsOfStudy\":null,\"isOpenAccess\":false,\"openAccessPdf\":\"https://onlinelibrary.wiley.com/doi/epdf/10.1002/advs.202407387\",\"citationCount\":\"0\",\"resultStr\":null,\"platform\":\"Semanticscholar\",\"paperid\":null,\"PeriodicalName\":\"Advanced Science\",\"FirstCategoryId\":\"88\",\"ListUrlMain\":\"https://advanced.onlinelibrary.wiley.com/doi/10.1002/advs.202407387\",\"RegionNum\":1,\"RegionCategory\":\"材料科学\",\"ArticlePicture\":[],\"TitleCN\":null,\"AbstractTextCN\":null,\"PMCID\":null,\"EPubDate\":\"\",\"PubModel\":\"\",\"JCR\":\"Q1\",\"JCRName\":\"CHEMISTRY, MULTIDISCIPLINARY\",\"Score\":null,\"Total\":0}","platform":"Semanticscholar","paperid":null,"PeriodicalName":"Advanced Science","FirstCategoryId":"88","ListUrlMain":"https://advanced.onlinelibrary.wiley.com/doi/10.1002/advs.202407387","RegionNum":1,"RegionCategory":"材料科学","ArticlePicture":[],"TitleCN":null,"AbstractTextCN":null,"PMCID":null,"EPubDate":"","PubModel":"","JCR":"Q1","JCRName":"CHEMISTRY, MULTIDISCIPLINARY","Score":null,"Total":0}
引用次数: 0

摘要

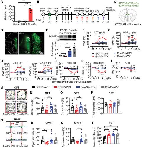
紫杉醇(PTX)等化疗药物会诱发神经可塑性变化,改变前额叶皮质(PFC)的基因表达,这可能与化疗引起的疼痛和负面情绪有关。值得注意的是,DNA甲基化在神经系统疾病中会发生适应性变化,成为神经调控的一个有前途的靶点。在这项研究中,全身给药 PTX 会导致 DNA 甲基转移酶 DNMT3a 的表达下降,同时上调雄性小鼠内侧 PFC(mPFC)中 Gabrb1 mRNA 及其编码的 GABAARβ1 蛋白的表达。在 mPFC 中过表达 DNMT3a 可减轻 PTX 诱导的小鼠痛觉过敏和焦虑样行为。此外,它还能逆转 PTX 诱导的 mPFC 锥体神经元抑制性突触传递的增加。从机理上讲,GABAARβ1 在 mPFC 中的上调与 DNMT3a 的表达减少以及 Gabrb1 基因启动子区域的 DNA 低甲基化有关。此外,长期食用富含甲基供体的食物可减轻 PTX 诱导的小鼠痛觉过敏和焦虑样行为。这些研究结果表明,DNMT3a介导的mPFC中GABAARβ1的上调导致了PTX诱导的神经性疼痛和焦虑,突出了DNA甲基化依赖的表观遗传调控是解决化疗诱导的大脑皮层功能障碍的潜在治疗靶点。
本文章由计算机程序翻译,如有差异,请以英文原文为准。

DNMT3a Downregulation Ttriggered Upregulation of GABAA Receptor in the mPFC Promotes Paclitaxel-Induced Pain and Anxiety in Male Mice

DNMT3a Downregulation Ttriggered Upregulation of GABAA Receptor in the mPFC Promotes Paclitaxel-Induced Pain and Anxiety in Male Mice

DNMT3a Downregulation Ttriggered Upregulation of GABAA Receptor in the mPFC Promotes Paclitaxel-Induced Pain and Anxiety in Male Mice

DNMT3a Downregulation Ttriggered Upregulation of GABAA Receptor in the mPFC Promotes Paclitaxel-Induced Pain and Anxiety in Male Mice

DNMT3a Downregulation Ttriggered Upregulation of GABAA Receptor in the mPFC Promotes Paclitaxel-Induced Pain and Anxiety in Male Mice

Chemotherapeutic agents, such as paclitaxel (PTX), induce neuroplastic changes and alter gene expression in the prefrontal cortex (PFC), which may be associated with chemotherapy-induced pain and negative emotions. Notably, DNA methylation undergoes adaptive changes in neurological disorders, emerging as a promising target for neuromodulation. In this study, systemic administration of PTX leads to a decrease in the expression of the DNA methyltransferase DNMT3a, while concurrently upregulating the expression of Gabrb1 mRNA and its encoded GABAARβ1 protein in the medial PFC (mPFC) of male mice. Overexpression of DNMT3a in the mPFC alleviates PTX-induced pain hypersensitivity, and anxiety-like behavior in these mice. Additionally, it reverses the PTX-induced increase in inhibitory synaptic transmission in the pyramidal neurons of the mPFC. Mechanistically, the upregulation of GABAARβ1 in the mPFC is linked to the reduced expression of DNMT3a and DNA hypomethylation at the promoter region of the Gabrb1 gene. Furthermore, a long-term diet rich in methyl donors alleviates PTX-induced pain hypersensitivity and anxiety-like behavior in mice. These findings suggest that the DNMT3a-mediated upregulation of GABAARβ1 in the mPFC contributes to PTX-induced neuropathic pain and anxiety, highlighting DNA methylation-dependent epigenetic regulation as a potential therapeutic target for addressing chemotherapy-induced cortical dysfunction.

求助全文
通过发布文献求助,成功后即可免费获取论文全文。 去求助
来源期刊
Advanced Science
Advanced Science CHEMISTRY, MULTIDISCIPLINARYNANOSCIENCE &-NANOSCIENCE & NANOTECHNOLOGY
CiteScore
18.90
自引率
2.60%
发文量
1602
审稿时长
1.9 months
期刊介绍: Advanced Science is a prestigious open access journal that focuses on interdisciplinary research in materials science, physics, chemistry, medical and life sciences, and engineering. The journal aims to promote cutting-edge research by employing a rigorous and impartial review process. It is committed to presenting research articles with the highest quality production standards, ensuring maximum accessibility of top scientific findings. With its vibrant and innovative publication platform, Advanced Science seeks to revolutionize the dissemination and organization of scientific knowledge.
×
引用
GB/T 7714-2015
复制
MLA
复制
APA
复制
导出至
BibTeX EndNote RefMan NoteFirst NoteExpress
×
提示
您的信息不完整,为了账户安全,请先补充。
现在去补充
×
提示
您因"违规操作"
具体请查看互助需知
我知道了
×
提示
确定
请完成安全验证×
copy
已复制链接
快去分享给好友吧!
我知道了
右上角分享
点击右上角分享
0
联系我们:info@booksci.cn Book学术提供免费学术资源搜索服务,方便国内外学者检索中英文文献。致力于提供最便捷和优质的服务体验。 Copyright © 2023 布克学术 All rights reserved.
京ICP备2023020795号-1
ghs 京公网安备 11010802042870号
Book学术文献互助
Book学术文献互助群
群 号:604180095
Book学术官方微信