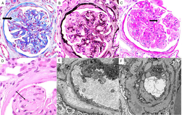
舒尼替尼诱导难治性胰腺神经内分泌肿瘤患者的肾小球血栓性微血管病变。

IF 2 4区 医学 Q2 PATHOLOGY
Aisha Khan, Margarita Consing Gangelhoff, Simon Moubarak, Sandra Herrmann, Karim Nooruddin, Mariam Alexander
{"title":"舒尼替尼诱导难治性胰腺神经内分泌肿瘤患者的肾小球血栓性微血管病变。","authors":"Aisha Khan, Margarita Consing Gangelhoff, Simon Moubarak, Sandra Herrmann, Karim Nooruddin, Mariam Alexander","doi":"10.1136/jcp-2024-209851","DOIUrl":null,"url":null,"abstract":"","PeriodicalId":15391,"journal":{"name":"Journal of Clinical Pathology","volume":" ","pages":"357-358"},"PeriodicalIF":2.0000,"publicationDate":"2025-04-17","publicationTypes":"Journal Article","fieldsOfStudy":null,"isOpenAccess":false,"openAccessPdf":"https://www.ncbi.nlm.nih.gov/pmc/articles/PMC12015045/pdf/","citationCount":"0","resultStr":"{\"title\":\"Sunitinib induced glomerular thrombotic microangiopathy in a patient with refractory pancreatic neuroendocrine tumour.\",\"authors\":\"Aisha Khan, Margarita Consing Gangelhoff, Simon Moubarak, Sandra Herrmann, Karim Nooruddin, Mariam Alexander\",\"doi\":\"10.1136/jcp-2024-209851\",\"DOIUrl\":null,\"url\":null,\"abstract\":\"\",\"PeriodicalId\":15391,\"journal\":{\"name\":\"Journal of Clinical Pathology\",\"volume\":\" \",\"pages\":\"357-358\"},\"PeriodicalIF\":2.0000,\"publicationDate\":\"2025-04-17\",\"publicationTypes\":\"Journal Article\",\"fieldsOfStudy\":null,\"isOpenAccess\":false,\"openAccessPdf\":\"https://www.ncbi.nlm.nih.gov/pmc/articles/PMC12015045/pdf/\",\"citationCount\":\"0\",\"resultStr\":null,\"platform\":\"Semanticscholar\",\"paperid\":null,\"PeriodicalName\":\"Journal of Clinical Pathology\",\"FirstCategoryId\":\"3\",\"ListUrlMain\":\"https://doi.org/10.1136/jcp-2024-209851\",\"RegionNum\":4,\"RegionCategory\":\"医学\",\"ArticlePicture\":[],\"TitleCN\":null,\"AbstractTextCN\":null,\"PMCID\":null,\"EPubDate\":\"\",\"PubModel\":\"\",\"JCR\":\"Q2\",\"JCRName\":\"PATHOLOGY\",\"Score\":null,\"Total\":0}","platform":"Semanticscholar","paperid":null,"PeriodicalName":"Journal of Clinical Pathology","FirstCategoryId":"3","ListUrlMain":"https://doi.org/10.1136/jcp-2024-209851","RegionNum":4,"RegionCategory":"医学","ArticlePicture":[],"TitleCN":null,"AbstractTextCN":null,"PMCID":null,"EPubDate":"","PubModel":"","JCR":"Q2","JCRName":"PATHOLOGY","Score":null,"Total":0}
引用次数: 0

摘要

本文章由计算机程序翻译,如有差异,请以英文原文为准。

Sunitinib induced glomerular thrombotic microangiopathy in a patient with refractory pancreatic neuroendocrine tumour.

Sunitinib induced glomerular thrombotic microangiopathy in a patient with refractory pancreatic neuroendocrine tumour.
求助全文
通过发布文献求助,成功后即可免费获取论文全文。 去求助
来源期刊
CiteScore
7.80
自引率
2.90%
发文量
113
审稿时长
3-8 weeks
期刊介绍: Journal of Clinical Pathology is a leading international journal covering all aspects of pathology. Diagnostic and research areas covered include histopathology, virology, haematology, microbiology, cytopathology, chemical pathology, molecular pathology, forensic pathology, dermatopathology, neuropathology and immunopathology. Each issue contains Reviews, Original articles, Short reports, Correspondence and more.
×
引用
GB/T 7714-2015
复制
MLA
复制
APA
复制
导出至
BibTeX EndNote RefMan NoteFirst NoteExpress
×
提示
您的信息不完整,为了账户安全,请先补充。
现在去补充
×
提示
您因"违规操作"
具体请查看互助需知
我知道了
×
提示
确定
请完成安全验证×
copy
已复制链接
快去分享给好友吧!
我知道了
右上角分享
点击右上角分享
0
联系我们:info@booksci.cn Book学术提供免费学术资源搜索服务,方便国内外学者检索中英文文献。致力于提供最便捷和优质的服务体验。 Copyright © 2023 布克学术 All rights reserved.
京ICP备2023020795号-1
ghs 京公网安备 11010802042870号
Book学术文献互助
Book学术文献互助群
群 号:604180095
Book学术官方微信