进行性多灶性白质脑病,感度加权成像序列在最初原因不明的免疫抑制病例中的作用。

Encephalitis (Seoul, Korea) Pub Date : 2025-01-01 Epub Date: 2024-12-13 DOI:10.47936/encephalitis.2024.00094
Giuseppe Maria Andrea D'Arma, Rosario Francesco Balzano, Federica Masino, Giuseppe Guglielmi
{"title":"进行性多灶性白质脑病,感度加权成像序列在最初原因不明的免疫抑制病例中的作用。","authors":"Giuseppe Maria Andrea D'Arma, Rosario Francesco Balzano, Federica Masino, Giuseppe Guglielmi","doi":"10.47936/encephalitis.2024.00094","DOIUrl":null,"url":null,"abstract":"<p><p>We describe the case of a 47-year-old woman who was confused and complained about left-sided weakness when she presented to our institution. The patient underwent a head computed tomography that raised the suspicion of a recent-onset ischemic episode (subacute phase). The patient was admitted to the neurology department and underwent a magnetic resonance imaging (MRI) with contrast medium administration. The clinical and laboratory findings and the MRI features, particularly the presence of a hypointense rim in the susceptibility-weighted imaging (SWI) sequences, were consistent with a diagnosis of progressive multifocal leukoencephalopathy (PML). Immunosuppression was observed as a result of lymphopenia, and the patient was subsequently diagnosed with previously undocumented AIDS. Our aim is to present this rare case of PML in an immunocompromised patient with AIDS, describing the main MRI features and the possible role of SWI sequences.</p>","PeriodicalId":72904,"journal":{"name":"Encephalitis (Seoul, Korea)","volume":" ","pages":"15-20"},"PeriodicalIF":0.0000,"publicationDate":"2025-01-01","publicationTypes":"Journal Article","fieldsOfStudy":null,"isOpenAccess":false,"openAccessPdf":"https://www.ncbi.nlm.nih.gov/pmc/articles/PMC11732268/pdf/","citationCount":"0","resultStr":"{\"title\":\"Progressive multifocal leukoencephalopathy, the role of the susceptibility-weighted imaging sequence in a case of immunosuppression of an initially unknown cause.\",\"authors\":\"Giuseppe Maria Andrea D'Arma, Rosario Francesco Balzano, Federica Masino, Giuseppe Guglielmi\",\"doi\":\"10.47936/encephalitis.2024.00094\",\"DOIUrl\":null,\"url\":null,\"abstract\":\"<p><p>We describe the case of a 47-year-old woman who was confused and complained about left-sided weakness when she presented to our institution. The patient underwent a head computed tomography that raised the suspicion of a recent-onset ischemic episode (subacute phase). The patient was admitted to the neurology department and underwent a magnetic resonance imaging (MRI) with contrast medium administration. The clinical and laboratory findings and the MRI features, particularly the presence of a hypointense rim in the susceptibility-weighted imaging (SWI) sequences, were consistent with a diagnosis of progressive multifocal leukoencephalopathy (PML). Immunosuppression was observed as a result of lymphopenia, and the patient was subsequently diagnosed with previously undocumented AIDS. Our aim is to present this rare case of PML in an immunocompromised patient with AIDS, describing the main MRI features and the possible role of SWI sequences.</p>\",\"PeriodicalId\":72904,\"journal\":{\"name\":\"Encephalitis (Seoul, Korea)\",\"volume\":\" \",\"pages\":\"15-20\"},\"PeriodicalIF\":0.0000,\"publicationDate\":\"2025-01-01\",\"publicationTypes\":\"Journal Article\",\"fieldsOfStudy\":null,\"isOpenAccess\":false,\"openAccessPdf\":\"https://www.ncbi.nlm.nih.gov/pmc/articles/PMC11732268/pdf/\",\"citationCount\":\"0\",\"resultStr\":null,\"platform\":\"Semanticscholar\",\"paperid\":null,\"PeriodicalName\":\"Encephalitis (Seoul, Korea)\",\"FirstCategoryId\":\"1085\",\"ListUrlMain\":\"https://doi.org/10.47936/encephalitis.2024.00094\",\"RegionNum\":0,\"RegionCategory\":null,\"ArticlePicture\":[],\"TitleCN\":null,\"AbstractTextCN\":null,\"PMCID\":null,\"EPubDate\":\"2024/12/13 0:00:00\",\"PubModel\":\"Epub\",\"JCR\":\"\",\"JCRName\":\"\",\"Score\":null,\"Total\":0}","platform":"Semanticscholar","paperid":null,"PeriodicalName":"Encephalitis (Seoul, Korea)","FirstCategoryId":"1085","ListUrlMain":"https://doi.org/10.47936/encephalitis.2024.00094","RegionNum":0,"RegionCategory":null,"ArticlePicture":[],"TitleCN":null,"AbstractTextCN":null,"PMCID":null,"EPubDate":"2024/12/13 0:00:00","PubModel":"Epub","JCR":"","JCRName":"","Score":null,"Total":0}
引用次数: 0

摘要

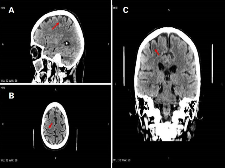
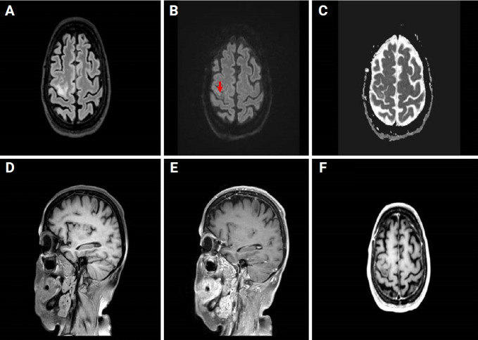
我们描述的情况下,一个47岁的妇女谁是困惑和抱怨左无力时,她提出了我们的机构。患者接受了头部计算机断层扫描,怀疑最近发生的缺血性发作(亚急性期)。患者住进神经内科,接受了磁共振成像(MRI)和造影剂治疗。临床和实验室结果以及MRI特征,特别是在敏感性加权成像(SWI)序列中出现低信号边缘,与进行性多灶性白质脑病(PML)的诊断一致。淋巴细胞减少导致免疫抑制,患者随后被诊断为先前未记载的艾滋病。我们的目的是在免疫功能低下的艾滋病患者中报道这一罕见的PML病例,描述其主要的MRI特征和SWI序列的可能作用。
本文章由计算机程序翻译,如有差异,请以英文原文为准。

Progressive multifocal leukoencephalopathy, the role of the susceptibility-weighted imaging sequence in a case of immunosuppression of an initially unknown cause.

Progressive multifocal leukoencephalopathy, the role of the susceptibility-weighted imaging sequence in a case of immunosuppression of an initially unknown cause.

Progressive multifocal leukoencephalopathy, the role of the susceptibility-weighted imaging sequence in a case of immunosuppression of an initially unknown cause.

Progressive multifocal leukoencephalopathy, the role of the susceptibility-weighted imaging sequence in a case of immunosuppression of an initially unknown cause.

We describe the case of a 47-year-old woman who was confused and complained about left-sided weakness when she presented to our institution. The patient underwent a head computed tomography that raised the suspicion of a recent-onset ischemic episode (subacute phase). The patient was admitted to the neurology department and underwent a magnetic resonance imaging (MRI) with contrast medium administration. The clinical and laboratory findings and the MRI features, particularly the presence of a hypointense rim in the susceptibility-weighted imaging (SWI) sequences, were consistent with a diagnosis of progressive multifocal leukoencephalopathy (PML). Immunosuppression was observed as a result of lymphopenia, and the patient was subsequently diagnosed with previously undocumented AIDS. Our aim is to present this rare case of PML in an immunocompromised patient with AIDS, describing the main MRI features and the possible role of SWI sequences.

求助全文
通过发布文献求助,成功后即可免费获取论文全文。 去求助
来源期刊
自引率
0.00%
发文量
0
×
引用
GB/T 7714-2015
复制
MLA
复制
APA
复制
导出至
BibTeX EndNote RefMan NoteFirst NoteExpress
×
提示
您的信息不完整,为了账户安全,请先补充。
现在去补充
×
提示
您因"违规操作"
具体请查看互助需知
我知道了
×
提示
确定
请完成安全验证×
copy
已复制链接
快去分享给好友吧!
我知道了
右上角分享
点击右上角分享
0
联系我们:info@booksci.cn Book学术提供免费学术资源搜索服务,方便国内外学者检索中英文文献。致力于提供最便捷和优质的服务体验。 Copyright © 2023 布克学术 All rights reserved.
京ICP备2023020795号-1
ghs 京公网安备 11010802042870号
Book学术文献互助
Book学术文献互助群
群 号:604180095
Book学术官方微信