有心脏混血儿病史的患者的脑转移

Q3 Medicine
Raymundo Solís-Gómez, Natalia Dávalos Cabral, Gerardo Arrieta Limón, Brandon Alberto Hurtado Presa, Andrea Salgado Alvear, Laura Michelle Reyes Martínez, Fabiola Eunice Serrano Arias
{"title":"有心脏混血儿病史的患者的脑转移","authors":"Raymundo Solís-Gómez, Natalia Dávalos Cabral, Gerardo Arrieta Limón, Brandon Alberto Hurtado Presa, Andrea Salgado Alvear, Laura Michelle Reyes Martínez, Fabiola Eunice Serrano Arias","doi":"10.31053/1853.0605.v81.n4.44662","DOIUrl":null,"url":null,"abstract":"<p><strong>Introduction: </strong>Cardiac myxomas are the most common benign neoplasms of the heart, mainly located in the left atrium. The preferred treatment is the resection of the myxoma. This method not only prevents complications but also has a low recurrence rate. Brain metastases usually occur when tumor fragments embolize and implant at the destination place.</p><p><strong>Case presentation: </strong>We report the case of a patient with multiple brain metastases, found during follow-up, after the presentation of stroke. This case stands out because the embolization causing the brain metastasis might have occurred either during the ischemic stroke or when the cardiac myxoma was being removed. In our case, the patient was evaluated during follow-up with brain magnetic resonance imaging, finding multiple metastatic lesions. To determine the type of lesion, a biopsy was performed and the histological diagnosis, which was indicative of metastatic tissue of left atrial myxoma.</p><p><strong>Conclusion: </strong>Patients with cardioembolism should undergo a complete diagnostic protocol to distinguish the cause of embolization, whether it is a blood clot or a tumor embolus. The treatment of choice is the resection of the myxoma, which cures the primary neurological symptoms and prevents neurological complications. However, it is essential to maintain active surveillance for a longer time for the detection and appropriate treatment of brain metastases.</p>","PeriodicalId":38814,"journal":{"name":"Revista de la Facultad de Ciencias Medicas de Cordoba","volume":"81 4","pages":"783-792"},"PeriodicalIF":0.0000,"publicationDate":"2024-12-13","publicationTypes":"Journal Article","fieldsOfStudy":null,"isOpenAccess":false,"openAccessPdf":"https://www.ncbi.nlm.nih.gov/pmc/articles/PMC11905776/pdf/","citationCount":"0","resultStr":"{\"title\":\"Brain metastases in a patient with antecedent of cardiac myxoma: a case report and review of literature\",\"authors\":\"Raymundo Solís-Gómez, Natalia Dávalos Cabral, Gerardo Arrieta Limón, Brandon Alberto Hurtado Presa, Andrea Salgado Alvear, Laura Michelle Reyes Martínez, Fabiola Eunice Serrano Arias\",\"doi\":\"10.31053/1853.0605.v81.n4.44662\",\"DOIUrl\":null,\"url\":null,\"abstract\":\"<p><strong>Introduction: </strong>Cardiac myxomas are the most common benign neoplasms of the heart, mainly located in the left atrium. The preferred treatment is the resection of the myxoma. This method not only prevents complications but also has a low recurrence rate. Brain metastases usually occur when tumor fragments embolize and implant at the destination place.</p><p><strong>Case presentation: </strong>We report the case of a patient with multiple brain metastases, found during follow-up, after the presentation of stroke. This case stands out because the embolization causing the brain metastasis might have occurred either during the ischemic stroke or when the cardiac myxoma was being removed. In our case, the patient was evaluated during follow-up with brain magnetic resonance imaging, finding multiple metastatic lesions. To determine the type of lesion, a biopsy was performed and the histological diagnosis, which was indicative of metastatic tissue of left atrial myxoma.</p><p><strong>Conclusion: </strong>Patients with cardioembolism should undergo a complete diagnostic protocol to distinguish the cause of embolization, whether it is a blood clot or a tumor embolus. The treatment of choice is the resection of the myxoma, which cures the primary neurological symptoms and prevents neurological complications. However, it is essential to maintain active surveillance for a longer time for the detection and appropriate treatment of brain metastases.</p>\",\"PeriodicalId\":38814,\"journal\":{\"name\":\"Revista de la Facultad de Ciencias Medicas de Cordoba\",\"volume\":\"81 4\",\"pages\":\"783-792\"},\"PeriodicalIF\":0.0000,\"publicationDate\":\"2024-12-13\",\"publicationTypes\":\"Journal Article\",\"fieldsOfStudy\":null,\"isOpenAccess\":false,\"openAccessPdf\":\"https://www.ncbi.nlm.nih.gov/pmc/articles/PMC11905776/pdf/\",\"citationCount\":\"0\",\"resultStr\":null,\"platform\":\"Semanticscholar\",\"paperid\":null,\"PeriodicalName\":\"Revista de la Facultad de Ciencias Medicas de Cordoba\",\"FirstCategoryId\":\"1085\",\"ListUrlMain\":\"https://doi.org/10.31053/1853.0605.v81.n4.44662\",\"RegionNum\":0,\"RegionCategory\":null,\"ArticlePicture\":[],\"TitleCN\":null,\"AbstractTextCN\":null,\"PMCID\":null,\"EPubDate\":\"\",\"PubModel\":\"\",\"JCR\":\"Q3\",\"JCRName\":\"Medicine\",\"Score\":null,\"Total\":0}","platform":"Semanticscholar","paperid":null,"PeriodicalName":"Revista de la Facultad de Ciencias Medicas de Cordoba","FirstCategoryId":"1085","ListUrlMain":"https://doi.org/10.31053/1853.0605.v81.n4.44662","RegionNum":0,"RegionCategory":null,"ArticlePicture":[],"TitleCN":null,"AbstractTextCN":null,"PMCID":null,"EPubDate":"","PubModel":"","JCR":"Q3","JCRName":"Medicine","Score":null,"Total":0}
引用次数: 0

摘要

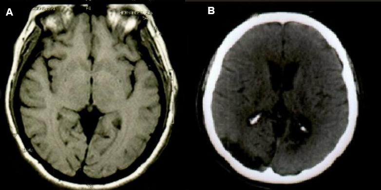
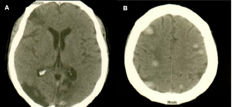
介绍。心脏混合瘤是最常见的良性心脏肿瘤,主要位于左心房。首选的治疗方法是切除粘液瘤。这种方法不仅可以防止并发症,而且复发率也很低。脑转移通常发生在肿瘤碎片栓塞并植入目标部位时。介绍的情况下。我们报道了一个病例,一个患有多发性脑转移的病人,在报告中风后的随访中发现。这个病例是值得注意的,因为导致脑转移的栓塞可能发生在缺血性中风和心脏肌瘤切除期间。在我们的案例中,患者在脑核磁共振随访期间进行了评估,发现了多个转移性病变。为了确定病变的类型,进行了活检和组织学诊断的指示性转移组织左心房粘液瘤。结论。心脏栓塞症患者应遵循一套完整的诊断方案,以区分栓塞的原因,无论是血栓还是肿瘤栓塞。选择的治疗方法是切除粘液瘤,它可以治愈主要的神经症状,防止神经并发症。然而,更长期的积极监测对于发现和适当治疗脑转移至关重要。
本文章由计算机程序翻译,如有差异,请以英文原文为准。

Brain metastases in a patient with antecedent of cardiac myxoma: a case report and review of literature

Brain metastases in a patient with antecedent of cardiac myxoma: a case report and review of literature

Brain metastases in a patient with antecedent of cardiac myxoma: a case report and review of literature

Introduction: Cardiac myxomas are the most common benign neoplasms of the heart, mainly located in the left atrium. The preferred treatment is the resection of the myxoma. This method not only prevents complications but also has a low recurrence rate. Brain metastases usually occur when tumor fragments embolize and implant at the destination place.

Case presentation: We report the case of a patient with multiple brain metastases, found during follow-up, after the presentation of stroke. This case stands out because the embolization causing the brain metastasis might have occurred either during the ischemic stroke or when the cardiac myxoma was being removed. In our case, the patient was evaluated during follow-up with brain magnetic resonance imaging, finding multiple metastatic lesions. To determine the type of lesion, a biopsy was performed and the histological diagnosis, which was indicative of metastatic tissue of left atrial myxoma.

Conclusion: Patients with cardioembolism should undergo a complete diagnostic protocol to distinguish the cause of embolization, whether it is a blood clot or a tumor embolus. The treatment of choice is the resection of the myxoma, which cures the primary neurological symptoms and prevents neurological complications. However, it is essential to maintain active surveillance for a longer time for the detection and appropriate treatment of brain metastases.

求助全文
通过发布文献求助,成功后即可免费获取论文全文。 去求助
来源期刊
CiteScore
1.60
自引率
0.00%
发文量
60
审稿时长
20 weeks
期刊介绍: The Journal of the Faculty of Medical Sciences is a scientific publication of the Secretariat of Science and Technology of the Faculty of Medical Sciences of the National University of Cordoba. Its objective is to disseminate and promote research work related to Medical and Biological Sciences. It publishes scientific works of national and international professionals on different topics related to health sciences from the field of medicine, nursing, kinesiology, diagnostic imaging, phonoaudiology, nutrition, public health, chemical sciences, dentistry and related.
×
引用
GB/T 7714-2015
复制
MLA
复制
APA
复制
导出至
BibTeX EndNote RefMan NoteFirst NoteExpress
×
提示
您的信息不完整,为了账户安全,请先补充。
现在去补充
×
提示
您因"违规操作"
具体请查看互助需知
我知道了
×
提示
确定
请完成安全验证×
copy
已复制链接
快去分享给好友吧!
我知道了
右上角分享
点击右上角分享
0
联系我们:info@booksci.cn Book学术提供免费学术资源搜索服务,方便国内外学者检索中英文文献。致力于提供最便捷和优质的服务体验。 Copyright © 2023 布克学术 All rights reserved.
京ICP备2023020795号-1
ghs 京公网安备 11010802042870号
Book学术文献互助
Book学术文献互助群
群 号:604180095
Book学术官方微信