上颌间固定螺钉(IMF)和手术优先入路:一种新的组合和病例报告。

IF 1 Q3 SURGERY
Ashkan Golabkesh Afshar, Sahand Samieirad, Iman Shiezadeh, Omid Alizadeh, Amirmohammad Moradpour, Seyyed Hamidreza Aboutorabzadeh, Sina Samieirad
{"title":"上颌间固定螺钉(IMF)和手术优先入路:一种新的组合和病例报告。","authors":"Ashkan Golabkesh Afshar, Sahand Samieirad, Iman Shiezadeh, Omid Alizadeh, Amirmohammad Moradpour, Seyyed Hamidreza Aboutorabzadeh, Sina Samieirad","doi":"10.61186/wjps.13.3.104","DOIUrl":null,"url":null,"abstract":"<p><p>Orthognathic surgery, a pivotal treatment for patients with significant facial aesthetic and occlusal concerns, traditionally involves a phased approach comprising preoperative orthodontics, surgery, and postoperative orthodontic treatment. However, the extended duration of conventional methods often leads to patient dissatisfaction. In response, the surgery-first approach (SFA) has emerged as an alternative, aiming to streamline treatment and reduce complexity. This case report explores the implementation of the SFA without preoperative orthodontics, focusing on its integration with intermaxillary fixation (IMF) screws. A 25-year-old male presented with severe mandibular retrognathia and facial asymmetry. The radiographic evaluation confirmed the skeletal discrepancy, prompting a surgical solution. Utilizing three-dimensional (3D) planning software, LeFort I osteotomy for maxillary advancement and bilateral sagittal split osteotomy (BSSO) for mandibular setback was planned. IMF screws were strategically placed to stabilize the maxillomandibular complex intraoperatively. Immediate postoperative orthodontic adjustments-initiated dentition alignment and leveling. Regular follow-up ensured treatment progress and stability. The use of IMF screws in the surgery-first approach facilitated precise surgical movements, accelerated treatment timelines, and enhanced patient comfort. This adjunctive technique represents a promising avenue for improving surgical precision and patient outcomes in orthognathic surgery. Further research is warranted to explore the long-term stability and broader applicability of this approach across diverse patient populations.</p>","PeriodicalId":23736,"journal":{"name":"World Journal of Plastic Surgery","volume":"13 3","pages":"104-110"},"PeriodicalIF":1.0000,"publicationDate":"2024-01-01","publicationTypes":"Journal Article","fieldsOfStudy":null,"isOpenAccess":false,"openAccessPdf":"https://www.ncbi.nlm.nih.gov/pmc/articles/PMC11629767/pdf/","citationCount":"0","resultStr":"{\"title\":\"Intermaxillary Fixation Screws (IMF) & Surgery First Approach: A Novel Combination and Case Report.\",\"authors\":\"Ashkan Golabkesh Afshar, Sahand Samieirad, Iman Shiezadeh, Omid Alizadeh, Amirmohammad Moradpour, Seyyed Hamidreza Aboutorabzadeh, Sina Samieirad\",\"doi\":\"10.61186/wjps.13.3.104\",\"DOIUrl\":null,\"url\":null,\"abstract\":\"<p><p>Orthognathic surgery, a pivotal treatment for patients with significant facial aesthetic and occlusal concerns, traditionally involves a phased approach comprising preoperative orthodontics, surgery, and postoperative orthodontic treatment. However, the extended duration of conventional methods often leads to patient dissatisfaction. In response, the surgery-first approach (SFA) has emerged as an alternative, aiming to streamline treatment and reduce complexity. This case report explores the implementation of the SFA without preoperative orthodontics, focusing on its integration with intermaxillary fixation (IMF) screws. A 25-year-old male presented with severe mandibular retrognathia and facial asymmetry. The radiographic evaluation confirmed the skeletal discrepancy, prompting a surgical solution. Utilizing three-dimensional (3D) planning software, LeFort I osteotomy for maxillary advancement and bilateral sagittal split osteotomy (BSSO) for mandibular setback was planned. IMF screws were strategically placed to stabilize the maxillomandibular complex intraoperatively. Immediate postoperative orthodontic adjustments-initiated dentition alignment and leveling. Regular follow-up ensured treatment progress and stability. The use of IMF screws in the surgery-first approach facilitated precise surgical movements, accelerated treatment timelines, and enhanced patient comfort. This adjunctive technique represents a promising avenue for improving surgical precision and patient outcomes in orthognathic surgery. Further research is warranted to explore the long-term stability and broader applicability of this approach across diverse patient populations.</p>\",\"PeriodicalId\":23736,\"journal\":{\"name\":\"World Journal of Plastic Surgery\",\"volume\":\"13 3\",\"pages\":\"104-110\"},\"PeriodicalIF\":1.0000,\"publicationDate\":\"2024-01-01\",\"publicationTypes\":\"Journal Article\",\"fieldsOfStudy\":null,\"isOpenAccess\":false,\"openAccessPdf\":\"https://www.ncbi.nlm.nih.gov/pmc/articles/PMC11629767/pdf/\",\"citationCount\":\"0\",\"resultStr\":null,\"platform\":\"Semanticscholar\",\"paperid\":null,\"PeriodicalName\":\"World Journal of Plastic Surgery\",\"FirstCategoryId\":\"1085\",\"ListUrlMain\":\"https://doi.org/10.61186/wjps.13.3.104\",\"RegionNum\":0,\"RegionCategory\":null,\"ArticlePicture\":[],\"TitleCN\":null,\"AbstractTextCN\":null,\"PMCID\":null,\"EPubDate\":\"\",\"PubModel\":\"\",\"JCR\":\"Q3\",\"JCRName\":\"SURGERY\",\"Score\":null,\"Total\":0}","platform":"Semanticscholar","paperid":null,"PeriodicalName":"World Journal of Plastic Surgery","FirstCategoryId":"1085","ListUrlMain":"https://doi.org/10.61186/wjps.13.3.104","RegionNum":0,"RegionCategory":null,"ArticlePicture":[],"TitleCN":null,"AbstractTextCN":null,"PMCID":null,"EPubDate":"","PubModel":"","JCR":"Q3","JCRName":"SURGERY","Score":null,"Total":0}
引用次数: 0

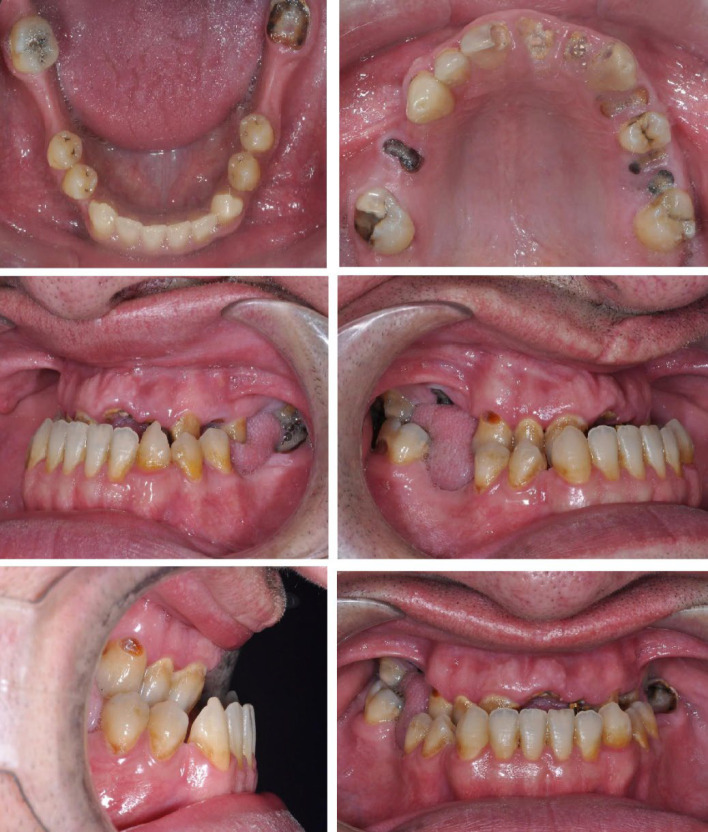
摘要

正颌手术是治疗面部美学和咬合问题患者的关键治疗方法,传统上包括术前正畸,手术和术后正畸治疗。然而,常规方法持续时间的延长往往导致患者的不满。作为回应,手术优先的方法(SFA)已经成为一种替代方案,旨在简化治疗并减少复杂性。本病例报告探讨了SFA在术前不进行正畸的情况下的实施,重点是其与上颌间固定(IMF)螺钉的整合。一个25岁的男性表现为严重的下颌后颌和面部不对称。放射学评估证实了骨骼差异,促使手术解决。利用三维规划软件,对LeFort I型上颌前进截骨术和双侧矢状劈开截骨术进行了规划。术中策略性放置IMF螺钉以稳定上颌骨下颌复合体。立即矫正术后调整-启动牙列对齐和水平。定期随访,确保治疗进展及稳定。在手术优先入路中使用IMF螺钉有助于精确的手术动作,加快治疗时间,并提高患者舒适度。这种辅助技术代表了一个有前途的途径,以提高手术精度和病人的结果,在正颌手术。需要进一步的研究来探索这种方法在不同患者群体中的长期稳定性和更广泛的适用性。
本文章由计算机程序翻译,如有差异,请以英文原文为准。

Intermaxillary Fixation Screws (IMF) & Surgery First Approach: A Novel Combination and Case Report.

Intermaxillary Fixation Screws (IMF) & Surgery First Approach: A Novel Combination and Case Report.

Intermaxillary Fixation Screws (IMF) & Surgery First Approach: A Novel Combination and Case Report.

Intermaxillary Fixation Screws (IMF) & Surgery First Approach: A Novel Combination and Case Report.

Orthognathic surgery, a pivotal treatment for patients with significant facial aesthetic and occlusal concerns, traditionally involves a phased approach comprising preoperative orthodontics, surgery, and postoperative orthodontic treatment. However, the extended duration of conventional methods often leads to patient dissatisfaction. In response, the surgery-first approach (SFA) has emerged as an alternative, aiming to streamline treatment and reduce complexity. This case report explores the implementation of the SFA without preoperative orthodontics, focusing on its integration with intermaxillary fixation (IMF) screws. A 25-year-old male presented with severe mandibular retrognathia and facial asymmetry. The radiographic evaluation confirmed the skeletal discrepancy, prompting a surgical solution. Utilizing three-dimensional (3D) planning software, LeFort I osteotomy for maxillary advancement and bilateral sagittal split osteotomy (BSSO) for mandibular setback was planned. IMF screws were strategically placed to stabilize the maxillomandibular complex intraoperatively. Immediate postoperative orthodontic adjustments-initiated dentition alignment and leveling. Regular follow-up ensured treatment progress and stability. The use of IMF screws in the surgery-first approach facilitated precise surgical movements, accelerated treatment timelines, and enhanced patient comfort. This adjunctive technique represents a promising avenue for improving surgical precision and patient outcomes in orthognathic surgery. Further research is warranted to explore the long-term stability and broader applicability of this approach across diverse patient populations.

求助全文
通过发布文献求助,成功后即可免费获取论文全文。 去求助
来源期刊
自引率
11.10%
发文量
41
×
引用
GB/T 7714-2015
复制
MLA
复制
APA
复制
导出至
BibTeX EndNote RefMan NoteFirst NoteExpress
×
提示
您的信息不完整,为了账户安全,请先补充。
现在去补充
×
提示
您因"违规操作"
具体请查看互助需知
我知道了
×
提示
确定
请完成安全验证×
copy
已复制链接
快去分享给好友吧!
我知道了
右上角分享
点击右上角分享
0
联系我们:info@booksci.cn Book学术提供免费学术资源搜索服务,方便国内外学者检索中英文文献。致力于提供最便捷和优质的服务体验。 Copyright © 2023 布克学术 All rights reserved.
京ICP备2023020795号-1
ghs 京公网安备 11010802042870号
Book学术文献互助
Book学术文献互助群
群 号:604180095
Book学术官方微信