PUVA成功治疗伴有ETV3: NOAC2重排的广泛皮肤不确定树突状细胞瘤1例。

IF 0.7 Q4 HEMATOLOGY
Case Reports in Hematology Pub Date : 2024-11-29 eCollection Date: 2024-01-01 DOI:10.1155/crh/8013335
Akshay Deshpande, Zbigniew Rudzki, Jaideep Bhat, Matthew Pugh, Susan Rose, Shankara Paneesha
{"title":"PUVA成功治疗伴有ETV3: NOAC2重排的广泛皮肤不确定树突状细胞瘤1例。","authors":"Akshay Deshpande, Zbigniew Rudzki, Jaideep Bhat, Matthew Pugh, Susan Rose, Shankara Paneesha","doi":"10.1155/crh/8013335","DOIUrl":null,"url":null,"abstract":"<p><p>The unique histiocytic entity of indeterminate dendritic cell tumor (IDCT) is known to cause diagnostic conundrum and treatment dilemmas with no published consensus on either. We report a rare case of cutaneous IDCT with ETV3::NOAC2 rearrangement providing further evidence to its association with this condition. With its ease of administration and minimal side effects, PUVA therapy can be successfully used to treat cutaneous forms of IDCT.</p>","PeriodicalId":46307,"journal":{"name":"Case Reports in Hematology","volume":"2024 ","pages":"8013335"},"PeriodicalIF":0.7000,"publicationDate":"2024-11-29","publicationTypes":"Journal Article","fieldsOfStudy":null,"isOpenAccess":false,"openAccessPdf":"https://www.ncbi.nlm.nih.gov/pmc/articles/PMC11623986/pdf/","citationCount":"0","resultStr":"{\"title\":\"Widespread Cutaneous Indeterminate Dendritic Cell Tumor (IDCT) With ETV3::NOAC2 Rearrangement Successfully Treated With PUVA Therapy: A Case Report.\",\"authors\":\"Akshay Deshpande, Zbigniew Rudzki, Jaideep Bhat, Matthew Pugh, Susan Rose, Shankara Paneesha\",\"doi\":\"10.1155/crh/8013335\",\"DOIUrl\":null,\"url\":null,\"abstract\":\"<p><p>The unique histiocytic entity of indeterminate dendritic cell tumor (IDCT) is known to cause diagnostic conundrum and treatment dilemmas with no published consensus on either. We report a rare case of cutaneous IDCT with ETV3::NOAC2 rearrangement providing further evidence to its association with this condition. With its ease of administration and minimal side effects, PUVA therapy can be successfully used to treat cutaneous forms of IDCT.</p>\",\"PeriodicalId\":46307,\"journal\":{\"name\":\"Case Reports in Hematology\",\"volume\":\"2024 \",\"pages\":\"8013335\"},\"PeriodicalIF\":0.7000,\"publicationDate\":\"2024-11-29\",\"publicationTypes\":\"Journal Article\",\"fieldsOfStudy\":null,\"isOpenAccess\":false,\"openAccessPdf\":\"https://www.ncbi.nlm.nih.gov/pmc/articles/PMC11623986/pdf/\",\"citationCount\":\"0\",\"resultStr\":null,\"platform\":\"Semanticscholar\",\"paperid\":null,\"PeriodicalName\":\"Case Reports in Hematology\",\"FirstCategoryId\":\"1085\",\"ListUrlMain\":\"https://doi.org/10.1155/crh/8013335\",\"RegionNum\":0,\"RegionCategory\":null,\"ArticlePicture\":[],\"TitleCN\":null,\"AbstractTextCN\":null,\"PMCID\":null,\"EPubDate\":\"2024/1/1 0:00:00\",\"PubModel\":\"eCollection\",\"JCR\":\"Q4\",\"JCRName\":\"HEMATOLOGY\",\"Score\":null,\"Total\":0}","platform":"Semanticscholar","paperid":null,"PeriodicalName":"Case Reports in Hematology","FirstCategoryId":"1085","ListUrlMain":"https://doi.org/10.1155/crh/8013335","RegionNum":0,"RegionCategory":null,"ArticlePicture":[],"TitleCN":null,"AbstractTextCN":null,"PMCID":null,"EPubDate":"2024/1/1 0:00:00","PubModel":"eCollection","JCR":"Q4","JCRName":"HEMATOLOGY","Score":null,"Total":0}
引用次数: 0

摘要

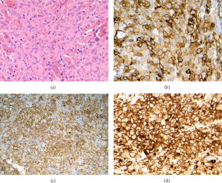
不确定树突状细胞肿瘤(IDCT)的独特组织细胞实体已知会导致诊断难题和治疗困境,但两者都没有发表共识。我们报告一例罕见的伴有ETV3::NOAC2重排的皮肤IDCT,为其与此病的关联提供了进一步的证据。由于其易于给药和最小的副作用,PUVA治疗可以成功地用于治疗皮肤形式的IDCT。
本文章由计算机程序翻译,如有差异,请以英文原文为准。

Widespread Cutaneous Indeterminate Dendritic Cell Tumor (IDCT) With ETV3::NOAC2 Rearrangement Successfully Treated With PUVA Therapy: A Case Report.

Widespread Cutaneous Indeterminate Dendritic Cell Tumor (IDCT) With ETV3::NOAC2 Rearrangement Successfully Treated With PUVA Therapy: A Case Report.

Widespread Cutaneous Indeterminate Dendritic Cell Tumor (IDCT) With ETV3::NOAC2 Rearrangement Successfully Treated With PUVA Therapy: A Case Report.

The unique histiocytic entity of indeterminate dendritic cell tumor (IDCT) is known to cause diagnostic conundrum and treatment dilemmas with no published consensus on either. We report a rare case of cutaneous IDCT with ETV3::NOAC2 rearrangement providing further evidence to its association with this condition. With its ease of administration and minimal side effects, PUVA therapy can be successfully used to treat cutaneous forms of IDCT.

求助全文
通过发布文献求助,成功后即可免费获取论文全文。 去求助
来源期刊
自引率
0.00%
发文量
51
审稿时长
13 weeks
×
引用
GB/T 7714-2015
复制
MLA
复制
APA
复制
导出至
BibTeX EndNote RefMan NoteFirst NoteExpress
×
提示
您的信息不完整,为了账户安全,请先补充。
现在去补充
×
提示
您因"违规操作"
具体请查看互助需知
我知道了
×
提示
确定
请完成安全验证×
copy
已复制链接
快去分享给好友吧!
我知道了
右上角分享
点击右上角分享
0
联系我们:info@booksci.cn Book学术提供免费学术资源搜索服务,方便国内外学者检索中英文文献。致力于提供最便捷和优质的服务体验。 Copyright © 2023 布克学术 All rights reserved.
京ICP备2023020795号-1
ghs 京公网安备 11010802042870号
Book学术文献互助
Book学术文献互助群
群 号:604180095
Book学术官方微信