长期创伤后单侧颈海绵状瘘眼内炎的治疗:1例报告及文献回顾。

Q3 Medicine
Oman Journal of Ophthalmology Pub Date : 2024-10-24 eCollection Date: 2024-09-01 DOI:10.4103/ojo.ojo_41_24
Chinmayee J Thrishulamurthy, H Shafeeq Ahmed, Hima Pendharkar, M J Kusuma
{"title":"长期创伤后单侧颈海绵状瘘眼内炎的治疗:1例报告及文献回顾。","authors":"Chinmayee J Thrishulamurthy, H Shafeeq Ahmed, Hima Pendharkar, M J Kusuma","doi":"10.4103/ojo.ojo_41_24","DOIUrl":null,"url":null,"abstract":"<p><p>Carotid-cavernous fistula (CCF) is a rare condition involving an abnormal communication between the carotid artery and the cavernous sinus. We present a unique case of posttraumatic unilateral CCF initially misdiagnosed as a corneal melt with iris prolapse and orbital cellulitis. The patient, a 25-year-old male, experienced swelling, bleeding, and sudden vision loss in the affected eye following a fall. Imaging confirmed a direct CCF, and the patient underwent endovascular coiling, evisceration, and prosthetic replacement. Partial loss of levator palpebrae superioris muscle function was observed postprocedure. This case underscores the diagnostic challenge of CCF and highlights the significance of early and accurate diagnosis for appropriate management.</p>","PeriodicalId":19461,"journal":{"name":"Oman Journal of Ophthalmology","volume":"17 3","pages":"388-392"},"PeriodicalIF":0.0000,"publicationDate":"2024-10-24","publicationTypes":"Journal Article","fieldsOfStudy":null,"isOpenAccess":false,"openAccessPdf":"https://www.ncbi.nlm.nih.gov/pmc/articles/PMC11620303/pdf/","citationCount":"0","resultStr":"{\"title\":\"Evisceration and ocular prosthetic implantation following endovascular coiling for the management of endophthalmitis in a long-standing post-traumatic unilateral carotid-cavernous fistula: A case report and review of the literature.\",\"authors\":\"Chinmayee J Thrishulamurthy, H Shafeeq Ahmed, Hima Pendharkar, M J Kusuma\",\"doi\":\"10.4103/ojo.ojo_41_24\",\"DOIUrl\":null,\"url\":null,\"abstract\":\"<p><p>Carotid-cavernous fistula (CCF) is a rare condition involving an abnormal communication between the carotid artery and the cavernous sinus. We present a unique case of posttraumatic unilateral CCF initially misdiagnosed as a corneal melt with iris prolapse and orbital cellulitis. The patient, a 25-year-old male, experienced swelling, bleeding, and sudden vision loss in the affected eye following a fall. Imaging confirmed a direct CCF, and the patient underwent endovascular coiling, evisceration, and prosthetic replacement. Partial loss of levator palpebrae superioris muscle function was observed postprocedure. This case underscores the diagnostic challenge of CCF and highlights the significance of early and accurate diagnosis for appropriate management.</p>\",\"PeriodicalId\":19461,\"journal\":{\"name\":\"Oman Journal of Ophthalmology\",\"volume\":\"17 3\",\"pages\":\"388-392\"},\"PeriodicalIF\":0.0000,\"publicationDate\":\"2024-10-24\",\"publicationTypes\":\"Journal Article\",\"fieldsOfStudy\":null,\"isOpenAccess\":false,\"openAccessPdf\":\"https://www.ncbi.nlm.nih.gov/pmc/articles/PMC11620303/pdf/\",\"citationCount\":\"0\",\"resultStr\":null,\"platform\":\"Semanticscholar\",\"paperid\":null,\"PeriodicalName\":\"Oman Journal of Ophthalmology\",\"FirstCategoryId\":\"1085\",\"ListUrlMain\":\"https://doi.org/10.4103/ojo.ojo_41_24\",\"RegionNum\":0,\"RegionCategory\":null,\"ArticlePicture\":[],\"TitleCN\":null,\"AbstractTextCN\":null,\"PMCID\":null,\"EPubDate\":\"2024/9/1 0:00:00\",\"PubModel\":\"eCollection\",\"JCR\":\"Q3\",\"JCRName\":\"Medicine\",\"Score\":null,\"Total\":0}","platform":"Semanticscholar","paperid":null,"PeriodicalName":"Oman Journal of Ophthalmology","FirstCategoryId":"1085","ListUrlMain":"https://doi.org/10.4103/ojo.ojo_41_24","RegionNum":0,"RegionCategory":null,"ArticlePicture":[],"TitleCN":null,"AbstractTextCN":null,"PMCID":null,"EPubDate":"2024/9/1 0:00:00","PubModel":"eCollection","JCR":"Q3","JCRName":"Medicine","Score":null,"Total":0}
引用次数: 0

摘要

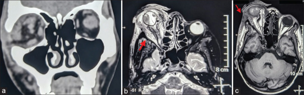
颈动脉海绵窦瘘(CCF)是一种罕见的疾病,涉及颈动脉和海绵窦之间的异常沟通。我们介绍了一例独特的创伤后单侧 CCF 病例,患者最初被误诊为角膜熔化并伴有虹膜脱垂和眼眶蜂窝组织炎。患者是一名 25 岁的男性,摔倒后患眼肿胀、出血,视力突然下降。影像学检查证实患者患有直接CCF,患者接受了血管内卷曲术、剥离术和人工晶体置换术。术后观察到部分睑上提肌功能丧失。该病例凸显了CCF在诊断方面的挑战,并强调了早期准确诊断对适当治疗的重要性。
本文章由计算机程序翻译,如有差异,请以英文原文为准。

Evisceration and ocular prosthetic implantation following endovascular coiling for the management of endophthalmitis in a long-standing post-traumatic unilateral carotid-cavernous fistula: A case report and review of the literature.

Evisceration and ocular prosthetic implantation following endovascular coiling for the management of endophthalmitis in a long-standing post-traumatic unilateral carotid-cavernous fistula: A case report and review of the literature.

Evisceration and ocular prosthetic implantation following endovascular coiling for the management of endophthalmitis in a long-standing post-traumatic unilateral carotid-cavernous fistula: A case report and review of the literature.

Evisceration and ocular prosthetic implantation following endovascular coiling for the management of endophthalmitis in a long-standing post-traumatic unilateral carotid-cavernous fistula: A case report and review of the literature.

Carotid-cavernous fistula (CCF) is a rare condition involving an abnormal communication between the carotid artery and the cavernous sinus. We present a unique case of posttraumatic unilateral CCF initially misdiagnosed as a corneal melt with iris prolapse and orbital cellulitis. The patient, a 25-year-old male, experienced swelling, bleeding, and sudden vision loss in the affected eye following a fall. Imaging confirmed a direct CCF, and the patient underwent endovascular coiling, evisceration, and prosthetic replacement. Partial loss of levator palpebrae superioris muscle function was observed postprocedure. This case underscores the diagnostic challenge of CCF and highlights the significance of early and accurate diagnosis for appropriate management.

求助全文
通过发布文献求助,成功后即可免费获取论文全文。 去求助
来源期刊
Oman Journal of Ophthalmology
Oman Journal of Ophthalmology Medicine-Ophthalmology
CiteScore
0.50
自引率
0.00%
发文量
68
审稿时长
50 weeks
期刊介绍: To provide a platform for scientific expression of the Oman Ophthalmic Society and the international Ophthalmic community and to provide opportunities for free exchange of ideas and information. To serve as a valuable resource for ophthalmologists, eye-care providers including optometrists, orthoptists, other health care professionals and research workers in all aspects of the field of visual science.
×
引用
GB/T 7714-2015
复制
MLA
复制
APA
复制
导出至
BibTeX EndNote RefMan NoteFirst NoteExpress
×
提示
您的信息不完整,为了账户安全,请先补充。
现在去补充
×
提示
您因"违规操作"
具体请查看互助需知
我知道了
×
提示
确定
请完成安全验证×
copy
已复制链接
快去分享给好友吧!
我知道了
右上角分享
点击右上角分享
0
联系我们:info@booksci.cn Book学术提供免费学术资源搜索服务,方便国内外学者检索中英文文献。致力于提供最便捷和优质的服务体验。 Copyright © 2023 布克学术 All rights reserved.
京ICP备2023020795号-1
ghs 京公网安备 11010802042870号
Book学术文献互助
Book学术文献互助群
群 号:604180095
Book学术官方微信