时间问题:新泽西州纽瓦克市的两例巴贝斯虫感染

IF 0.8 Q4 INFECTIOUS DISEASES
Case Reports in Infectious Diseases Pub Date : 2024-11-29 eCollection Date: 2024-01-01 DOI:10.1155/2024/3912571
Jorge A Caceda, Afshan Iqbal, Kristy Bono, Diana Finkel, Eli Goshorn
{"title":"时间问题:新泽西州纽瓦克市的两例巴贝斯虫感染","authors":"Jorge A Caceda, Afshan Iqbal, Kristy Bono, Diana Finkel, Eli Goshorn","doi":"10.1155/2024/3912571","DOIUrl":null,"url":null,"abstract":"<p><p>Babesiosis is a parasitic tick-borne infectious disease that is well elucidated in medical literature and known to be endemic to the Midwest and northeast United States. However, like other infectious diseases, its epidemiology is subject to change. This case report documents two cases with clinical presentations that deviate from what is expected in typical cases of Babesiosis. Two patients presented to a safety-net hospital in Newark, NJ, during the summer of 2022 with nonspecific symptoms. The first patient had a history of polysubstance use disorder and presented with bilateral leg pain, drowsiness, exertional dyspnea, back pain, and chest pain. The second patient had recently returned from a trip to Guatemala and presented with subjective fevers, generalized myalgias, malaise, headaches, and chills. Both patients underwent similar workups yielding a diagnosis of Babesiosis. Of note, neither patient had recently spent time in wooded areas. Ultimately, both patients were treated for Babesiosis with resolution of their presenting symptoms. These two cases suggest that the epidemiology of Babesiosis is changing and provide a clinical workflow for diagnosing and managing this disease in a modern healthcare setting.</p>","PeriodicalId":9608,"journal":{"name":"Case Reports in Infectious Diseases","volume":"2024 ","pages":"3912571"},"PeriodicalIF":0.8000,"publicationDate":"2024-11-29","publicationTypes":"Journal Article","fieldsOfStudy":null,"isOpenAccess":false,"openAccessPdf":"https://www.ncbi.nlm.nih.gov/pmc/articles/PMC11623983/pdf/","citationCount":"0","resultStr":"{\"title\":\"Tick Tock-A Matter of Time: Two Cases of Babesia Acquired in Urban Newark, NJ.\",\"authors\":\"Jorge A Caceda, Afshan Iqbal, Kristy Bono, Diana Finkel, Eli Goshorn\",\"doi\":\"10.1155/2024/3912571\",\"DOIUrl\":null,\"url\":null,\"abstract\":\"<p><p>Babesiosis is a parasitic tick-borne infectious disease that is well elucidated in medical literature and known to be endemic to the Midwest and northeast United States. However, like other infectious diseases, its epidemiology is subject to change. This case report documents two cases with clinical presentations that deviate from what is expected in typical cases of Babesiosis. Two patients presented to a safety-net hospital in Newark, NJ, during the summer of 2022 with nonspecific symptoms. The first patient had a history of polysubstance use disorder and presented with bilateral leg pain, drowsiness, exertional dyspnea, back pain, and chest pain. The second patient had recently returned from a trip to Guatemala and presented with subjective fevers, generalized myalgias, malaise, headaches, and chills. Both patients underwent similar workups yielding a diagnosis of Babesiosis. Of note, neither patient had recently spent time in wooded areas. Ultimately, both patients were treated for Babesiosis with resolution of their presenting symptoms. These two cases suggest that the epidemiology of Babesiosis is changing and provide a clinical workflow for diagnosing and managing this disease in a modern healthcare setting.</p>\",\"PeriodicalId\":9608,\"journal\":{\"name\":\"Case Reports in Infectious Diseases\",\"volume\":\"2024 \",\"pages\":\"3912571\"},\"PeriodicalIF\":0.8000,\"publicationDate\":\"2024-11-29\",\"publicationTypes\":\"Journal Article\",\"fieldsOfStudy\":null,\"isOpenAccess\":false,\"openAccessPdf\":\"https://www.ncbi.nlm.nih.gov/pmc/articles/PMC11623983/pdf/\",\"citationCount\":\"0\",\"resultStr\":null,\"platform\":\"Semanticscholar\",\"paperid\":null,\"PeriodicalName\":\"Case Reports in Infectious Diseases\",\"FirstCategoryId\":\"1085\",\"ListUrlMain\":\"https://doi.org/10.1155/2024/3912571\",\"RegionNum\":0,\"RegionCategory\":null,\"ArticlePicture\":[],\"TitleCN\":null,\"AbstractTextCN\":null,\"PMCID\":null,\"EPubDate\":\"2024/1/1 0:00:00\",\"PubModel\":\"eCollection\",\"JCR\":\"Q4\",\"JCRName\":\"INFECTIOUS DISEASES\",\"Score\":null,\"Total\":0}","platform":"Semanticscholar","paperid":null,"PeriodicalName":"Case Reports in Infectious Diseases","FirstCategoryId":"1085","ListUrlMain":"https://doi.org/10.1155/2024/3912571","RegionNum":0,"RegionCategory":null,"ArticlePicture":[],"TitleCN":null,"AbstractTextCN":null,"PMCID":null,"EPubDate":"2024/1/1 0:00:00","PubModel":"eCollection","JCR":"Q4","JCRName":"INFECTIOUS DISEASES","Score":null,"Total":0}
引用次数: 0

摘要

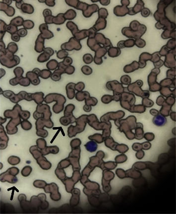
巴贝斯虫病是一种寄生蜱传传染病,在医学文献中得到很好的阐明,已知是美国中西部和东北部的地方病。然而,像其他传染病一样,其流行病学也会发生变化。本病例报告记录了两个临床表现偏离巴贝斯虫病典型病例预期的病例。2022年夏天,新泽西州纽瓦克的一家安全网医院出现了两名非特异性症状的患者。第一位患者有多物质使用障碍史,表现为双侧腿痛、嗜睡、用力呼吸困难、背痛和胸痛。第二例患者最近从危地马拉旅行归来,表现为主观发热、全身肌痛、不适、头痛和发冷。两名患者都进行了类似的检查,诊断为巴贝斯虫病。值得注意的是,两名患者最近都没有在树林里待过。最终,两名患者都接受了巴贝斯虫病治疗,症状得到缓解。这两个病例表明巴贝斯虫病的流行病学正在发生变化,并为现代卫生保健环境中诊断和管理该疾病提供了临床工作流程。
本文章由计算机程序翻译,如有差异,请以英文原文为准。

Tick Tock-A Matter of Time: Two Cases of Babesia Acquired in Urban Newark, NJ.

Tick Tock-A Matter of Time: Two Cases of Babesia Acquired in Urban Newark, NJ.

Tick Tock-A Matter of Time: Two Cases of Babesia Acquired in Urban Newark, NJ.

Babesiosis is a parasitic tick-borne infectious disease that is well elucidated in medical literature and known to be endemic to the Midwest and northeast United States. However, like other infectious diseases, its epidemiology is subject to change. This case report documents two cases with clinical presentations that deviate from what is expected in typical cases of Babesiosis. Two patients presented to a safety-net hospital in Newark, NJ, during the summer of 2022 with nonspecific symptoms. The first patient had a history of polysubstance use disorder and presented with bilateral leg pain, drowsiness, exertional dyspnea, back pain, and chest pain. The second patient had recently returned from a trip to Guatemala and presented with subjective fevers, generalized myalgias, malaise, headaches, and chills. Both patients underwent similar workups yielding a diagnosis of Babesiosis. Of note, neither patient had recently spent time in wooded areas. Ultimately, both patients were treated for Babesiosis with resolution of their presenting symptoms. These two cases suggest that the epidemiology of Babesiosis is changing and provide a clinical workflow for diagnosing and managing this disease in a modern healthcare setting.

求助全文
通过发布文献求助,成功后即可免费获取论文全文。 去求助
来源期刊
自引率
0.00%
发文量
64
审稿时长
13 weeks
×
引用
GB/T 7714-2015
复制
MLA
复制
APA
复制
导出至
BibTeX EndNote RefMan NoteFirst NoteExpress
×
提示
您的信息不完整,为了账户安全,请先补充。
现在去补充
×
提示
您因"违规操作"
具体请查看互助需知
我知道了
×
提示
确定
请完成安全验证×
copy
已复制链接
快去分享给好友吧!
我知道了
右上角分享
点击右上角分享
0
联系我们:info@booksci.cn Book学术提供免费学术资源搜索服务,方便国内外学者检索中英文文献。致力于提供最便捷和优质的服务体验。 Copyright © 2023 布克学术 All rights reserved.
京ICP备2023020795号-1
ghs 京公网安备 11010802042870号
Book学术文献互助
Book学术文献互助群
群 号:604180095
Book学术官方微信
小红书