1例嗜酸性胃肠炎患者表现为剧烈腹痛。

IF 0.6 Q3 MEDICINE, GENERAL & INTERNAL
Sumona Islam, Dewan Saifuddin Ahmed, Nabila Tasneem Khan, Farjana Sultana Rakhi
{"title":"1例嗜酸性胃肠炎患者表现为剧烈腹痛。","authors":"Sumona Islam,&nbsp;Dewan Saifuddin Ahmed,&nbsp;Nabila Tasneem Khan,&nbsp;Farjana Sultana Rakhi","doi":"10.1002/ccr3.9667","DOIUrl":null,"url":null,"abstract":"<p>Eosinophilic gastroenteritis is characterized by eosinophilic infiltration of the stomach and intestine. It is a rare disorder with bizarre presentations, making it difficult to diagnose and often leading to misdiagnoses. It can present with abdominal pain, diarrhea, vomiting, obstruction, ascites, etc. Here, we report a case of a middle-aged female who presented with severe abdominal pain and was initially suspected to have acute pancreatitis. She received conservative management, but symptoms did not improve. This led to further evaluation, which revealed peripheral blood eosinophilia. Although the mucosa appeared normal on esophagogastroduodenoscopy, biopsy from multiple sites revealed eosinophilic infiltration in the gastric and duodenal lamina propria. The patient was then successfully treated with oral steroid. Due to its varied presentations, eosinophilic gastroenteritis should be considered as the differential diagnosis in different abdominal presentations.</p>","PeriodicalId":10327,"journal":{"name":"Clinical Case Reports","volume":"12 12","pages":""},"PeriodicalIF":0.6000,"publicationDate":"2024-12-06","publicationTypes":"Journal Article","fieldsOfStudy":null,"isOpenAccess":false,"openAccessPdf":"https://www.ncbi.nlm.nih.gov/pmc/articles/PMC11622149/pdf/","citationCount":"0","resultStr":"{\"title\":\"A Patient With Eosinophilic Gastroenteritis Presenting With Severe Abdominal Pain\",\"authors\":\"Sumona Islam,&nbsp;Dewan Saifuddin Ahmed,&nbsp;Nabila Tasneem Khan,&nbsp;Farjana Sultana Rakhi\",\"doi\":\"10.1002/ccr3.9667\",\"DOIUrl\":null,\"url\":null,\"abstract\":\"<p>Eosinophilic gastroenteritis is characterized by eosinophilic infiltration of the stomach and intestine. It is a rare disorder with bizarre presentations, making it difficult to diagnose and often leading to misdiagnoses. It can present with abdominal pain, diarrhea, vomiting, obstruction, ascites, etc. Here, we report a case of a middle-aged female who presented with severe abdominal pain and was initially suspected to have acute pancreatitis. She received conservative management, but symptoms did not improve. This led to further evaluation, which revealed peripheral blood eosinophilia. Although the mucosa appeared normal on esophagogastroduodenoscopy, biopsy from multiple sites revealed eosinophilic infiltration in the gastric and duodenal lamina propria. The patient was then successfully treated with oral steroid. Due to its varied presentations, eosinophilic gastroenteritis should be considered as the differential diagnosis in different abdominal presentations.</p>\",\"PeriodicalId\":10327,\"journal\":{\"name\":\"Clinical Case Reports\",\"volume\":\"12 12\",\"pages\":\"\"},\"PeriodicalIF\":0.6000,\"publicationDate\":\"2024-12-06\",\"publicationTypes\":\"Journal Article\",\"fieldsOfStudy\":null,\"isOpenAccess\":false,\"openAccessPdf\":\"https://www.ncbi.nlm.nih.gov/pmc/articles/PMC11622149/pdf/\",\"citationCount\":\"0\",\"resultStr\":null,\"platform\":\"Semanticscholar\",\"paperid\":null,\"PeriodicalName\":\"Clinical Case Reports\",\"FirstCategoryId\":\"1085\",\"ListUrlMain\":\"https://onlinelibrary.wiley.com/doi/10.1002/ccr3.9667\",\"RegionNum\":0,\"RegionCategory\":null,\"ArticlePicture\":[],\"TitleCN\":null,\"AbstractTextCN\":null,\"PMCID\":null,\"EPubDate\":\"\",\"PubModel\":\"\",\"JCR\":\"Q3\",\"JCRName\":\"MEDICINE, GENERAL & INTERNAL\",\"Score\":null,\"Total\":0}","platform":"Semanticscholar","paperid":null,"PeriodicalName":"Clinical Case Reports","FirstCategoryId":"1085","ListUrlMain":"https://onlinelibrary.wiley.com/doi/10.1002/ccr3.9667","RegionNum":0,"RegionCategory":null,"ArticlePicture":[],"TitleCN":null,"AbstractTextCN":null,"PMCID":null,"EPubDate":"","PubModel":"","JCR":"Q3","JCRName":"MEDICINE, GENERAL & INTERNAL","Score":null,"Total":0}
引用次数: 0

摘要

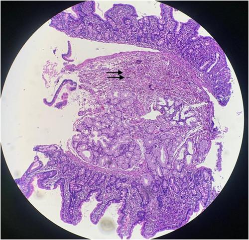
嗜酸性胃肠炎的特点是胃和肠的嗜酸性浸润。这是一种罕见的疾病,有奇怪的表现,很难诊断,经常导致误诊。可表现为腹痛、腹泻、呕吐、梗阻、腹水等。在这里,我们报告一例中年女性谁提出了严重的腹痛和最初怀疑有急性胰腺炎。患者接受保守治疗,但症状未见改善。这导致进一步的评估,结果显示外周血嗜酸性粒细胞增多。虽然食管胃十二指肠镜检查显示粘膜正常,但多处活检显示胃和十二指肠固有层嗜酸性粒细胞浸润。随后,患者成功接受口服类固醇治疗。由于其不同的表现,嗜酸性胃肠炎应考虑作为鉴别诊断在不同的腹部表现。
本文章由计算机程序翻译,如有差异,请以英文原文为准。

A Patient With Eosinophilic Gastroenteritis Presenting With Severe Abdominal Pain

A Patient With Eosinophilic Gastroenteritis Presenting With Severe Abdominal Pain

Eosinophilic gastroenteritis is characterized by eosinophilic infiltration of the stomach and intestine. It is a rare disorder with bizarre presentations, making it difficult to diagnose and often leading to misdiagnoses. It can present with abdominal pain, diarrhea, vomiting, obstruction, ascites, etc. Here, we report a case of a middle-aged female who presented with severe abdominal pain and was initially suspected to have acute pancreatitis. She received conservative management, but symptoms did not improve. This led to further evaluation, which revealed peripheral blood eosinophilia. Although the mucosa appeared normal on esophagogastroduodenoscopy, biopsy from multiple sites revealed eosinophilic infiltration in the gastric and duodenal lamina propria. The patient was then successfully treated with oral steroid. Due to its varied presentations, eosinophilic gastroenteritis should be considered as the differential diagnosis in different abdominal presentations.

求助全文
通过发布文献求助,成功后即可免费获取论文全文。 去求助
来源期刊
Clinical Case Reports
Clinical Case Reports MEDICINE, GENERAL & INTERNAL-
自引率
14.30%
发文量
1268
审稿时长
13 weeks
期刊介绍: Clinical Case Reports is different from other case report journals. Our aim is to directly improve global health and increase clinical understanding using case reports to convey important best practice information. We welcome case reports from all areas of Medicine, Nursing, Dentistry, and Veterinary Science and may include: -Any clinical case or procedure which illustrates an important best practice teaching message -Any clinical case or procedure which illustrates the appropriate use of an important clinical guideline or systematic review. As well as: -The management of novel or very uncommon diseases -A common disease presenting in an uncommon way -An uncommon disease masquerading as something more common -Cases which expand understanding of disease pathogenesis -Cases where the teaching point is based on an error -Cases which allow us to re-think established medical lore -Unreported adverse effects of interventions (drug, procedural, or other).
×
引用
GB/T 7714-2015
复制
MLA
复制
APA
复制
导出至
BibTeX EndNote RefMan NoteFirst NoteExpress
×
提示
您的信息不完整,为了账户安全,请先补充。
现在去补充
×
提示
您因"违规操作"
具体请查看互助需知
我知道了
×
提示
确定
请完成安全验证×
copy
已复制链接
快去分享给好友吧!
我知道了
右上角分享
点击右上角分享
0
联系我们:info@booksci.cn Book学术提供免费学术资源搜索服务,方便国内外学者检索中英文文献。致力于提供最便捷和优质的服务体验。 Copyright © 2023 布克学术 All rights reserved.
京ICP备2023020795号-1
ghs 京公网安备 11010802042870号
Book学术文献互助
Book学术文献互助群
群 号:604180095
Book学术官方微信