罕见的双原发性幕上胶质瘤及幕下脑膜瘤1例。

IF 0.7 Q4 CLINICAL NEUROLOGY
Journal of Neurological Surgery Reports Pub Date : 2024-12-05 eCollection Date: 2024-10-01 DOI:10.1055/a-2466-7362
Chi-Man Yip, Chia Ing Jan
{"title":"罕见的双原发性幕上胶质瘤及幕下脑膜瘤1例。","authors":"Chi-Man Yip, Chia Ing Jan","doi":"10.1055/a-2466-7362","DOIUrl":null,"url":null,"abstract":"<p><p><b>Introduction</b>  Gliomas and meningiomas are two common primary brain tumors, but occurring simultaneously in the same patient is a rare entity. The authors would like to report a case of coexistence of a superior parietal lobule diffuse glioma, IDH-wild type, histologically CNS WHO grade 3 and a left posterior fossa transitional meningioma, WHO grade 1; both the tumors were successfully removed in one-stage operation. <b>Case Presentation</b>  A 68-year-old female having hypertension, who presented to us with the chief complaints of involuntary shaking of her left lower limb associated with her left upper limb tingle, dizziness, and neck soreness. She was found to have a lesion in her right parietal region and a tumor in her left cerebellar region. After detailed discussion with the patient and thorough preoperative evaluation, the authors performed a right parietal craniotomy and a left retrosigmoid approach in one-stage operation to remove both the tumors, which were proven to be of two distinct histological identities. <b>Conclusion</b>  The management for two tumors located far apart needs a case-by-case evaluation. An important aspect while dealing with such cases is to decide which tumor needs to be operated first or whether both lesions can be operated at the same time with one-stage operation.</p>","PeriodicalId":44256,"journal":{"name":"Journal of Neurological Surgery Reports","volume":"85 4","pages":"e179-e183"},"PeriodicalIF":0.7000,"publicationDate":"2024-12-05","publicationTypes":"Journal Article","fieldsOfStudy":null,"isOpenAccess":false,"openAccessPdf":"https://www.ncbi.nlm.nih.gov/pmc/articles/PMC11620842/pdf/","citationCount":"0","resultStr":"{\"title\":\"A Rare Case of Dual Primary Supratentorial Glioma and Infratentorial Meningioma.\",\"authors\":\"Chi-Man Yip, Chia Ing Jan\",\"doi\":\"10.1055/a-2466-7362\",\"DOIUrl\":null,\"url\":null,\"abstract\":\"<p><p><b>Introduction</b>  Gliomas and meningiomas are two common primary brain tumors, but occurring simultaneously in the same patient is a rare entity. The authors would like to report a case of coexistence of a superior parietal lobule diffuse glioma, IDH-wild type, histologically CNS WHO grade 3 and a left posterior fossa transitional meningioma, WHO grade 1; both the tumors were successfully removed in one-stage operation. <b>Case Presentation</b>  A 68-year-old female having hypertension, who presented to us with the chief complaints of involuntary shaking of her left lower limb associated with her left upper limb tingle, dizziness, and neck soreness. She was found to have a lesion in her right parietal region and a tumor in her left cerebellar region. After detailed discussion with the patient and thorough preoperative evaluation, the authors performed a right parietal craniotomy and a left retrosigmoid approach in one-stage operation to remove both the tumors, which were proven to be of two distinct histological identities. <b>Conclusion</b>  The management for two tumors located far apart needs a case-by-case evaluation. An important aspect while dealing with such cases is to decide which tumor needs to be operated first or whether both lesions can be operated at the same time with one-stage operation.</p>\",\"PeriodicalId\":44256,\"journal\":{\"name\":\"Journal of Neurological Surgery Reports\",\"volume\":\"85 4\",\"pages\":\"e179-e183\"},\"PeriodicalIF\":0.7000,\"publicationDate\":\"2024-12-05\",\"publicationTypes\":\"Journal Article\",\"fieldsOfStudy\":null,\"isOpenAccess\":false,\"openAccessPdf\":\"https://www.ncbi.nlm.nih.gov/pmc/articles/PMC11620842/pdf/\",\"citationCount\":\"0\",\"resultStr\":null,\"platform\":\"Semanticscholar\",\"paperid\":null,\"PeriodicalName\":\"Journal of Neurological Surgery Reports\",\"FirstCategoryId\":\"1085\",\"ListUrlMain\":\"https://doi.org/10.1055/a-2466-7362\",\"RegionNum\":0,\"RegionCategory\":null,\"ArticlePicture\":[],\"TitleCN\":null,\"AbstractTextCN\":null,\"PMCID\":null,\"EPubDate\":\"2024/10/1 0:00:00\",\"PubModel\":\"eCollection\",\"JCR\":\"Q4\",\"JCRName\":\"CLINICAL NEUROLOGY\",\"Score\":null,\"Total\":0}","platform":"Semanticscholar","paperid":null,"PeriodicalName":"Journal of Neurological Surgery Reports","FirstCategoryId":"1085","ListUrlMain":"https://doi.org/10.1055/a-2466-7362","RegionNum":0,"RegionCategory":null,"ArticlePicture":[],"TitleCN":null,"AbstractTextCN":null,"PMCID":null,"EPubDate":"2024/10/1 0:00:00","PubModel":"eCollection","JCR":"Q4","JCRName":"CLINICAL NEUROLOGY","Score":null,"Total":0}
引用次数: 0

摘要

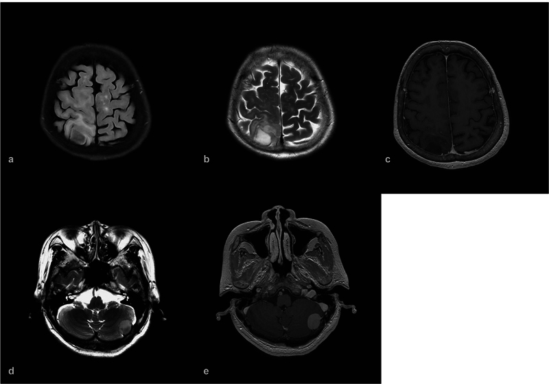
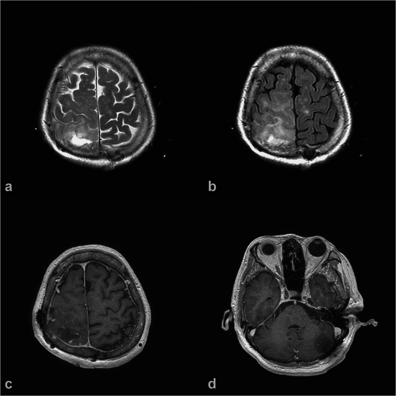
胶质瘤和脑膜瘤是两种常见的原发性脑肿瘤,但在同一患者中同时发生是罕见的。作者想报告一例共存的上顶叶弥漫性胶质瘤,idh野生型,组织学中枢神经系统WHO分级3级和左后窝移行性脑膜瘤,WHO分级1级;在一次手术中成功切除了两个肿瘤。一名68岁女性高血压患者向我们就诊,主诉为左下肢不自主震颤并伴有左上肢刺痛、头晕和颈部酸痛。她被发现在她的右顶叶区有一个病变,在她的左小脑区有一个肿瘤。在与患者详细讨论和全面的术前评估后,作者在一期手术中进行了右侧顶骨开颅和左侧乙状结肠后入路切除这两个肿瘤,证明这两个肿瘤具有两种不同的组织学特征。结论两个相距较远的肿瘤的治疗需要具体情况具体分析。在处理此类病例时,一个重要的方面是决定哪个肿瘤需要先手术,或者两个病变是否可以一次手术同时手术。
本文章由计算机程序翻译,如有差异,请以英文原文为准。

A Rare Case of Dual Primary Supratentorial Glioma and Infratentorial Meningioma.

A Rare Case of Dual Primary Supratentorial Glioma and Infratentorial Meningioma.

A Rare Case of Dual Primary Supratentorial Glioma and Infratentorial Meningioma.

A Rare Case of Dual Primary Supratentorial Glioma and Infratentorial Meningioma.

Introduction  Gliomas and meningiomas are two common primary brain tumors, but occurring simultaneously in the same patient is a rare entity. The authors would like to report a case of coexistence of a superior parietal lobule diffuse glioma, IDH-wild type, histologically CNS WHO grade 3 and a left posterior fossa transitional meningioma, WHO grade 1; both the tumors were successfully removed in one-stage operation. Case Presentation  A 68-year-old female having hypertension, who presented to us with the chief complaints of involuntary shaking of her left lower limb associated with her left upper limb tingle, dizziness, and neck soreness. She was found to have a lesion in her right parietal region and a tumor in her left cerebellar region. After detailed discussion with the patient and thorough preoperative evaluation, the authors performed a right parietal craniotomy and a left retrosigmoid approach in one-stage operation to remove both the tumors, which were proven to be of two distinct histological identities. Conclusion  The management for two tumors located far apart needs a case-by-case evaluation. An important aspect while dealing with such cases is to decide which tumor needs to be operated first or whether both lesions can be operated at the same time with one-stage operation.

求助全文
通过发布文献求助,成功后即可免费获取论文全文。 去求助
来源期刊
自引率
0.00%
发文量
31
审稿时长
12 weeks
×
引用
GB/T 7714-2015
复制
MLA
复制
APA
复制
导出至
BibTeX EndNote RefMan NoteFirst NoteExpress
×
提示
您的信息不完整,为了账户安全,请先补充。
现在去补充
×
提示
您因"违规操作"
具体请查看互助需知
我知道了
×
提示
确定
请完成安全验证×
copy
已复制链接
快去分享给好友吧!
我知道了
右上角分享
点击右上角分享
0
联系我们:info@booksci.cn Book学术提供免费学术资源搜索服务,方便国内外学者检索中英文文献。致力于提供最便捷和优质的服务体验。 Copyright © 2023 布克学术 All rights reserved.
京ICP备2023020795号-1
ghs 京公网安备 11010802042870号
Book学术文献互助
Book学术文献互助群
群 号:604180095
Book学术官方微信