克氏锥虫钙调磷酸酶B对黑色素瘤和腺癌细胞的体外细胞毒作用。

IF 3 Q3 PHARMACOLOGY & PHARMACY
Advances in Pharmacological and Pharmaceutical Sciences Pub Date : 2024-11-28 eCollection Date: 2024-01-01 DOI:10.1155/adpp/5394494
Mayela Serrano-Rodríguez, Jorge E Araya, Mauro Cortez, Patricio R Orrego
{"title":"克氏锥虫钙调磷酸酶B对黑色素瘤和腺癌细胞的体外细胞毒作用。","authors":"Mayela Serrano-Rodríguez, Jorge E Araya, Mauro Cortez, Patricio R Orrego","doi":"10.1155/adpp/5394494","DOIUrl":null,"url":null,"abstract":"<p><p>Chagas disease caused by the obligate intracellular flagellate protozoan <i>Trypanozoma cruzi</i> infects about 6 million people. From the 1930s to the present, the antitumor capacity of <i>T. cruzi</i> has been studied; however, the identification of the responsible molecules for this effect remains undiscovered. Calcineurin, a calcium/calmodulin-dependent serine/threonine phosphatase, is a heterodimer consisting of a catalytic subunit (CaNA) and a regulatory subunit (CaNB). It has been described that <i>T. cruzi</i> CaN is involved in the cell invasion and proliferation of the parasite. Recently, extracellular human CaNB has been demonstrated to be capable of inhibiting tumor growth cells, conferring an antitumor effect; however, the extracellular role of <i>T. cruzi</i> CaNB (<i>Tc</i>CaNB) is still unknown. The objective of this work was to investigate the antitumor potential of <i>Tc</i>CaNB by interacting with membrane proteins and evaluating its effects on the viability, proliferation, and morphology of tumor cells in vitro. Additionally, the possible mechanism of action of <i>Tc</i>CaNB was explored. Murine melanoma (B16-F10), human cervical adenocarcinoma (HeLa), and African green monkey kidney epithelial (Vero) cell lines were employed for in vitro assays. Far Western blot and immunofluorescence were performed to assess the interaction of <i>Tc</i>CaNB with membrane proteins, and the effect of <i>Tc</i>CaNB on cell viability and proliferation was evaluated using the MTS assay and the CyQUANT NF assay, respectively. The effect of the caspase inhibitor Z-VAD-FMK on <i>Tc</i>CaNB-stimulated tumor cells was investigated to determine if <i>Tc</i>CaNB-induced cell death was associated with apoptosis. To assess cell cycle progression, <i>Tc</i>CaNB-treated cells were analyzed by flow cytometry. In this study, the results showed an interaction of <i>Tc</i>CaNB with cell membrane proteins in B16-F10 and HeLa tumor lines, indicating that <i>Tc</i>CaNB is capable of decreasing viability and proliferation of B16-F10 and HeLa cells, with no significant effect observed in Vero cells. Furthermore, morphological changes were observed in tumor cells treated with TcCaNB. DNA fragmentations and inhibition of caspases with Z-VAD-FMK partially counteracted the cytotoxic effects of <i>Tc</i>CaNB on tumor cells, suggesting that <i>Tc</i>CaNB-induced cell death might be associated with apoptosis. Additionally, <i>Tc</i>CaNB caused S phase cell cycle arrest in HeLa cells, with an increase in the sub-G1 population indicative of apoptosis, while no significant effects were observed in Vero cells.</p>","PeriodicalId":7369,"journal":{"name":"Advances in Pharmacological and Pharmaceutical Sciences","volume":"2024 ","pages":"5394494"},"PeriodicalIF":3.0000,"publicationDate":"2024-11-28","publicationTypes":"Journal Article","fieldsOfStudy":null,"isOpenAccess":false,"openAccessPdf":"https://www.ncbi.nlm.nih.gov/pmc/articles/PMC11620811/pdf/","citationCount":"0","resultStr":"{\"title\":\"Cytotoxic Effect of <i>Trypanosoma cruzi</i> Calcineurin B Against Melanoma and Adenocarcinoma Cells In Vitro.\",\"authors\":\"Mayela Serrano-Rodríguez, Jorge E Araya, Mauro Cortez, Patricio R Orrego\",\"doi\":\"10.1155/adpp/5394494\",\"DOIUrl\":null,\"url\":null,\"abstract\":\"<p><p>Chagas disease caused by the obligate intracellular flagellate protozoan <i>Trypanozoma cruzi</i> infects about 6 million people. From the 1930s to the present, the antitumor capacity of <i>T. cruzi</i> has been studied; however, the identification of the responsible molecules for this effect remains undiscovered. Calcineurin, a calcium/calmodulin-dependent serine/threonine phosphatase, is a heterodimer consisting of a catalytic subunit (CaNA) and a regulatory subunit (CaNB). It has been described that <i>T. cruzi</i> CaN is involved in the cell invasion and proliferation of the parasite. Recently, extracellular human CaNB has been demonstrated to be capable of inhibiting tumor growth cells, conferring an antitumor effect; however, the extracellular role of <i>T. cruzi</i> CaNB (<i>Tc</i>CaNB) is still unknown. The objective of this work was to investigate the antitumor potential of <i>Tc</i>CaNB by interacting with membrane proteins and evaluating its effects on the viability, proliferation, and morphology of tumor cells in vitro. Additionally, the possible mechanism of action of <i>Tc</i>CaNB was explored. Murine melanoma (B16-F10), human cervical adenocarcinoma (HeLa), and African green monkey kidney epithelial (Vero) cell lines were employed for in vitro assays. Far Western blot and immunofluorescence were performed to assess the interaction of <i>Tc</i>CaNB with membrane proteins, and the effect of <i>Tc</i>CaNB on cell viability and proliferation was evaluated using the MTS assay and the CyQUANT NF assay, respectively. The effect of the caspase inhibitor Z-VAD-FMK on <i>Tc</i>CaNB-stimulated tumor cells was investigated to determine if <i>Tc</i>CaNB-induced cell death was associated with apoptosis. To assess cell cycle progression, <i>Tc</i>CaNB-treated cells were analyzed by flow cytometry. In this study, the results showed an interaction of <i>Tc</i>CaNB with cell membrane proteins in B16-F10 and HeLa tumor lines, indicating that <i>Tc</i>CaNB is capable of decreasing viability and proliferation of B16-F10 and HeLa cells, with no significant effect observed in Vero cells. Furthermore, morphological changes were observed in tumor cells treated with TcCaNB. DNA fragmentations and inhibition of caspases with Z-VAD-FMK partially counteracted the cytotoxic effects of <i>Tc</i>CaNB on tumor cells, suggesting that <i>Tc</i>CaNB-induced cell death might be associated with apoptosis. Additionally, <i>Tc</i>CaNB caused S phase cell cycle arrest in HeLa cells, with an increase in the sub-G1 population indicative of apoptosis, while no significant effects were observed in Vero cells.</p>\",\"PeriodicalId\":7369,\"journal\":{\"name\":\"Advances in Pharmacological and Pharmaceutical Sciences\",\"volume\":\"2024 \",\"pages\":\"5394494\"},\"PeriodicalIF\":3.0000,\"publicationDate\":\"2024-11-28\",\"publicationTypes\":\"Journal Article\",\"fieldsOfStudy\":null,\"isOpenAccess\":false,\"openAccessPdf\":\"https://www.ncbi.nlm.nih.gov/pmc/articles/PMC11620811/pdf/\",\"citationCount\":\"0\",\"resultStr\":null,\"platform\":\"Semanticscholar\",\"paperid\":null,\"PeriodicalName\":\"Advances in Pharmacological and Pharmaceutical Sciences\",\"FirstCategoryId\":\"1085\",\"ListUrlMain\":\"https://doi.org/10.1155/adpp/5394494\",\"RegionNum\":0,\"RegionCategory\":null,\"ArticlePicture\":[],\"TitleCN\":null,\"AbstractTextCN\":null,\"PMCID\":null,\"EPubDate\":\"2024/1/1 0:00:00\",\"PubModel\":\"eCollection\",\"JCR\":\"Q3\",\"JCRName\":\"PHARMACOLOGY & PHARMACY\",\"Score\":null,\"Total\":0}","platform":"Semanticscholar","paperid":null,"PeriodicalName":"Advances in Pharmacological and Pharmaceutical Sciences","FirstCategoryId":"1085","ListUrlMain":"https://doi.org/10.1155/adpp/5394494","RegionNum":0,"RegionCategory":null,"ArticlePicture":[],"TitleCN":null,"AbstractTextCN":null,"PMCID":null,"EPubDate":"2024/1/1 0:00:00","PubModel":"eCollection","JCR":"Q3","JCRName":"PHARMACOLOGY & PHARMACY","Score":null,"Total":0}
引用次数: 0

摘要

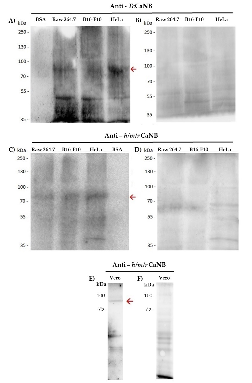
由专性细胞内鞭毛虫原生动物克氏锥虫引起的恰加斯病感染了大约600万人。从20世纪30年代至今,人们对克氏锥虫的抗肿瘤能力进行了研究;然而,这种作用的分子的鉴定仍未被发现。钙调磷酸酶是一种钙/钙调素依赖性丝氨酸/苏氨酸磷酸酶,是由催化亚基(CaNA)和调节亚基(CaNB)组成的异源二聚体。据报道,克氏锥虫CaN参与了寄生虫的细胞侵袭和增殖。最近,细胞外人类CaNB已被证明能够抑制肿瘤细胞生长,具有抗肿瘤作用;然而,克氏锥虫CaNB (TcCaNB)的细胞外作用尚不清楚。本研究的目的是通过与膜蛋白的相互作用来研究TcCaNB的抗肿瘤潜能,并评估其对体外肿瘤细胞的活力、增殖和形态的影响。并对TcCaNB可能的作用机制进行了探讨。小鼠黑色素瘤(B16-F10)、人宫颈腺癌(HeLa)和非洲绿猴肾上皮(Vero)细胞系进行体外实验。采用Far Western blot和免疫荧光法评估TcCaNB与膜蛋白的相互作用,并分别采用MTS法和CyQUANT NF法评估TcCaNB对细胞活力和增殖的影响。研究了caspase抑制剂Z-VAD-FMK对tccanb刺激肿瘤细胞的影响,以确定tccanb诱导的细胞死亡是否与凋亡有关。为了评估细胞周期进展,流式细胞术分析tccanb处理的细胞。本研究结果显示,TcCaNB在B16-F10和HeLa肿瘤细胞系中与细胞膜蛋白相互作用,表明TcCaNB能够降低B16-F10和HeLa细胞的活力和增殖,而对Vero细胞无明显影响。此外,TcCaNB处理后的肿瘤细胞也发生了形态学改变。DNA片段化和Z-VAD-FMK对caspase的抑制部分抵消了TcCaNB对肿瘤细胞的细胞毒作用,提示TcCaNB诱导的细胞死亡可能与凋亡有关。此外,TcCaNB在HeLa细胞中引起S期细胞周期阻滞,导致亚g1细胞群增加,表明凋亡,而在Vero细胞中未观察到明显影响。
本文章由计算机程序翻译,如有差异,请以英文原文为准。

Cytotoxic Effect of <i>Trypanosoma cruzi</i> Calcineurin B Against Melanoma and Adenocarcinoma Cells In Vitro.

Cytotoxic Effect of <i>Trypanosoma cruzi</i> Calcineurin B Against Melanoma and Adenocarcinoma Cells In Vitro.

Cytotoxic Effect of <i>Trypanosoma cruzi</i> Calcineurin B Against Melanoma and Adenocarcinoma Cells In Vitro.

Cytotoxic Effect of Trypanosoma cruzi Calcineurin B Against Melanoma and Adenocarcinoma Cells In Vitro.

Chagas disease caused by the obligate intracellular flagellate protozoan Trypanozoma cruzi infects about 6 million people. From the 1930s to the present, the antitumor capacity of T. cruzi has been studied; however, the identification of the responsible molecules for this effect remains undiscovered. Calcineurin, a calcium/calmodulin-dependent serine/threonine phosphatase, is a heterodimer consisting of a catalytic subunit (CaNA) and a regulatory subunit (CaNB). It has been described that T. cruzi CaN is involved in the cell invasion and proliferation of the parasite. Recently, extracellular human CaNB has been demonstrated to be capable of inhibiting tumor growth cells, conferring an antitumor effect; however, the extracellular role of T. cruzi CaNB (TcCaNB) is still unknown. The objective of this work was to investigate the antitumor potential of TcCaNB by interacting with membrane proteins and evaluating its effects on the viability, proliferation, and morphology of tumor cells in vitro. Additionally, the possible mechanism of action of TcCaNB was explored. Murine melanoma (B16-F10), human cervical adenocarcinoma (HeLa), and African green monkey kidney epithelial (Vero) cell lines were employed for in vitro assays. Far Western blot and immunofluorescence were performed to assess the interaction of TcCaNB with membrane proteins, and the effect of TcCaNB on cell viability and proliferation was evaluated using the MTS assay and the CyQUANT NF assay, respectively. The effect of the caspase inhibitor Z-VAD-FMK on TcCaNB-stimulated tumor cells was investigated to determine if TcCaNB-induced cell death was associated with apoptosis. To assess cell cycle progression, TcCaNB-treated cells were analyzed by flow cytometry. In this study, the results showed an interaction of TcCaNB with cell membrane proteins in B16-F10 and HeLa tumor lines, indicating that TcCaNB is capable of decreasing viability and proliferation of B16-F10 and HeLa cells, with no significant effect observed in Vero cells. Furthermore, morphological changes were observed in tumor cells treated with TcCaNB. DNA fragmentations and inhibition of caspases with Z-VAD-FMK partially counteracted the cytotoxic effects of TcCaNB on tumor cells, suggesting that TcCaNB-induced cell death might be associated with apoptosis. Additionally, TcCaNB caused S phase cell cycle arrest in HeLa cells, with an increase in the sub-G1 population indicative of apoptosis, while no significant effects were observed in Vero cells.

求助全文
通过发布文献求助,成功后即可免费获取论文全文。 去求助
来源期刊
CiteScore
4.30
自引率
3.60%
发文量
0
审稿时长
17 weeks
×
引用
GB/T 7714-2015
复制
MLA
复制
APA
复制
导出至
BibTeX EndNote RefMan NoteFirst NoteExpress
×
提示
您的信息不完整,为了账户安全,请先补充。
现在去补充
×
提示
您因"违规操作"
具体请查看互助需知
我知道了
×
提示
确定
请完成安全验证×
copy
已复制链接
快去分享给好友吧!
我知道了
右上角分享
点击右上角分享
0
联系我们:info@booksci.cn Book学术提供免费学术资源搜索服务,方便国内外学者检索中英文文献。致力于提供最便捷和优质的服务体验。 Copyright © 2023 布克学术 All rights reserved.
京ICP备2023020795号-1
ghs 京公网安备 11010802042870号
Book学术文献互助
Book学术文献互助群
群 号:604180095
Book学术官方微信