柑橘果皮和可可籽提取物的急性、亚慢性和遗传毒性评价。

IF 3 Q2 TOXICOLOGY
Journal of Toxicology Pub Date : 2024-11-27 eCollection Date: 2024-01-01 DOI:10.1155/jt/4239607
Sundararaju Dodda, Sujatha Polavarapu, Krishnaraju Venkata Alluri, Trimurtulu Golakoti, Krishanu Sengupta
{"title":"柑橘果皮和可可籽提取物的急性、亚慢性和遗传毒性评价。","authors":"Sundararaju Dodda, Sujatha Polavarapu, Krishnaraju Venkata Alluri, Trimurtulu Golakoti, Krishanu Sengupta","doi":"10.1155/jt/4239607","DOIUrl":null,"url":null,"abstract":"<p><p>LN19183 is a standardized composition of <i>Citrus aurantifolia</i> (Christm) Swingle (CA) fruit rind and <i>Theobroma cacao</i> L. (TC) seed extracts that have recently been demonstrated to increase resting energy expenditure (REE) and reduce body fat in rats. CA and TC are important herbs in traditional medicine for various health benefits. The present study evaluates the comprehensive toxicity of LN19183 in acute, subchronic, and genetic toxicity studies following the guidelines of the Organization for Economic Co-operation and Development (OECD) for testing chemicals. The acute oral and dermal and 90-day subchronic oral toxicities were performed in rats, and acute dermal and eye irritations were performed in rabbits. In the subchronic toxicity study with a 28-day recovery period, male and female Sprague Dawley rats were orally gavaged with daily LN19183 doses of 500, 1000, or 2000 mg/kg body weight (BW). Furthermore, the genetic toxicity studies included mutagenicity in bacteria, chromosome aberration, and micronucleus assays in human blood mononuclear cells in vitro and micronucleus assay in Swiss albino mice bone marrow in vivo. Acute and subchronic repeat dose oral toxicity studies showed no adverse events, clinical signs, or mortality. All animals exhibited normal food and water intake and natural BW gain. In the 90-day study, LN19183 did not induce major changes in hematology, biochemical evaluations, and urine analysis; gross and histopathological findings did not show any treatment-related lesions or abnormality. The no observed adverse effect level (NOAEL) of LN19183 supplementation was 2000 mg/kg BW/day. In the genetic toxicity studies, LN19183 treatment did not show significant increases in the revertant bacterial colonies, chromosomal aberrations, or number of micronucleated cells. The present observations affirm that oral consumption of LN19183 is safe, and this botanical composition is nonmutagenic and nonclastogenic.</p>","PeriodicalId":17421,"journal":{"name":"Journal of Toxicology","volume":"2024 ","pages":"4239607"},"PeriodicalIF":3.0000,"publicationDate":"2024-11-27","publicationTypes":"Journal Article","fieldsOfStudy":null,"isOpenAccess":false,"openAccessPdf":"https://www.ncbi.nlm.nih.gov/pmc/articles/PMC11617045/pdf/","citationCount":"0","resultStr":"{\"title\":\"Acute, Subchronic, and Genetic Toxicity Assessments of a Composition of <i>Citrus aurantifolia</i> Fruit Rind and <i>Theobroma cacao</i> Seed Extracts.\",\"authors\":\"Sundararaju Dodda, Sujatha Polavarapu, Krishnaraju Venkata Alluri, Trimurtulu Golakoti, Krishanu Sengupta\",\"doi\":\"10.1155/jt/4239607\",\"DOIUrl\":null,\"url\":null,\"abstract\":\"<p><p>LN19183 is a standardized composition of <i>Citrus aurantifolia</i> (Christm) Swingle (CA) fruit rind and <i>Theobroma cacao</i> L. (TC) seed extracts that have recently been demonstrated to increase resting energy expenditure (REE) and reduce body fat in rats. CA and TC are important herbs in traditional medicine for various health benefits. The present study evaluates the comprehensive toxicity of LN19183 in acute, subchronic, and genetic toxicity studies following the guidelines of the Organization for Economic Co-operation and Development (OECD) for testing chemicals. The acute oral and dermal and 90-day subchronic oral toxicities were performed in rats, and acute dermal and eye irritations were performed in rabbits. In the subchronic toxicity study with a 28-day recovery period, male and female Sprague Dawley rats were orally gavaged with daily LN19183 doses of 500, 1000, or 2000 mg/kg body weight (BW). Furthermore, the genetic toxicity studies included mutagenicity in bacteria, chromosome aberration, and micronucleus assays in human blood mononuclear cells in vitro and micronucleus assay in Swiss albino mice bone marrow in vivo. Acute and subchronic repeat dose oral toxicity studies showed no adverse events, clinical signs, or mortality. All animals exhibited normal food and water intake and natural BW gain. In the 90-day study, LN19183 did not induce major changes in hematology, biochemical evaluations, and urine analysis; gross and histopathological findings did not show any treatment-related lesions or abnormality. The no observed adverse effect level (NOAEL) of LN19183 supplementation was 2000 mg/kg BW/day. In the genetic toxicity studies, LN19183 treatment did not show significant increases in the revertant bacterial colonies, chromosomal aberrations, or number of micronucleated cells. The present observations affirm that oral consumption of LN19183 is safe, and this botanical composition is nonmutagenic and nonclastogenic.</p>\",\"PeriodicalId\":17421,\"journal\":{\"name\":\"Journal of Toxicology\",\"volume\":\"2024 \",\"pages\":\"4239607\"},\"PeriodicalIF\":3.0000,\"publicationDate\":\"2024-11-27\",\"publicationTypes\":\"Journal Article\",\"fieldsOfStudy\":null,\"isOpenAccess\":false,\"openAccessPdf\":\"https://www.ncbi.nlm.nih.gov/pmc/articles/PMC11617045/pdf/\",\"citationCount\":\"0\",\"resultStr\":null,\"platform\":\"Semanticscholar\",\"paperid\":null,\"PeriodicalName\":\"Journal of Toxicology\",\"FirstCategoryId\":\"3\",\"ListUrlMain\":\"https://doi.org/10.1155/jt/4239607\",\"RegionNum\":0,\"RegionCategory\":null,\"ArticlePicture\":[],\"TitleCN\":null,\"AbstractTextCN\":null,\"PMCID\":null,\"EPubDate\":\"2024/1/1 0:00:00\",\"PubModel\":\"eCollection\",\"JCR\":\"Q2\",\"JCRName\":\"TOXICOLOGY\",\"Score\":null,\"Total\":0}","platform":"Semanticscholar","paperid":null,"PeriodicalName":"Journal of Toxicology","FirstCategoryId":"3","ListUrlMain":"https://doi.org/10.1155/jt/4239607","RegionNum":0,"RegionCategory":null,"ArticlePicture":[],"TitleCN":null,"AbstractTextCN":null,"PMCID":null,"EPubDate":"2024/1/1 0:00:00","PubModel":"eCollection","JCR":"Q2","JCRName":"TOXICOLOGY","Score":null,"Total":0}
引用次数: 0

摘要

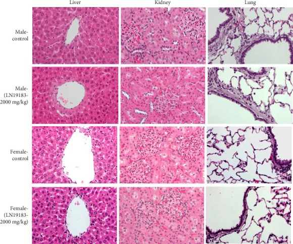
LN19183是一种标准化的柑橘(CA)果皮和可可树(TC)种子提取物的组合物,最近被证明可以增加大鼠的静息能量消耗(REE)和降低体脂。黄芪和黄芪是传统医学中具有多种保健功效的重要草药。本研究根据经济合作与发展组织(OECD)的化学品测试指南,评估了LN19183在急性、亚慢性和遗传毒性研究中的综合毒性。对大鼠进行急性口腔、皮肤和90天亚慢性口腔毒性试验,对家兔进行急性皮肤和眼睛刺激试验。在为期28天恢复期的亚慢性毒性研究中,雄性和雌性Sprague Dawley大鼠每天口服500、1000或2000 mg/kg体重(BW)的LN19183。此外,遗传毒性研究包括细菌诱变性、染色体畸变、体外人血单核细胞微核试验和体内瑞士白化小鼠骨髓微核试验。急性和亚慢性重复剂量口服毒性研究未发现不良事件、临床症状或死亡率。所有动物的摄食量和饮水量均正常,体重自然增加。在90天的研究中,LN19183没有引起血液学、生化评价和尿液分析的重大变化;大体和组织病理学检查未发现任何与治疗相关的病变或异常。LN19183饲粮中未观察到不良反应水平(NOAEL)为2000 mg/kg BW/d。在遗传毒性研究中,LN19183处理并没有显示出逆转细菌菌落、染色体畸变或微核细胞数量的显著增加。目前的观察证实,口服LN19183是安全的,这种植物成分是不致突变和不致裂的。
本文章由计算机程序翻译,如有差异,请以英文原文为准。

Acute, Subchronic, and Genetic Toxicity Assessments of a Composition of <i>Citrus aurantifolia</i> Fruit Rind and <i>Theobroma cacao</i> Seed Extracts.

Acute, Subchronic, and Genetic Toxicity Assessments of a Composition of Citrus aurantifolia Fruit Rind and Theobroma cacao Seed Extracts.

LN19183 is a standardized composition of Citrus aurantifolia (Christm) Swingle (CA) fruit rind and Theobroma cacao L. (TC) seed extracts that have recently been demonstrated to increase resting energy expenditure (REE) and reduce body fat in rats. CA and TC are important herbs in traditional medicine for various health benefits. The present study evaluates the comprehensive toxicity of LN19183 in acute, subchronic, and genetic toxicity studies following the guidelines of the Organization for Economic Co-operation and Development (OECD) for testing chemicals. The acute oral and dermal and 90-day subchronic oral toxicities were performed in rats, and acute dermal and eye irritations were performed in rabbits. In the subchronic toxicity study with a 28-day recovery period, male and female Sprague Dawley rats were orally gavaged with daily LN19183 doses of 500, 1000, or 2000 mg/kg body weight (BW). Furthermore, the genetic toxicity studies included mutagenicity in bacteria, chromosome aberration, and micronucleus assays in human blood mononuclear cells in vitro and micronucleus assay in Swiss albino mice bone marrow in vivo. Acute and subchronic repeat dose oral toxicity studies showed no adverse events, clinical signs, or mortality. All animals exhibited normal food and water intake and natural BW gain. In the 90-day study, LN19183 did not induce major changes in hematology, biochemical evaluations, and urine analysis; gross and histopathological findings did not show any treatment-related lesions or abnormality. The no observed adverse effect level (NOAEL) of LN19183 supplementation was 2000 mg/kg BW/day. In the genetic toxicity studies, LN19183 treatment did not show significant increases in the revertant bacterial colonies, chromosomal aberrations, or number of micronucleated cells. The present observations affirm that oral consumption of LN19183 is safe, and this botanical composition is nonmutagenic and nonclastogenic.

求助全文
通过发布文献求助,成功后即可免费获取论文全文。 去求助
来源期刊
Journal of Toxicology
Journal of Toxicology TOXICOLOGY-
CiteScore
5.50
自引率
3.40%
发文量
0
审稿时长
10 weeks
期刊介绍: Journal of Toxicology is a peer-reviewed, Open Access journal that publishes original research articles, review articles, and clinical studies in all areas of toxicological sciences. The journal will consider articles looking at the structure, function, and mechanism of agents that are toxic to humans and/or animals, as well as toxicological medicine, risk assessment, safety evaluation, and environmental health.
×
引用
GB/T 7714-2015
复制
MLA
复制
APA
复制
导出至
BibTeX EndNote RefMan NoteFirst NoteExpress
×
提示
您的信息不完整,为了账户安全,请先补充。
现在去补充
×
提示
您因"违规操作"
具体请查看互助需知
我知道了
×
提示
确定
请完成安全验证×
copy
已复制链接
快去分享给好友吧!
我知道了
右上角分享
点击右上角分享
0
联系我们:info@booksci.cn Book学术提供免费学术资源搜索服务,方便国内外学者检索中英文文献。致力于提供最便捷和优质的服务体验。 Copyright © 2023 布克学术 All rights reserved.
京ICP备2023020795号-1
ghs 京公网安备 11010802042870号
Book学术文献互助
Book学术文献互助群
群 号:604180095
Book学术官方微信