异基因造血细胞移植后1例谷氨酸脱羧酶抗体谱障碍和1型糖尿病的文献复习

IF 2.1 4区 医学 Q4 ENDOCRINOLOGY & METABOLISM
Endocrine journal Pub Date : 2025-03-03 Epub Date: 2024-12-04 DOI:10.1507/endocrj.EJ24-0457
Shinichiro Sano, Taemi Ogura, Takayuki Takachi, Yuki Murai, Yasuko Fujisawa, Tsutomu Ogata, Kenichiro Watanabe, Masaki Yoshimura
{"title":"异基因造血细胞移植后1例谷氨酸脱羧酶抗体谱障碍和1型糖尿病的文献复习","authors":"Shinichiro Sano, Taemi Ogura, Takayuki Takachi, Yuki Murai, Yasuko Fujisawa, Tsutomu Ogata, Kenichiro Watanabe, Masaki Yoshimura","doi":"10.1507/endocrj.EJ24-0457","DOIUrl":null,"url":null,"abstract":"<p><p>Glutamic acid decarboxylase (GAD) is an enzyme that catalyzes the conversion of glutamic acid into γ-aminobutyric acid (GABA), the primary inhibitory neurotransmitter in the central nervous system (CNS). GAD is widely expressed in the CNS and pancreatic β-cells. GABA produced by GAD plays a role in regulating insulin secretion in pancreatic islets. Anti-GAD antibody is an established marker of type 1 diabetes mellitus (T1DM) and is also associated with stiff-person syndrome (SPS) and several other neurological disorders, including ataxia, cognitive impairment, limbic encephalitis, and epilepsy, collectively referred to as GAD antibody-spectrum disorders (GAD-SD). We report the case of a 17-year-old male patient who developed GAD-SD and T1DM after allogeneic hematopoietic cell transplantation (HCT). He presented with memory disorders, including feelings of déjà vu, accompanied by vomiting and headaches, and exhibited abnormal brain magnetic resonance imaging and electroencephalogram results. In addition to elevated fasting plasma glucose and glycated hemoglobin levels, markedly elevated anti-GAD antibody levels were detected in the serum and cerebrospinal fluid. Based on these findings, the patient was diagnosed with GAD-SD and T1DM and treated with methylprednisolone, followed by multiple daily insulin injections. We also reviewed previously reported cases of GAD-SD following HCT and multiple positive islet-related antibodies.</p>","PeriodicalId":11631,"journal":{"name":"Endocrine journal","volume":" ","pages":"333-340"},"PeriodicalIF":2.1000,"publicationDate":"2025-03-03","publicationTypes":"Journal Article","fieldsOfStudy":null,"isOpenAccess":false,"openAccessPdf":"https://www.ncbi.nlm.nih.gov/pmc/articles/PMC11913555/pdf/","citationCount":"0","resultStr":"{\"title\":\"Glutamic acid decarboxylase antibody-spectrum disorders and type 1 diabetes mellitus in a patient following allogenic hematopoietic cell transplantation with review of literature.\",\"authors\":\"Shinichiro Sano, Taemi Ogura, Takayuki Takachi, Yuki Murai, Yasuko Fujisawa, Tsutomu Ogata, Kenichiro Watanabe, Masaki Yoshimura\",\"doi\":\"10.1507/endocrj.EJ24-0457\",\"DOIUrl\":null,\"url\":null,\"abstract\":\"<p><p>Glutamic acid decarboxylase (GAD) is an enzyme that catalyzes the conversion of glutamic acid into γ-aminobutyric acid (GABA), the primary inhibitory neurotransmitter in the central nervous system (CNS). GAD is widely expressed in the CNS and pancreatic β-cells. GABA produced by GAD plays a role in regulating insulin secretion in pancreatic islets. Anti-GAD antibody is an established marker of type 1 diabetes mellitus (T1DM) and is also associated with stiff-person syndrome (SPS) and several other neurological disorders, including ataxia, cognitive impairment, limbic encephalitis, and epilepsy, collectively referred to as GAD antibody-spectrum disorders (GAD-SD). We report the case of a 17-year-old male patient who developed GAD-SD and T1DM after allogeneic hematopoietic cell transplantation (HCT). He presented with memory disorders, including feelings of déjà vu, accompanied by vomiting and headaches, and exhibited abnormal brain magnetic resonance imaging and electroencephalogram results. In addition to elevated fasting plasma glucose and glycated hemoglobin levels, markedly elevated anti-GAD antibody levels were detected in the serum and cerebrospinal fluid. Based on these findings, the patient was diagnosed with GAD-SD and T1DM and treated with methylprednisolone, followed by multiple daily insulin injections. We also reviewed previously reported cases of GAD-SD following HCT and multiple positive islet-related antibodies.</p>\",\"PeriodicalId\":11631,\"journal\":{\"name\":\"Endocrine journal\",\"volume\":\" \",\"pages\":\"333-340\"},\"PeriodicalIF\":2.1000,\"publicationDate\":\"2025-03-03\",\"publicationTypes\":\"Journal Article\",\"fieldsOfStudy\":null,\"isOpenAccess\":false,\"openAccessPdf\":\"https://www.ncbi.nlm.nih.gov/pmc/articles/PMC11913555/pdf/\",\"citationCount\":\"0\",\"resultStr\":null,\"platform\":\"Semanticscholar\",\"paperid\":null,\"PeriodicalName\":\"Endocrine journal\",\"FirstCategoryId\":\"3\",\"ListUrlMain\":\"https://doi.org/10.1507/endocrj.EJ24-0457\",\"RegionNum\":4,\"RegionCategory\":\"医学\",\"ArticlePicture\":[],\"TitleCN\":null,\"AbstractTextCN\":null,\"PMCID\":null,\"EPubDate\":\"2024/12/4 0:00:00\",\"PubModel\":\"Epub\",\"JCR\":\"Q4\",\"JCRName\":\"ENDOCRINOLOGY & METABOLISM\",\"Score\":null,\"Total\":0}","platform":"Semanticscholar","paperid":null,"PeriodicalName":"Endocrine journal","FirstCategoryId":"3","ListUrlMain":"https://doi.org/10.1507/endocrj.EJ24-0457","RegionNum":4,"RegionCategory":"医学","ArticlePicture":[],"TitleCN":null,"AbstractTextCN":null,"PMCID":null,"EPubDate":"2024/12/4 0:00:00","PubModel":"Epub","JCR":"Q4","JCRName":"ENDOCRINOLOGY & METABOLISM","Score":null,"Total":0}
引用次数: 0

摘要

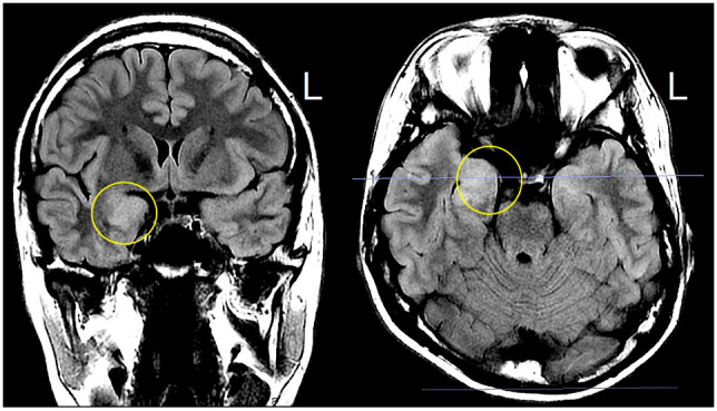
谷氨酸脱羧酶(GAD)是一种催化谷氨酸转化为γ-氨基丁酸(GABA)的酶,GABA是中枢神经系统(CNS)中主要的抑制性神经递质。GAD在中枢神经系统和胰腺β细胞中广泛表达。GAD产生的GABA在胰岛调节胰岛素分泌中起作用。抗广泛性焦虑症抗体是1型糖尿病(T1DM)的标志物,也与僵硬人综合征(SPS)和其他几种神经系统疾病有关,包括共济失调、认知障碍、边缘脑炎和癫痫,统称为广泛性焦虑症抗体谱障碍(GAD- sd)。我们报告一例17岁男性患者在异基因造血细胞移植(HCT)后出现GAD-SD和T1DM。他表现出记忆障碍,包括眩晕感,伴有呕吐和头痛,并表现出异常的脑磁共振成像和脑电图结果。除了空腹血糖和糖化血红蛋白水平升高外,血清和脑脊液中检测到抗广泛性ad抗体水平明显升高。根据这些发现,患者被诊断为GAD-SD和T1DM,并接受甲基强的松龙治疗,随后每日多次注射胰岛素。我们还回顾了先前报道的HCT和多个胰岛相关抗体阳性的GAD-SD病例。
本文章由计算机程序翻译,如有差异,请以英文原文为准。

Glutamic acid decarboxylase antibody-spectrum disorders and type 1 diabetes mellitus in a patient following allogenic hematopoietic cell transplantation with review of literature.

Glutamic acid decarboxylase antibody-spectrum disorders and type 1 diabetes mellitus in a patient following allogenic hematopoietic cell transplantation with review of literature.

Glutamic acid decarboxylase antibody-spectrum disorders and type 1 diabetes mellitus in a patient following allogenic hematopoietic cell transplantation with review of literature.

Glutamic acid decarboxylase antibody-spectrum disorders and type 1 diabetes mellitus in a patient following allogenic hematopoietic cell transplantation with review of literature.

Glutamic acid decarboxylase (GAD) is an enzyme that catalyzes the conversion of glutamic acid into γ-aminobutyric acid (GABA), the primary inhibitory neurotransmitter in the central nervous system (CNS). GAD is widely expressed in the CNS and pancreatic β-cells. GABA produced by GAD plays a role in regulating insulin secretion in pancreatic islets. Anti-GAD antibody is an established marker of type 1 diabetes mellitus (T1DM) and is also associated with stiff-person syndrome (SPS) and several other neurological disorders, including ataxia, cognitive impairment, limbic encephalitis, and epilepsy, collectively referred to as GAD antibody-spectrum disorders (GAD-SD). We report the case of a 17-year-old male patient who developed GAD-SD and T1DM after allogeneic hematopoietic cell transplantation (HCT). He presented with memory disorders, including feelings of déjà vu, accompanied by vomiting and headaches, and exhibited abnormal brain magnetic resonance imaging and electroencephalogram results. In addition to elevated fasting plasma glucose and glycated hemoglobin levels, markedly elevated anti-GAD antibody levels were detected in the serum and cerebrospinal fluid. Based on these findings, the patient was diagnosed with GAD-SD and T1DM and treated with methylprednisolone, followed by multiple daily insulin injections. We also reviewed previously reported cases of GAD-SD following HCT and multiple positive islet-related antibodies.

求助全文
通过发布文献求助,成功后即可免费获取论文全文。 去求助
来源期刊
Endocrine journal
Endocrine journal 医学-内分泌学与代谢
CiteScore
4.30
自引率
5.00%
发文量
224
审稿时长
1.5 months
期刊介绍: Endocrine Journal is an open access, peer-reviewed online journal with a long history. This journal publishes peer-reviewed research articles in multifaceted fields of basic, translational and clinical endocrinology. Endocrine Journal provides a chance to exchange your ideas, concepts and scientific observations in any area of recent endocrinology. Manuscripts may be submitted as Original Articles, Notes, Rapid Communications or Review Articles. We have a rapid reviewing and editorial decision system and pay a special attention to our quick, truly scientific and frequently-citable publication. Please go through the link for author guideline.
×
引用
GB/T 7714-2015
复制
MLA
复制
APA
复制
导出至
BibTeX EndNote RefMan NoteFirst NoteExpress
×
提示
您的信息不完整,为了账户安全,请先补充。
现在去补充
×
提示
您因"违规操作"
具体请查看互助需知
我知道了
×
提示
确定
请完成安全验证×
copy
已复制链接
快去分享给好友吧!
我知道了
右上角分享
点击右上角分享
0
联系我们:info@booksci.cn Book学术提供免费学术资源搜索服务,方便国内外学者检索中英文文献。致力于提供最便捷和优质的服务体验。 Copyright © 2023 布克学术 All rights reserved.
京ICP备2023020795号-1
ghs 京公网安备 11010802042870号
Book学术文献互助
Book学术文献互助群
群 号:604180095
Book学术官方微信