双垂体腺瘤合并尿崩症并发库欣病1例报告。

IF 1.2 Q4 ENDOCRINOLOGY & METABOLISM
Waye Hann Kang, Ida Ilyani Adam, Norasyikin A Wahab
{"title":"双垂体腺瘤合并尿崩症并发库欣病1例报告。","authors":"Waye Hann Kang, Ida Ilyani Adam, Norasyikin A Wahab","doi":"10.15605/jafes.039.02.05","DOIUrl":null,"url":null,"abstract":"<p><p>Managing a patient with both pituitary hypersecretory and hyposecretory manifestations may be perplexing. We report a 14-year-old female who presented with weight gain, polyuria and polydipsia. Biochemical results were consistent with Cushing disease with central diabetes insipidus. Pituitary magnetic resonance imaging showed a right adenoma with stalk thickening. The immunohistochemistry staining of both adenomas was positive for adrenocorticotropic hormone, thyroid stimulating hormone, growth hormone and luteinizing hormone. Postoperatively, the patient developed panhypopituitarism with persistent diabetes insipidus. The coexistence of double adenomas can pose diagnostic and management challenges and is a common cause of surgical failure. Intraoperative evaluation is important in the identification of double or multiple pituitary adenomas in a patient presenting with multiple secretory manifestations.</p>","PeriodicalId":41792,"journal":{"name":"Journal of the ASEAN Federation of Endocrine Societies","volume":"39 2","pages":"97-102"},"PeriodicalIF":1.2000,"publicationDate":"2024-01-01","publicationTypes":"Journal Article","fieldsOfStudy":null,"isOpenAccess":false,"openAccessPdf":"https://www.ncbi.nlm.nih.gov/pmc/articles/PMC11604367/pdf/","citationCount":"0","resultStr":"{\"title\":\"Cushing Disease in a Patient with Double Pituitary Adenomas Complicated with Diabetes Insipidus: A Case Report.\",\"authors\":\"Waye Hann Kang, Ida Ilyani Adam, Norasyikin A Wahab\",\"doi\":\"10.15605/jafes.039.02.05\",\"DOIUrl\":null,\"url\":null,\"abstract\":\"<p><p>Managing a patient with both pituitary hypersecretory and hyposecretory manifestations may be perplexing. We report a 14-year-old female who presented with weight gain, polyuria and polydipsia. Biochemical results were consistent with Cushing disease with central diabetes insipidus. Pituitary magnetic resonance imaging showed a right adenoma with stalk thickening. The immunohistochemistry staining of both adenomas was positive for adrenocorticotropic hormone, thyroid stimulating hormone, growth hormone and luteinizing hormone. Postoperatively, the patient developed panhypopituitarism with persistent diabetes insipidus. The coexistence of double adenomas can pose diagnostic and management challenges and is a common cause of surgical failure. Intraoperative evaluation is important in the identification of double or multiple pituitary adenomas in a patient presenting with multiple secretory manifestations.</p>\",\"PeriodicalId\":41792,\"journal\":{\"name\":\"Journal of the ASEAN Federation of Endocrine Societies\",\"volume\":\"39 2\",\"pages\":\"97-102\"},\"PeriodicalIF\":1.2000,\"publicationDate\":\"2024-01-01\",\"publicationTypes\":\"Journal Article\",\"fieldsOfStudy\":null,\"isOpenAccess\":false,\"openAccessPdf\":\"https://www.ncbi.nlm.nih.gov/pmc/articles/PMC11604367/pdf/\",\"citationCount\":\"0\",\"resultStr\":null,\"platform\":\"Semanticscholar\",\"paperid\":null,\"PeriodicalName\":\"Journal of the ASEAN Federation of Endocrine Societies\",\"FirstCategoryId\":\"1085\",\"ListUrlMain\":\"https://doi.org/10.15605/jafes.039.02.05\",\"RegionNum\":0,\"RegionCategory\":null,\"ArticlePicture\":[],\"TitleCN\":null,\"AbstractTextCN\":null,\"PMCID\":null,\"EPubDate\":\"2024/7/31 0:00:00\",\"PubModel\":\"Epub\",\"JCR\":\"Q4\",\"JCRName\":\"ENDOCRINOLOGY & METABOLISM\",\"Score\":null,\"Total\":0}","platform":"Semanticscholar","paperid":null,"PeriodicalName":"Journal of the ASEAN Federation of Endocrine Societies","FirstCategoryId":"1085","ListUrlMain":"https://doi.org/10.15605/jafes.039.02.05","RegionNum":0,"RegionCategory":null,"ArticlePicture":[],"TitleCN":null,"AbstractTextCN":null,"PMCID":null,"EPubDate":"2024/7/31 0:00:00","PubModel":"Epub","JCR":"Q4","JCRName":"ENDOCRINOLOGY & METABOLISM","Score":null,"Total":0}
引用次数: 0

摘要

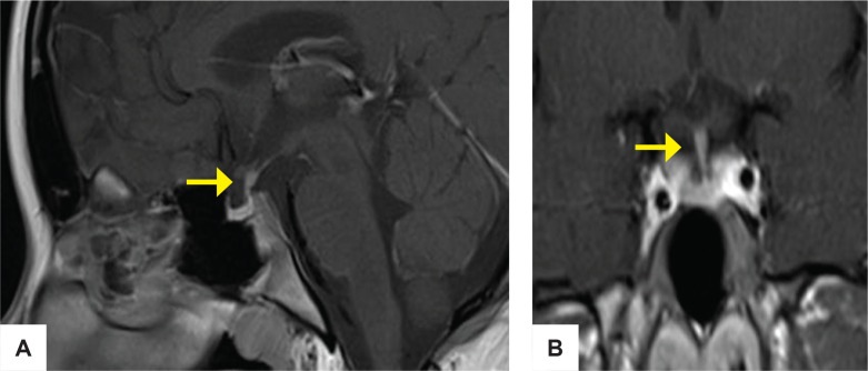
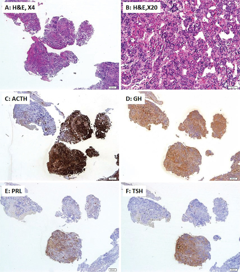
处理一个同时有垂体高分泌和低分泌表现的病人可能是令人困惑的。我们报告一个14岁的女性谁提出体重增加,多尿和烦渴。生化结果与库欣病合并中枢性尿崩症一致。垂体磁共振成像显示右侧腺瘤伴茎部增厚。两种腺瘤的免疫组化染色均为促肾上腺皮质激素、促甲状腺激素、生长激素和促黄体生成素阳性。术后,患者出现垂体功能减退并持续性尿崩症。双腺瘤的共存会给诊断和治疗带来挑战,也是手术失败的常见原因。术中评估是识别双重或多重垂体腺瘤的重要患者呈现多种分泌表现。
本文章由计算机程序翻译,如有差异,请以英文原文为准。

Cushing Disease in a Patient with Double Pituitary Adenomas Complicated with Diabetes Insipidus: A Case Report.

Cushing Disease in a Patient with Double Pituitary Adenomas Complicated with Diabetes Insipidus: A Case Report.

Cushing Disease in a Patient with Double Pituitary Adenomas Complicated with Diabetes Insipidus: A Case Report.

Cushing Disease in a Patient with Double Pituitary Adenomas Complicated with Diabetes Insipidus: A Case Report.

Managing a patient with both pituitary hypersecretory and hyposecretory manifestations may be perplexing. We report a 14-year-old female who presented with weight gain, polyuria and polydipsia. Biochemical results were consistent with Cushing disease with central diabetes insipidus. Pituitary magnetic resonance imaging showed a right adenoma with stalk thickening. The immunohistochemistry staining of both adenomas was positive for adrenocorticotropic hormone, thyroid stimulating hormone, growth hormone and luteinizing hormone. Postoperatively, the patient developed panhypopituitarism with persistent diabetes insipidus. The coexistence of double adenomas can pose diagnostic and management challenges and is a common cause of surgical failure. Intraoperative evaluation is important in the identification of double or multiple pituitary adenomas in a patient presenting with multiple secretory manifestations.

求助全文
通过发布文献求助,成功后即可免费获取论文全文。 去求助
来源期刊
CiteScore
1.20
自引率
0.00%
发文量
22
审稿时长
8 weeks
期刊介绍: The Journal of the ASEAN Federation of Endocrine Societies (JAFES) is an OPEN ACCESS, internationally peer-reviewed, English language, medical and health science journal that is published in print two times a year by the ASEAN Federation of Endocrine Societies. It shall serve as the endocrine window between the ASEAN region and the world, featuring original papers and publishing key findings from specialists and experts of endocrinology.
×
引用
GB/T 7714-2015
复制
MLA
复制
APA
复制
导出至
BibTeX EndNote RefMan NoteFirst NoteExpress
×
提示
您的信息不完整,为了账户安全,请先补充。
现在去补充
×
提示
您因"违规操作"
具体请查看互助需知
我知道了
×
提示
确定
请完成安全验证×
copy
已复制链接
快去分享给好友吧!
我知道了
右上角分享
点击右上角分享
0
联系我们:info@booksci.cn Book学术提供免费学术资源搜索服务,方便国内外学者检索中英文文献。致力于提供最便捷和优质的服务体验。 Copyright © 2023 布克学术 All rights reserved.
京ICP备2023020795号-1
ghs 京公网安备 11010802042870号
Book学术文献互助
Book学术文献互助群
群 号:604180095
Book学术官方微信