多面性肾上腺皮质癌1例。

IF 1.2 Q4 ENDOCRINOLOGY & METABOLISM
Jie En Tan, Florence Hui Sieng Tan, Yueh Chien Kuan, Pei Lin Chan, Yusuf Yusri
{"title":"多面性肾上腺皮质癌1例。","authors":"Jie En Tan, Florence Hui Sieng Tan, Yueh Chien Kuan, Pei Lin Chan, Yusuf Yusri","doi":"10.15605/jafes.039.02.16","DOIUrl":null,"url":null,"abstract":"<p><p>Adrenocortical carcinoma (ACC) is a rare malignant tumour from the adrenal cortex. Half of the cases are functional, with ACTH-independent autonomous cortisol production being the most common. It is rare for ACC to present with markedly elevated metanephrine levels, characteristic of pheochromocytoma. We report a case of a large functioning adrenal tumour with overlapping biochemical features of ACC and pheochromocytoma. Biopsy confirmed the histopathological diagnosis of metastatic ACC.</p>","PeriodicalId":41792,"journal":{"name":"Journal of the ASEAN Federation of Endocrine Societies","volume":"39 2","pages":"92-96"},"PeriodicalIF":1.2000,"publicationDate":"2024-01-01","publicationTypes":"Journal Article","fieldsOfStudy":null,"isOpenAccess":false,"openAccessPdf":"https://www.ncbi.nlm.nih.gov/pmc/articles/PMC11604357/pdf/","citationCount":"0","resultStr":"{\"title\":\"An Unusual Case of Adrenocortical Carcinoma with Multiple Facets.\",\"authors\":\"Jie En Tan, Florence Hui Sieng Tan, Yueh Chien Kuan, Pei Lin Chan, Yusuf Yusri\",\"doi\":\"10.15605/jafes.039.02.16\",\"DOIUrl\":null,\"url\":null,\"abstract\":\"<p><p>Adrenocortical carcinoma (ACC) is a rare malignant tumour from the adrenal cortex. Half of the cases are functional, with ACTH-independent autonomous cortisol production being the most common. It is rare for ACC to present with markedly elevated metanephrine levels, characteristic of pheochromocytoma. We report a case of a large functioning adrenal tumour with overlapping biochemical features of ACC and pheochromocytoma. Biopsy confirmed the histopathological diagnosis of metastatic ACC.</p>\",\"PeriodicalId\":41792,\"journal\":{\"name\":\"Journal of the ASEAN Federation of Endocrine Societies\",\"volume\":\"39 2\",\"pages\":\"92-96\"},\"PeriodicalIF\":1.2000,\"publicationDate\":\"2024-01-01\",\"publicationTypes\":\"Journal Article\",\"fieldsOfStudy\":null,\"isOpenAccess\":false,\"openAccessPdf\":\"https://www.ncbi.nlm.nih.gov/pmc/articles/PMC11604357/pdf/\",\"citationCount\":\"0\",\"resultStr\":null,\"platform\":\"Semanticscholar\",\"paperid\":null,\"PeriodicalName\":\"Journal of the ASEAN Federation of Endocrine Societies\",\"FirstCategoryId\":\"1085\",\"ListUrlMain\":\"https://doi.org/10.15605/jafes.039.02.16\",\"RegionNum\":0,\"RegionCategory\":null,\"ArticlePicture\":[],\"TitleCN\":null,\"AbstractTextCN\":null,\"PMCID\":null,\"EPubDate\":\"2024/9/3 0:00:00\",\"PubModel\":\"Epub\",\"JCR\":\"Q4\",\"JCRName\":\"ENDOCRINOLOGY & METABOLISM\",\"Score\":null,\"Total\":0}","platform":"Semanticscholar","paperid":null,"PeriodicalName":"Journal of the ASEAN Federation of Endocrine Societies","FirstCategoryId":"1085","ListUrlMain":"https://doi.org/10.15605/jafes.039.02.16","RegionNum":0,"RegionCategory":null,"ArticlePicture":[],"TitleCN":null,"AbstractTextCN":null,"PMCID":null,"EPubDate":"2024/9/3 0:00:00","PubModel":"Epub","JCR":"Q4","JCRName":"ENDOCRINOLOGY & METABOLISM","Score":null,"Total":0}
引用次数: 0

摘要

摘要肾上腺皮质癌是一种罕见的肾上腺皮质恶性肿瘤。一半的病例是功能性的,与acth无关的自主皮质醇产生是最常见的。罕见的ACC表现为肾上腺素水平明显升高,这是嗜铬细胞瘤的特征。我们报告一个具有ACC和嗜铬细胞瘤重叠生化特征的大功能肾上腺肿瘤病例。活检证实了转移性ACC的组织病理学诊断。
本文章由计算机程序翻译,如有差异,请以英文原文为准。

An Unusual Case of Adrenocortical Carcinoma with Multiple Facets.

An Unusual Case of Adrenocortical Carcinoma with Multiple Facets.

An Unusual Case of Adrenocortical Carcinoma with Multiple Facets.

An Unusual Case of Adrenocortical Carcinoma with Multiple Facets.

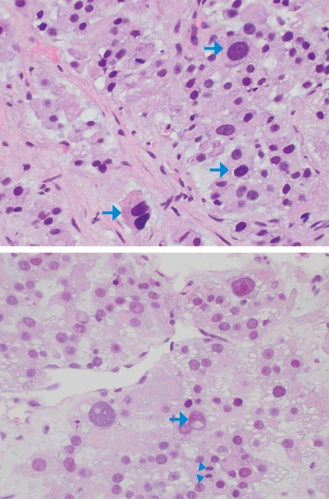
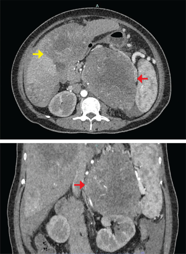
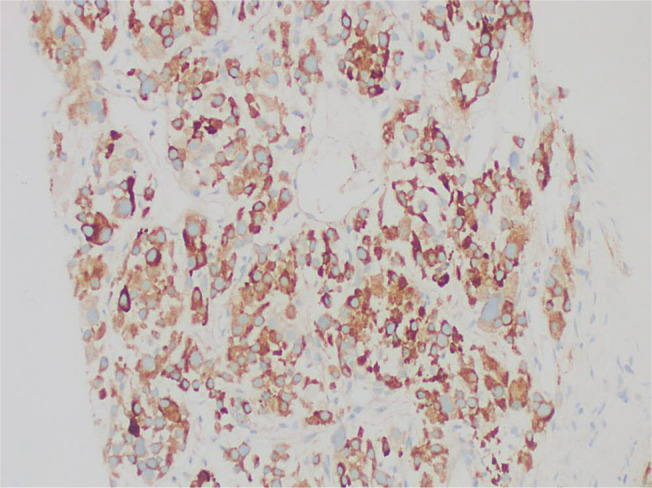
Adrenocortical carcinoma (ACC) is a rare malignant tumour from the adrenal cortex. Half of the cases are functional, with ACTH-independent autonomous cortisol production being the most common. It is rare for ACC to present with markedly elevated metanephrine levels, characteristic of pheochromocytoma. We report a case of a large functioning adrenal tumour with overlapping biochemical features of ACC and pheochromocytoma. Biopsy confirmed the histopathological diagnosis of metastatic ACC.

求助全文
通过发布文献求助,成功后即可免费获取论文全文。 去求助
来源期刊
CiteScore
1.20
自引率
0.00%
发文量
22
审稿时长
8 weeks
期刊介绍: The Journal of the ASEAN Federation of Endocrine Societies (JAFES) is an OPEN ACCESS, internationally peer-reviewed, English language, medical and health science journal that is published in print two times a year by the ASEAN Federation of Endocrine Societies. It shall serve as the endocrine window between the ASEAN region and the world, featuring original papers and publishing key findings from specialists and experts of endocrinology.
×
引用
GB/T 7714-2015
复制
MLA
复制
APA
复制
导出至
BibTeX EndNote RefMan NoteFirst NoteExpress
×
提示
您的信息不完整,为了账户安全,请先补充。
现在去补充
×
提示
您因"违规操作"
具体请查看互助需知
我知道了
×
提示
确定
请完成安全验证×
copy
已复制链接
快去分享给好友吧!
我知道了
右上角分享
点击右上角分享
0
联系我们:info@booksci.cn Book学术提供免费学术资源搜索服务,方便国内外学者检索中英文文献。致力于提供最便捷和优质的服务体验。 Copyright © 2023 布克学术 All rights reserved.
京ICP备2023020795号-1
ghs 京公网安备 11010802042870号
Book学术文献互助
Book学术文献互助群
群 号:604180095
Book学术官方微信