眼眶内罕见孤立性转移性甲状腺乳头状癌1例报告及文献复习。

IF 1.8 Q3 ENDOCRINOLOGY & METABOLISM
Behzad Khademi, Zahra Zia
{"title":"眼眶内罕见孤立性转移性甲状腺乳头状癌1例报告及文献复习。","authors":"Behzad Khademi, Zahra Zia","doi":"10.1186/s13044-024-00216-5","DOIUrl":null,"url":null,"abstract":"<p><strong>Purpose: </strong>Orbital metastasis secondary to thyroid carcinoma is an exceedingly rare occurrence. In this case report, we present a rare isolated orbital metastasis of papillary thyroid carcinoma (PTC).</p><p><strong>Methods: </strong>A case report and literature review study.</p><p><strong>Result: </strong>A 55-year-old female, who presented with right-sided exophthalmos persisting for seven months and a week-long history of decreased visual acuity. Orbital computed tomography (CT) revealed a solid, isolated, well-circumscribed mass confined to the right intra-conal orbital cavity. Surgical excision via lateral orbitotomy confirmed the diagnosis of metastatic PTC.</p><p><strong>Conclusion: </strong>Most cases reported in the literature have identified orbital masses concurrently with the initial diagnosis of thyroid carcinoma. In contrast, our patient exhibited ocular symptoms following a prolonged interval after normal post ablative iodine imaging, highlighting a significant delay in metastatic presentation. Moreover, the solid and well-defined nature of the metastatic orbital mass, confined solely to the orbital cavity without evidence of bony destruction, muscle involvement or intracranial extension in this patient, constitutes a distinctive clinical feature rarely documented in existing case reports.</p>","PeriodicalId":39048,"journal":{"name":"Thyroid Research","volume":"17 1","pages":"25"},"PeriodicalIF":1.8000,"publicationDate":"2024-12-02","publicationTypes":"Journal Article","fieldsOfStudy":null,"isOpenAccess":false,"openAccessPdf":"https://www.ncbi.nlm.nih.gov/pmc/articles/PMC11610097/pdf/","citationCount":"0","resultStr":"{\"title\":\"A case report and literature review of rare isolated metastatic papillary thyroid carcinoma in the orbit.\",\"authors\":\"Behzad Khademi, Zahra Zia\",\"doi\":\"10.1186/s13044-024-00216-5\",\"DOIUrl\":null,\"url\":null,\"abstract\":\"<p><strong>Purpose: </strong>Orbital metastasis secondary to thyroid carcinoma is an exceedingly rare occurrence. In this case report, we present a rare isolated orbital metastasis of papillary thyroid carcinoma (PTC).</p><p><strong>Methods: </strong>A case report and literature review study.</p><p><strong>Result: </strong>A 55-year-old female, who presented with right-sided exophthalmos persisting for seven months and a week-long history of decreased visual acuity. Orbital computed tomography (CT) revealed a solid, isolated, well-circumscribed mass confined to the right intra-conal orbital cavity. Surgical excision via lateral orbitotomy confirmed the diagnosis of metastatic PTC.</p><p><strong>Conclusion: </strong>Most cases reported in the literature have identified orbital masses concurrently with the initial diagnosis of thyroid carcinoma. In contrast, our patient exhibited ocular symptoms following a prolonged interval after normal post ablative iodine imaging, highlighting a significant delay in metastatic presentation. Moreover, the solid and well-defined nature of the metastatic orbital mass, confined solely to the orbital cavity without evidence of bony destruction, muscle involvement or intracranial extension in this patient, constitutes a distinctive clinical feature rarely documented in existing case reports.</p>\",\"PeriodicalId\":39048,\"journal\":{\"name\":\"Thyroid Research\",\"volume\":\"17 1\",\"pages\":\"25\"},\"PeriodicalIF\":1.8000,\"publicationDate\":\"2024-12-02\",\"publicationTypes\":\"Journal Article\",\"fieldsOfStudy\":null,\"isOpenAccess\":false,\"openAccessPdf\":\"https://www.ncbi.nlm.nih.gov/pmc/articles/PMC11610097/pdf/\",\"citationCount\":\"0\",\"resultStr\":null,\"platform\":\"Semanticscholar\",\"paperid\":null,\"PeriodicalName\":\"Thyroid Research\",\"FirstCategoryId\":\"1085\",\"ListUrlMain\":\"https://doi.org/10.1186/s13044-024-00216-5\",\"RegionNum\":0,\"RegionCategory\":null,\"ArticlePicture\":[],\"TitleCN\":null,\"AbstractTextCN\":null,\"PMCID\":null,\"EPubDate\":\"\",\"PubModel\":\"\",\"JCR\":\"Q3\",\"JCRName\":\"ENDOCRINOLOGY & METABOLISM\",\"Score\":null,\"Total\":0}","platform":"Semanticscholar","paperid":null,"PeriodicalName":"Thyroid Research","FirstCategoryId":"1085","ListUrlMain":"https://doi.org/10.1186/s13044-024-00216-5","RegionNum":0,"RegionCategory":null,"ArticlePicture":[],"TitleCN":null,"AbstractTextCN":null,"PMCID":null,"EPubDate":"","PubModel":"","JCR":"Q3","JCRName":"ENDOCRINOLOGY & METABOLISM","Score":null,"Total":0}
引用次数: 0

摘要

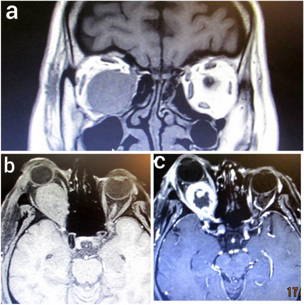
目的:甲状腺癌继发眼眶转移极为罕见。在此病例报告中,我们报告一例罕见的孤立性甲状腺乳头状癌眼眶转移。方法:采用病例报告和文献复习法。结果:一名55岁女性,表现为右侧突出眼,持续7个月,视力下降史长达一周。眼眶计算机断层扫描(CT)显示一个实心的、孤立的、边界清楚的肿块,局限于右侧圆锥内眼眶腔。手术切除外侧眼窝证实转移性PTC的诊断。结论:文献报道的大多数病例在初次诊断甲状腺癌的同时发现了眼眶肿块。相比之下,我们的患者在消融后碘显像正常后出现眼部症状的时间间隔较长,突出了转移表现的显著延迟。此外,转移性眼眶肿块的坚固性和明确的性质,仅局限于眼眶腔,没有骨破坏、肌肉受累或颅内扩张的证据,构成了现有病例报告中很少记载的独特临床特征。
本文章由计算机程序翻译,如有差异,请以英文原文为准。

A case report and literature review of rare isolated metastatic papillary thyroid carcinoma in the orbit.

A case report and literature review of rare isolated metastatic papillary thyroid carcinoma in the orbit.

A case report and literature review of rare isolated metastatic papillary thyroid carcinoma in the orbit.

Purpose: Orbital metastasis secondary to thyroid carcinoma is an exceedingly rare occurrence. In this case report, we present a rare isolated orbital metastasis of papillary thyroid carcinoma (PTC).

Methods: A case report and literature review study.

Result: A 55-year-old female, who presented with right-sided exophthalmos persisting for seven months and a week-long history of decreased visual acuity. Orbital computed tomography (CT) revealed a solid, isolated, well-circumscribed mass confined to the right intra-conal orbital cavity. Surgical excision via lateral orbitotomy confirmed the diagnosis of metastatic PTC.

Conclusion: Most cases reported in the literature have identified orbital masses concurrently with the initial diagnosis of thyroid carcinoma. In contrast, our patient exhibited ocular symptoms following a prolonged interval after normal post ablative iodine imaging, highlighting a significant delay in metastatic presentation. Moreover, the solid and well-defined nature of the metastatic orbital mass, confined solely to the orbital cavity without evidence of bony destruction, muscle involvement or intracranial extension in this patient, constitutes a distinctive clinical feature rarely documented in existing case reports.

求助全文
通过发布文献求助,成功后即可免费获取论文全文。 去求助
来源期刊
Thyroid Research
Thyroid Research Medicine-Endocrinology, Diabetes and Metabolism
CiteScore
3.10
自引率
4.50%
发文量
21
审稿时长
8 weeks
×
引用
GB/T 7714-2015
复制
MLA
复制
APA
复制
导出至
BibTeX EndNote RefMan NoteFirst NoteExpress
×
提示
您的信息不完整,为了账户安全,请先补充。
现在去补充
×
提示
您因"违规操作"
具体请查看互助需知
我知道了
×
提示
确定
请完成安全验证×
copy
已复制链接
快去分享给好友吧!
我知道了
右上角分享
点击右上角分享
0
联系我们:info@booksci.cn Book学术提供免费学术资源搜索服务,方便国内外学者检索中英文文献。致力于提供最便捷和优质的服务体验。 Copyright © 2023 布克学术 All rights reserved.
京ICP备2023020795号-1
ghs 京公网安备 11010802042870号
Book学术文献互助
Book学术文献互助群
群 号:604180095
Book学术官方微信