经内镜激光消融术治疗猫食管浆细胞瘤。

IF 0.7 Q3 VETERINARY SCIENCES
Journal of Feline Medicine and Surgery Open Reports Pub Date : 2024-11-28 eCollection Date: 2024-07-01 DOI:10.1177/20551169241289405
Maya E Wallick, Matthew J Lechner, Nicole C Bonaventura
{"title":"经内镜激光消融术治疗猫食管浆细胞瘤。","authors":"Maya E Wallick, Matthew J Lechner, Nicole C Bonaventura","doi":"10.1177/20551169241289405","DOIUrl":null,"url":null,"abstract":"<p><strong>Case summary: </strong>A 15-year-old male castrated domestic shorthair cat was presented for acute lethargy, vomiting and hyporexia. Abdominal and thoracic radiographs revealed a caudal thoracic/esophageal soft tissue opacity with concern for an esophageal mass or an esophageal foreign body. Esophagoscopy confirmed the presence of a large, irregular, mid-esophageal mass. Laser ablation using esophagoscopy was utilized to debulk the mass. Approximately 80% of the mass was removed without complication and an esophagostomy feeding tube was placed. The cat was discharged the same day of the procedure. Histopathology and immunohistochemistry staining were consistent with a plasma cell tumor. Recheck esophagoscopy 2 weeks after the procedure revealed no evidence of regrowth and resolved clinical signs in the patient.</p><p><strong>Relevance and novel information: </strong>Laser ablation of esophageal neoplasms in cats represents a novel, lower cost, minimally invasive, palliative treatment alternative to surgery. To the authors' knowledge, this is the first published report of successful partial laser ablation treatment of a large esophageal plasma cell tumor in a cat.</p>","PeriodicalId":36588,"journal":{"name":"Journal of Feline Medicine and Surgery Open Reports","volume":"10 2","pages":"20551169241289405"},"PeriodicalIF":0.7000,"publicationDate":"2024-11-28","publicationTypes":"Journal Article","fieldsOfStudy":null,"isOpenAccess":false,"openAccessPdf":"https://www.ncbi.nlm.nih.gov/pmc/articles/PMC11605755/pdf/","citationCount":"0","resultStr":"{\"title\":\"Transendoscopic laser ablation of an esophageal plasma cell tumor in a cat.\",\"authors\":\"Maya E Wallick, Matthew J Lechner, Nicole C Bonaventura\",\"doi\":\"10.1177/20551169241289405\",\"DOIUrl\":null,\"url\":null,\"abstract\":\"<p><strong>Case summary: </strong>A 15-year-old male castrated domestic shorthair cat was presented for acute lethargy, vomiting and hyporexia. Abdominal and thoracic radiographs revealed a caudal thoracic/esophageal soft tissue opacity with concern for an esophageal mass or an esophageal foreign body. Esophagoscopy confirmed the presence of a large, irregular, mid-esophageal mass. Laser ablation using esophagoscopy was utilized to debulk the mass. Approximately 80% of the mass was removed without complication and an esophagostomy feeding tube was placed. The cat was discharged the same day of the procedure. Histopathology and immunohistochemistry staining were consistent with a plasma cell tumor. Recheck esophagoscopy 2 weeks after the procedure revealed no evidence of regrowth and resolved clinical signs in the patient.</p><p><strong>Relevance and novel information: </strong>Laser ablation of esophageal neoplasms in cats represents a novel, lower cost, minimally invasive, palliative treatment alternative to surgery. To the authors' knowledge, this is the first published report of successful partial laser ablation treatment of a large esophageal plasma cell tumor in a cat.</p>\",\"PeriodicalId\":36588,\"journal\":{\"name\":\"Journal of Feline Medicine and Surgery Open Reports\",\"volume\":\"10 2\",\"pages\":\"20551169241289405\"},\"PeriodicalIF\":0.7000,\"publicationDate\":\"2024-11-28\",\"publicationTypes\":\"Journal Article\",\"fieldsOfStudy\":null,\"isOpenAccess\":false,\"openAccessPdf\":\"https://www.ncbi.nlm.nih.gov/pmc/articles/PMC11605755/pdf/\",\"citationCount\":\"0\",\"resultStr\":null,\"platform\":\"Semanticscholar\",\"paperid\":null,\"PeriodicalName\":\"Journal of Feline Medicine and Surgery Open Reports\",\"FirstCategoryId\":\"1085\",\"ListUrlMain\":\"https://doi.org/10.1177/20551169241289405\",\"RegionNum\":0,\"RegionCategory\":null,\"ArticlePicture\":[],\"TitleCN\":null,\"AbstractTextCN\":null,\"PMCID\":null,\"EPubDate\":\"2024/7/1 0:00:00\",\"PubModel\":\"eCollection\",\"JCR\":\"Q3\",\"JCRName\":\"VETERINARY SCIENCES\",\"Score\":null,\"Total\":0}","platform":"Semanticscholar","paperid":null,"PeriodicalName":"Journal of Feline Medicine and Surgery Open Reports","FirstCategoryId":"1085","ListUrlMain":"https://doi.org/10.1177/20551169241289405","RegionNum":0,"RegionCategory":null,"ArticlePicture":[],"TitleCN":null,"AbstractTextCN":null,"PMCID":null,"EPubDate":"2024/7/1 0:00:00","PubModel":"eCollection","JCR":"Q3","JCRName":"VETERINARY SCIENCES","Score":null,"Total":0}
引用次数: 0

摘要

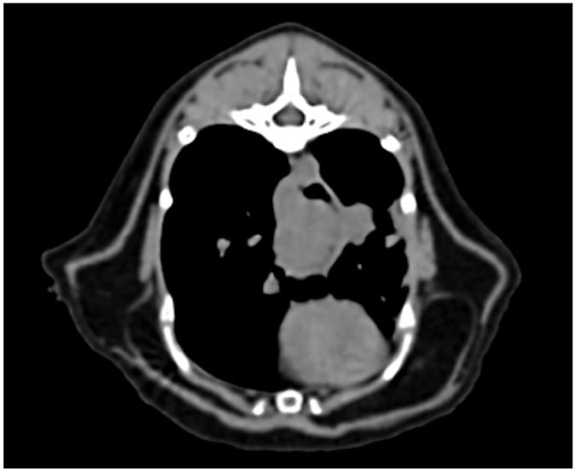
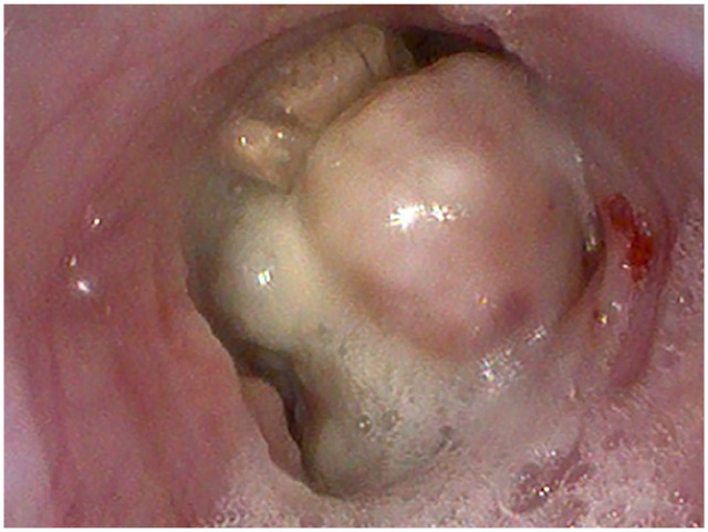
病例总结:一只15岁的雄性家短毛猫因急性嗜睡、呕吐和缺氧而出现。腹部和胸部x线片显示尾侧胸椎/食管软组织不透明,可能有食管肿块或食管异物。食管镜检查证实食管中部有一个不规则的大肿块。采用食道镜下激光消融术去除肿块。大约80%的肿块被切除,没有并发症,并放置了食管造口饲管。手术当天猫就出院了。组织病理学和免疫组化染色符合浆细胞瘤。术后2周复查食管镜,未发现肿瘤再生迹象,临床症状消失。相关性和新信息:激光消融术治疗猫食道肿瘤是一种新颖、低成本、微创、姑息性治疗替代手术的方法。据作者所知,这是首次发表的成功的部分激光消融治疗猫大食道浆细胞瘤的报告。
本文章由计算机程序翻译,如有差异,请以英文原文为准。

Transendoscopic laser ablation of an esophageal plasma cell tumor in a cat.

Transendoscopic laser ablation of an esophageal plasma cell tumor in a cat.

Transendoscopic laser ablation of an esophageal plasma cell tumor in a cat.

Transendoscopic laser ablation of an esophageal plasma cell tumor in a cat.

Case summary: A 15-year-old male castrated domestic shorthair cat was presented for acute lethargy, vomiting and hyporexia. Abdominal and thoracic radiographs revealed a caudal thoracic/esophageal soft tissue opacity with concern for an esophageal mass or an esophageal foreign body. Esophagoscopy confirmed the presence of a large, irregular, mid-esophageal mass. Laser ablation using esophagoscopy was utilized to debulk the mass. Approximately 80% of the mass was removed without complication and an esophagostomy feeding tube was placed. The cat was discharged the same day of the procedure. Histopathology and immunohistochemistry staining were consistent with a plasma cell tumor. Recheck esophagoscopy 2 weeks after the procedure revealed no evidence of regrowth and resolved clinical signs in the patient.

Relevance and novel information: Laser ablation of esophageal neoplasms in cats represents a novel, lower cost, minimally invasive, palliative treatment alternative to surgery. To the authors' knowledge, this is the first published report of successful partial laser ablation treatment of a large esophageal plasma cell tumor in a cat.

求助全文
通过发布文献求助,成功后即可免费获取论文全文。 去求助
来源期刊
CiteScore
1.30
自引率
14.30%
发文量
57
审稿时长
15 weeks
×
引用
GB/T 7714-2015
复制
MLA
复制
APA
复制
导出至
BibTeX EndNote RefMan NoteFirst NoteExpress
×
提示
您的信息不完整,为了账户安全,请先补充。
现在去补充
×
提示
您因"违规操作"
具体请查看互助需知
我知道了
×
提示
确定
请完成安全验证×
copy
已复制链接
快去分享给好友吧!
我知道了
右上角分享
点击右上角分享
0
联系我们:info@booksci.cn Book学术提供免费学术资源搜索服务,方便国内外学者检索中英文文献。致力于提供最便捷和优质的服务体验。 Copyright © 2023 布克学术 All rights reserved.
京ICP备2023020795号-1
ghs 京公网安备 11010802042870号
Book学术文献互助
Book学术文献互助群
群 号:604180095
Book学术官方微信