结直肠癌患者三级淋巴结构成熟度的临床意义。

Q2 Medicine
Jiangjiang Zheng, Jingjing Yu, Jingjing Xie, Dong Chen, Hong Deng
{"title":"结直肠癌患者三级淋巴结构成熟度的临床意义。","authors":"Jiangjiang Zheng, Jingjing Yu, Jingjing Xie, Dong Chen, Hong Deng","doi":"10.3724/zdxbyxb-2024-0320","DOIUrl":null,"url":null,"abstract":"<p><strong>Objectives: </strong>To explore the clinical significance of the tertiary lymphoid structure (TLS) maturity in colorectal cancer patients.</p><p><strong>Methods: </strong>A total of 230 surgically removed colorectal cancer specimens with detailed follow-up data were collected from Yinzhou Second Hospital. The patients were divided into mature TLS group and immature TLS group according to immunohistochemical results. The patient age, gender, maximum tumor diameter, tumor location, differentiation degree, depth of invasion, lymph node metastasis, vascular tumor thrombus, liver metastasis, distant non-liver metastasis, mismatch repair status, expression of Ki-67, P53 and programmed death-ligand (PD-L) 1 were analyzed. The Kaplan-Meier method (Breslow test) was used to analyze the survival of patients, and multivariate Cox regression model was applied to analyze the prognostic factors.</p><p><strong>Results: </strong>There were 128 cases of mature TLS and 102 cases of immature TLS. Compared to the immature TLS group, the mature TLS group showed a significantly lower rate of vascular tumor thrombus, lymph node metastasis, and liver metastasis. Additionally, the positive expression rate of Ki-67 was markedly reduced, while the rate of deficient mismatch repair and the positive rate of PD-L1 were significantly increased (all <i>P</i><0.05). The overall survival rate of the mature TLS group was superior to that of the immature TLS group (Breslow=4.553, <i>P</i><0.05). Cox regression analysis indicated that lymph node metastasis was an independent risk factor for the prognosis of colorectal cancer patients (<i>P</i><0.01), while TLS maturation was a protective factor (<i>P</i><0.05).</p><p><strong>Conclusions: </strong>The formation of TLS may play a significant role in inhibiting lymph node metastasis, liver metastasis, and vascular tumor thrombus in colorectal cancer. In addition, patients with mature TLS have a favorable clinical prognosis.</p>","PeriodicalId":24007,"journal":{"name":"Zhejiang da xue xue bao. Yi xue ban = Journal of Zhejiang University. Medical sciences","volume":" ","pages":"765-771"},"PeriodicalIF":0.0000,"publicationDate":"2024-12-25","publicationTypes":"Journal Article","fieldsOfStudy":null,"isOpenAccess":false,"openAccessPdf":"https://www.ncbi.nlm.nih.gov/pmc/articles/PMC11736343/pdf/","citationCount":"0","resultStr":"{\"title\":\"[Clinical significance of tertiary lymphoid structure maturity in colorectal cancer patients].\",\"authors\":\"Jiangjiang Zheng, Jingjing Yu, Jingjing Xie, Dong Chen, Hong Deng\",\"doi\":\"10.3724/zdxbyxb-2024-0320\",\"DOIUrl\":null,\"url\":null,\"abstract\":\"<p><strong>Objectives: </strong>To explore the clinical significance of the tertiary lymphoid structure (TLS) maturity in colorectal cancer patients.</p><p><strong>Methods: </strong>A total of 230 surgically removed colorectal cancer specimens with detailed follow-up data were collected from Yinzhou Second Hospital. The patients were divided into mature TLS group and immature TLS group according to immunohistochemical results. The patient age, gender, maximum tumor diameter, tumor location, differentiation degree, depth of invasion, lymph node metastasis, vascular tumor thrombus, liver metastasis, distant non-liver metastasis, mismatch repair status, expression of Ki-67, P53 and programmed death-ligand (PD-L) 1 were analyzed. The Kaplan-Meier method (Breslow test) was used to analyze the survival of patients, and multivariate Cox regression model was applied to analyze the prognostic factors.</p><p><strong>Results: </strong>There were 128 cases of mature TLS and 102 cases of immature TLS. Compared to the immature TLS group, the mature TLS group showed a significantly lower rate of vascular tumor thrombus, lymph node metastasis, and liver metastasis. Additionally, the positive expression rate of Ki-67 was markedly reduced, while the rate of deficient mismatch repair and the positive rate of PD-L1 were significantly increased (all <i>P</i><0.05). The overall survival rate of the mature TLS group was superior to that of the immature TLS group (Breslow=4.553, <i>P</i><0.05). Cox regression analysis indicated that lymph node metastasis was an independent risk factor for the prognosis of colorectal cancer patients (<i>P</i><0.01), while TLS maturation was a protective factor (<i>P</i><0.05).</p><p><strong>Conclusions: </strong>The formation of TLS may play a significant role in inhibiting lymph node metastasis, liver metastasis, and vascular tumor thrombus in colorectal cancer. In addition, patients with mature TLS have a favorable clinical prognosis.</p>\",\"PeriodicalId\":24007,\"journal\":{\"name\":\"Zhejiang da xue xue bao. Yi xue ban = Journal of Zhejiang University. Medical sciences\",\"volume\":\" \",\"pages\":\"765-771\"},\"PeriodicalIF\":0.0000,\"publicationDate\":\"2024-12-25\",\"publicationTypes\":\"Journal Article\",\"fieldsOfStudy\":null,\"isOpenAccess\":false,\"openAccessPdf\":\"https://www.ncbi.nlm.nih.gov/pmc/articles/PMC11736343/pdf/\",\"citationCount\":\"0\",\"resultStr\":null,\"platform\":\"Semanticscholar\",\"paperid\":null,\"PeriodicalName\":\"Zhejiang da xue xue bao. Yi xue ban = Journal of Zhejiang University. Medical sciences\",\"FirstCategoryId\":\"1085\",\"ListUrlMain\":\"https://doi.org/10.3724/zdxbyxb-2024-0320\",\"RegionNum\":0,\"RegionCategory\":null,\"ArticlePicture\":[],\"TitleCN\":null,\"AbstractTextCN\":null,\"PMCID\":null,\"EPubDate\":\"\",\"PubModel\":\"\",\"JCR\":\"Q2\",\"JCRName\":\"Medicine\",\"Score\":null,\"Total\":0}","platform":"Semanticscholar","paperid":null,"PeriodicalName":"Zhejiang da xue xue bao. Yi xue ban = Journal of Zhejiang University. Medical sciences","FirstCategoryId":"1085","ListUrlMain":"https://doi.org/10.3724/zdxbyxb-2024-0320","RegionNum":0,"RegionCategory":null,"ArticlePicture":[],"TitleCN":null,"AbstractTextCN":null,"PMCID":null,"EPubDate":"","PubModel":"","JCR":"Q2","JCRName":"Medicine","Score":null,"Total":0}
引用次数: 0

摘要

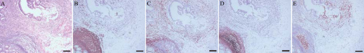
目的:探讨结直肠癌患者三级淋巴结构成熟的临床意义。方法:收集鄞州第二医院手术切除的结直肠癌标本230例,并进行详细随访。免疫组化结果显示,成熟TLS 128例,未成熟TLS 108例。分析患者年龄、性别、最大肿瘤直径、肿瘤位置、分化程度、浸润深度、淋巴结转移、血管肿瘤血栓、肝转移、远处非肝转移、错配修复状态、Ki-67、P53、程序性细胞死亡配体1 (PD-L1)表达情况。采用Kaplan-Meier法(Breslow检验)分析患者的生存期,采用多因素Cox回归模型分析预后因素。结果:与未成熟TLS组相比,成熟TLS组血管肿瘤血栓、淋巴结转移、肝转移率明显降低。此外,Ki-67阳性表达率明显降低,而缺陷错配修复率和PD-L1阳性表达率明显升高(均ppppp)。TLS的形成可能在抑制结直肠癌淋巴结转移、肝转移、血管肿瘤血栓等方面发挥显著作用,成熟TLS患者临床预后良好,可为结直肠癌患者的免疫治疗及预后评估提供参考。
本文章由计算机程序翻译,如有差异,请以英文原文为准。

[Clinical significance of tertiary lymphoid structure maturity in colorectal cancer patients].

[Clinical significance of tertiary lymphoid structure maturity in colorectal cancer patients].

[Clinical significance of tertiary lymphoid structure maturity in colorectal cancer patients].

Objectives: To explore the clinical significance of the tertiary lymphoid structure (TLS) maturity in colorectal cancer patients.

Methods: A total of 230 surgically removed colorectal cancer specimens with detailed follow-up data were collected from Yinzhou Second Hospital. The patients were divided into mature TLS group and immature TLS group according to immunohistochemical results. The patient age, gender, maximum tumor diameter, tumor location, differentiation degree, depth of invasion, lymph node metastasis, vascular tumor thrombus, liver metastasis, distant non-liver metastasis, mismatch repair status, expression of Ki-67, P53 and programmed death-ligand (PD-L) 1 were analyzed. The Kaplan-Meier method (Breslow test) was used to analyze the survival of patients, and multivariate Cox regression model was applied to analyze the prognostic factors.

Results: There were 128 cases of mature TLS and 102 cases of immature TLS. Compared to the immature TLS group, the mature TLS group showed a significantly lower rate of vascular tumor thrombus, lymph node metastasis, and liver metastasis. Additionally, the positive expression rate of Ki-67 was markedly reduced, while the rate of deficient mismatch repair and the positive rate of PD-L1 were significantly increased (all P<0.05). The overall survival rate of the mature TLS group was superior to that of the immature TLS group (Breslow=4.553, P<0.05). Cox regression analysis indicated that lymph node metastasis was an independent risk factor for the prognosis of colorectal cancer patients (P<0.01), while TLS maturation was a protective factor (P<0.05).

Conclusions: The formation of TLS may play a significant role in inhibiting lymph node metastasis, liver metastasis, and vascular tumor thrombus in colorectal cancer. In addition, patients with mature TLS have a favorable clinical prognosis.

求助全文
通过发布文献求助,成功后即可免费获取论文全文。 去求助
来源期刊
CiteScore
3.80
自引率
0.00%
发文量
67
×
引用
GB/T 7714-2015
复制
MLA
复制
APA
复制
导出至
BibTeX EndNote RefMan NoteFirst NoteExpress
×
提示
您的信息不完整,为了账户安全,请先补充。
现在去补充
×
提示
您因"违规操作"
具体请查看互助需知
我知道了
×
提示
确定
请完成安全验证×
copy
已复制链接
快去分享给好友吧!
我知道了
右上角分享
点击右上角分享
0
联系我们:info@booksci.cn Book学术提供免费学术资源搜索服务,方便国内外学者检索中英文文献。致力于提供最便捷和优质的服务体验。 Copyright © 2023 布克学术 All rights reserved.
京ICP备2023020795号-1
ghs 京公网安备 11010802042870号
Book学术文献互助
Book学术文献互助群
群 号:604180095
Book学术官方微信