慢性筋膜间室综合征下胫骨残端截肢的双侧应力性骨折。

IF 2.3 Q2 ORTHOPEDICS
Orthopedic Research and Reviews Pub Date : 2024-11-25 eCollection Date: 2024-01-01 DOI:10.2147/ORR.S485472
Yurii Oleksiiovych Bezsmertnyi, Dmytro Vadymovych Bondarenko, Viktor Ivanovych Shevchuk, Halyna Viktorivna Bezsmertna
{"title":"慢性筋膜间室综合征下胫骨残端截肢的双侧应力性骨折。","authors":"Yurii Oleksiiovych Bezsmertnyi, Dmytro Vadymovych Bondarenko, Viktor Ivanovych Shevchuk, Halyna Viktorivna Bezsmertna","doi":"10.2147/ORR.S485472","DOIUrl":null,"url":null,"abstract":"<p><strong>Introduction: </strong>Limb amputation and subsequent prosthetics lead to significant disturbances in bone residual limb remodeling.</p><p><strong>Aim: </strong>To familiarize specialists with the possibility of simultaneous bilateral stress fractures of amputation residual limbs resulting from intensive loads and poor-quality prosthetics causing chronic compartment syndrome. A case of bilateral stress fractures of the tibia in a 28-year-old male military serviceman with paired transtibial amputation is presented. The fractures occurred in the process of active exploration of poorly fitting prostheses, complicated by chronic compartment syndrome that masked the clinical picture.</p><p><strong>Treatment: </strong>Rest, reopolyglucin, heparin 5000 U, furosemide, B vitamins, ascorbic acid, calcium, vitamin D, percutaneous electrical stimulation of muscles.</p><p><strong>Techniques: </strong>Radiography, ultrasound, blood biochemistry, measurement of subfascial pressure.</p><p><strong>Outcomes: </strong>After treatment, the phenomena of compartment syndrome disappeared, stress fractures healed, new receiving sleeves of prostheses were made, gradual dosed loads were started. 7 months after the diagnosis of stress fractures and compartment syndrome, the patient started using the prosthesis without aids. Examined 18 months later. Worked as a warehouse manager, walking an average of 4 km per day.</p><p><strong>Conclusion: </strong>With complaints from the patient with an amputation stump of muscle and bone pain that appeared after exercise, passed after rest, and reparative reaction detected on radiographs, functional overstrain of the bone should be suspected, which can potentially lead to a stress fracture. The causes of stress fractures in the patient were acute overstrain of the bone tissue during prosthesis development, noncompliance with the loading and resting regimes, and local disturbance of the bone blood supply due to the narrowed rigid socket of the prosthesis. Stress fractures of the bone tissue of the amputation stump contain elements of insufficiency and fatigue. Chronic compartment syndrome may exacerbate and mask the stress fracture.</p>","PeriodicalId":19608,"journal":{"name":"Orthopedic Research and Reviews","volume":"16 ","pages":"273-281"},"PeriodicalIF":2.3000,"publicationDate":"2024-11-25","publicationTypes":"Journal Article","fieldsOfStudy":null,"isOpenAccess":false,"openAccessPdf":"https://www.ncbi.nlm.nih.gov/pmc/articles/PMC11606179/pdf/","citationCount":"0","resultStr":"{\"title\":\"Bilateral Stress Fractures of Amputated Tibial Stumps in the Setting of Chronic Compartment Syndrome.\",\"authors\":\"Yurii Oleksiiovych Bezsmertnyi, Dmytro Vadymovych Bondarenko, Viktor Ivanovych Shevchuk, Halyna Viktorivna Bezsmertna\",\"doi\":\"10.2147/ORR.S485472\",\"DOIUrl\":null,\"url\":null,\"abstract\":\"<p><strong>Introduction: </strong>Limb amputation and subsequent prosthetics lead to significant disturbances in bone residual limb remodeling.</p><p><strong>Aim: </strong>To familiarize specialists with the possibility of simultaneous bilateral stress fractures of amputation residual limbs resulting from intensive loads and poor-quality prosthetics causing chronic compartment syndrome. A case of bilateral stress fractures of the tibia in a 28-year-old male military serviceman with paired transtibial amputation is presented. The fractures occurred in the process of active exploration of poorly fitting prostheses, complicated by chronic compartment syndrome that masked the clinical picture.</p><p><strong>Treatment: </strong>Rest, reopolyglucin, heparin 5000 U, furosemide, B vitamins, ascorbic acid, calcium, vitamin D, percutaneous electrical stimulation of muscles.</p><p><strong>Techniques: </strong>Radiography, ultrasound, blood biochemistry, measurement of subfascial pressure.</p><p><strong>Outcomes: </strong>After treatment, the phenomena of compartment syndrome disappeared, stress fractures healed, new receiving sleeves of prostheses were made, gradual dosed loads were started. 7 months after the diagnosis of stress fractures and compartment syndrome, the patient started using the prosthesis without aids. Examined 18 months later. Worked as a warehouse manager, walking an average of 4 km per day.</p><p><strong>Conclusion: </strong>With complaints from the patient with an amputation stump of muscle and bone pain that appeared after exercise, passed after rest, and reparative reaction detected on radiographs, functional overstrain of the bone should be suspected, which can potentially lead to a stress fracture. The causes of stress fractures in the patient were acute overstrain of the bone tissue during prosthesis development, noncompliance with the loading and resting regimes, and local disturbance of the bone blood supply due to the narrowed rigid socket of the prosthesis. Stress fractures of the bone tissue of the amputation stump contain elements of insufficiency and fatigue. Chronic compartment syndrome may exacerbate and mask the stress fracture.</p>\",\"PeriodicalId\":19608,\"journal\":{\"name\":\"Orthopedic Research and Reviews\",\"volume\":\"16 \",\"pages\":\"273-281\"},\"PeriodicalIF\":2.3000,\"publicationDate\":\"2024-11-25\",\"publicationTypes\":\"Journal Article\",\"fieldsOfStudy\":null,\"isOpenAccess\":false,\"openAccessPdf\":\"https://www.ncbi.nlm.nih.gov/pmc/articles/PMC11606179/pdf/\",\"citationCount\":\"0\",\"resultStr\":null,\"platform\":\"Semanticscholar\",\"paperid\":null,\"PeriodicalName\":\"Orthopedic Research and Reviews\",\"FirstCategoryId\":\"1085\",\"ListUrlMain\":\"https://doi.org/10.2147/ORR.S485472\",\"RegionNum\":0,\"RegionCategory\":null,\"ArticlePicture\":[],\"TitleCN\":null,\"AbstractTextCN\":null,\"PMCID\":null,\"EPubDate\":\"2024/1/1 0:00:00\",\"PubModel\":\"eCollection\",\"JCR\":\"Q2\",\"JCRName\":\"ORTHOPEDICS\",\"Score\":null,\"Total\":0}","platform":"Semanticscholar","paperid":null,"PeriodicalName":"Orthopedic Research and Reviews","FirstCategoryId":"1085","ListUrlMain":"https://doi.org/10.2147/ORR.S485472","RegionNum":0,"RegionCategory":null,"ArticlePicture":[],"TitleCN":null,"AbstractTextCN":null,"PMCID":null,"EPubDate":"2024/1/1 0:00:00","PubModel":"eCollection","JCR":"Q2","JCRName":"ORTHOPEDICS","Score":null,"Total":0}
引用次数: 0

摘要

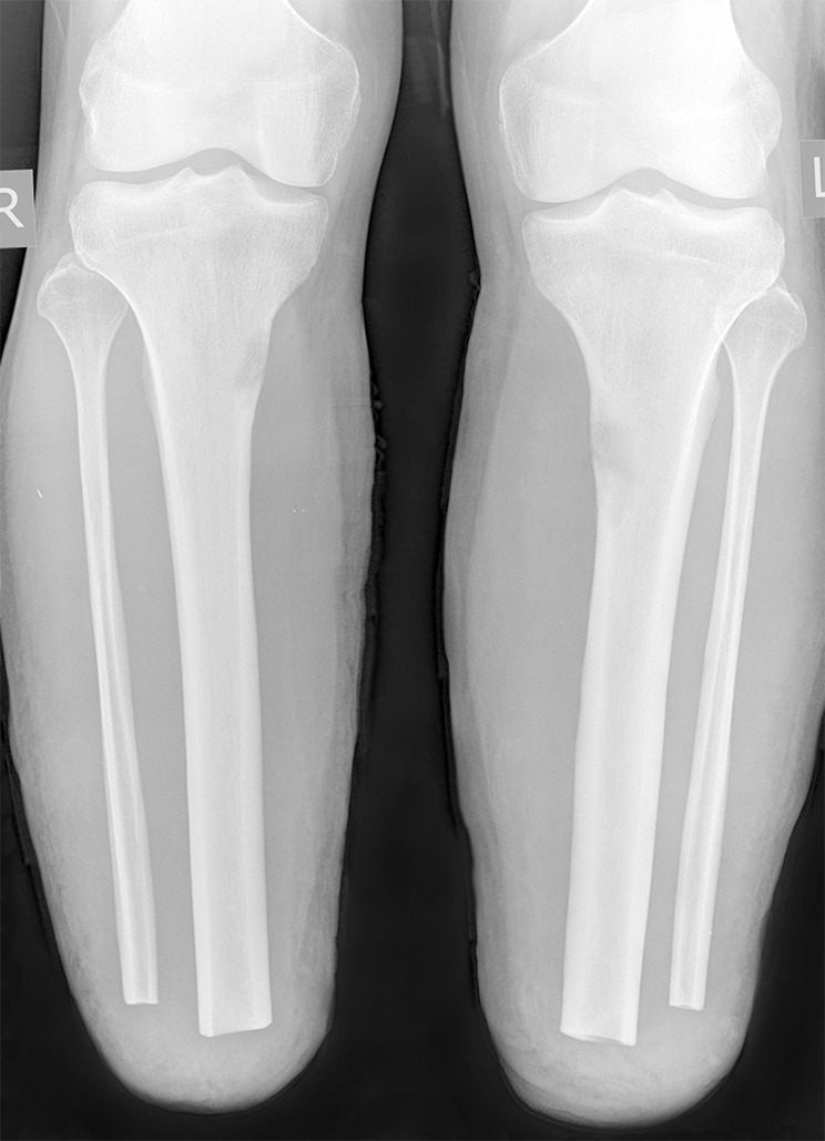
肢体截肢和随后的假肢会导致骨残肢重塑的严重干扰。目的:使专家熟悉由于大负荷和质量差的假体导致慢性筋膜室综合征的截肢残肢同时发生双侧应力性骨折的可能性。一例双侧应力骨折的胫骨在一个28岁的男性军人与配对经胫骨截肢是提出。骨折发生在主动寻找不合适的假体的过程中,并发慢性间室综合征,掩盖了临床表现。治疗:休息,reopolyglucin,肝素5000u,速尿,B族维生素,抗坏血酸,钙,维生素D,经皮电刺激肌肉。技术:x线摄影,超声,血液生化,测量筋膜下压。结果:治疗后,骨间室综合征消失,应力性骨折愈合,制作新的假体接收套,开始逐渐给药。在诊断为应力性骨折和筋膜间室综合征7个月后,患者开始使用无辅助的假体。18个月后检查。担任仓库经理,平均每天步行4公里。结论:截肢残端肌肉和骨骼疼痛在运动后出现,休息后消失,x线片上发现修复反应,应怀疑骨骼功能性过度劳损,可能导致应力性骨折。患者应力性骨折的原因是假体发育过程中骨组织的急性过度劳损,不符合负荷和休息制度,以及假体狭窄的刚性窝导致局部骨血供紊乱。断肢残端骨组织应力性骨折包含功能不全和疲劳的因素。慢性筋膜室综合征可加重并掩盖应力性骨折。
本文章由计算机程序翻译,如有差异,请以英文原文为准。

Bilateral Stress Fractures of Amputated Tibial Stumps in the Setting of Chronic Compartment Syndrome.

Bilateral Stress Fractures of Amputated Tibial Stumps in the Setting of Chronic Compartment Syndrome.

Bilateral Stress Fractures of Amputated Tibial Stumps in the Setting of Chronic Compartment Syndrome.

Bilateral Stress Fractures of Amputated Tibial Stumps in the Setting of Chronic Compartment Syndrome.

Introduction: Limb amputation and subsequent prosthetics lead to significant disturbances in bone residual limb remodeling.

Aim: To familiarize specialists with the possibility of simultaneous bilateral stress fractures of amputation residual limbs resulting from intensive loads and poor-quality prosthetics causing chronic compartment syndrome. A case of bilateral stress fractures of the tibia in a 28-year-old male military serviceman with paired transtibial amputation is presented. The fractures occurred in the process of active exploration of poorly fitting prostheses, complicated by chronic compartment syndrome that masked the clinical picture.

Treatment: Rest, reopolyglucin, heparin 5000 U, furosemide, B vitamins, ascorbic acid, calcium, vitamin D, percutaneous electrical stimulation of muscles.

Techniques: Radiography, ultrasound, blood biochemistry, measurement of subfascial pressure.

Outcomes: After treatment, the phenomena of compartment syndrome disappeared, stress fractures healed, new receiving sleeves of prostheses were made, gradual dosed loads were started. 7 months after the diagnosis of stress fractures and compartment syndrome, the patient started using the prosthesis without aids. Examined 18 months later. Worked as a warehouse manager, walking an average of 4 km per day.

Conclusion: With complaints from the patient with an amputation stump of muscle and bone pain that appeared after exercise, passed after rest, and reparative reaction detected on radiographs, functional overstrain of the bone should be suspected, which can potentially lead to a stress fracture. The causes of stress fractures in the patient were acute overstrain of the bone tissue during prosthesis development, noncompliance with the loading and resting regimes, and local disturbance of the bone blood supply due to the narrowed rigid socket of the prosthesis. Stress fractures of the bone tissue of the amputation stump contain elements of insufficiency and fatigue. Chronic compartment syndrome may exacerbate and mask the stress fracture.

求助全文
通过发布文献求助,成功后即可免费获取论文全文。 去求助
来源期刊
Orthopedic Research and Reviews
Orthopedic Research and Reviews Medicine-Orthopedics and Sports Medicine
CiteScore
2.80
自引率
0.00%
发文量
51
审稿时长
16 weeks
期刊介绍: Orthopedic Research and Reviews is an international, peer-reviewed, open-access journal focusing on the patho-physiology of the musculoskeletal system, trauma, surgery and other corrective interventions to restore mobility and function. Advances in new technologies, materials, techniques and pharmacological agents will be particularly welcome. Specific topics covered in the journal include: Patho-physiology and bioengineering, Technologies and materials science, Surgical techniques, including robotics, Trauma management and care, Treatment including pharmacological and non-pharmacological, Rehabilitation and Multidisciplinarian care approaches, Patient quality of life, satisfaction and preference, Health economic evaluations. The journal welcomes submitted papers covering original research, basic science and technology, clinical studies, reviews and evaluations, guidelines, expert opinion and commentary, case reports and extended reports.
×
引用
GB/T 7714-2015
复制
MLA
复制
APA
复制
导出至
BibTeX EndNote RefMan NoteFirst NoteExpress
×
提示
您的信息不完整,为了账户安全,请先补充。
现在去补充
×
提示
您因"违规操作"
具体请查看互助需知
我知道了
×
提示
确定
请完成安全验证×
copy
已复制链接
快去分享给好友吧!
我知道了
右上角分享
点击右上角分享
0
联系我们:info@booksci.cn Book学术提供免费学术资源搜索服务,方便国内外学者检索中英文文献。致力于提供最便捷和优质的服务体验。 Copyright © 2023 布克学术 All rights reserved.
京ICP备2023020795号-1
ghs 京公网安备 11010802042870号
Book学术文献互助
Book学术文献互助群
群 号:604180095
Book学术官方微信