边缘性克隆b细胞淋巴瘤继发于脑血管病的复发性缺血性卒中。

IF 0.9 Q4 CLINICAL NEUROLOGY
Case Reports in Neurological Medicine Pub Date : 2024-11-23 eCollection Date: 2024-01-01 DOI:10.1155/crnm/6620797
Rebecca Hui Min Hoe, Zheyu Xu, Rajinder Singh
{"title":"边缘性克隆b细胞淋巴瘤继发于脑血管病的复发性缺血性卒中。","authors":"Rebecca Hui Min Hoe, Zheyu Xu, Rajinder Singh","doi":"10.1155/crnm/6620797","DOIUrl":null,"url":null,"abstract":"<p><p>Marginal zone lymphoma (MZL) is an indolent lymphoma that rarely involves the central nervous system (CNS). Clonal B-cell lymphomatosis of marginal zone origin (CBL-MZ) is a premalignant condition referring to the presence of clonal B cells in the peripheral blood without evidence of organomegaly, lymphadenopathy or other features of established lymphoma, which may uncommonly progress to MZL, and as such does not require treatment beyond active surveillance. A 54-year-old male with previously diagnosed CBL-MZ presented with multiple recurrent subcortical ischaemic strokes. There was no evidence of progression to overt MZL or secondary transformation on repeated evaluation. His strokes proved refractory to antithrombotic therapy and anticoagulation. The absence of significant cardiovascular risk factors led to an extensive evaluation which excluded secondary causes such as cardioembolism, prothrombotic state or systemic vasculitis. Eventually, he was found to have lymphomatous involvement of the cerebrospinal fluid. The recurrent ischaemic strokes were attributed to a cerebral small vessel vasculopathy from neoplastic meningitis, which prompted the initiation of chemotherapy, leading to a remarkable cessation of stroke recurrence. This case highlights the importance of considering CNS involvement even in indolent or premalignant lymphomas when these patients present with \"cryptogenic\" recurrent strokes that appear refractory to standard secondary stroke prevention therapy. We also describe the approach to recurrent ischaemic stroke, the importance of imaging to determine the stroke mechanism, and the approach to small vessel cerebral arteriopathies.</p>","PeriodicalId":9615,"journal":{"name":"Case Reports in Neurological Medicine","volume":"2024 ","pages":"6620797"},"PeriodicalIF":0.9000,"publicationDate":"2024-11-23","publicationTypes":"Journal Article","fieldsOfStudy":null,"isOpenAccess":false,"openAccessPdf":"https://www.ncbi.nlm.nih.gov/pmc/articles/PMC11611394/pdf/","citationCount":"0","resultStr":"{\"title\":\"Recurrent Ischaemic Stroke Secondary to Cerebral Small Vessel Vasculopathy From Clonal B-Cell Lymphomatosis of Marginal Zone Origin.\",\"authors\":\"Rebecca Hui Min Hoe, Zheyu Xu, Rajinder Singh\",\"doi\":\"10.1155/crnm/6620797\",\"DOIUrl\":null,\"url\":null,\"abstract\":\"<p><p>Marginal zone lymphoma (MZL) is an indolent lymphoma that rarely involves the central nervous system (CNS). Clonal B-cell lymphomatosis of marginal zone origin (CBL-MZ) is a premalignant condition referring to the presence of clonal B cells in the peripheral blood without evidence of organomegaly, lymphadenopathy or other features of established lymphoma, which may uncommonly progress to MZL, and as such does not require treatment beyond active surveillance. A 54-year-old male with previously diagnosed CBL-MZ presented with multiple recurrent subcortical ischaemic strokes. There was no evidence of progression to overt MZL or secondary transformation on repeated evaluation. His strokes proved refractory to antithrombotic therapy and anticoagulation. The absence of significant cardiovascular risk factors led to an extensive evaluation which excluded secondary causes such as cardioembolism, prothrombotic state or systemic vasculitis. Eventually, he was found to have lymphomatous involvement of the cerebrospinal fluid. The recurrent ischaemic strokes were attributed to a cerebral small vessel vasculopathy from neoplastic meningitis, which prompted the initiation of chemotherapy, leading to a remarkable cessation of stroke recurrence. This case highlights the importance of considering CNS involvement even in indolent or premalignant lymphomas when these patients present with \\\"cryptogenic\\\" recurrent strokes that appear refractory to standard secondary stroke prevention therapy. We also describe the approach to recurrent ischaemic stroke, the importance of imaging to determine the stroke mechanism, and the approach to small vessel cerebral arteriopathies.</p>\",\"PeriodicalId\":9615,\"journal\":{\"name\":\"Case Reports in Neurological Medicine\",\"volume\":\"2024 \",\"pages\":\"6620797\"},\"PeriodicalIF\":0.9000,\"publicationDate\":\"2024-11-23\",\"publicationTypes\":\"Journal Article\",\"fieldsOfStudy\":null,\"isOpenAccess\":false,\"openAccessPdf\":\"https://www.ncbi.nlm.nih.gov/pmc/articles/PMC11611394/pdf/\",\"citationCount\":\"0\",\"resultStr\":null,\"platform\":\"Semanticscholar\",\"paperid\":null,\"PeriodicalName\":\"Case Reports in Neurological Medicine\",\"FirstCategoryId\":\"1085\",\"ListUrlMain\":\"https://doi.org/10.1155/crnm/6620797\",\"RegionNum\":0,\"RegionCategory\":null,\"ArticlePicture\":[],\"TitleCN\":null,\"AbstractTextCN\":null,\"PMCID\":null,\"EPubDate\":\"2024/1/1 0:00:00\",\"PubModel\":\"eCollection\",\"JCR\":\"Q4\",\"JCRName\":\"CLINICAL NEUROLOGY\",\"Score\":null,\"Total\":0}","platform":"Semanticscholar","paperid":null,"PeriodicalName":"Case Reports in Neurological Medicine","FirstCategoryId":"1085","ListUrlMain":"https://doi.org/10.1155/crnm/6620797","RegionNum":0,"RegionCategory":null,"ArticlePicture":[],"TitleCN":null,"AbstractTextCN":null,"PMCID":null,"EPubDate":"2024/1/1 0:00:00","PubModel":"eCollection","JCR":"Q4","JCRName":"CLINICAL NEUROLOGY","Score":null,"Total":0}
引用次数: 0

摘要

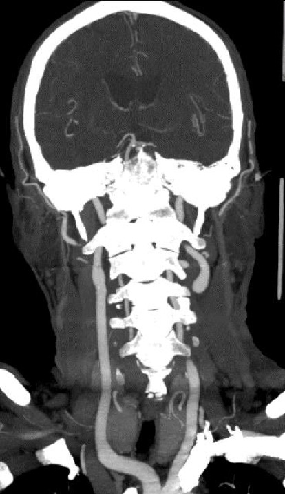
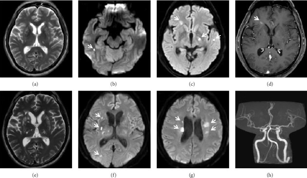
边缘带淋巴瘤(MZL)是一种惰性淋巴瘤,很少累及中枢神经系统(CNS)。边缘性B细胞淋巴瘤(CBL-MZ)是一种恶性前病变,指的是外周血中存在克隆B细胞,但没有器官肿大、淋巴结病变或其他已建立淋巴瘤的特征,可能罕见地进展为MZL,因此除了积极监测外不需要治疗。一名54岁男性,先前诊断为CBL-MZ,表现为多次复发性皮质下缺血性中风。在反复评估中,没有证据表明进展为明显的MZL或二次转化。他的中风对抗血栓治疗和抗凝治疗无效。由于没有明显的心血管危险因素,因此进行了广泛的评估,排除了继发性原因,如心脏栓塞、血栓前状态或全身性血管炎。最后,他被发现有淋巴瘤累及脑脊液。复发性缺血性中风归因于肿瘤性脑膜炎引起的脑小血管病变,这促使化疗的开始,导致中风复发的显著停止。该病例强调了考虑中枢神经系统受累的重要性,即使是在惰性或癌前淋巴瘤中,当这些患者出现“隐源性”复发性卒中,对标准的继发卒中预防治疗似乎难治性。我们还描述了复发性缺血性卒中的方法,影像学对确定卒中机制的重要性,以及小血管脑动脉病变的方法。
本文章由计算机程序翻译,如有差异,请以英文原文为准。

Recurrent Ischaemic Stroke Secondary to Cerebral Small Vessel Vasculopathy From Clonal B-Cell Lymphomatosis of Marginal Zone Origin.

Recurrent Ischaemic Stroke Secondary to Cerebral Small Vessel Vasculopathy From Clonal B-Cell Lymphomatosis of Marginal Zone Origin.

Recurrent Ischaemic Stroke Secondary to Cerebral Small Vessel Vasculopathy From Clonal B-Cell Lymphomatosis of Marginal Zone Origin.

Recurrent Ischaemic Stroke Secondary to Cerebral Small Vessel Vasculopathy From Clonal B-Cell Lymphomatosis of Marginal Zone Origin.

Marginal zone lymphoma (MZL) is an indolent lymphoma that rarely involves the central nervous system (CNS). Clonal B-cell lymphomatosis of marginal zone origin (CBL-MZ) is a premalignant condition referring to the presence of clonal B cells in the peripheral blood without evidence of organomegaly, lymphadenopathy or other features of established lymphoma, which may uncommonly progress to MZL, and as such does not require treatment beyond active surveillance. A 54-year-old male with previously diagnosed CBL-MZ presented with multiple recurrent subcortical ischaemic strokes. There was no evidence of progression to overt MZL or secondary transformation on repeated evaluation. His strokes proved refractory to antithrombotic therapy and anticoagulation. The absence of significant cardiovascular risk factors led to an extensive evaluation which excluded secondary causes such as cardioembolism, prothrombotic state or systemic vasculitis. Eventually, he was found to have lymphomatous involvement of the cerebrospinal fluid. The recurrent ischaemic strokes were attributed to a cerebral small vessel vasculopathy from neoplastic meningitis, which prompted the initiation of chemotherapy, leading to a remarkable cessation of stroke recurrence. This case highlights the importance of considering CNS involvement even in indolent or premalignant lymphomas when these patients present with "cryptogenic" recurrent strokes that appear refractory to standard secondary stroke prevention therapy. We also describe the approach to recurrent ischaemic stroke, the importance of imaging to determine the stroke mechanism, and the approach to small vessel cerebral arteriopathies.

求助全文
通过发布文献求助,成功后即可免费获取论文全文。 去求助
来源期刊
自引率
0.00%
发文量
26
审稿时长
11 weeks
×
引用
GB/T 7714-2015
复制
MLA
复制
APA
复制
导出至
BibTeX EndNote RefMan NoteFirst NoteExpress
×
提示
您的信息不完整,为了账户安全,请先补充。
现在去补充
×
提示
您因"违规操作"
具体请查看互助需知
我知道了
×
提示
确定
请完成安全验证×
copy
已复制链接
快去分享给好友吧!
我知道了
右上角分享
点击右上角分享
0
联系我们:info@booksci.cn Book学术提供免费学术资源搜索服务,方便国内外学者检索中英文文献。致力于提供最便捷和优质的服务体验。 Copyright © 2023 布克学术 All rights reserved.
京ICP备2023020795号-1
ghs 京公网安备 11010802042870号
Book学术文献互助
Book学术文献互助群
群 号:604180095
Book学术官方微信