ZFYVE19基因突变:进行性家族性肝内胆汁淤积症的新变体。

JPGN reports Pub Date : 2024-08-06 eCollection Date: 2024-11-01 DOI:10.1002/jpr3.12111
Dalal Ben Sabbahia, Meriem Atrasssi, Nissrine Bennani, Abdelhakim Benmoussa, Abdelhak Abkari
{"title":"ZFYVE19基因突变:进行性家族性肝内胆汁淤积症的新变体。","authors":"Dalal Ben Sabbahia, Meriem Atrasssi, Nissrine Bennani, Abdelhakim Benmoussa, Abdelhak Abkari","doi":"10.1002/jpr3.12111","DOIUrl":null,"url":null,"abstract":"<p><p>A recent nonsyndromic phenotype, newly linked to mutations in the ZFYVE19 gene, is characterized by the appearance of cholestasis accompanied by an increase in serum gamma-glutamyltranspeptidase (GGT) from infancy or early childhood. Affected individuals generally present with hepatosplenomegaly and may develop portal hypertension. The disease is thought to be the result of cholangiocyte-specific ciliary dysfunction, indicating a ciliopathy that appears to be limited to the liver. Here, we describe the case of an infant born to first-degree consanguineous parents, in whom neonatal cholestasis accompanied by elevated GGT led to the discovery of a ZFYVE19 deficiency. The diagnosis was established following an in-depth analysis of the complete exome sequencing.</p>","PeriodicalId":501015,"journal":{"name":"JPGN reports","volume":"5 4","pages":"552-556"},"PeriodicalIF":0.0000,"publicationDate":"2024-08-06","publicationTypes":"Journal Article","fieldsOfStudy":null,"isOpenAccess":false,"openAccessPdf":"https://www.ncbi.nlm.nih.gov/pmc/articles/PMC11600356/pdf/","citationCount":"0","resultStr":"{\"title\":\"ZFYVE19 gene mutation: A novel variant of progressive familial intrahepatic cholestasis.\",\"authors\":\"Dalal Ben Sabbahia, Meriem Atrasssi, Nissrine Bennani, Abdelhakim Benmoussa, Abdelhak Abkari\",\"doi\":\"10.1002/jpr3.12111\",\"DOIUrl\":null,\"url\":null,\"abstract\":\"<p><p>A recent nonsyndromic phenotype, newly linked to mutations in the ZFYVE19 gene, is characterized by the appearance of cholestasis accompanied by an increase in serum gamma-glutamyltranspeptidase (GGT) from infancy or early childhood. Affected individuals generally present with hepatosplenomegaly and may develop portal hypertension. The disease is thought to be the result of cholangiocyte-specific ciliary dysfunction, indicating a ciliopathy that appears to be limited to the liver. Here, we describe the case of an infant born to first-degree consanguineous parents, in whom neonatal cholestasis accompanied by elevated GGT led to the discovery of a ZFYVE19 deficiency. The diagnosis was established following an in-depth analysis of the complete exome sequencing.</p>\",\"PeriodicalId\":501015,\"journal\":{\"name\":\"JPGN reports\",\"volume\":\"5 4\",\"pages\":\"552-556\"},\"PeriodicalIF\":0.0000,\"publicationDate\":\"2024-08-06\",\"publicationTypes\":\"Journal Article\",\"fieldsOfStudy\":null,\"isOpenAccess\":false,\"openAccessPdf\":\"https://www.ncbi.nlm.nih.gov/pmc/articles/PMC11600356/pdf/\",\"citationCount\":\"0\",\"resultStr\":null,\"platform\":\"Semanticscholar\",\"paperid\":null,\"PeriodicalName\":\"JPGN reports\",\"FirstCategoryId\":\"1085\",\"ListUrlMain\":\"https://doi.org/10.1002/jpr3.12111\",\"RegionNum\":0,\"RegionCategory\":null,\"ArticlePicture\":[],\"TitleCN\":null,\"AbstractTextCN\":null,\"PMCID\":null,\"EPubDate\":\"2024/11/1 0:00:00\",\"PubModel\":\"eCollection\",\"JCR\":\"\",\"JCRName\":\"\",\"Score\":null,\"Total\":0}","platform":"Semanticscholar","paperid":null,"PeriodicalName":"JPGN reports","FirstCategoryId":"1085","ListUrlMain":"https://doi.org/10.1002/jpr3.12111","RegionNum":0,"RegionCategory":null,"ArticlePicture":[],"TitleCN":null,"AbstractTextCN":null,"PMCID":null,"EPubDate":"2024/11/1 0:00:00","PubModel":"eCollection","JCR":"","JCRName":"","Score":null,"Total":0}
引用次数: 0

摘要

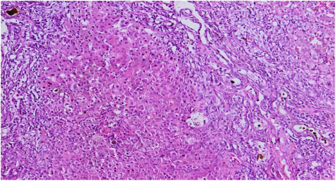
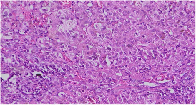
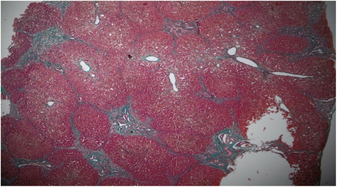
最近发现的一种与ZFYVE19基因突变有关的非综合征表型,其特征是出现胆汁淤积,并伴随婴儿期或幼儿期血清γ -谷氨酰转肽酶(GGT)升高。受影响的个体通常表现为肝脾肿大,并可能发展为门脉高压。该病被认为是胆管细胞特异性纤毛功能障碍的结果,表明纤毛病似乎仅限于肝脏。在这里,我们描述了一个一级近亲父母所生婴儿的病例,其中新生儿胆汁淤积伴随着GGT升高导致ZFYVE19缺乏症的发现。诊断是在对完整的外显子组测序进行深入分析后确定的。
本文章由计算机程序翻译,如有差异,请以英文原文为准。

ZFYVE19 gene mutation: A novel variant of progressive familial intrahepatic cholestasis.

ZFYVE19 gene mutation: A novel variant of progressive familial intrahepatic cholestasis.

ZFYVE19 gene mutation: A novel variant of progressive familial intrahepatic cholestasis.

ZFYVE19 gene mutation: A novel variant of progressive familial intrahepatic cholestasis.

A recent nonsyndromic phenotype, newly linked to mutations in the ZFYVE19 gene, is characterized by the appearance of cholestasis accompanied by an increase in serum gamma-glutamyltranspeptidase (GGT) from infancy or early childhood. Affected individuals generally present with hepatosplenomegaly and may develop portal hypertension. The disease is thought to be the result of cholangiocyte-specific ciliary dysfunction, indicating a ciliopathy that appears to be limited to the liver. Here, we describe the case of an infant born to first-degree consanguineous parents, in whom neonatal cholestasis accompanied by elevated GGT led to the discovery of a ZFYVE19 deficiency. The diagnosis was established following an in-depth analysis of the complete exome sequencing.

求助全文
通过发布文献求助,成功后即可免费获取论文全文。 去求助
来源期刊
自引率
0.00%
发文量
0
×
引用
GB/T 7714-2015
复制
MLA
复制
APA
复制
导出至
BibTeX EndNote RefMan NoteFirst NoteExpress
×
提示
您的信息不完整,为了账户安全,请先补充。
现在去补充
×
提示
您因"违规操作"
具体请查看互助需知
我知道了
×
提示
确定
请完成安全验证×
copy
已复制链接
快去分享给好友吧!
我知道了
右上角分享
点击右上角分享
0
联系我们:info@booksci.cn Book学术提供免费学术资源搜索服务,方便国内外学者检索中英文文献。致力于提供最便捷和优质的服务体验。 Copyright © 2023 布克学术 All rights reserved.
京ICP备2023020795号-1
ghs 京公网安备 11010802042870号
Book学术文献互助
Book学术文献互助群
群 号:604180095
Book学术官方微信