甲氨蝶呤诱导代谢功能障碍相关脂肪变性肝病的肝毒性

JPGN reports Pub Date : 2024-09-05 eCollection Date: 2024-11-01 DOI:10.1002/jpr3.12127
Andrea Berkemeyer, Ellen Wagner, Shireen Hashmat, Ruba K Azzam
{"title":"甲氨蝶呤诱导代谢功能障碍相关脂肪变性肝病的肝毒性","authors":"Andrea Berkemeyer, Ellen Wagner, Shireen Hashmat, Ruba K Azzam","doi":"10.1002/jpr3.12127","DOIUrl":null,"url":null,"abstract":"<p><p>Hepatotoxicity is an under-recognized and potentially fatal side effect of high-dose methotrexate (HDMTX) chemotherapy, and this risk is compounded in children with metabolic dysfunction-associated steatotic liver disease and/or metabolic-associated steatohepatitis. We present the case of a 12-year-old obese, Hispanic male with elevated hepatic transaminases of unknown etiology at initiation of high-risk B-cell acute lymphoblastic leukemia chemotherapy. He developed acute kidney injury within 24 hours of receiving intravenous HDMTX which progressed to acute hepatic failure. Liver biopsy confirmed methotrexate toxicity aggravated by undiagnosed metabolic dysfunction-associated steatotic liver disease. Rapid deterioration precluded liver transplantation, and he died 21 days after HDMTX treatment. This case highlights the need for comprehensive hepatic evaluation in patients with known or suspected liver disease when administering HDMTX. Dialysis should be considered if delayed methotrexate clearance occurs due to potential for rapid, irreversible hepatotoxicity.</p>","PeriodicalId":501015,"journal":{"name":"JPGN reports","volume":"5 4","pages":"548-551"},"PeriodicalIF":0.0000,"publicationDate":"2024-09-05","publicationTypes":"Journal Article","fieldsOfStudy":null,"isOpenAccess":false,"openAccessPdf":"https://www.ncbi.nlm.nih.gov/pmc/articles/PMC11600378/pdf/","citationCount":"0","resultStr":"{\"title\":\"Methotrexate induced hepatotoxicity in metabolic dysfunction-associated steatotic liver disease.\",\"authors\":\"Andrea Berkemeyer, Ellen Wagner, Shireen Hashmat, Ruba K Azzam\",\"doi\":\"10.1002/jpr3.12127\",\"DOIUrl\":null,\"url\":null,\"abstract\":\"<p><p>Hepatotoxicity is an under-recognized and potentially fatal side effect of high-dose methotrexate (HDMTX) chemotherapy, and this risk is compounded in children with metabolic dysfunction-associated steatotic liver disease and/or metabolic-associated steatohepatitis. We present the case of a 12-year-old obese, Hispanic male with elevated hepatic transaminases of unknown etiology at initiation of high-risk B-cell acute lymphoblastic leukemia chemotherapy. He developed acute kidney injury within 24 hours of receiving intravenous HDMTX which progressed to acute hepatic failure. Liver biopsy confirmed methotrexate toxicity aggravated by undiagnosed metabolic dysfunction-associated steatotic liver disease. Rapid deterioration precluded liver transplantation, and he died 21 days after HDMTX treatment. This case highlights the need for comprehensive hepatic evaluation in patients with known or suspected liver disease when administering HDMTX. Dialysis should be considered if delayed methotrexate clearance occurs due to potential for rapid, irreversible hepatotoxicity.</p>\",\"PeriodicalId\":501015,\"journal\":{\"name\":\"JPGN reports\",\"volume\":\"5 4\",\"pages\":\"548-551\"},\"PeriodicalIF\":0.0000,\"publicationDate\":\"2024-09-05\",\"publicationTypes\":\"Journal Article\",\"fieldsOfStudy\":null,\"isOpenAccess\":false,\"openAccessPdf\":\"https://www.ncbi.nlm.nih.gov/pmc/articles/PMC11600378/pdf/\",\"citationCount\":\"0\",\"resultStr\":null,\"platform\":\"Semanticscholar\",\"paperid\":null,\"PeriodicalName\":\"JPGN reports\",\"FirstCategoryId\":\"1085\",\"ListUrlMain\":\"https://doi.org/10.1002/jpr3.12127\",\"RegionNum\":0,\"RegionCategory\":null,\"ArticlePicture\":[],\"TitleCN\":null,\"AbstractTextCN\":null,\"PMCID\":null,\"EPubDate\":\"2024/11/1 0:00:00\",\"PubModel\":\"eCollection\",\"JCR\":\"\",\"JCRName\":\"\",\"Score\":null,\"Total\":0}","platform":"Semanticscholar","paperid":null,"PeriodicalName":"JPGN reports","FirstCategoryId":"1085","ListUrlMain":"https://doi.org/10.1002/jpr3.12127","RegionNum":0,"RegionCategory":null,"ArticlePicture":[],"TitleCN":null,"AbstractTextCN":null,"PMCID":null,"EPubDate":"2024/11/1 0:00:00","PubModel":"eCollection","JCR":"","JCRName":"","Score":null,"Total":0}
引用次数: 0

摘要

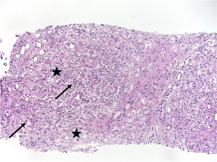
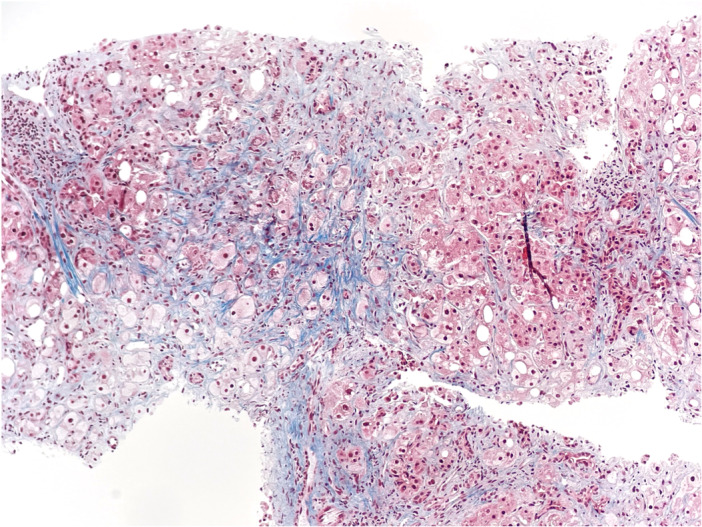
肝毒性是高剂量甲氨蝶呤(HDMTX)化疗的一种未被充分认识的潜在致命副作用,在患有代谢功能障碍相关脂肪性肝病和/或代谢相关脂肪性肝炎的儿童中,这种风险更为严重。我们报告一例12岁的肥胖西班牙裔男性,在高危b细胞急性淋巴细胞白血病化疗开始时,肝脏转氨酶升高,原因不明。患者在静脉注射HDMTX后24小时内出现急性肾损伤,并发展为急性肝功能衰竭。肝活检证实甲氨蝶呤毒性因未确诊的代谢功能障碍相关的脂肪变性肝病而加重。病情迅速恶化,无法进行肝移植,患者在接受HDMTX治疗21天后死亡。本病例强调了在使用HDMTX时,对已知或疑似肝病患者进行全面肝脏评估的必要性。如果甲氨蝶呤清除延迟,由于潜在的快速,不可逆的肝毒性,应考虑透析。
本文章由计算机程序翻译,如有差异,请以英文原文为准。

Methotrexate induced hepatotoxicity in metabolic dysfunction-associated steatotic liver disease.

Methotrexate induced hepatotoxicity in metabolic dysfunction-associated steatotic liver disease.

Methotrexate induced hepatotoxicity in metabolic dysfunction-associated steatotic liver disease.

Methotrexate induced hepatotoxicity in metabolic dysfunction-associated steatotic liver disease.

Hepatotoxicity is an under-recognized and potentially fatal side effect of high-dose methotrexate (HDMTX) chemotherapy, and this risk is compounded in children with metabolic dysfunction-associated steatotic liver disease and/or metabolic-associated steatohepatitis. We present the case of a 12-year-old obese, Hispanic male with elevated hepatic transaminases of unknown etiology at initiation of high-risk B-cell acute lymphoblastic leukemia chemotherapy. He developed acute kidney injury within 24 hours of receiving intravenous HDMTX which progressed to acute hepatic failure. Liver biopsy confirmed methotrexate toxicity aggravated by undiagnosed metabolic dysfunction-associated steatotic liver disease. Rapid deterioration precluded liver transplantation, and he died 21 days after HDMTX treatment. This case highlights the need for comprehensive hepatic evaluation in patients with known or suspected liver disease when administering HDMTX. Dialysis should be considered if delayed methotrexate clearance occurs due to potential for rapid, irreversible hepatotoxicity.

求助全文
通过发布文献求助,成功后即可免费获取论文全文。 去求助
来源期刊
自引率
0.00%
发文量
0
×
引用
GB/T 7714-2015
复制
MLA
复制
APA
复制
导出至
BibTeX EndNote RefMan NoteFirst NoteExpress
×
提示
您的信息不完整,为了账户安全,请先补充。
现在去补充
×
提示
您因"违规操作"
具体请查看互助需知
我知道了
×
提示
确定
请完成安全验证×
copy
已复制链接
快去分享给好友吧!
我知道了
右上角分享
点击右上角分享
0
联系我们:info@booksci.cn Book学术提供免费学术资源搜索服务,方便国内外学者检索中英文文献。致力于提供最便捷和优质的服务体验。 Copyright © 2023 布克学术 All rights reserved.
京ICP备2023020795号-1
ghs 京公网安备 11010802042870号
Book学术文献互助
Book学术文献互助群
群 号:604180095
Book学术官方微信