宫颈鳞状细胞癌浅表性扩散异常延伸至子宫、卵巢旁、输卵管旁组织及阴道表面:一个独特的病例报告。

IF 1 Q3 OBSTETRICS & GYNECOLOGY
Journal of Mid-life Health Pub Date : 2024-07-01 Epub Date: 2024-10-17 DOI:10.4103/jmh.jmh_45_24
Naina Kumar, Immanuel Pradeep, Mishu Mangla, Annapurna Srirambhatla, Aparna Jarathi
{"title":"宫颈鳞状细胞癌浅表性扩散异常延伸至子宫、卵巢旁、输卵管旁组织及阴道表面:一个独特的病例报告。","authors":"Naina Kumar, Immanuel Pradeep, Mishu Mangla, Annapurna Srirambhatla, Aparna Jarathi","doi":"10.4103/jmh.jmh_45_24","DOIUrl":null,"url":null,"abstract":"<p><p>Superficial spreading cervical squamous cell carcinoma (SCC) is a rare phenomenon with few cases reported in the literature. The present case report briefs the findings of superficial spreading cervical SCC in postmenopausal women. A 65-year-old postmenopausal woman presented with bleeding per-vaginum for 1-2 months. On examination, the cervix was healthy with no visible growth. She was diagnosed with an endometrial malignancy on magnetic resonance imaging. On endometrial and cervical biopsy, histopathology revealed cervical intraepithelial neoplasia III in ectocervix with SCC in endocervical and endometrial curetting. The patient underwent modified radical hysterectomy with bilateral pelvic lymphadenectomy and histopathology revealed superficially spreading cervical SCC with tumor cells involving endometrium, myometrium, paratubal, paraovarian, vaginal margins without extending to pelvic, and para-aortic lymph nodes. The patient was further managed successfully with adjuvant chemoradiotherapy. Superficial spreading cervical SCC is very rare phenomenon. Its spread is not only limited to endometrium but can extend to involve myometrium, paratubal, paraovarian, and vaginal tissues.</p>","PeriodicalId":37717,"journal":{"name":"Journal of Mid-life Health","volume":"15 3","pages":"201-205"},"PeriodicalIF":1.0000,"publicationDate":"2024-07-01","publicationTypes":"Journal Article","fieldsOfStudy":null,"isOpenAccess":false,"openAccessPdf":"https://www.ncbi.nlm.nih.gov/pmc/articles/PMC11601925/pdf/","citationCount":"0","resultStr":"{\"title\":\"Unusual Extension of Superficial Spreading Squamous Cell Carcinoma of Cervix to Uterus, Paraovarian, Paratubal Tissue, and Vaginal Surface: A Unique Case Report.\",\"authors\":\"Naina Kumar, Immanuel Pradeep, Mishu Mangla, Annapurna Srirambhatla, Aparna Jarathi\",\"doi\":\"10.4103/jmh.jmh_45_24\",\"DOIUrl\":null,\"url\":null,\"abstract\":\"<p><p>Superficial spreading cervical squamous cell carcinoma (SCC) is a rare phenomenon with few cases reported in the literature. The present case report briefs the findings of superficial spreading cervical SCC in postmenopausal women. A 65-year-old postmenopausal woman presented with bleeding per-vaginum for 1-2 months. On examination, the cervix was healthy with no visible growth. She was diagnosed with an endometrial malignancy on magnetic resonance imaging. On endometrial and cervical biopsy, histopathology revealed cervical intraepithelial neoplasia III in ectocervix with SCC in endocervical and endometrial curetting. The patient underwent modified radical hysterectomy with bilateral pelvic lymphadenectomy and histopathology revealed superficially spreading cervical SCC with tumor cells involving endometrium, myometrium, paratubal, paraovarian, vaginal margins without extending to pelvic, and para-aortic lymph nodes. The patient was further managed successfully with adjuvant chemoradiotherapy. Superficial spreading cervical SCC is very rare phenomenon. Its spread is not only limited to endometrium but can extend to involve myometrium, paratubal, paraovarian, and vaginal tissues.</p>\",\"PeriodicalId\":37717,\"journal\":{\"name\":\"Journal of Mid-life Health\",\"volume\":\"15 3\",\"pages\":\"201-205\"},\"PeriodicalIF\":1.0000,\"publicationDate\":\"2024-07-01\",\"publicationTypes\":\"Journal Article\",\"fieldsOfStudy\":null,\"isOpenAccess\":false,\"openAccessPdf\":\"https://www.ncbi.nlm.nih.gov/pmc/articles/PMC11601925/pdf/\",\"citationCount\":\"0\",\"resultStr\":null,\"platform\":\"Semanticscholar\",\"paperid\":null,\"PeriodicalName\":\"Journal of Mid-life Health\",\"FirstCategoryId\":\"1085\",\"ListUrlMain\":\"https://doi.org/10.4103/jmh.jmh_45_24\",\"RegionNum\":0,\"RegionCategory\":null,\"ArticlePicture\":[],\"TitleCN\":null,\"AbstractTextCN\":null,\"PMCID\":null,\"EPubDate\":\"2024/10/17 0:00:00\",\"PubModel\":\"Epub\",\"JCR\":\"Q3\",\"JCRName\":\"OBSTETRICS & GYNECOLOGY\",\"Score\":null,\"Total\":0}","platform":"Semanticscholar","paperid":null,"PeriodicalName":"Journal of Mid-life Health","FirstCategoryId":"1085","ListUrlMain":"https://doi.org/10.4103/jmh.jmh_45_24","RegionNum":0,"RegionCategory":null,"ArticlePicture":[],"TitleCN":null,"AbstractTextCN":null,"PMCID":null,"EPubDate":"2024/10/17 0:00:00","PubModel":"Epub","JCR":"Q3","JCRName":"OBSTETRICS & GYNECOLOGY","Score":null,"Total":0}
引用次数: 0

摘要

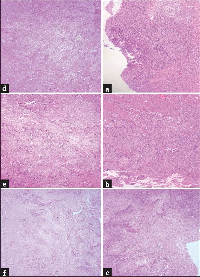
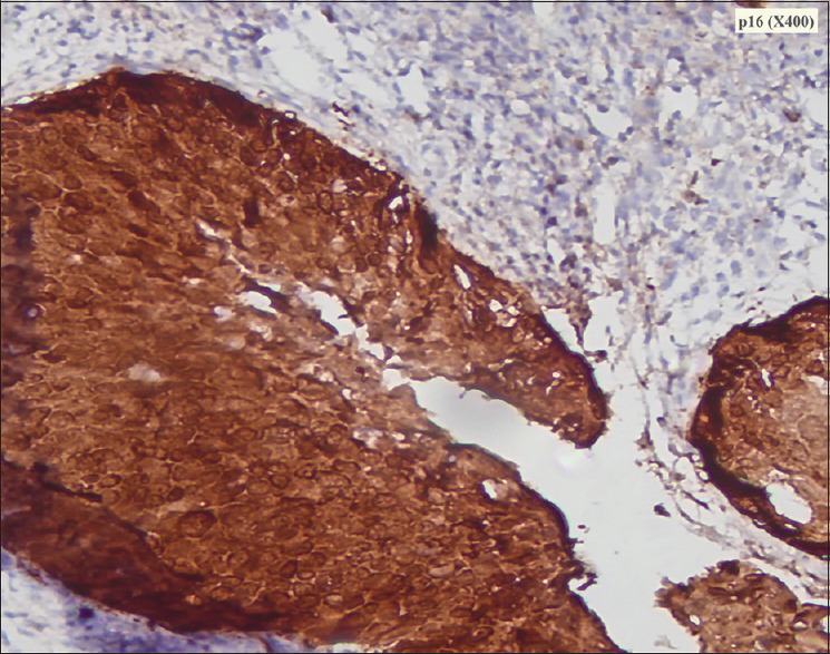
摘要浅表性宫颈鳞状细胞癌(SCC)是一种罕见的疾病,文献报道的病例很少。本病例报告简要介绍了绝经后妇女浅表性宫颈鳞状细胞癌的发现。65岁绝经后妇女,阴道出血1-2个月。经检查,子宫颈健康,无明显生长。她在磁共振成像上被诊断为子宫内膜恶性肿瘤。在子宫内膜和宫颈活检中,组织病理学显示宫颈外宫颈上皮内瘤变III型伴宫颈内膜和子宫内膜鳞状细胞癌。患者行改良根治性子宫切除术并双侧盆腔淋巴结切除术,组织病理学显示宫颈SCC浅表扩散,肿瘤细胞累及子宫内膜、子宫肌层、输卵管旁、卵巢旁、阴道边缘(未扩散至盆腔)和主动脉旁淋巴结。患者通过辅助放化疗得到了进一步的成功治疗。宫颈鳞状细胞癌是一种非常罕见的现象。它的传播不仅限于子宫内膜,而且可以扩展到子宫肌层、输卵管旁组织、卵巢旁组织和阴道组织。
本文章由计算机程序翻译,如有差异,请以英文原文为准。

Unusual Extension of Superficial Spreading Squamous Cell Carcinoma of Cervix to Uterus, Paraovarian, Paratubal Tissue, and Vaginal Surface: A Unique Case Report.

Unusual Extension of Superficial Spreading Squamous Cell Carcinoma of Cervix to Uterus, Paraovarian, Paratubal Tissue, and Vaginal Surface: A Unique Case Report.

Unusual Extension of Superficial Spreading Squamous Cell Carcinoma of Cervix to Uterus, Paraovarian, Paratubal Tissue, and Vaginal Surface: A Unique Case Report.

Unusual Extension of Superficial Spreading Squamous Cell Carcinoma of Cervix to Uterus, Paraovarian, Paratubal Tissue, and Vaginal Surface: A Unique Case Report.

Superficial spreading cervical squamous cell carcinoma (SCC) is a rare phenomenon with few cases reported in the literature. The present case report briefs the findings of superficial spreading cervical SCC in postmenopausal women. A 65-year-old postmenopausal woman presented with bleeding per-vaginum for 1-2 months. On examination, the cervix was healthy with no visible growth. She was diagnosed with an endometrial malignancy on magnetic resonance imaging. On endometrial and cervical biopsy, histopathology revealed cervical intraepithelial neoplasia III in ectocervix with SCC in endocervical and endometrial curetting. The patient underwent modified radical hysterectomy with bilateral pelvic lymphadenectomy and histopathology revealed superficially spreading cervical SCC with tumor cells involving endometrium, myometrium, paratubal, paraovarian, vaginal margins without extending to pelvic, and para-aortic lymph nodes. The patient was further managed successfully with adjuvant chemoradiotherapy. Superficial spreading cervical SCC is very rare phenomenon. Its spread is not only limited to endometrium but can extend to involve myometrium, paratubal, paraovarian, and vaginal tissues.

求助全文
通过发布文献求助,成功后即可免费获取论文全文。 去求助
来源期刊
Journal of Mid-life Health
Journal of Mid-life Health Social Sciences-Health (social science)
CiteScore
1.70
自引率
9.10%
发文量
39
审稿时长
43 weeks
期刊介绍: Journal of mid-life health is the official journal of the Indian Menopause society published Quarterly in January, April, July and October. It is peer reviewed, scientific journal of mid-life health and its problems. It includes all aspects of mid-life health, preventive as well as curative. The journal publishes on subjects such as gynecology, neurology, geriatrics, psychiatry, endocrinology, urology, andrology, psychology, healthy ageing, cardiovascular health, bone health, quality of life etc. as relevant of men and women in their midlife. The Journal provides a visible platform to the researchers as well as clinicians to publish their experiences in this area thereby helping in the promotion of mid-life health leading to healthy ageing, growing need due to increasing life expectancy. The Editorial team has maintained high standards and published original research papers, case reports and review articles from the best of the best contributors both national & international, consistently so that now, it has become a great tool in the hands of menopause practitioners.
×
引用
GB/T 7714-2015
复制
MLA
复制
APA
复制
导出至
BibTeX EndNote RefMan NoteFirst NoteExpress
×
提示
您的信息不完整,为了账户安全,请先补充。
现在去补充
×
提示
您因"违规操作"
具体请查看互助需知
我知道了
×
提示
确定
请完成安全验证×
copy
已复制链接
快去分享给好友吧!
我知道了
右上角分享
点击右上角分享
0
联系我们:info@booksci.cn Book学术提供免费学术资源搜索服务,方便国内外学者检索中英文文献。致力于提供最便捷和优质的服务体验。 Copyright © 2023 布克学术 All rights reserved.
京ICP备2023020795号-1
ghs 京公网安备 11010802042870号
Book学术文献互助
Book学术文献互助群
群 号:604180095
Book学术官方微信