[勘误]奥美拉唑对人结肠癌细胞和偶氮氧甲烷诱导的大鼠结肠异常隐窝灶形成的抗癌特性。

IF 4.9 3区 医学 Q1 ONCOLOGY
International journal of oncology Pub Date : 2025-01-01 Epub Date: 2024-11-29 DOI:10.3892/ijo.2024.5709
Jagan M R Patlolla, Yuting Zhang, Qian Li, Vernon E Steele, Chinthalapally V Rao
{"title":"[勘误]奥美拉唑对人结肠癌细胞和偶氮氧甲烷诱导的大鼠结肠异常隐窝灶形成的抗癌特性。","authors":"Jagan M R Patlolla, Yuting Zhang, Qian Li, Vernon E Steele, Chinthalapally V Rao","doi":"10.3892/ijo.2024.5709","DOIUrl":null,"url":null,"abstract":"<p><p>Following the publication of the above article, an interested reader drew to the authors' attention that certain of the in vitro image panels shown in Fig. 3B (featuring the effects of adding five different concentrations of omeprazole on acridine orange/ethidium bromide‑stained HCA‑7 cells) and Fig. 4 (showing western blotting experiments) on p. 173 and 174 respectively contained overlapping data panels, where results that were intended to represent the results of differently performed experiments had apparently been derived from the same original sources. Specifically, the image panels for 0 and 50 µM/ml omeprazole (Fig. 3Ba and Bb), and 100 and 200 µM/ml omeprazole (Fig. 3Bc and Bd), in Fig. 3B were strikingly similar; and the bands shown for p21 and cyclin A in Fig. 4A and B respectively were also similar, albeit each set of protein bands were turned through 180° relative to the other. After having examined their original data, the authors realized that these figures had been inadvertently assembled incorrectly. The revised versions of Figs. 3 (showing the data correctly for the 0, 100 and 300 µM/ml omeprazole experiments) and 4 (with the cyclin A data omitted) are shown on the next page. Note that the edits made to these figures do not affect the overall results and conclusions reported in the paper. The authors are grateful to the Editor of <i>International Journal of Oncology</i> for granting them the opportunity to publish this corrigendum, and all the authors agree with its publication; furthermore, they apologize to the readership of the journal for any inconvenience caused. [International Journal of Oncology 40: 170‑175, 2012; DOI: 10.3892/ijo.2011.1214].</p>","PeriodicalId":14175,"journal":{"name":"International journal of oncology","volume":"66 1","pages":""},"PeriodicalIF":4.9000,"publicationDate":"2025-01-01","publicationTypes":"Journal Article","fieldsOfStudy":null,"isOpenAccess":false,"openAccessPdf":"https://www.ncbi.nlm.nih.gov/pmc/articles/PMC11637503/pdf/","citationCount":"0","resultStr":"{\"title\":\"[Corrigendum] Anti‑carcinogenic properties of omeprazole against human colon cancer cells and azoxymethane‑induced colonic aberrant crypt foci formation in rats.\",\"authors\":\"Jagan M R Patlolla, Yuting Zhang, Qian Li, Vernon E Steele, Chinthalapally V Rao\",\"doi\":\"10.3892/ijo.2024.5709\",\"DOIUrl\":null,\"url\":null,\"abstract\":\"<p><p>Following the publication of the above article, an interested reader drew to the authors' attention that certain of the in vitro image panels shown in Fig. 3B (featuring the effects of adding five different concentrations of omeprazole on acridine orange/ethidium bromide‑stained HCA‑7 cells) and Fig. 4 (showing western blotting experiments) on p. 173 and 174 respectively contained overlapping data panels, where results that were intended to represent the results of differently performed experiments had apparently been derived from the same original sources. Specifically, the image panels for 0 and 50 µM/ml omeprazole (Fig. 3Ba and Bb), and 100 and 200 µM/ml omeprazole (Fig. 3Bc and Bd), in Fig. 3B were strikingly similar; and the bands shown for p21 and cyclin A in Fig. 4A and B respectively were also similar, albeit each set of protein bands were turned through 180° relative to the other. After having examined their original data, the authors realized that these figures had been inadvertently assembled incorrectly. The revised versions of Figs. 3 (showing the data correctly for the 0, 100 and 300 µM/ml omeprazole experiments) and 4 (with the cyclin A data omitted) are shown on the next page. Note that the edits made to these figures do not affect the overall results and conclusions reported in the paper. The authors are grateful to the Editor of <i>International Journal of Oncology</i> for granting them the opportunity to publish this corrigendum, and all the authors agree with its publication; furthermore, they apologize to the readership of the journal for any inconvenience caused. [International Journal of Oncology 40: 170‑175, 2012; DOI: 10.3892/ijo.2011.1214].</p>\",\"PeriodicalId\":14175,\"journal\":{\"name\":\"International journal of oncology\",\"volume\":\"66 1\",\"pages\":\"\"},\"PeriodicalIF\":4.9000,\"publicationDate\":\"2025-01-01\",\"publicationTypes\":\"Journal Article\",\"fieldsOfStudy\":null,\"isOpenAccess\":false,\"openAccessPdf\":\"https://www.ncbi.nlm.nih.gov/pmc/articles/PMC11637503/pdf/\",\"citationCount\":\"0\",\"resultStr\":null,\"platform\":\"Semanticscholar\",\"paperid\":null,\"PeriodicalName\":\"International journal of oncology\",\"FirstCategoryId\":\"3\",\"ListUrlMain\":\"https://doi.org/10.3892/ijo.2024.5709\",\"RegionNum\":3,\"RegionCategory\":\"医学\",\"ArticlePicture\":[],\"TitleCN\":null,\"AbstractTextCN\":null,\"PMCID\":null,\"EPubDate\":\"2024/11/29 0:00:00\",\"PubModel\":\"Epub\",\"JCR\":\"Q1\",\"JCRName\":\"ONCOLOGY\",\"Score\":null,\"Total\":0}","platform":"Semanticscholar","paperid":null,"PeriodicalName":"International journal of oncology","FirstCategoryId":"3","ListUrlMain":"https://doi.org/10.3892/ijo.2024.5709","RegionNum":3,"RegionCategory":"医学","ArticlePicture":[],"TitleCN":null,"AbstractTextCN":null,"PMCID":null,"EPubDate":"2024/11/29 0:00:00","PubModel":"Epub","JCR":"Q1","JCRName":"ONCOLOGY","Score":null,"Total":0}
引用次数: 0

摘要

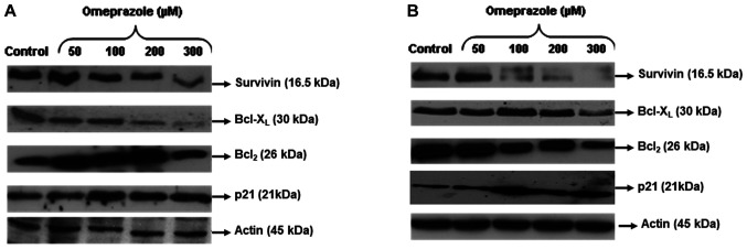
在上述文章发表后,一位感兴趣的读者提请作者注意,图3B(显示添加五种不同浓度的奥美拉唑对吖啶橙/溴化乙啶染色的HCA - 7细胞的影响)和图4(显示western blotting实验)中的某些体外图像面板分别在第173页和第174页上包含重叠的数据面板。用于表示不同实验结果的结果显然来自同一原始来源的。具体来说,图3B中0和50µM/ml奥美拉唑(图3Ba和Bb)和100和200µM/ml奥美拉唑(图3Bc和Bd)的图像面板非常相似;图4A和B中p21和cyclin A的条带也相似,尽管每组蛋白质条带相对于另一组旋转了180°。在检查了他们的原始数据后,作者意识到这些数字是无意中组装错误的。图3(显示了0、100和300µM/ml奥美拉唑实验的正确数据)和图4(省略了cyclin A数据)的修订版将在下一页显示。请注意,对这些数字的编辑不影响论文中报告的总体结果和结论。作者感谢《国际肿瘤学杂志》编辑给予他们发表本勘误表的机会,所有作者同意其发表;此外,对于由此造成的不便,他们向杂志的读者道歉。国际肿瘤学杂志40:170 - 175,2012;DOI: 10.3892 / ijo.2011.1214]。
本文章由计算机程序翻译,如有差异,请以英文原文为准。

[Corrigendum] Anti‑carcinogenic properties of omeprazole against human colon cancer cells and azoxymethane‑induced colonic aberrant crypt foci formation in rats.

[Corrigendum] Anti‑carcinogenic properties of omeprazole against human colon cancer cells and azoxymethane‑induced colonic aberrant crypt foci formation in rats.

[Corrigendum] Anti‑carcinogenic properties of omeprazole against human colon cancer cells and azoxymethane‑induced colonic aberrant crypt foci formation in rats.

Following the publication of the above article, an interested reader drew to the authors' attention that certain of the in vitro image panels shown in Fig. 3B (featuring the effects of adding five different concentrations of omeprazole on acridine orange/ethidium bromide‑stained HCA‑7 cells) and Fig. 4 (showing western blotting experiments) on p. 173 and 174 respectively contained overlapping data panels, where results that were intended to represent the results of differently performed experiments had apparently been derived from the same original sources. Specifically, the image panels for 0 and 50 µM/ml omeprazole (Fig. 3Ba and Bb), and 100 and 200 µM/ml omeprazole (Fig. 3Bc and Bd), in Fig. 3B were strikingly similar; and the bands shown for p21 and cyclin A in Fig. 4A and B respectively were also similar, albeit each set of protein bands were turned through 180° relative to the other. After having examined their original data, the authors realized that these figures had been inadvertently assembled incorrectly. The revised versions of Figs. 3 (showing the data correctly for the 0, 100 and 300 µM/ml omeprazole experiments) and 4 (with the cyclin A data omitted) are shown on the next page. Note that the edits made to these figures do not affect the overall results and conclusions reported in the paper. The authors are grateful to the Editor of International Journal of Oncology for granting them the opportunity to publish this corrigendum, and all the authors agree with its publication; furthermore, they apologize to the readership of the journal for any inconvenience caused. [International Journal of Oncology 40: 170‑175, 2012; DOI: 10.3892/ijo.2011.1214].

求助全文
通过发布文献求助,成功后即可免费获取论文全文。 去求助
来源期刊
CiteScore
9.60
自引率
0.00%
发文量
157
审稿时长
2.1 months
期刊介绍: The main aim of Spandidos Publications is to facilitate scientific communication in a clear, concise and objective manner, while striving to provide prompt publication of original works of high quality. The journals largely concentrate on molecular and experimental medicine, oncology, clinical and experimental cancer treatment and biomedical research. All journals published by Spandidos Publications Ltd. maintain the highest standards of quality, and the members of their Editorial Boards are world-renowned scientists.
×
引用
GB/T 7714-2015
复制
MLA
复制
APA
复制
导出至
BibTeX EndNote RefMan NoteFirst NoteExpress
×
提示
您的信息不完整,为了账户安全,请先补充。
现在去补充
×
提示
您因"违规操作"
具体请查看互助需知
我知道了
×
提示
确定
请完成安全验证×
copy
已复制链接
快去分享给好友吧!
我知道了
右上角分享
点击右上角分享
0
联系我们:info@booksci.cn Book学术提供免费学术资源搜索服务,方便国内外学者检索中英文文献。致力于提供最便捷和优质的服务体验。 Copyright © 2023 布克学术 All rights reserved.
京ICP备2023020795号-1
ghs 京公网安备 11010802042870号
Book学术文献互助
Book学术文献互助群
群 号:604180095
Book学术官方微信