一名滤泡性淋巴瘤患者在接受免疫化疗后出现丙型肝炎病毒相关肝炎复发。

IF 1.4 Q4 HEMATOLOGY
Yotaro Motomura, Kota Yoshifuji, Keisuke Tanaka, Chizuko Sakashita, Yoshihiro Umezawa, Toshikage Nagao, Sayuri Nitta, Yasuhiro Asahina, Takehiko Mori, Masahide Yamamoto
{"title":"一名滤泡性淋巴瘤患者在接受免疫化疗后出现丙型肝炎病毒相关肝炎复发。","authors":"Yotaro Motomura, Kota Yoshifuji, Keisuke Tanaka, Chizuko Sakashita, Yoshihiro Umezawa, Toshikage Nagao, Sayuri Nitta, Yasuhiro Asahina, Takehiko Mori, Masahide Yamamoto","doi":"10.3960/jslrt.24042","DOIUrl":null,"url":null,"abstract":"<p><p>Reactivation of hepatitis viruses during chemotherapy can be problematic in the treatment of malignant lymphomas. However, studies on reactivation of chronic hepatitis C virus (HCV) infection are limited. A 43-year-old woman presented with generalized lymphadenopathy and multiple liver tumors, and she was diagnosed with follicular lymphoma (grade 3a; clinical stage IV). Chronic HCV infection was clinically diagnosed. Immunochemotherapy (ICT), including bendamustine and obinutuzumab, was initiated with close liver function monitoring without specific treatment for hepatitis C. However, liver dysfunction worsened 17 days after ICT initiation, and ICT was interrupted. HCV-RNA and transaminase levels continued to elevate. Liver biopsy results confirmed acute exacerbation of chronic hepatitis C. Direct active antiviral (DAA) therapy was started and effective. She has maintained a sustained virologic response since DAA therapy ended. With regard to lymphoma, complete metabolic response was maintained for 4 years without additional treatment. Physicians should be aware of HCV reactivation with hepatitis flare after ICT for lymphoma and consider the indication and timing of DAA therapy for hepatitis C in this setting.</p>","PeriodicalId":45936,"journal":{"name":"Journal of Clinical and Experimental Hematopathology","volume":" ","pages":"313-317"},"PeriodicalIF":1.4000,"publicationDate":"2024-12-25","publicationTypes":"Journal Article","fieldsOfStudy":null,"isOpenAccess":false,"openAccessPdf":"https://www.ncbi.nlm.nih.gov/pmc/articles/PMC11786155/pdf/","citationCount":"0","resultStr":"{\"title\":\"Hepatitis C virus-related hepatitis flare after immunochemotherapy in a patient with follicular lymphoma.\",\"authors\":\"Yotaro Motomura, Kota Yoshifuji, Keisuke Tanaka, Chizuko Sakashita, Yoshihiro Umezawa, Toshikage Nagao, Sayuri Nitta, Yasuhiro Asahina, Takehiko Mori, Masahide Yamamoto\",\"doi\":\"10.3960/jslrt.24042\",\"DOIUrl\":null,\"url\":null,\"abstract\":\"<p><p>Reactivation of hepatitis viruses during chemotherapy can be problematic in the treatment of malignant lymphomas. However, studies on reactivation of chronic hepatitis C virus (HCV) infection are limited. A 43-year-old woman presented with generalized lymphadenopathy and multiple liver tumors, and she was diagnosed with follicular lymphoma (grade 3a; clinical stage IV). Chronic HCV infection was clinically diagnosed. Immunochemotherapy (ICT), including bendamustine and obinutuzumab, was initiated with close liver function monitoring without specific treatment for hepatitis C. However, liver dysfunction worsened 17 days after ICT initiation, and ICT was interrupted. HCV-RNA and transaminase levels continued to elevate. Liver biopsy results confirmed acute exacerbation of chronic hepatitis C. Direct active antiviral (DAA) therapy was started and effective. She has maintained a sustained virologic response since DAA therapy ended. With regard to lymphoma, complete metabolic response was maintained for 4 years without additional treatment. Physicians should be aware of HCV reactivation with hepatitis flare after ICT for lymphoma and consider the indication and timing of DAA therapy for hepatitis C in this setting.</p>\",\"PeriodicalId\":45936,\"journal\":{\"name\":\"Journal of Clinical and Experimental Hematopathology\",\"volume\":\" \",\"pages\":\"313-317\"},\"PeriodicalIF\":1.4000,\"publicationDate\":\"2024-12-25\",\"publicationTypes\":\"Journal Article\",\"fieldsOfStudy\":null,\"isOpenAccess\":false,\"openAccessPdf\":\"https://www.ncbi.nlm.nih.gov/pmc/articles/PMC11786155/pdf/\",\"citationCount\":\"0\",\"resultStr\":null,\"platform\":\"Semanticscholar\",\"paperid\":null,\"PeriodicalName\":\"Journal of Clinical and Experimental Hematopathology\",\"FirstCategoryId\":\"1085\",\"ListUrlMain\":\"https://doi.org/10.3960/jslrt.24042\",\"RegionNum\":0,\"RegionCategory\":null,\"ArticlePicture\":[],\"TitleCN\":null,\"AbstractTextCN\":null,\"PMCID\":null,\"EPubDate\":\"2024/11/28 0:00:00\",\"PubModel\":\"Epub\",\"JCR\":\"Q4\",\"JCRName\":\"HEMATOLOGY\",\"Score\":null,\"Total\":0}","platform":"Semanticscholar","paperid":null,"PeriodicalName":"Journal of Clinical and Experimental Hematopathology","FirstCategoryId":"1085","ListUrlMain":"https://doi.org/10.3960/jslrt.24042","RegionNum":0,"RegionCategory":null,"ArticlePicture":[],"TitleCN":null,"AbstractTextCN":null,"PMCID":null,"EPubDate":"2024/11/28 0:00:00","PubModel":"Epub","JCR":"Q4","JCRName":"HEMATOLOGY","Score":null,"Total":0}
引用次数: 0

摘要

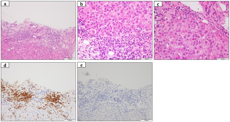
化疗期间肝炎病毒的再激活可能会给恶性淋巴瘤的治疗带来问题。然而,有关慢性丙型肝炎病毒(HCV)感染再活化的研究非常有限。一名 43 岁的女性患者出现全身淋巴结病和多发性肝肿瘤,被诊断为滤泡性淋巴瘤(3a 级;临床 IV 期)。临床诊断为慢性 HCV 感染。开始接受免疫化疗(ICT),包括苯达莫司汀和奥比妥珠单抗,并密切监测肝功能,但未对丙型肝炎进行特异性治疗。HCV-RNA 和转氨酶水平持续升高。肝活检结果证实慢性丙型肝炎急性加重。DAA 治疗结束后,她一直保持着持续的病毒学应答。至于淋巴瘤,在没有额外治疗的情况下,完全代谢反应已维持了 4 年。医生应注意淋巴瘤 ICT 治疗后肝炎复发导致的 HCV 再激活,并考虑这种情况下丙型肝炎 DAA 治疗的适应症和时机。
本文章由计算机程序翻译,如有差异,请以英文原文为准。

Hepatitis C virus-related hepatitis flare after immunochemotherapy in a patient with follicular lymphoma.

Hepatitis C virus-related hepatitis flare after immunochemotherapy in a patient with follicular lymphoma.

Hepatitis C virus-related hepatitis flare after immunochemotherapy in a patient with follicular lymphoma.

Hepatitis C virus-related hepatitis flare after immunochemotherapy in a patient with follicular lymphoma.

Reactivation of hepatitis viruses during chemotherapy can be problematic in the treatment of malignant lymphomas. However, studies on reactivation of chronic hepatitis C virus (HCV) infection are limited. A 43-year-old woman presented with generalized lymphadenopathy and multiple liver tumors, and she was diagnosed with follicular lymphoma (grade 3a; clinical stage IV). Chronic HCV infection was clinically diagnosed. Immunochemotherapy (ICT), including bendamustine and obinutuzumab, was initiated with close liver function monitoring without specific treatment for hepatitis C. However, liver dysfunction worsened 17 days after ICT initiation, and ICT was interrupted. HCV-RNA and transaminase levels continued to elevate. Liver biopsy results confirmed acute exacerbation of chronic hepatitis C. Direct active antiviral (DAA) therapy was started and effective. She has maintained a sustained virologic response since DAA therapy ended. With regard to lymphoma, complete metabolic response was maintained for 4 years without additional treatment. Physicians should be aware of HCV reactivation with hepatitis flare after ICT for lymphoma and consider the indication and timing of DAA therapy for hepatitis C in this setting.

求助全文
通过发布文献求助,成功后即可免费获取论文全文。 去求助
来源期刊
CiteScore
2.00
自引率
6.70%
发文量
25
审稿时长
11 weeks
×
引用
GB/T 7714-2015
复制
MLA
复制
APA
复制
导出至
BibTeX EndNote RefMan NoteFirst NoteExpress
×
提示
您的信息不完整,为了账户安全,请先补充。
现在去补充
×
提示
您因"违规操作"
具体请查看互助需知
我知道了
×
提示
确定
请完成安全验证×
copy
已复制链接
快去分享给好友吧!
我知道了
右上角分享
点击右上角分享
0
联系我们:info@booksci.cn Book学术提供免费学术资源搜索服务,方便国内外学者检索中英文文献。致力于提供最便捷和优质的服务体验。 Copyright © 2023 布克学术 All rights reserved.
京ICP备2023020795号-1
ghs 京公网安备 11010802042870号
Book学术文献互助
Book学术文献互助群
群 号:604180095
Book学术官方微信