侵犯左侧阔筋膜肌的深部幼年黄疽:病例报告和文献综述。

IF 1.4 Q4 HEMATOLOGY
Atsushi Maejima, Keisuke Okuno, Masanori Miyaishi, Daisuke Kawaba, Sosuke Kakee, Kensaku Yamaga, Noriyuki Namba
{"title":"侵犯左侧阔筋膜肌的深部幼年黄疽:病例报告和文献综述。","authors":"Atsushi Maejima, Keisuke Okuno, Masanori Miyaishi, Daisuke Kawaba, Sosuke Kakee, Kensaku Yamaga, Noriyuki Namba","doi":"10.3960/jslrt.24056","DOIUrl":null,"url":null,"abstract":"<p><p>Juvenile xanthogranuloma (JXG) is a rare benign non-Langerhans cell histiocytosis that usually occurs in cutaneous lesions on the head, neck, or upper trunk of neonates and young children. Intramuscular JXG, which invades muscle tissue, accounts for only 0.6% of all JXGs and mostly occurs in the skeletal muscles of the extremities or trunk. A 5-month-old girl was referred to our hospital. At the age of 3 months, she presented with a slow-growing lump on her left thigh. Magnetic resonance imaging (MRI) showed a 22 × 19 × 18 mm oval mass in her left thigh. First, needle biopsy results suggested deep JXG or myeloid sarcoma. Therefore, marginal resection was performed. Intraoperatively, the tumor adhered to the left tensor fasciae latae muscle and was resected together. Histopathological examination revealed a diffuse monotonous sheet-like proliferation of mononuclear histiocyte-like cells with pale, eosinophilic, foamy cytoplasm with a background of muscle and fatty tissue. Minimal mitotic figures and no nuclear atypia or multinucleated giant cells were observed. Immunohistochemical analysis was positive for CD68 (KP-1) and CD163; weakly positive for lysozyme; and negative for CD1a, S100, myeloperoxidase, and CD34. No blast proliferation was observed in the bone marrow. The patient was diagnosed with deep JXG and scheduled for periodic physical examination and MRI. Despite positive margins, the patient fared well without local recurrence 48 months after tumor removal. Understanding the unique pathology of deep JXG and detailed histological evaluation are important for decision-making.</p>","PeriodicalId":45936,"journal":{"name":"Journal of Clinical and Experimental Hematopathology","volume":" ","pages":"323-327"},"PeriodicalIF":1.4000,"publicationDate":"2024-12-25","publicationTypes":"Journal Article","fieldsOfStudy":null,"isOpenAccess":false,"openAccessPdf":"https://www.ncbi.nlm.nih.gov/pmc/articles/PMC11786151/pdf/","citationCount":"0","resultStr":"{\"title\":\"Deep juvenile xanthogranuloma invading the left tensor fasciae latae muscle: a case report and a literature review.\",\"authors\":\"Atsushi Maejima, Keisuke Okuno, Masanori Miyaishi, Daisuke Kawaba, Sosuke Kakee, Kensaku Yamaga, Noriyuki Namba\",\"doi\":\"10.3960/jslrt.24056\",\"DOIUrl\":null,\"url\":null,\"abstract\":\"<p><p>Juvenile xanthogranuloma (JXG) is a rare benign non-Langerhans cell histiocytosis that usually occurs in cutaneous lesions on the head, neck, or upper trunk of neonates and young children. Intramuscular JXG, which invades muscle tissue, accounts for only 0.6% of all JXGs and mostly occurs in the skeletal muscles of the extremities or trunk. A 5-month-old girl was referred to our hospital. At the age of 3 months, she presented with a slow-growing lump on her left thigh. Magnetic resonance imaging (MRI) showed a 22 × 19 × 18 mm oval mass in her left thigh. First, needle biopsy results suggested deep JXG or myeloid sarcoma. Therefore, marginal resection was performed. Intraoperatively, the tumor adhered to the left tensor fasciae latae muscle and was resected together. Histopathological examination revealed a diffuse monotonous sheet-like proliferation of mononuclear histiocyte-like cells with pale, eosinophilic, foamy cytoplasm with a background of muscle and fatty tissue. Minimal mitotic figures and no nuclear atypia or multinucleated giant cells were observed. Immunohistochemical analysis was positive for CD68 (KP-1) and CD163; weakly positive for lysozyme; and negative for CD1a, S100, myeloperoxidase, and CD34. No blast proliferation was observed in the bone marrow. The patient was diagnosed with deep JXG and scheduled for periodic physical examination and MRI. Despite positive margins, the patient fared well without local recurrence 48 months after tumor removal. Understanding the unique pathology of deep JXG and detailed histological evaluation are important for decision-making.</p>\",\"PeriodicalId\":45936,\"journal\":{\"name\":\"Journal of Clinical and Experimental Hematopathology\",\"volume\":\" \",\"pages\":\"323-327\"},\"PeriodicalIF\":1.4000,\"publicationDate\":\"2024-12-25\",\"publicationTypes\":\"Journal Article\",\"fieldsOfStudy\":null,\"isOpenAccess\":false,\"openAccessPdf\":\"https://www.ncbi.nlm.nih.gov/pmc/articles/PMC11786151/pdf/\",\"citationCount\":\"0\",\"resultStr\":null,\"platform\":\"Semanticscholar\",\"paperid\":null,\"PeriodicalName\":\"Journal of Clinical and Experimental Hematopathology\",\"FirstCategoryId\":\"1085\",\"ListUrlMain\":\"https://doi.org/10.3960/jslrt.24056\",\"RegionNum\":0,\"RegionCategory\":null,\"ArticlePicture\":[],\"TitleCN\":null,\"AbstractTextCN\":null,\"PMCID\":null,\"EPubDate\":\"2024/11/28 0:00:00\",\"PubModel\":\"Epub\",\"JCR\":\"Q4\",\"JCRName\":\"HEMATOLOGY\",\"Score\":null,\"Total\":0}","platform":"Semanticscholar","paperid":null,"PeriodicalName":"Journal of Clinical and Experimental Hematopathology","FirstCategoryId":"1085","ListUrlMain":"https://doi.org/10.3960/jslrt.24056","RegionNum":0,"RegionCategory":null,"ArticlePicture":[],"TitleCN":null,"AbstractTextCN":null,"PMCID":null,"EPubDate":"2024/11/28 0:00:00","PubModel":"Epub","JCR":"Q4","JCRName":"HEMATOLOGY","Score":null,"Total":0}
引用次数: 0

摘要

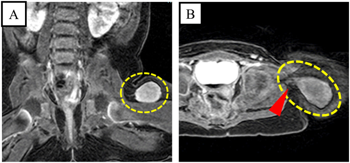
幼年黄疽瘤(JXG)是一种罕见的良性非朗格汉斯细胞组织细胞增生症,通常发生在新生儿和幼儿的头部、颈部或躯干上部的皮肤病变中。侵入肌肉组织的肌内 JXG 仅占所有 JXG 的 0.6%,而且大多发生在四肢或躯干的骨骼肌中。一名 5 个月大的女孩被转诊到我院。3 个月大时,她发现左大腿上有一个缓慢生长的肿块。磁共振成像(MRI)显示,她的左大腿上有一个 22 × 19 × 18 毫米的椭圆形肿块。首先,针刺活检结果提示为深部 JXG 或髓样肉瘤。因此,对其进行了边缘切除术。术中,肿瘤与左侧张肌筋膜粘连,一并切除。组织病理学检查显示,单核组织细胞样细胞呈弥漫性单层片状增生,胞浆苍白、嗜酸性、泡沫状,背景为肌肉和脂肪组织。细胞有丝分裂极少,无核不典型性或多核巨细胞。免疫组化分析显示,CD68(KP-1)和 CD163 阳性;溶菌酶弱阳性;CD1a、S100、髓过氧化物酶和 CD34 阴性。骨髓中未观察到胚芽增殖。患者被诊断为深部 JXG,并被安排进行定期体检和磁共振成像检查。尽管肿瘤边缘呈阳性,但患者在肿瘤切除 48 个月后情况良好,未出现局部复发。了解深部 JXG 的独特病理和详细的组织学评估对决策非常重要。
本文章由计算机程序翻译,如有差异,请以英文原文为准。

Deep juvenile xanthogranuloma invading the left tensor fasciae latae muscle: a case report and a literature review.

Deep juvenile xanthogranuloma invading the left tensor fasciae latae muscle: a case report and a literature review.

Deep juvenile xanthogranuloma invading the left tensor fasciae latae muscle: a case report and a literature review.

Juvenile xanthogranuloma (JXG) is a rare benign non-Langerhans cell histiocytosis that usually occurs in cutaneous lesions on the head, neck, or upper trunk of neonates and young children. Intramuscular JXG, which invades muscle tissue, accounts for only 0.6% of all JXGs and mostly occurs in the skeletal muscles of the extremities or trunk. A 5-month-old girl was referred to our hospital. At the age of 3 months, she presented with a slow-growing lump on her left thigh. Magnetic resonance imaging (MRI) showed a 22 × 19 × 18 mm oval mass in her left thigh. First, needle biopsy results suggested deep JXG or myeloid sarcoma. Therefore, marginal resection was performed. Intraoperatively, the tumor adhered to the left tensor fasciae latae muscle and was resected together. Histopathological examination revealed a diffuse monotonous sheet-like proliferation of mononuclear histiocyte-like cells with pale, eosinophilic, foamy cytoplasm with a background of muscle and fatty tissue. Minimal mitotic figures and no nuclear atypia or multinucleated giant cells were observed. Immunohistochemical analysis was positive for CD68 (KP-1) and CD163; weakly positive for lysozyme; and negative for CD1a, S100, myeloperoxidase, and CD34. No blast proliferation was observed in the bone marrow. The patient was diagnosed with deep JXG and scheduled for periodic physical examination and MRI. Despite positive margins, the patient fared well without local recurrence 48 months after tumor removal. Understanding the unique pathology of deep JXG and detailed histological evaluation are important for decision-making.

求助全文
通过发布文献求助,成功后即可免费获取论文全文。 去求助
来源期刊
CiteScore
2.00
自引率
6.70%
发文量
25
审稿时长
11 weeks
×
引用
GB/T 7714-2015
复制
MLA
复制
APA
复制
导出至
BibTeX EndNote RefMan NoteFirst NoteExpress
×
提示
您的信息不完整,为了账户安全,请先补充。
现在去补充
×
提示
您因"违规操作"
具体请查看互助需知
我知道了
×
提示
确定
请完成安全验证×
copy
已复制链接
快去分享给好友吧!
我知道了
右上角分享
点击右上角分享
0
联系我们:info@booksci.cn Book学术提供免费学术资源搜索服务,方便国内外学者检索中英文文献。致力于提供最便捷和优质的服务体验。 Copyright © 2023 布克学术 All rights reserved.
京ICP备2023020795号-1
ghs 京公网安备 11010802042870号
Book学术文献互助
Book学术文献互助群
群 号:604180095
Book学术官方微信