再生障碍性贫血导致骨髓衰竭,伴有浆液性脂肪萎缩,采用异体同种干细胞移植治疗:病例报告。

IF 0.7 Q4 HEMATOLOGY
Case Reports in Hematology Pub Date : 2024-11-16 eCollection Date: 2024-01-01 DOI:10.1155/crh/6526961
Matthew J Pisarcik, Cameron J Oswalt, Eric D Carlsen, Mitchell E Horwitz
{"title":"再生障碍性贫血导致骨髓衰竭,伴有浆液性脂肪萎缩,采用异体同种干细胞移植治疗:病例报告。","authors":"Matthew J Pisarcik, Cameron J Oswalt, Eric D Carlsen, Mitchell E Horwitz","doi":"10.1155/crh/6526961","DOIUrl":null,"url":null,"abstract":"<p><p>We describe the case of a 27-year-old male, previously healthy though with a social history notable for recreational cocaine use, who developed bone marrow failure due to aplastic anemia (AA) with associated serous fat atrophy (SFA). After the SFA was corrected with nutritional supplementation, the patient underwent successful allogeneic, haploidentical stem cell transplantation with a regimen designed to treat AA. To our knowledge, this is the first case of hematopoietic stem cell transplantation (HSCT) performed following correction of SFA. Herein we propose our novel hypothesis that SFA, once resolved, is not a contraindication to stem cell transplantation, which we believe adds valuable insight toward an improved understanding of nutrition's role in HSCT. Additionally, the AA is thought to be toxin-induced and specifically levamisole-mediated after exposure to levamisole-adulterated cocaine. We highlight potential connections between levamisole, AA, and SFA and call for further efforts to understand these relationships-especially as the use of levamisole as a cocaine adulterant continues to rise across the globe.</p>","PeriodicalId":46307,"journal":{"name":"Case Reports in Hematology","volume":"2024 ","pages":"6526961"},"PeriodicalIF":0.7000,"publicationDate":"2024-11-16","publicationTypes":"Journal Article","fieldsOfStudy":null,"isOpenAccess":false,"openAccessPdf":"https://www.ncbi.nlm.nih.gov/pmc/articles/PMC11588405/pdf/","citationCount":"0","resultStr":"{\"title\":\"Bone Marrow Failure due to Aplastic Anemia, Associated With Serous Fat Atrophy, and Treated With Allogeneic, Haploidentical Stem Cell Transplantation: A Case Report.\",\"authors\":\"Matthew J Pisarcik, Cameron J Oswalt, Eric D Carlsen, Mitchell E Horwitz\",\"doi\":\"10.1155/crh/6526961\",\"DOIUrl\":null,\"url\":null,\"abstract\":\"<p><p>We describe the case of a 27-year-old male, previously healthy though with a social history notable for recreational cocaine use, who developed bone marrow failure due to aplastic anemia (AA) with associated serous fat atrophy (SFA). After the SFA was corrected with nutritional supplementation, the patient underwent successful allogeneic, haploidentical stem cell transplantation with a regimen designed to treat AA. To our knowledge, this is the first case of hematopoietic stem cell transplantation (HSCT) performed following correction of SFA. Herein we propose our novel hypothesis that SFA, once resolved, is not a contraindication to stem cell transplantation, which we believe adds valuable insight toward an improved understanding of nutrition's role in HSCT. Additionally, the AA is thought to be toxin-induced and specifically levamisole-mediated after exposure to levamisole-adulterated cocaine. We highlight potential connections between levamisole, AA, and SFA and call for further efforts to understand these relationships-especially as the use of levamisole as a cocaine adulterant continues to rise across the globe.</p>\",\"PeriodicalId\":46307,\"journal\":{\"name\":\"Case Reports in Hematology\",\"volume\":\"2024 \",\"pages\":\"6526961\"},\"PeriodicalIF\":0.7000,\"publicationDate\":\"2024-11-16\",\"publicationTypes\":\"Journal Article\",\"fieldsOfStudy\":null,\"isOpenAccess\":false,\"openAccessPdf\":\"https://www.ncbi.nlm.nih.gov/pmc/articles/PMC11588405/pdf/\",\"citationCount\":\"0\",\"resultStr\":null,\"platform\":\"Semanticscholar\",\"paperid\":null,\"PeriodicalName\":\"Case Reports in Hematology\",\"FirstCategoryId\":\"1085\",\"ListUrlMain\":\"https://doi.org/10.1155/crh/6526961\",\"RegionNum\":0,\"RegionCategory\":null,\"ArticlePicture\":[],\"TitleCN\":null,\"AbstractTextCN\":null,\"PMCID\":null,\"EPubDate\":\"2024/1/1 0:00:00\",\"PubModel\":\"eCollection\",\"JCR\":\"Q4\",\"JCRName\":\"HEMATOLOGY\",\"Score\":null,\"Total\":0}","platform":"Semanticscholar","paperid":null,"PeriodicalName":"Case Reports in Hematology","FirstCategoryId":"1085","ListUrlMain":"https://doi.org/10.1155/crh/6526961","RegionNum":0,"RegionCategory":null,"ArticlePicture":[],"TitleCN":null,"AbstractTextCN":null,"PMCID":null,"EPubDate":"2024/1/1 0:00:00","PubModel":"eCollection","JCR":"Q4","JCRName":"HEMATOLOGY","Score":null,"Total":0}
引用次数: 0

摘要

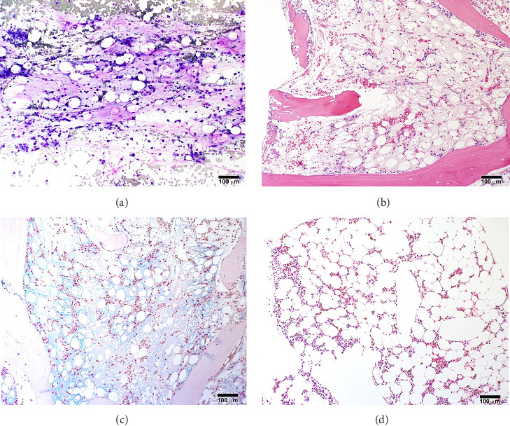
我们描述了一例27岁男性的病例,该患者之前身体健康,但曾有过娱乐性吸食可卡因的社会历史,因再生障碍性贫血(AA)导致骨髓衰竭,并伴有浆液性脂肪萎缩(SFA)。在通过营养补充治疗纠正了SFA后,患者成功接受了异体、单倍体干细胞移植,并采用了治疗再生障碍性贫血的方案。据我们所知,这是第一例在纠正SFA后进行的造血干细胞移植(HSCT)。在此,我们提出了新的假设,即SFA一旦得到解决,就不会成为干细胞移植的禁忌症,我们认为这为我们更好地理解营养在造血干细胞移植中的作用提供了宝贵的见解。此外,AA被认为是毒素诱导的,特别是在接触掺有左旋咪唑的可卡因后由左旋咪唑介导。我们强调了左旋咪唑、AA 和 SFA 之间的潜在联系,并呼吁进一步努力了解这些关系--尤其是在全球使用左旋咪唑作为可卡因掺杂物的情况不断增加的时候。
本文章由计算机程序翻译,如有差异,请以英文原文为准。

Bone Marrow Failure due to Aplastic Anemia, Associated With Serous Fat Atrophy, and Treated With Allogeneic, Haploidentical Stem Cell Transplantation: A Case Report.

Bone Marrow Failure due to Aplastic Anemia, Associated With Serous Fat Atrophy, and Treated With Allogeneic, Haploidentical Stem Cell Transplantation: A Case Report.

We describe the case of a 27-year-old male, previously healthy though with a social history notable for recreational cocaine use, who developed bone marrow failure due to aplastic anemia (AA) with associated serous fat atrophy (SFA). After the SFA was corrected with nutritional supplementation, the patient underwent successful allogeneic, haploidentical stem cell transplantation with a regimen designed to treat AA. To our knowledge, this is the first case of hematopoietic stem cell transplantation (HSCT) performed following correction of SFA. Herein we propose our novel hypothesis that SFA, once resolved, is not a contraindication to stem cell transplantation, which we believe adds valuable insight toward an improved understanding of nutrition's role in HSCT. Additionally, the AA is thought to be toxin-induced and specifically levamisole-mediated after exposure to levamisole-adulterated cocaine. We highlight potential connections between levamisole, AA, and SFA and call for further efforts to understand these relationships-especially as the use of levamisole as a cocaine adulterant continues to rise across the globe.

求助全文
通过发布文献求助,成功后即可免费获取论文全文。 去求助
来源期刊
自引率
0.00%
发文量
51
审稿时长
13 weeks
×
引用
GB/T 7714-2015
复制
MLA
复制
APA
复制
导出至
BibTeX EndNote RefMan NoteFirst NoteExpress
×
提示
您的信息不完整,为了账户安全,请先补充。
现在去补充
×
提示
您因"违规操作"
具体请查看互助需知
我知道了
×
提示
确定
请完成安全验证×
copy
已复制链接
快去分享给好友吧!
我知道了
右上角分享
点击右上角分享
0
联系我们:info@booksci.cn Book学术提供免费学术资源搜索服务,方便国内外学者检索中英文文献。致力于提供最便捷和优质的服务体验。 Copyright © 2023 布克学术 All rights reserved.
京ICP备2023020795号-1
ghs 京公网安备 11010802042870号
Book学术文献互助
Book学术文献互助群
群 号:604180095
Book学术官方微信