下腔静脉利肌肉瘤导致的暴发性巴德-卡里综合征的截流术和椎体外循环。

IF 3.2 Q2 CARDIAC & CARDIOVASCULAR SYSTEMS
Maciej Wiewiora, Hanna Wiewiora, Ewa Chmielik, Michal Jarzab, Michael Grynkiewicz, Marcin Kubeczko
{"title":"下腔静脉利肌肉瘤导致的暴发性巴德-卡里综合征的截流术和椎体外循环。","authors":"Maciej Wiewiora, Hanna Wiewiora, Ewa Chmielik, Michal Jarzab, Michael Grynkiewicz, Marcin Kubeczko","doi":"10.1186/s40959-024-00287-1","DOIUrl":null,"url":null,"abstract":"<p><strong>Background: </strong>Budd-Chiari syndrome is a rare and severe vascular liver disease. We presented patient with fulminant liver failure secondary to leiomyosarcoma of the IVC and thrombosis.</p><p><strong>Case presentation: </strong>A 44-year-old female presented with fulminant liver failure secondary to inferior vena cava (IVC) thrombosis. Contrast-enhanced computed tomography subsequently revealed a thrombus within the IVC, extending cranially to the right atrium and caudally to the renal veins. The patient's condition, characterized by early comatose symptoms, necessitated surgical intervention. Under extracorporeal circulation, a right atriotomy with thrombus lesion removal and descending thrombectomy of the IVC was performed. Hepatic congestion resolved after the thrombus was removed. A pathological examination of the excised thrombus revealed the presence of high-grade leiomyosarcoma.</p><p><strong>Conclusions: </strong>In cases where a thrombus extends from the IVC to the right atrium, urgent surgical intervention with extracorporeal circulation should be considered.</p>","PeriodicalId":9804,"journal":{"name":"Cardio-oncology","volume":"10 1","pages":"83"},"PeriodicalIF":3.2000,"publicationDate":"2024-11-25","publicationTypes":"Journal Article","fieldsOfStudy":null,"isOpenAccess":false,"openAccessPdf":"https://www.ncbi.nlm.nih.gov/pmc/articles/PMC11587583/pdf/","citationCount":"0","resultStr":"{\"title\":\"Sternotomy and extracorporal circulation for fulminant Budd-Chiari syndrome due to leiomyosarcoma of the inferior vena cava.\",\"authors\":\"Maciej Wiewiora, Hanna Wiewiora, Ewa Chmielik, Michal Jarzab, Michael Grynkiewicz, Marcin Kubeczko\",\"doi\":\"10.1186/s40959-024-00287-1\",\"DOIUrl\":null,\"url\":null,\"abstract\":\"<p><strong>Background: </strong>Budd-Chiari syndrome is a rare and severe vascular liver disease. We presented patient with fulminant liver failure secondary to leiomyosarcoma of the IVC and thrombosis.</p><p><strong>Case presentation: </strong>A 44-year-old female presented with fulminant liver failure secondary to inferior vena cava (IVC) thrombosis. Contrast-enhanced computed tomography subsequently revealed a thrombus within the IVC, extending cranially to the right atrium and caudally to the renal veins. The patient's condition, characterized by early comatose symptoms, necessitated surgical intervention. Under extracorporeal circulation, a right atriotomy with thrombus lesion removal and descending thrombectomy of the IVC was performed. Hepatic congestion resolved after the thrombus was removed. A pathological examination of the excised thrombus revealed the presence of high-grade leiomyosarcoma.</p><p><strong>Conclusions: </strong>In cases where a thrombus extends from the IVC to the right atrium, urgent surgical intervention with extracorporeal circulation should be considered.</p>\",\"PeriodicalId\":9804,\"journal\":{\"name\":\"Cardio-oncology\",\"volume\":\"10 1\",\"pages\":\"83\"},\"PeriodicalIF\":3.2000,\"publicationDate\":\"2024-11-25\",\"publicationTypes\":\"Journal Article\",\"fieldsOfStudy\":null,\"isOpenAccess\":false,\"openAccessPdf\":\"https://www.ncbi.nlm.nih.gov/pmc/articles/PMC11587583/pdf/\",\"citationCount\":\"0\",\"resultStr\":null,\"platform\":\"Semanticscholar\",\"paperid\":null,\"PeriodicalName\":\"Cardio-oncology\",\"FirstCategoryId\":\"1085\",\"ListUrlMain\":\"https://doi.org/10.1186/s40959-024-00287-1\",\"RegionNum\":0,\"RegionCategory\":null,\"ArticlePicture\":[],\"TitleCN\":null,\"AbstractTextCN\":null,\"PMCID\":null,\"EPubDate\":\"\",\"PubModel\":\"\",\"JCR\":\"Q2\",\"JCRName\":\"CARDIAC & CARDIOVASCULAR SYSTEMS\",\"Score\":null,\"Total\":0}","platform":"Semanticscholar","paperid":null,"PeriodicalName":"Cardio-oncology","FirstCategoryId":"1085","ListUrlMain":"https://doi.org/10.1186/s40959-024-00287-1","RegionNum":0,"RegionCategory":null,"ArticlePicture":[],"TitleCN":null,"AbstractTextCN":null,"PMCID":null,"EPubDate":"","PubModel":"","JCR":"Q2","JCRName":"CARDIAC & CARDIOVASCULAR SYSTEMS","Score":null,"Total":0}
引用次数: 0

摘要

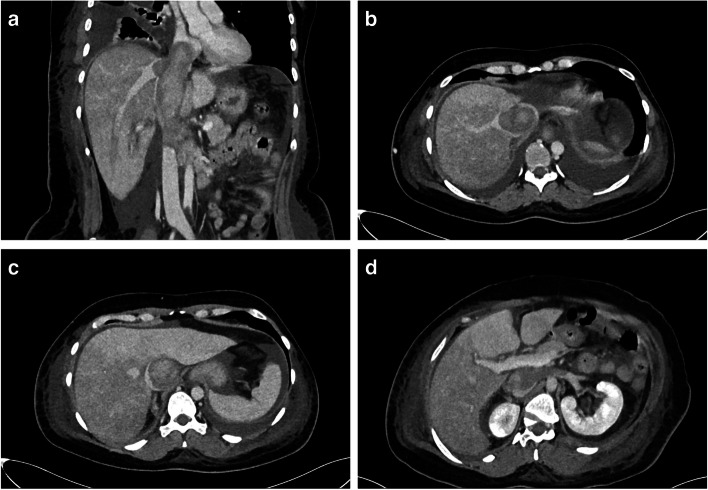
背景:巴德-恰里综合征是一种罕见的严重血管性肝病:布德-恰里综合征是一种罕见的严重血管性肝病。我们接诊了一名继发于下腔静脉癌和血栓形成的暴发性肝衰竭患者:一名 44 岁女性因下腔静脉(IVC)血栓形成而出现暴发性肝衰竭。随后,对比增强计算机断层扫描显示,下腔静脉内存在血栓,血栓头端延伸至右心房,尾端延伸至肾静脉。患者的病情以早期昏迷症状为特征,因此有必要进行手术治疗。在体外循环下,进行了右心房切开术,切除了血栓病灶,并对 IVC 进行了降支血栓切除术。血栓取出后,肝充血症状缓解。对切除的血栓进行病理检查后发现,存在高分化腺癌:结论:当血栓从内静脉延伸至右心房时,应考虑使用体外循环进行紧急手术治疗。
本文章由计算机程序翻译,如有差异,请以英文原文为准。

Sternotomy and extracorporal circulation for fulminant Budd-Chiari syndrome due to leiomyosarcoma of the inferior vena cava.

Sternotomy and extracorporal circulation for fulminant Budd-Chiari syndrome due to leiomyosarcoma of the inferior vena cava.

Sternotomy and extracorporal circulation for fulminant Budd-Chiari syndrome due to leiomyosarcoma of the inferior vena cava.

Sternotomy and extracorporal circulation for fulminant Budd-Chiari syndrome due to leiomyosarcoma of the inferior vena cava.

Background: Budd-Chiari syndrome is a rare and severe vascular liver disease. We presented patient with fulminant liver failure secondary to leiomyosarcoma of the IVC and thrombosis.

Case presentation: A 44-year-old female presented with fulminant liver failure secondary to inferior vena cava (IVC) thrombosis. Contrast-enhanced computed tomography subsequently revealed a thrombus within the IVC, extending cranially to the right atrium and caudally to the renal veins. The patient's condition, characterized by early comatose symptoms, necessitated surgical intervention. Under extracorporeal circulation, a right atriotomy with thrombus lesion removal and descending thrombectomy of the IVC was performed. Hepatic congestion resolved after the thrombus was removed. A pathological examination of the excised thrombus revealed the presence of high-grade leiomyosarcoma.

Conclusions: In cases where a thrombus extends from the IVC to the right atrium, urgent surgical intervention with extracorporeal circulation should be considered.

求助全文
通过发布文献求助,成功后即可免费获取论文全文。 去求助
来源期刊
Cardio-oncology
Cardio-oncology Medicine-Cardiology and Cardiovascular Medicine
CiteScore
5.00
自引率
3.00%
发文量
17
审稿时长
7 weeks
×
引用
GB/T 7714-2015
复制
MLA
复制
APA
复制
导出至
BibTeX EndNote RefMan NoteFirst NoteExpress
×
提示
您的信息不完整,为了账户安全,请先补充。
现在去补充
×
提示
您因"违规操作"
具体请查看互助需知
我知道了
×
提示
确定
请完成安全验证×
copy
已复制链接
快去分享给好友吧!
我知道了
右上角分享
点击右上角分享
0
联系我们:info@booksci.cn Book学术提供免费学术资源搜索服务,方便国内外学者检索中英文文献。致力于提供最便捷和优质的服务体验。 Copyright © 2023 布克学术 All rights reserved.
京ICP备2023020795号-1
ghs 京公网安备 11010802042870号
Book学术文献互助
Book学术文献互助群
群 号:604180095
Book学术官方微信