经皮肾镜碎石术后结肠穿孔的罕见原因--病例报告和文献综述。

IF 0.5 Q4 SURGERY
Case Reports in Surgery Pub Date : 2024-11-14 eCollection Date: 2024-01-01 DOI:10.1155/2024/4475216
Christina S Boutros, Alexander W Loftus, Aria Bassiri, Laura E Davis, Randy Vince, Jillian Sinopoli, Leonidas Tapias, Philip A Linden, Christopher W Towe, Boxiang Jiang
{"title":"经皮肾镜碎石术后结肠穿孔的罕见原因--病例报告和文献综述。","authors":"Christina S Boutros, Alexander W Loftus, Aria Bassiri, Laura E Davis, Randy Vince, Jillian Sinopoli, Leonidas Tapias, Philip A Linden, Christopher W Towe, Boxiang Jiang","doi":"10.1155/2024/4475216","DOIUrl":null,"url":null,"abstract":"<p><p>Staghorn calculi pose challenges in urology, often necessitating more invasive procedures such as percutaneous nephrolithotomy (PCNL) to clear a large stone burden with fewer procedures. Here we present a case of a 76-year-old female with chronic kidney disease and a malrotated right pelvic kidney who underwent PCNL for a 3.5 cm staghorn calculus. Postoperatively, she developed a rare complication of ascending colon perforation, requiring emergent surgical intervention including exploratory laparotomy and right hemicolectomy. Colon perforation during PCNL is rare (0.3%-0.8%). Preoperative imaging, namely computed tomography (CT) of the abdomen and pelvis, is crucial to identify anatomical variations and mitigate the risk of injury. Conservative management strategies have demonstrated success in similar cases, emphasizing the importance of prompt recognition and multidisciplinary management. This case contributes to the paucity of literature regarding this rare complication underscoring the necessity for detailed preoperative planning to avoid complications in PCNL, especially in patients with complex renal anatomy. Future research should focus on developing tailored guidelines for PCNL in patients with anatomical abnormalities to enhance procedural safety and optimize outcomes.</p>","PeriodicalId":9600,"journal":{"name":"Case Reports in Surgery","volume":"2024 ","pages":"4475216"},"PeriodicalIF":0.5000,"publicationDate":"2024-11-14","publicationTypes":"Journal Article","fieldsOfStudy":null,"isOpenAccess":false,"openAccessPdf":"https://www.ncbi.nlm.nih.gov/pmc/articles/PMC11581789/pdf/","citationCount":"0","resultStr":"{\"title\":\"A Rare Cause of Colon Perforation After Percutaneous Nephrolithotomy-A Case Report and Review of the Literature.\",\"authors\":\"Christina S Boutros, Alexander W Loftus, Aria Bassiri, Laura E Davis, Randy Vince, Jillian Sinopoli, Leonidas Tapias, Philip A Linden, Christopher W Towe, Boxiang Jiang\",\"doi\":\"10.1155/2024/4475216\",\"DOIUrl\":null,\"url\":null,\"abstract\":\"<p><p>Staghorn calculi pose challenges in urology, often necessitating more invasive procedures such as percutaneous nephrolithotomy (PCNL) to clear a large stone burden with fewer procedures. Here we present a case of a 76-year-old female with chronic kidney disease and a malrotated right pelvic kidney who underwent PCNL for a 3.5 cm staghorn calculus. Postoperatively, she developed a rare complication of ascending colon perforation, requiring emergent surgical intervention including exploratory laparotomy and right hemicolectomy. Colon perforation during PCNL is rare (0.3%-0.8%). Preoperative imaging, namely computed tomography (CT) of the abdomen and pelvis, is crucial to identify anatomical variations and mitigate the risk of injury. Conservative management strategies have demonstrated success in similar cases, emphasizing the importance of prompt recognition and multidisciplinary management. This case contributes to the paucity of literature regarding this rare complication underscoring the necessity for detailed preoperative planning to avoid complications in PCNL, especially in patients with complex renal anatomy. Future research should focus on developing tailored guidelines for PCNL in patients with anatomical abnormalities to enhance procedural safety and optimize outcomes.</p>\",\"PeriodicalId\":9600,\"journal\":{\"name\":\"Case Reports in Surgery\",\"volume\":\"2024 \",\"pages\":\"4475216\"},\"PeriodicalIF\":0.5000,\"publicationDate\":\"2024-11-14\",\"publicationTypes\":\"Journal Article\",\"fieldsOfStudy\":null,\"isOpenAccess\":false,\"openAccessPdf\":\"https://www.ncbi.nlm.nih.gov/pmc/articles/PMC11581789/pdf/\",\"citationCount\":\"0\",\"resultStr\":null,\"platform\":\"Semanticscholar\",\"paperid\":null,\"PeriodicalName\":\"Case Reports in Surgery\",\"FirstCategoryId\":\"1085\",\"ListUrlMain\":\"https://doi.org/10.1155/2024/4475216\",\"RegionNum\":0,\"RegionCategory\":null,\"ArticlePicture\":[],\"TitleCN\":null,\"AbstractTextCN\":null,\"PMCID\":null,\"EPubDate\":\"2024/1/1 0:00:00\",\"PubModel\":\"eCollection\",\"JCR\":\"Q4\",\"JCRName\":\"SURGERY\",\"Score\":null,\"Total\":0}","platform":"Semanticscholar","paperid":null,"PeriodicalName":"Case Reports in Surgery","FirstCategoryId":"1085","ListUrlMain":"https://doi.org/10.1155/2024/4475216","RegionNum":0,"RegionCategory":null,"ArticlePicture":[],"TitleCN":null,"AbstractTextCN":null,"PMCID":null,"EPubDate":"2024/1/1 0:00:00","PubModel":"eCollection","JCR":"Q4","JCRName":"SURGERY","Score":null,"Total":0}
引用次数: 0

摘要

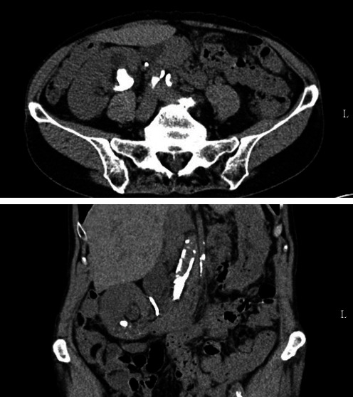
鹿角状结石给泌尿外科带来了挑战,通常需要采用经皮肾镜碎石术(PCNL)等侵入性更强的手术,以较少的手术次数清除大块结石。我们在此介绍一例 76 岁女性患者的病例,她患有慢性肾病和右肾盂旋转不良,因 3.5 厘米的鹿角状结石接受了 PCNL 手术。术后,她出现了罕见的升结肠穿孔并发症,需要紧急手术干预,包括剖腹探查术和右半结肠切除术。PCNL 期间发生结肠穿孔的情况非常罕见(0.3%-0.8%)。术前成像,即腹部和盆腔计算机断层扫描(CT),对于识别解剖变异和降低损伤风险至关重要。保守治疗策略在类似病例中取得了成功,这强调了及时识别和多学科治疗的重要性。该病例为有关这种罕见并发症的文献匮乏做出了贡献,强调了详细的术前规划对避免 PCNL 并发症的必要性,尤其是对肾脏解剖结构复杂的患者。未来的研究应侧重于为解剖异常的患者制定量身定制的 PCNL 指南,以提高手术安全性并优化治疗效果。
本文章由计算机程序翻译,如有差异,请以英文原文为准。

A Rare Cause of Colon Perforation After Percutaneous Nephrolithotomy-A Case Report and Review of the Literature.

A Rare Cause of Colon Perforation After Percutaneous Nephrolithotomy-A Case Report and Review of the Literature.

Staghorn calculi pose challenges in urology, often necessitating more invasive procedures such as percutaneous nephrolithotomy (PCNL) to clear a large stone burden with fewer procedures. Here we present a case of a 76-year-old female with chronic kidney disease and a malrotated right pelvic kidney who underwent PCNL for a 3.5 cm staghorn calculus. Postoperatively, she developed a rare complication of ascending colon perforation, requiring emergent surgical intervention including exploratory laparotomy and right hemicolectomy. Colon perforation during PCNL is rare (0.3%-0.8%). Preoperative imaging, namely computed tomography (CT) of the abdomen and pelvis, is crucial to identify anatomical variations and mitigate the risk of injury. Conservative management strategies have demonstrated success in similar cases, emphasizing the importance of prompt recognition and multidisciplinary management. This case contributes to the paucity of literature regarding this rare complication underscoring the necessity for detailed preoperative planning to avoid complications in PCNL, especially in patients with complex renal anatomy. Future research should focus on developing tailored guidelines for PCNL in patients with anatomical abnormalities to enhance procedural safety and optimize outcomes.

求助全文
通过发布文献求助,成功后即可免费获取论文全文。 去求助
来源期刊
自引率
0.00%
发文量
60
审稿时长
13 weeks
×
引用
GB/T 7714-2015
复制
MLA
复制
APA
复制
导出至
BibTeX EndNote RefMan NoteFirst NoteExpress
×
提示
您的信息不完整,为了账户安全,请先补充。
现在去补充
×
提示
您因"违规操作"
具体请查看互助需知
我知道了
×
提示
确定
请完成安全验证×
copy
已复制链接
快去分享给好友吧!
我知道了
右上角分享
点击右上角分享
0
联系我们:info@booksci.cn Book学术提供免费学术资源搜索服务,方便国内外学者检索中英文文献。致力于提供最便捷和优质的服务体验。 Copyright © 2023 布克学术 All rights reserved.
京ICP备2023020795号-1
ghs 京公网安备 11010802042870号
Book学术文献互助
Book学术文献互助群
群 号:604180095
Book学术官方微信