转录谱分析揭示了白色念珠菌 Rap1 在氧化应激反应中的作用。

IF 4.7 3区 生物学 Q2 BIOCHEMISTRY & MOLECULAR BIOLOGY
Wen-Han Wang, Hsuan-Yu Chen, Sheng-Yuan Chen, Chung-Yu Lan
{"title":"转录谱分析揭示了白色念珠菌 Rap1 在氧化应激反应中的作用。","authors":"Wen-Han Wang, Hsuan-Yu Chen, Sheng-Yuan Chen, Chung-Yu Lan","doi":"10.1042/BSR20240689","DOIUrl":null,"url":null,"abstract":"<p><p>Candida albicans is a member of the human commensal microbiota but can also cause opportunistic infections, including life-threatening invasive candidiasis, particularly in immunocompromised patients. One of the important features of C. albicans commensalism and virulence is its ability to adapt to diverse environmental stress conditions within the host. Rap1 is a DNA-binding protein identified in yeasts, protozoa, and mammalian cells, and it plays multiple functions, including telomere regulation. Intriguingly, our previous study showed that Rap1 is also involved in cell wall integrity, biofilm formation, and virulence in C. albicans. In this work, using RNA-seq analysis and other approaches, the role of C. albicans Rap1 in oxidative stress response was further revealed. The RAP1-deletion mutant exhibited greater resistance to the superoxide generator menadione, a lower level of intracellular reactive oxygen species (ROS) upon menadione treatment, and higher expression levels of superoxide dismutase genes, all in response to oxidative stress. Moreover, the association between Rap1-mediated oxidative stress response and the mitogen-activated protein kinase (MAPK) Hog1, the transcription factor Cap1 and the TOR signalling was also determined. Together, these findings expand our understanding of the complex signalling and transcriptional mechanisms regulating stress responses in C. albicans.</p>","PeriodicalId":8926,"journal":{"name":"Bioscience Reports","volume":" ","pages":""},"PeriodicalIF":4.7000,"publicationDate":"2024-12-17","publicationTypes":"Journal Article","fieldsOfStudy":null,"isOpenAccess":false,"openAccessPdf":"https://www.ncbi.nlm.nih.gov/pmc/articles/PMC11667096/pdf/","citationCount":"0","resultStr":"{\"title\":\"Transcriptional profiling reveals the role of Candida albicans Rap1 in oxidative stress response.\",\"authors\":\"Wen-Han Wang, Hsuan-Yu Chen, Sheng-Yuan Chen, Chung-Yu Lan\",\"doi\":\"10.1042/BSR20240689\",\"DOIUrl\":null,\"url\":null,\"abstract\":\"<p><p>Candida albicans is a member of the human commensal microbiota but can also cause opportunistic infections, including life-threatening invasive candidiasis, particularly in immunocompromised patients. One of the important features of C. albicans commensalism and virulence is its ability to adapt to diverse environmental stress conditions within the host. Rap1 is a DNA-binding protein identified in yeasts, protozoa, and mammalian cells, and it plays multiple functions, including telomere regulation. Intriguingly, our previous study showed that Rap1 is also involved in cell wall integrity, biofilm formation, and virulence in C. albicans. In this work, using RNA-seq analysis and other approaches, the role of C. albicans Rap1 in oxidative stress response was further revealed. The RAP1-deletion mutant exhibited greater resistance to the superoxide generator menadione, a lower level of intracellular reactive oxygen species (ROS) upon menadione treatment, and higher expression levels of superoxide dismutase genes, all in response to oxidative stress. Moreover, the association between Rap1-mediated oxidative stress response and the mitogen-activated protein kinase (MAPK) Hog1, the transcription factor Cap1 and the TOR signalling was also determined. Together, these findings expand our understanding of the complex signalling and transcriptional mechanisms regulating stress responses in C. albicans.</p>\",\"PeriodicalId\":8926,\"journal\":{\"name\":\"Bioscience Reports\",\"volume\":\" \",\"pages\":\"\"},\"PeriodicalIF\":4.7000,\"publicationDate\":\"2024-12-17\",\"publicationTypes\":\"Journal Article\",\"fieldsOfStudy\":null,\"isOpenAccess\":false,\"openAccessPdf\":\"https://www.ncbi.nlm.nih.gov/pmc/articles/PMC11667096/pdf/\",\"citationCount\":\"0\",\"resultStr\":null,\"platform\":\"Semanticscholar\",\"paperid\":null,\"PeriodicalName\":\"Bioscience Reports\",\"FirstCategoryId\":\"99\",\"ListUrlMain\":\"https://doi.org/10.1042/BSR20240689\",\"RegionNum\":3,\"RegionCategory\":\"生物学\",\"ArticlePicture\":[],\"TitleCN\":null,\"AbstractTextCN\":null,\"PMCID\":null,\"EPubDate\":\"\",\"PubModel\":\"\",\"JCR\":\"Q2\",\"JCRName\":\"BIOCHEMISTRY & MOLECULAR BIOLOGY\",\"Score\":null,\"Total\":0}","platform":"Semanticscholar","paperid":null,"PeriodicalName":"Bioscience Reports","FirstCategoryId":"99","ListUrlMain":"https://doi.org/10.1042/BSR20240689","RegionNum":3,"RegionCategory":"生物学","ArticlePicture":[],"TitleCN":null,"AbstractTextCN":null,"PMCID":null,"EPubDate":"","PubModel":"","JCR":"Q2","JCRName":"BIOCHEMISTRY & MOLECULAR BIOLOGY","Score":null,"Total":0}
引用次数: 0

摘要

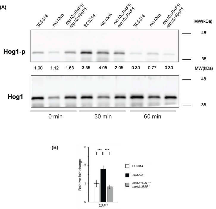
白念珠菌是人类共生微生物群中的一员,但也可引起机会性感染,包括危及生命的侵袭性念珠菌病,尤其是在免疫力低下的患者中。白念珠菌共生和致病的重要特征之一是它能够适应宿主体内不同的环境压力条件。Rap1 是在酵母、原生动物和哺乳动物细胞中发现的一种 DNA 结合蛋白,它具有多种功能,包括端粒调控。有趣的是,我们之前的研究表明,Rap1 还参与了白僵菌细胞壁的完整性、生物膜的形成和毒力的形成。在这项工作中,利用 RNA-seq 分析和其他方法,进一步揭示了白僵菌 Rap1 在氧化应激反应中的作用。RAP1缺失突变体对超氧化物生成物甲萘醌的抵抗力更强,在甲萘醌处理后细胞内活性氧(ROS)水平更低,超氧化物歧化酶基因的表达水平更高,这些都是对氧化应激的反应。此外,还确定了 Rap1 介导的氧化应激反应与丝裂原活化蛋白激酶(MAPK)Hog1、转录因子 Cap1 和 TOR 信号转导之间的关联。这些发现拓展了我们对调控白僵菌应激反应的复杂信号转导和转录机制的理解。
本文章由计算机程序翻译,如有差异,请以英文原文为准。

Transcriptional profiling reveals the role of Candida albicans Rap1 in oxidative stress response.

Transcriptional profiling reveals the role of Candida albicans Rap1 in oxidative stress response.

Transcriptional profiling reveals the role of Candida albicans Rap1 in oxidative stress response.

Transcriptional profiling reveals the role of Candida albicans Rap1 in oxidative stress response.

Candida albicans is a member of the human commensal microbiota but can also cause opportunistic infections, including life-threatening invasive candidiasis, particularly in immunocompromised patients. One of the important features of C. albicans commensalism and virulence is its ability to adapt to diverse environmental stress conditions within the host. Rap1 is a DNA-binding protein identified in yeasts, protozoa, and mammalian cells, and it plays multiple functions, including telomere regulation. Intriguingly, our previous study showed that Rap1 is also involved in cell wall integrity, biofilm formation, and virulence in C. albicans. In this work, using RNA-seq analysis and other approaches, the role of C. albicans Rap1 in oxidative stress response was further revealed. The RAP1-deletion mutant exhibited greater resistance to the superoxide generator menadione, a lower level of intracellular reactive oxygen species (ROS) upon menadione treatment, and higher expression levels of superoxide dismutase genes, all in response to oxidative stress. Moreover, the association between Rap1-mediated oxidative stress response and the mitogen-activated protein kinase (MAPK) Hog1, the transcription factor Cap1 and the TOR signalling was also determined. Together, these findings expand our understanding of the complex signalling and transcriptional mechanisms regulating stress responses in C. albicans.

求助全文
通过发布文献求助,成功后即可免费获取论文全文。 去求助
来源期刊
Bioscience Reports
Bioscience Reports 生物-细胞生物学
CiteScore
8.50
自引率
0.00%
发文量
380
审稿时长
6-12 weeks
期刊介绍: Bioscience Reports provides a home for sound scientific research in all areas of cell biology and molecular life sciences. Since 2012, Bioscience Reports has been fully Open Access and publishes all papers under the liberal CC BY licence, giving the life science community quality research to share and discuss.Content before 2012 is subscription-only, and is accessible via archive purchase. Articles are assessed on soundness, providing a home for valid findings and data. We welcome papers that span disciplines (e.g. chemistry, medicine), including papers describing: -new methodologies -tools and reagents to probe biological questions -mechanistic details -disease mechanisms -metabolic processes and their regulation -structure and function -bioenergetics
×
引用
GB/T 7714-2015
复制
MLA
复制
APA
复制
导出至
BibTeX EndNote RefMan NoteFirst NoteExpress
×
提示
您的信息不完整,为了账户安全,请先补充。
现在去补充
×
提示
您因"违规操作"
具体请查看互助需知
我知道了
×
提示
确定
请完成安全验证×
copy
已复制链接
快去分享给好友吧!
我知道了
右上角分享
点击右上角分享
0
联系我们:info@booksci.cn Book学术提供免费学术资源搜索服务,方便国内外学者检索中英文文献。致力于提供最便捷和优质的服务体验。 Copyright © 2023 布克学术 All rights reserved.
京ICP备2023020795号-1
ghs 京公网安备 11010802042870号
Book学术文献互助
Book学术文献互助群
群 号:604180095
Book学术官方微信