硬腭粘膜黑色素瘤

Q4 Medicine
Autopsy and Case Reports Pub Date : 2024-11-14 eCollection Date: 2024-01-01 DOI:10.4322/acr.2024.522
Zahed Ali Qamer, Monika Maharjan, Kranthi Kumar Jandrasupalli, Bommisetty Lokesh, Amit Tyagi, Ravi Hari Phulware
{"title":"硬腭粘膜黑色素瘤","authors":"Zahed Ali Qamer, Monika Maharjan, Kranthi Kumar Jandrasupalli, Bommisetty Lokesh, Amit Tyagi, Ravi Hari Phulware","doi":"10.4322/acr.2024.522","DOIUrl":null,"url":null,"abstract":"<p><p>Melanoma arising in the hard palate is an exceedingly rare entity, comprising a minute fraction of all melanoma cases. The absence of specific clinical signs often leads to delayed diagnosis and subsequent challenges in treatment planning. We discussed the existing literature to elucidate the epidemiology, risk factors, and molecular pathways associated with melanoma of the hard palate. Additionally, we discuss the importance of a multidisciplinary approach involving dermatologists, otolaryngologists, oncologists, and pathologists in diagnosing and managing this condition. A 62-year-old male patient presented with a pigmented lesion on the hard palate mucosa, which was initially asymptomatic but gradually increased in size. Biopsy revealed melanoma, confirmed through immunohistochemical staining. Staging investigations indicated a metastatic disease. Surgery followed by adjuvant therapy was planned; however, he was lost for the follow-up. Melanoma originating from the hard palate mucosa is exceedingly rare, posing diagnostic and therapeutic challenges. Early detection, accurate diagnosis, and prompt multidisciplinary management are crucial for optimal outcomes. This case underscores the importance of comprehensive evaluation and tailored treatment strategies in patients with uncommon mucosal melanomas.</p>","PeriodicalId":53117,"journal":{"name":"Autopsy and Case Reports","volume":"14 ","pages":"e2024522"},"PeriodicalIF":0.0000,"publicationDate":"2024-11-14","publicationTypes":"Journal Article","fieldsOfStudy":null,"isOpenAccess":false,"openAccessPdf":"https://www.ncbi.nlm.nih.gov/pmc/articles/PMC11578428/pdf/","citationCount":"0","resultStr":"{\"title\":\"Mucosal melanoma of hard palate.\",\"authors\":\"Zahed Ali Qamer, Monika Maharjan, Kranthi Kumar Jandrasupalli, Bommisetty Lokesh, Amit Tyagi, Ravi Hari Phulware\",\"doi\":\"10.4322/acr.2024.522\",\"DOIUrl\":null,\"url\":null,\"abstract\":\"<p><p>Melanoma arising in the hard palate is an exceedingly rare entity, comprising a minute fraction of all melanoma cases. The absence of specific clinical signs often leads to delayed diagnosis and subsequent challenges in treatment planning. We discussed the existing literature to elucidate the epidemiology, risk factors, and molecular pathways associated with melanoma of the hard palate. Additionally, we discuss the importance of a multidisciplinary approach involving dermatologists, otolaryngologists, oncologists, and pathologists in diagnosing and managing this condition. A 62-year-old male patient presented with a pigmented lesion on the hard palate mucosa, which was initially asymptomatic but gradually increased in size. Biopsy revealed melanoma, confirmed through immunohistochemical staining. Staging investigations indicated a metastatic disease. Surgery followed by adjuvant therapy was planned; however, he was lost for the follow-up. Melanoma originating from the hard palate mucosa is exceedingly rare, posing diagnostic and therapeutic challenges. Early detection, accurate diagnosis, and prompt multidisciplinary management are crucial for optimal outcomes. This case underscores the importance of comprehensive evaluation and tailored treatment strategies in patients with uncommon mucosal melanomas.</p>\",\"PeriodicalId\":53117,\"journal\":{\"name\":\"Autopsy and Case Reports\",\"volume\":\"14 \",\"pages\":\"e2024522\"},\"PeriodicalIF\":0.0000,\"publicationDate\":\"2024-11-14\",\"publicationTypes\":\"Journal Article\",\"fieldsOfStudy\":null,\"isOpenAccess\":false,\"openAccessPdf\":\"https://www.ncbi.nlm.nih.gov/pmc/articles/PMC11578428/pdf/\",\"citationCount\":\"0\",\"resultStr\":null,\"platform\":\"Semanticscholar\",\"paperid\":null,\"PeriodicalName\":\"Autopsy and Case Reports\",\"FirstCategoryId\":\"1085\",\"ListUrlMain\":\"https://doi.org/10.4322/acr.2024.522\",\"RegionNum\":0,\"RegionCategory\":null,\"ArticlePicture\":[],\"TitleCN\":null,\"AbstractTextCN\":null,\"PMCID\":null,\"EPubDate\":\"2024/1/1 0:00:00\",\"PubModel\":\"eCollection\",\"JCR\":\"Q4\",\"JCRName\":\"Medicine\",\"Score\":null,\"Total\":0}","platform":"Semanticscholar","paperid":null,"PeriodicalName":"Autopsy and Case Reports","FirstCategoryId":"1085","ListUrlMain":"https://doi.org/10.4322/acr.2024.522","RegionNum":0,"RegionCategory":null,"ArticlePicture":[],"TitleCN":null,"AbstractTextCN":null,"PMCID":null,"EPubDate":"2024/1/1 0:00:00","PubModel":"eCollection","JCR":"Q4","JCRName":"Medicine","Score":null,"Total":0}
引用次数: 0

摘要

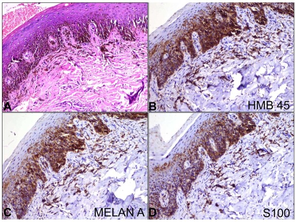
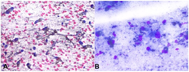
发生在硬腭的黑色素瘤极为罕见,只占所有黑色素瘤病例的一小部分。由于缺乏特异性临床表现,常常导致诊断延迟,给治疗计划带来挑战。我们讨论了现有文献,以阐明与硬腭黑色素瘤相关的流行病学、风险因素和分子途径。此外,我们还讨论了由皮肤科医生、耳鼻喉科医生、肿瘤科医生和病理学家共同参与的多学科方法在诊断和治疗这种疾病方面的重要性。一名 62 岁的男性患者因硬腭粘膜色素性病变就诊,起初无症状,但病变逐渐增大。活组织检查发现了黑色素瘤,并通过免疫组化染色得到证实。分期检查显示为转移性疾病。计划进行手术,然后进行辅助治疗,但他失去了随访机会。源于硬腭粘膜的黑色素瘤极为罕见,给诊断和治疗带来了挑战。早期发现、准确诊断和及时的多学科治疗对取得最佳疗效至关重要。本病例强调了对不常见的粘膜黑色素瘤患者进行全面评估和采取针对性治疗策略的重要性。
本文章由计算机程序翻译,如有差异,请以英文原文为准。

Mucosal melanoma of hard palate.

Mucosal melanoma of hard palate.

Mucosal melanoma of hard palate.

Mucosal melanoma of hard palate.

Melanoma arising in the hard palate is an exceedingly rare entity, comprising a minute fraction of all melanoma cases. The absence of specific clinical signs often leads to delayed diagnosis and subsequent challenges in treatment planning. We discussed the existing literature to elucidate the epidemiology, risk factors, and molecular pathways associated with melanoma of the hard palate. Additionally, we discuss the importance of a multidisciplinary approach involving dermatologists, otolaryngologists, oncologists, and pathologists in diagnosing and managing this condition. A 62-year-old male patient presented with a pigmented lesion on the hard palate mucosa, which was initially asymptomatic but gradually increased in size. Biopsy revealed melanoma, confirmed through immunohistochemical staining. Staging investigations indicated a metastatic disease. Surgery followed by adjuvant therapy was planned; however, he was lost for the follow-up. Melanoma originating from the hard palate mucosa is exceedingly rare, posing diagnostic and therapeutic challenges. Early detection, accurate diagnosis, and prompt multidisciplinary management are crucial for optimal outcomes. This case underscores the importance of comprehensive evaluation and tailored treatment strategies in patients with uncommon mucosal melanomas.

求助全文
通过发布文献求助,成功后即可免费获取论文全文。 去求助
来源期刊
Autopsy and Case Reports
Autopsy and Case Reports Medicine-Internal Medicine
CiteScore
1.20
自引率
0.00%
发文量
60
审稿时长
9 weeks
×
引用
GB/T 7714-2015
复制
MLA
复制
APA
复制
导出至
BibTeX EndNote RefMan NoteFirst NoteExpress
×
提示
您的信息不完整,为了账户安全,请先补充。
现在去补充
×
提示
您因"违规操作"
具体请查看互助需知
我知道了
×
提示
确定
请完成安全验证×
copy
已复制链接
快去分享给好友吧!
我知道了
右上角分享
点击右上角分享
0
联系我们:info@booksci.cn Book学术提供免费学术资源搜索服务,方便国内外学者检索中英文文献。致力于提供最便捷和优质的服务体验。 Copyright © 2023 布克学术 All rights reserved.
京ICP备2023020795号-1
ghs 京公网安备 11010802042870号
Book学术文献互助
Book学术文献互助群
群 号:604180095
Book学术官方微信