姜黄素对糖尿病大鼠拔牙窝的愈合作用

IF 2.6 3区 医学 Q2 DENTISTRY, ORAL SURGERY & MEDICINE
Journal of Applied Oral Science Pub Date : 2024-11-15 eCollection Date: 2024-01-01 DOI:10.1590/1678-7757-2024-0251
Tipthanan Chotipinit, Weera Supronsinchai, Soranun Chantarangsu, Supaporn Suttamanatwong
{"title":"姜黄素对糖尿病大鼠拔牙窝的愈合作用","authors":"Tipthanan Chotipinit, Weera Supronsinchai, Soranun Chantarangsu, Supaporn Suttamanatwong","doi":"10.1590/1678-7757-2024-0251","DOIUrl":null,"url":null,"abstract":"<p><strong>Objective: </strong>Diabetes mellitus (DM) delays wound healing, including those following tooth extractions. Curcumin (CCM) can promote soft tissue and bone healing. The present study investigates the healing effects of CCM on tooth extraction sockets in diabetic rats.</p><p><strong>Methodology: </strong>Ninety-six male Wistar rats were divided into the following four groups: Control+Corn Oil (CO), Control+CCM, DM+CO, and DM+CCM. Each group was subdivided into 7-, 14-, and 28-day time point subgroups comprising eight rats. All animals had their maxillary first molars extracted. CCM-treated rats received 100 mg/kg of CCM orally for 7, 14, and 28 days. The lesion area was evaluated using macroscopic analyses, whereas socket healing was assessed by hematoxylin and eosin staining. Keratinocyte growth factor (KGF), Runt-related transcription factor 2 (Runx2), and collagen type I (COL1) expression levels were obtained using quantitative polymerase chain reaction (qPCR). Bone healing was analyzed by means of microcomputed tomography (μCT).</p><p><strong>Results: </strong>After 7 days, the groups showed no significant differences in lesion area and by day 14, no lesions were present. CCM treatment increased KGF mRNA expression in diabetic rats; however, diabetic rats showed delayed bone healing unrelated to CCM. CCM treatment resulted in increased Runx2 mRNA expression only in control rats, whereas COL1 mRNA expression remained unaffected by CCM.</p><p><strong>Conclusion: </strong>CCM shows potential as a soft tissue healing enhancer in diabetic rats and could serve as an additional treatment to promote soft tissue repair in diabetic individuals. Although CCM did not impact alveolar bone healing, it may enhance bone healing in other skeleton regions.</p>","PeriodicalId":15133,"journal":{"name":"Journal of Applied Oral Science","volume":"32 ","pages":"e20240251"},"PeriodicalIF":2.6000,"publicationDate":"2024-11-15","publicationTypes":"Journal Article","fieldsOfStudy":null,"isOpenAccess":false,"openAccessPdf":"https://www.ncbi.nlm.nih.gov/pmc/articles/PMC11643075/pdf/","citationCount":"0","resultStr":"{\"title\":\"Healing effect of curcumin on tooth extraction sockets in diabetic rats.\",\"authors\":\"Tipthanan Chotipinit, Weera Supronsinchai, Soranun Chantarangsu, Supaporn Suttamanatwong\",\"doi\":\"10.1590/1678-7757-2024-0251\",\"DOIUrl\":null,\"url\":null,\"abstract\":\"<p><strong>Objective: </strong>Diabetes mellitus (DM) delays wound healing, including those following tooth extractions. Curcumin (CCM) can promote soft tissue and bone healing. The present study investigates the healing effects of CCM on tooth extraction sockets in diabetic rats.</p><p><strong>Methodology: </strong>Ninety-six male Wistar rats were divided into the following four groups: Control+Corn Oil (CO), Control+CCM, DM+CO, and DM+CCM. Each group was subdivided into 7-, 14-, and 28-day time point subgroups comprising eight rats. All animals had their maxillary first molars extracted. CCM-treated rats received 100 mg/kg of CCM orally for 7, 14, and 28 days. The lesion area was evaluated using macroscopic analyses, whereas socket healing was assessed by hematoxylin and eosin staining. Keratinocyte growth factor (KGF), Runt-related transcription factor 2 (Runx2), and collagen type I (COL1) expression levels were obtained using quantitative polymerase chain reaction (qPCR). Bone healing was analyzed by means of microcomputed tomography (μCT).</p><p><strong>Results: </strong>After 7 days, the groups showed no significant differences in lesion area and by day 14, no lesions were present. CCM treatment increased KGF mRNA expression in diabetic rats; however, diabetic rats showed delayed bone healing unrelated to CCM. CCM treatment resulted in increased Runx2 mRNA expression only in control rats, whereas COL1 mRNA expression remained unaffected by CCM.</p><p><strong>Conclusion: </strong>CCM shows potential as a soft tissue healing enhancer in diabetic rats and could serve as an additional treatment to promote soft tissue repair in diabetic individuals. Although CCM did not impact alveolar bone healing, it may enhance bone healing in other skeleton regions.</p>\",\"PeriodicalId\":15133,\"journal\":{\"name\":\"Journal of Applied Oral Science\",\"volume\":\"32 \",\"pages\":\"e20240251\"},\"PeriodicalIF\":2.6000,\"publicationDate\":\"2024-11-15\",\"publicationTypes\":\"Journal Article\",\"fieldsOfStudy\":null,\"isOpenAccess\":false,\"openAccessPdf\":\"https://www.ncbi.nlm.nih.gov/pmc/articles/PMC11643075/pdf/\",\"citationCount\":\"0\",\"resultStr\":null,\"platform\":\"Semanticscholar\",\"paperid\":null,\"PeriodicalName\":\"Journal of Applied Oral Science\",\"FirstCategoryId\":\"3\",\"ListUrlMain\":\"https://doi.org/10.1590/1678-7757-2024-0251\",\"RegionNum\":3,\"RegionCategory\":\"医学\",\"ArticlePicture\":[],\"TitleCN\":null,\"AbstractTextCN\":null,\"PMCID\":null,\"EPubDate\":\"2024/1/1 0:00:00\",\"PubModel\":\"eCollection\",\"JCR\":\"Q2\",\"JCRName\":\"DENTISTRY, ORAL SURGERY & MEDICINE\",\"Score\":null,\"Total\":0}","platform":"Semanticscholar","paperid":null,"PeriodicalName":"Journal of Applied Oral Science","FirstCategoryId":"3","ListUrlMain":"https://doi.org/10.1590/1678-7757-2024-0251","RegionNum":3,"RegionCategory":"医学","ArticlePicture":[],"TitleCN":null,"AbstractTextCN":null,"PMCID":null,"EPubDate":"2024/1/1 0:00:00","PubModel":"eCollection","JCR":"Q2","JCRName":"DENTISTRY, ORAL SURGERY & MEDICINE","Score":null,"Total":0}
引用次数: 0

摘要

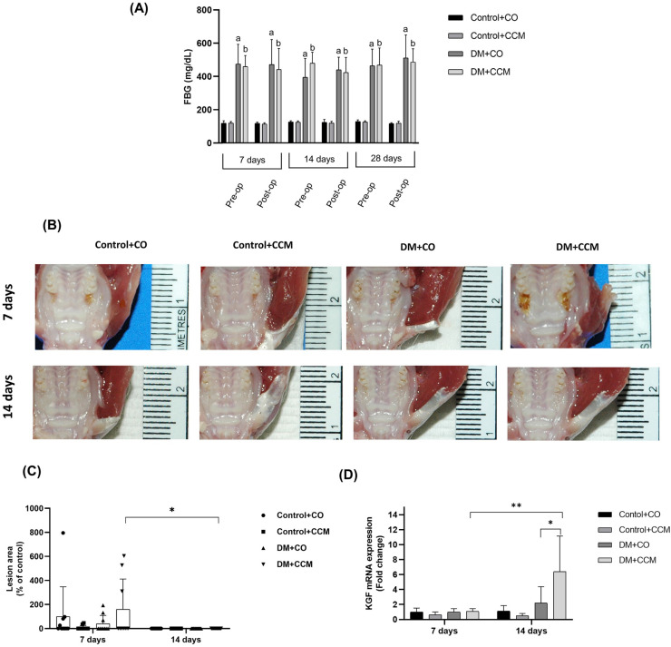
目的:糖尿病(DM)会延迟伤口愈合,包括拔牙后的伤口愈合。姜黄素(CCM)可促进软组织和骨愈合。本研究探讨了姜黄素对糖尿病大鼠拔牙窝的愈合效果:将 96 只雄性 Wistar 大鼠分为以下四组:对照组+玉米油(CO)、对照组+中药、DM+CO 和 DM+中药。每组又分为 7 天、14 天和 28 天时间点分组,每组八只大鼠。所有动物的上颌第一臼齿均已拔除。大鼠在 7、14 和 28 天内口服 100 毫克/千克的 CCM。病变面积通过宏观分析进行评估,而窝沟愈合则通过苏木精和伊红染色进行评估。角质细胞生长因子(KGF)、Runt 相关转录因子 2(Runx2)和 I 型胶原(COL1)的表达水平通过定量聚合酶链反应(qPCR)获得。通过微计算机断层扫描(μCT)分析骨愈合情况:结果:7 天后,各组的病变面积无明显差异,第 14 天时,各组均无病变。CCM 治疗增加了糖尿病大鼠的 KGF mRNA 表达,但糖尿病大鼠的骨愈合延迟与 CCM 无关。CCM 治疗仅导致对照组大鼠 Runx2 mRNA 表达增加,而 COL1 mRNA 表达不受 CCM 影响:结论:CCM 具有促进糖尿病大鼠软组织愈合的潜力,可作为促进糖尿病患者软组织修复的额外治疗方法。虽然 CCM 不会影响牙槽骨愈合,但它可能会促进其他骨骼区域的骨愈合。
本文章由计算机程序翻译,如有差异,请以英文原文为准。

Healing effect of curcumin on tooth extraction sockets in diabetic rats.

Healing effect of curcumin on tooth extraction sockets in diabetic rats.

Healing effect of curcumin on tooth extraction sockets in diabetic rats.

Healing effect of curcumin on tooth extraction sockets in diabetic rats.

Objective: Diabetes mellitus (DM) delays wound healing, including those following tooth extractions. Curcumin (CCM) can promote soft tissue and bone healing. The present study investigates the healing effects of CCM on tooth extraction sockets in diabetic rats.

Methodology: Ninety-six male Wistar rats were divided into the following four groups: Control+Corn Oil (CO), Control+CCM, DM+CO, and DM+CCM. Each group was subdivided into 7-, 14-, and 28-day time point subgroups comprising eight rats. All animals had their maxillary first molars extracted. CCM-treated rats received 100 mg/kg of CCM orally for 7, 14, and 28 days. The lesion area was evaluated using macroscopic analyses, whereas socket healing was assessed by hematoxylin and eosin staining. Keratinocyte growth factor (KGF), Runt-related transcription factor 2 (Runx2), and collagen type I (COL1) expression levels were obtained using quantitative polymerase chain reaction (qPCR). Bone healing was analyzed by means of microcomputed tomography (μCT).

Results: After 7 days, the groups showed no significant differences in lesion area and by day 14, no lesions were present. CCM treatment increased KGF mRNA expression in diabetic rats; however, diabetic rats showed delayed bone healing unrelated to CCM. CCM treatment resulted in increased Runx2 mRNA expression only in control rats, whereas COL1 mRNA expression remained unaffected by CCM.

Conclusion: CCM shows potential as a soft tissue healing enhancer in diabetic rats and could serve as an additional treatment to promote soft tissue repair in diabetic individuals. Although CCM did not impact alveolar bone healing, it may enhance bone healing in other skeleton regions.

求助全文
通过发布文献求助,成功后即可免费获取论文全文。 去求助
来源期刊
Journal of Applied Oral Science
Journal of Applied Oral Science 医学-牙科与口腔外科
CiteScore
4.80
自引率
3.70%
发文量
46
审稿时长
4-8 weeks
期刊介绍: The Journal of Applied Oral Science is committed in publishing the scientific and technologic advances achieved by the dental community, according to the quality indicators and peer reviewed material, with the objective of assuring its acceptability at the local, regional, national and international levels. The primary goal of The Journal of Applied Oral Science is to publish the outcomes of original investigations as well as invited case reports and invited reviews in the field of Dentistry and related areas.
×
引用
GB/T 7714-2015
复制
MLA
复制
APA
复制
导出至
BibTeX EndNote RefMan NoteFirst NoteExpress
×
提示
您的信息不完整,为了账户安全,请先补充。
现在去补充
×
提示
您因"违规操作"
具体请查看互助需知
我知道了
×
提示
确定
请完成安全验证×
copy
已复制链接
快去分享给好友吧!
我知道了
右上角分享
点击右上角分享
0
联系我们:info@booksci.cn Book学术提供免费学术资源搜索服务,方便国内外学者检索中英文文献。致力于提供最便捷和优质的服务体验。 Copyright © 2023 布克学术 All rights reserved.
京ICP备2023020795号-1
ghs 京公网安备 11010802042870号
Book学术文献互助
Book学术文献互助群
群 号:604180095
Book学术官方微信