脑静脉血栓形成的功能预后和再通:单中心横断面研究

IF 2.3 Q3 EMERGENCY MEDICINE
Rizwana Shahid, Azra Zafar
{"title":"脑静脉血栓形成的功能预后和再通:单中心横断面研究","authors":"Rizwana Shahid, Azra Zafar","doi":"10.4103/tjem.tjem_65_24","DOIUrl":null,"url":null,"abstract":"<p><strong>Objectives: </strong>Cerebral venous thrombosis (CVT) is a rare type of stroke. Functional outcome (FOC) in CVT can be affected by different factors, and recanalization is an important determinant. This study aimed to identify the FOC predictors including recanalization in patients with CVT.</p><p><strong>Methods: </strong>This retrospective study reviewed electronic charts of patients with CVT admitted to the King Fahd Hospital of the University, a teaching and referral hospital between January 2012 and March 2023. Demographic and other clinicoradiological characteristics were noted. Factors affecting FOC were investigated using the Chi-square test, odds ratios (ORs), and 95% confidence interval (CI).</p><p><strong>Results: </strong>Out of 64 patients, 78% achieved good FOC. Age was significantly higher in patients having poor FOC as compared to those having good FOC (<i>P</i> ≤ 0.001). Women had more likelihood to be functionally independent as compared to men (OR = 1.35, 95% CI = 1.01-1.80, <i>P</i> = 0.02). Altered consciousness (OR = 2.94, 95% CI = 1.23-6.99, <i>P</i> = 0.01), venous hemorrhagic infarction (OR = 3.26, 95% CI = 1.36-7.82, <i>P</i> = 0.008), and nonrecanalization (OR = 1.44, 95% CI = 0.97-2.14, <i>P</i> = 0.02) were significantly associated with poor FOC. Hereditary thrombophilia (OR = 0.60, 95% CI = 0.31-1.12, <i>P</i> = 0.03) and infections (OR = 0.59, 95% CI = 0.31-1.12, <i>P</i> = 0.01) were associated with less likelihood of good FOC. Age ≥50 years (<i>P</i> = 0.01) and illness of more than 1-month duration (<i>P</i> = 0.01) were associated with nonrecanalization.</p><p><strong>Conclusion: </strong>Older age, male sex, presence of venous hemorrhagic infarction, and nonrecanalization can predict poor FOC in CVT. The recanalization process can be affected by late presentation, and the plausible reason could be a delay in therapeutic anticoagulation. Further prospective and multicenter studies are needed to determine the predictors of FOC and to understand the process of recanalization in CVT.</p>","PeriodicalId":46536,"journal":{"name":"Turkish Journal of Emergency Medicine","volume":"24 4","pages":"218-225"},"PeriodicalIF":2.3000,"publicationDate":"2024-10-01","publicationTypes":"Journal Article","fieldsOfStudy":null,"isOpenAccess":false,"openAccessPdf":"https://www.ncbi.nlm.nih.gov/pmc/articles/PMC11573168/pdf/","citationCount":"0","resultStr":"{\"title\":\"Functional outcome predictors and recanalization in cerebral venous thrombosis: A single-center cross-sectional study.\",\"authors\":\"Rizwana Shahid, Azra Zafar\",\"doi\":\"10.4103/tjem.tjem_65_24\",\"DOIUrl\":null,\"url\":null,\"abstract\":\"<p><strong>Objectives: </strong>Cerebral venous thrombosis (CVT) is a rare type of stroke. Functional outcome (FOC) in CVT can be affected by different factors, and recanalization is an important determinant. This study aimed to identify the FOC predictors including recanalization in patients with CVT.</p><p><strong>Methods: </strong>This retrospective study reviewed electronic charts of patients with CVT admitted to the King Fahd Hospital of the University, a teaching and referral hospital between January 2012 and March 2023. Demographic and other clinicoradiological characteristics were noted. Factors affecting FOC were investigated using the Chi-square test, odds ratios (ORs), and 95% confidence interval (CI).</p><p><strong>Results: </strong>Out of 64 patients, 78% achieved good FOC. Age was significantly higher in patients having poor FOC as compared to those having good FOC (<i>P</i> ≤ 0.001). Women had more likelihood to be functionally independent as compared to men (OR = 1.35, 95% CI = 1.01-1.80, <i>P</i> = 0.02). Altered consciousness (OR = 2.94, 95% CI = 1.23-6.99, <i>P</i> = 0.01), venous hemorrhagic infarction (OR = 3.26, 95% CI = 1.36-7.82, <i>P</i> = 0.008), and nonrecanalization (OR = 1.44, 95% CI = 0.97-2.14, <i>P</i> = 0.02) were significantly associated with poor FOC. Hereditary thrombophilia (OR = 0.60, 95% CI = 0.31-1.12, <i>P</i> = 0.03) and infections (OR = 0.59, 95% CI = 0.31-1.12, <i>P</i> = 0.01) were associated with less likelihood of good FOC. Age ≥50 years (<i>P</i> = 0.01) and illness of more than 1-month duration (<i>P</i> = 0.01) were associated with nonrecanalization.</p><p><strong>Conclusion: </strong>Older age, male sex, presence of venous hemorrhagic infarction, and nonrecanalization can predict poor FOC in CVT. The recanalization process can be affected by late presentation, and the plausible reason could be a delay in therapeutic anticoagulation. Further prospective and multicenter studies are needed to determine the predictors of FOC and to understand the process of recanalization in CVT.</p>\",\"PeriodicalId\":46536,\"journal\":{\"name\":\"Turkish Journal of Emergency Medicine\",\"volume\":\"24 4\",\"pages\":\"218-225\"},\"PeriodicalIF\":2.3000,\"publicationDate\":\"2024-10-01\",\"publicationTypes\":\"Journal Article\",\"fieldsOfStudy\":null,\"isOpenAccess\":false,\"openAccessPdf\":\"https://www.ncbi.nlm.nih.gov/pmc/articles/PMC11573168/pdf/\",\"citationCount\":\"0\",\"resultStr\":null,\"platform\":\"Semanticscholar\",\"paperid\":null,\"PeriodicalName\":\"Turkish Journal of Emergency Medicine\",\"FirstCategoryId\":\"1085\",\"ListUrlMain\":\"https://doi.org/10.4103/tjem.tjem_65_24\",\"RegionNum\":0,\"RegionCategory\":null,\"ArticlePicture\":[],\"TitleCN\":null,\"AbstractTextCN\":null,\"PMCID\":null,\"EPubDate\":\"\",\"PubModel\":\"\",\"JCR\":\"Q3\",\"JCRName\":\"EMERGENCY MEDICINE\",\"Score\":null,\"Total\":0}","platform":"Semanticscholar","paperid":null,"PeriodicalName":"Turkish Journal of Emergency Medicine","FirstCategoryId":"1085","ListUrlMain":"https://doi.org/10.4103/tjem.tjem_65_24","RegionNum":0,"RegionCategory":null,"ArticlePicture":[],"TitleCN":null,"AbstractTextCN":null,"PMCID":null,"EPubDate":"","PubModel":"","JCR":"Q3","JCRName":"EMERGENCY MEDICINE","Score":null,"Total":0}
引用次数: 0

摘要

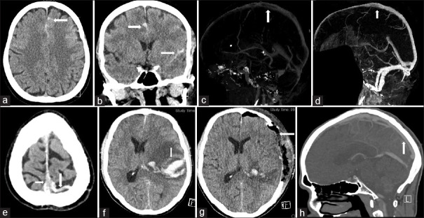
目的:脑静脉血栓(CVT)是一种罕见的中风类型。脑静脉血栓形成的功能预后(FOC)会受到不同因素的影响,而再通则是一个重要的决定因素。本研究旨在确定包括再通在内的 CVT 患者功能预后预测因素:这项回顾性研究回顾了 2012 年 1 月至 2023 年 3 月期间在大学法赫德国王医院(一家教学和转诊医院)收治的 CVT 患者的电子病历。研究人员记录了患者的人口统计学特征和其他临床放射学特征。采用卡方检验、几率比(OR)和 95% 置信区间(CI)对影响 FOC 的因素进行了研究:结果:在 64 名患者中,78% 获得了良好的 FOC。FOC不良患者的年龄明显高于FOC良好患者(P≤0.001)。与男性相比,女性更有可能实现功能独立(OR = 1.35,95% CI = 1.01-1.80,P = 0.02)。意识改变(OR = 2.94,95% CI = 1.23-6.99,P = 0.01)、静脉出血性梗塞(OR = 3.26,95% CI = 1.36-7.82,P = 0.008)和非再狭窄(OR = 1.44,95% CI = 0.97-2.14,P = 0.02)与功能独立的可能性显著相关。遗传性血栓性疾病(OR = 0.60,95% CI = 0.31-1.12,P = 0.03)和感染(OR = 0.59,95% CI = 0.31-1.12,P = 0.01)与FOC良好的可能性较低有关。年龄≥50岁(P = 0.01)和病程超过1个月(P = 0.01)与无再钙化有关:结论:高龄、男性、静脉出血性梗死和非再狭窄可预测 CVT 的 FOC 较差。晚期发病可能会影响再通过程,其可能的原因是抗凝治疗的延迟。需要进一步开展前瞻性多中心研究,以确定 FOC 的预测因素并了解 CVT 的再狭窄过程。
本文章由计算机程序翻译,如有差异,请以英文原文为准。

Functional outcome predictors and recanalization in cerebral venous thrombosis: A single-center cross-sectional study.

Functional outcome predictors and recanalization in cerebral venous thrombosis: A single-center cross-sectional study.

Functional outcome predictors and recanalization in cerebral venous thrombosis: A single-center cross-sectional study.

Objectives: Cerebral venous thrombosis (CVT) is a rare type of stroke. Functional outcome (FOC) in CVT can be affected by different factors, and recanalization is an important determinant. This study aimed to identify the FOC predictors including recanalization in patients with CVT.

Methods: This retrospective study reviewed electronic charts of patients with CVT admitted to the King Fahd Hospital of the University, a teaching and referral hospital between January 2012 and March 2023. Demographic and other clinicoradiological characteristics were noted. Factors affecting FOC were investigated using the Chi-square test, odds ratios (ORs), and 95% confidence interval (CI).

Results: Out of 64 patients, 78% achieved good FOC. Age was significantly higher in patients having poor FOC as compared to those having good FOC (P ≤ 0.001). Women had more likelihood to be functionally independent as compared to men (OR = 1.35, 95% CI = 1.01-1.80, P = 0.02). Altered consciousness (OR = 2.94, 95% CI = 1.23-6.99, P = 0.01), venous hemorrhagic infarction (OR = 3.26, 95% CI = 1.36-7.82, P = 0.008), and nonrecanalization (OR = 1.44, 95% CI = 0.97-2.14, P = 0.02) were significantly associated with poor FOC. Hereditary thrombophilia (OR = 0.60, 95% CI = 0.31-1.12, P = 0.03) and infections (OR = 0.59, 95% CI = 0.31-1.12, P = 0.01) were associated with less likelihood of good FOC. Age ≥50 years (P = 0.01) and illness of more than 1-month duration (P = 0.01) were associated with nonrecanalization.

Conclusion: Older age, male sex, presence of venous hemorrhagic infarction, and nonrecanalization can predict poor FOC in CVT. The recanalization process can be affected by late presentation, and the plausible reason could be a delay in therapeutic anticoagulation. Further prospective and multicenter studies are needed to determine the predictors of FOC and to understand the process of recanalization in CVT.

求助全文
通过发布文献求助,成功后即可免费获取论文全文。 去求助
来源期刊
CiteScore
1.70
自引率
0.00%
发文量
30
审稿时长
22 weeks
期刊介绍: The Turkish Journal of Emergency Medicine (Turk J Emerg Med) is an International, peer-reviewed, open-access journal that publishes clinical and experimental trials, case reports, invited reviews, case images, letters to the Editor, and interesting research conducted in all fields of Emergency Medicine. The Journal is the official scientific publication of the Emergency Medicine Association of Turkey (EMAT) and is printed four times a year, in January, April, July and October. The language of the journal is English. The Journal is based on independent and unbiased double-blinded peer-reviewed principles. Only unpublished papers that are not under review for publication elsewhere can be submitted. The authors are responsible for the scientific content of the material to be published. The Turkish Journal of Emergency Medicine reserves the right to request any research materials on which the paper is based. The Editorial Board of the Turkish Journal of Emergency Medicine and the Publisher adheres to the principles of the International Council of Medical Journal Editors, the World Association of Medical Editors, the Council of Science Editors, the Committee on Publication Ethics, the US National Library of Medicine, the US Office of Research Integrity, the European Association of Science Editors, and the International Society of Managing and Technical Editors.
×
引用
GB/T 7714-2015
复制
MLA
复制
APA
复制
导出至
BibTeX EndNote RefMan NoteFirst NoteExpress
×
提示
您的信息不完整,为了账户安全,请先补充。
现在去补充
×
提示
您因"违规操作"
具体请查看互助需知
我知道了
×
提示
确定
请完成安全验证×
copy
已复制链接
快去分享给好友吧!
我知道了
右上角分享
点击右上角分享
0
联系我们:info@booksci.cn Book学术提供免费学术资源搜索服务,方便国内外学者检索中英文文献。致力于提供最便捷和优质的服务体验。 Copyright © 2023 布克学术 All rights reserved.
京ICP备2023020795号-1
ghs 京公网安备 11010802042870号
Book学术文献互助
Book学术文献互助群
群 号:604180095
Book学术官方微信