体外受精诱发极度高甘油三酯血症,并在急诊科继发急性胰腺炎:病例报告和文献综述。

IF 2.3 Q3 EMERGENCY MEDICINE
Nguyen Huu Thanh, Trinh Van Duong, Nguyen Thu Huyen, Pham Dang Hai
{"title":"体外受精诱发极度高甘油三酯血症,并在急诊科继发急性胰腺炎:病例报告和文献综述。","authors":"Nguyen Huu Thanh, Trinh Van Duong, Nguyen Thu Huyen, Pham Dang Hai","doi":"10.4103/tjem.tjem_27_24","DOIUrl":null,"url":null,"abstract":"<p><p>Acute pancreatitis is one of the severe complications of hypertriglyceridemia, which needs to be recognized early to provide appropriate treatment. Hypertriglyceridemia-induced pancreatitis has several causes, in which <i>in vitro</i> fertilization (IVF) is a rare etiology that is becoming increasingly popular. We report a 33-year-old female patient with a history of hypertension who has failed an IVF cycle and started a new IVF procedure 1 month before admission. She was diagnosed with severe triglyceridemia-induced acute pancreatitis with extremely high serum triglycerides (TGs) levels (18,547 mg/dL). We combined plasmapheresis and intravenous (IV) insulin and significantly reduced blood TG over a short time. She was discharged with a TG level of 366.7 mg/dL on the 10<sup>th</sup> day. It is essential to monitor serum TG levels in plasma before, during, and after this therapy, especially in the 1<sup>st</sup> month after initiating IVF. Although plasmapheresis combined with IV insulin is not officially recommended for acute triglyceridemia-induced pancreatitis, the therapy can be considered in cases with extremely high serum TG levels.</p>","PeriodicalId":46536,"journal":{"name":"Turkish Journal of Emergency Medicine","volume":"24 4","pages":"255-258"},"PeriodicalIF":2.3000,"publicationDate":"2024-10-01","publicationTypes":"Journal Article","fieldsOfStudy":null,"isOpenAccess":false,"openAccessPdf":"https://www.ncbi.nlm.nih.gov/pmc/articles/PMC11573169/pdf/","citationCount":"0","resultStr":"{\"title\":\"<i>In vitro</i> fertilization-induced extreme hypertriglyceridemia with secondary acute pancreatitis in emergency department: A case report and literature review.\",\"authors\":\"Nguyen Huu Thanh, Trinh Van Duong, Nguyen Thu Huyen, Pham Dang Hai\",\"doi\":\"10.4103/tjem.tjem_27_24\",\"DOIUrl\":null,\"url\":null,\"abstract\":\"<p><p>Acute pancreatitis is one of the severe complications of hypertriglyceridemia, which needs to be recognized early to provide appropriate treatment. Hypertriglyceridemia-induced pancreatitis has several causes, in which <i>in vitro</i> fertilization (IVF) is a rare etiology that is becoming increasingly popular. We report a 33-year-old female patient with a history of hypertension who has failed an IVF cycle and started a new IVF procedure 1 month before admission. She was diagnosed with severe triglyceridemia-induced acute pancreatitis with extremely high serum triglycerides (TGs) levels (18,547 mg/dL). We combined plasmapheresis and intravenous (IV) insulin and significantly reduced blood TG over a short time. She was discharged with a TG level of 366.7 mg/dL on the 10<sup>th</sup> day. It is essential to monitor serum TG levels in plasma before, during, and after this therapy, especially in the 1<sup>st</sup> month after initiating IVF. Although plasmapheresis combined with IV insulin is not officially recommended for acute triglyceridemia-induced pancreatitis, the therapy can be considered in cases with extremely high serum TG levels.</p>\",\"PeriodicalId\":46536,\"journal\":{\"name\":\"Turkish Journal of Emergency Medicine\",\"volume\":\"24 4\",\"pages\":\"255-258\"},\"PeriodicalIF\":2.3000,\"publicationDate\":\"2024-10-01\",\"publicationTypes\":\"Journal Article\",\"fieldsOfStudy\":null,\"isOpenAccess\":false,\"openAccessPdf\":\"https://www.ncbi.nlm.nih.gov/pmc/articles/PMC11573169/pdf/\",\"citationCount\":\"0\",\"resultStr\":null,\"platform\":\"Semanticscholar\",\"paperid\":null,\"PeriodicalName\":\"Turkish Journal of Emergency Medicine\",\"FirstCategoryId\":\"1085\",\"ListUrlMain\":\"https://doi.org/10.4103/tjem.tjem_27_24\",\"RegionNum\":0,\"RegionCategory\":null,\"ArticlePicture\":[],\"TitleCN\":null,\"AbstractTextCN\":null,\"PMCID\":null,\"EPubDate\":\"\",\"PubModel\":\"\",\"JCR\":\"Q3\",\"JCRName\":\"EMERGENCY MEDICINE\",\"Score\":null,\"Total\":0}","platform":"Semanticscholar","paperid":null,"PeriodicalName":"Turkish Journal of Emergency Medicine","FirstCategoryId":"1085","ListUrlMain":"https://doi.org/10.4103/tjem.tjem_27_24","RegionNum":0,"RegionCategory":null,"ArticlePicture":[],"TitleCN":null,"AbstractTextCN":null,"PMCID":null,"EPubDate":"","PubModel":"","JCR":"Q3","JCRName":"EMERGENCY MEDICINE","Score":null,"Total":0}
引用次数: 0

摘要

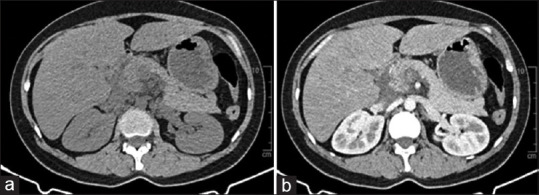
急性胰腺炎是高甘油三酯血症的严重并发症之一,需要及早发现并提供适当的治疗。高甘油三酯血症诱发的胰腺炎有多种病因,其中体外受精(IVF)是一种罕见的病因,越来越受到人们的青睐。我们报告了一名 33 岁的女性患者,她有高血压病史,试管婴儿周期失败,入院前 1 个月开始了新的试管婴儿程序。她被诊断为重度甘油三酯血症诱发的急性胰腺炎,血清甘油三酯(TGs)水平极高(18,547 mg/dL)。我们联合使用了血浆置换术和静脉注射(IV)胰岛素,在短时间内显著降低了血甘油三酯。第 10 天,她以 366.7 mg/dL 的 TG 水平出院。在治疗前、治疗中和治疗后,尤其是在开始体外受精后的第一个月,监测血浆中的血清总胆固醇水平至关重要。虽然官方并不推荐对甘油三酯血症诱发的急性胰腺炎进行血浆置换联合胰岛素静脉注射,但对于血清 TG 水平极高的病例,可以考虑使用该疗法。
本文章由计算机程序翻译,如有差异,请以英文原文为准。

<i>In vitro</i> fertilization-induced extreme hypertriglyceridemia with secondary acute pancreatitis in emergency department: A case report and literature review.

<i>In vitro</i> fertilization-induced extreme hypertriglyceridemia with secondary acute pancreatitis in emergency department: A case report and literature review.

In vitro fertilization-induced extreme hypertriglyceridemia with secondary acute pancreatitis in emergency department: A case report and literature review.

Acute pancreatitis is one of the severe complications of hypertriglyceridemia, which needs to be recognized early to provide appropriate treatment. Hypertriglyceridemia-induced pancreatitis has several causes, in which in vitro fertilization (IVF) is a rare etiology that is becoming increasingly popular. We report a 33-year-old female patient with a history of hypertension who has failed an IVF cycle and started a new IVF procedure 1 month before admission. She was diagnosed with severe triglyceridemia-induced acute pancreatitis with extremely high serum triglycerides (TGs) levels (18,547 mg/dL). We combined plasmapheresis and intravenous (IV) insulin and significantly reduced blood TG over a short time. She was discharged with a TG level of 366.7 mg/dL on the 10th day. It is essential to monitor serum TG levels in plasma before, during, and after this therapy, especially in the 1st month after initiating IVF. Although plasmapheresis combined with IV insulin is not officially recommended for acute triglyceridemia-induced pancreatitis, the therapy can be considered in cases with extremely high serum TG levels.

求助全文
通过发布文献求助,成功后即可免费获取论文全文。 去求助
来源期刊
CiteScore
1.70
自引率
0.00%
发文量
30
审稿时长
22 weeks
期刊介绍: The Turkish Journal of Emergency Medicine (Turk J Emerg Med) is an International, peer-reviewed, open-access journal that publishes clinical and experimental trials, case reports, invited reviews, case images, letters to the Editor, and interesting research conducted in all fields of Emergency Medicine. The Journal is the official scientific publication of the Emergency Medicine Association of Turkey (EMAT) and is printed four times a year, in January, April, July and October. The language of the journal is English. The Journal is based on independent and unbiased double-blinded peer-reviewed principles. Only unpublished papers that are not under review for publication elsewhere can be submitted. The authors are responsible for the scientific content of the material to be published. The Turkish Journal of Emergency Medicine reserves the right to request any research materials on which the paper is based. The Editorial Board of the Turkish Journal of Emergency Medicine and the Publisher adheres to the principles of the International Council of Medical Journal Editors, the World Association of Medical Editors, the Council of Science Editors, the Committee on Publication Ethics, the US National Library of Medicine, the US Office of Research Integrity, the European Association of Science Editors, and the International Society of Managing and Technical Editors.
×
引用
GB/T 7714-2015
复制
MLA
复制
APA
复制
导出至
BibTeX EndNote RefMan NoteFirst NoteExpress
×
提示
您的信息不完整,为了账户安全,请先补充。
现在去补充
×
提示
您因"违规操作"
具体请查看互助需知
我知道了
×
提示
确定
请完成安全验证×
copy
已复制链接
快去分享给好友吧!
我知道了
右上角分享
点击右上角分享
0
联系我们:info@booksci.cn Book学术提供免费学术资源搜索服务,方便国内外学者检索中英文文献。致力于提供最便捷和优质的服务体验。 Copyright © 2023 布克学术 All rights reserved.
京ICP备2023020795号-1
ghs 京公网安备 11010802042870号
Book学术文献互助
Book学术文献互助群
群 号:604180095
Book学术官方微信