大豆异黄酮和西兰花提取物对子宫内膜异位症患者氧化应激、自噬和凋亡基因标记的潜在影响

IF 2.2 Q2 OBSTETRICS & GYNECOLOGY
Soudabeh Sabetian, Bahia Namavar Jahromi, Sina Vakili, Mohammad Samare-Najaf, Sarah Siahbani, Fatemeh Zal, Nader Tanideh, Mahintaj Dara, Zahra Khodabandeh
{"title":"大豆异黄酮和西兰花提取物对子宫内膜异位症患者氧化应激、自噬和凋亡基因标记的潜在影响","authors":"Soudabeh Sabetian, Bahia Namavar Jahromi, Sina Vakili, Mohammad Samare-Najaf, Sarah Siahbani, Fatemeh Zal, Nader Tanideh, Mahintaj Dara, Zahra Khodabandeh","doi":"10.22074/ijfs.2023.1999395.1457","DOIUrl":null,"url":null,"abstract":"<p><strong>Background: </strong>Endometriosis is an idiopathic gynecological condition affecting women with pelvic pain and infertility in reproductive ages. Due to preventive and therapeutic effects of soy isoflavones (SI) and broccoli extract (BE) on tumor angiogenesis, inflammation and oxidative stress and since endometriosis is accompanied by chronic inflammation, in this study, we aim to evaluate the potential role of these compounds on the pathological scores of endometriosis and also consider the expression level of the gene markers of autophagy, apoptosis, and oxidative stress in an endometriosis rat model.</p><p><strong>Materials and methods: </strong>In the present experimental study, 45 mature female Sprague- Dawley rats weighing 220 ± 20 g at the age of eight weeks with surgically induced endometriosis was divided into five groups and treated for six weeks with normal saline (control group), BE, SI, BE+SI by oral gavage, and also Diphereline intramuscularly. The histopathological scores of the endometrial implants (0, 1, 2, 3: no, poorly, moderately and well-preserved epithelial layers, respectively) and the mRNA expression level of Bcl-2, Bax, Caspase-3, Beclin-1, Lc3, and Sod within peritoneal tissue were compared among the groups.</p><p><strong>Results: </strong>Pathologic scores of the implants in the Diphereline (1.2 ± 0.27) and BE+SI (1.2 ± 0.41) groups were declined significantly in comparison with the control group (2.08 ± 0.44) (P≤0.001). In the endometriotic structures, the mRNA expression levels of our target genes were improved significantly (P≤0.01) in comparison with the control group.</p><p><strong>Conclusion: </strong>The findings of the current study demonstrated that the simultaneous consumption of a certain amount of broccoli extract and SI can be considered as a promising therapeutic strategy for treatment of endometriosis.</p>","PeriodicalId":14080,"journal":{"name":"International Journal of Fertility & Sterility","volume":"18 4","pages":"384-390"},"PeriodicalIF":2.2000,"publicationDate":"2024-10-30","publicationTypes":"Journal Article","fieldsOfStudy":null,"isOpenAccess":false,"openAccessPdf":"https://www.ncbi.nlm.nih.gov/pmc/articles/PMC11589977/pdf/","citationCount":"0","resultStr":"{\"title\":\"Potential Effects of Soy Isoflavones and Broccoli Extract on Oxidative Stress, Autophagy, and Apoptosis Gene Markers in Endometriosis.\",\"authors\":\"Soudabeh Sabetian, Bahia Namavar Jahromi, Sina Vakili, Mohammad Samare-Najaf, Sarah Siahbani, Fatemeh Zal, Nader Tanideh, Mahintaj Dara, Zahra Khodabandeh\",\"doi\":\"10.22074/ijfs.2023.1999395.1457\",\"DOIUrl\":null,\"url\":null,\"abstract\":\"<p><strong>Background: </strong>Endometriosis is an idiopathic gynecological condition affecting women with pelvic pain and infertility in reproductive ages. Due to preventive and therapeutic effects of soy isoflavones (SI) and broccoli extract (BE) on tumor angiogenesis, inflammation and oxidative stress and since endometriosis is accompanied by chronic inflammation, in this study, we aim to evaluate the potential role of these compounds on the pathological scores of endometriosis and also consider the expression level of the gene markers of autophagy, apoptosis, and oxidative stress in an endometriosis rat model.</p><p><strong>Materials and methods: </strong>In the present experimental study, 45 mature female Sprague- Dawley rats weighing 220 ± 20 g at the age of eight weeks with surgically induced endometriosis was divided into five groups and treated for six weeks with normal saline (control group), BE, SI, BE+SI by oral gavage, and also Diphereline intramuscularly. The histopathological scores of the endometrial implants (0, 1, 2, 3: no, poorly, moderately and well-preserved epithelial layers, respectively) and the mRNA expression level of Bcl-2, Bax, Caspase-3, Beclin-1, Lc3, and Sod within peritoneal tissue were compared among the groups.</p><p><strong>Results: </strong>Pathologic scores of the implants in the Diphereline (1.2 ± 0.27) and BE+SI (1.2 ± 0.41) groups were declined significantly in comparison with the control group (2.08 ± 0.44) (P≤0.001). In the endometriotic structures, the mRNA expression levels of our target genes were improved significantly (P≤0.01) in comparison with the control group.</p><p><strong>Conclusion: </strong>The findings of the current study demonstrated that the simultaneous consumption of a certain amount of broccoli extract and SI can be considered as a promising therapeutic strategy for treatment of endometriosis.</p>\",\"PeriodicalId\":14080,\"journal\":{\"name\":\"International Journal of Fertility & Sterility\",\"volume\":\"18 4\",\"pages\":\"384-390\"},\"PeriodicalIF\":2.2000,\"publicationDate\":\"2024-10-30\",\"publicationTypes\":\"Journal Article\",\"fieldsOfStudy\":null,\"isOpenAccess\":false,\"openAccessPdf\":\"https://www.ncbi.nlm.nih.gov/pmc/articles/PMC11589977/pdf/\",\"citationCount\":\"0\",\"resultStr\":null,\"platform\":\"Semanticscholar\",\"paperid\":null,\"PeriodicalName\":\"International Journal of Fertility & Sterility\",\"FirstCategoryId\":\"1085\",\"ListUrlMain\":\"https://doi.org/10.22074/ijfs.2023.1999395.1457\",\"RegionNum\":0,\"RegionCategory\":null,\"ArticlePicture\":[],\"TitleCN\":null,\"AbstractTextCN\":null,\"PMCID\":null,\"EPubDate\":\"\",\"PubModel\":\"\",\"JCR\":\"Q2\",\"JCRName\":\"OBSTETRICS & GYNECOLOGY\",\"Score\":null,\"Total\":0}","platform":"Semanticscholar","paperid":null,"PeriodicalName":"International Journal of Fertility & Sterility","FirstCategoryId":"1085","ListUrlMain":"https://doi.org/10.22074/ijfs.2023.1999395.1457","RegionNum":0,"RegionCategory":null,"ArticlePicture":[],"TitleCN":null,"AbstractTextCN":null,"PMCID":null,"EPubDate":"","PubModel":"","JCR":"Q2","JCRName":"OBSTETRICS & GYNECOLOGY","Score":null,"Total":0}
引用次数: 0

摘要

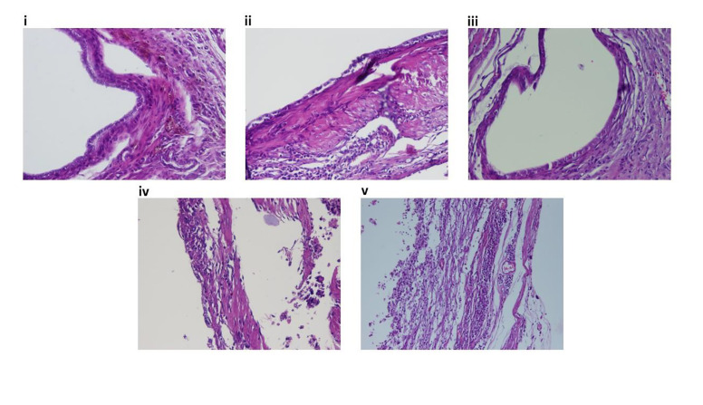
背景:子宫内膜异位症是一种特发性妇科疾病,影响育龄妇女的盆腔疼痛和不孕。由于大豆异黄酮(SI)和西兰花提取物(BE)对肿瘤血管生成、炎症和氧化应激有预防和治疗作用,而子宫内膜异位症又伴有慢性炎症,因此本研究旨在评估这些化合物对子宫内膜异位症病理评分的潜在作用,同时考虑子宫内膜异位症大鼠模型中自噬、细胞凋亡和氧化应激等基因标志物的表达水平:在本实验研究中,将 45 只体重为 220 ± 20 克(8 周龄)、经手术诱发子宫内膜异位症的成熟雌性 Sprague- Dawley 大鼠分为 5 组,分别用生理盐水(对照组)、BE、SI、BE+SI 口服治疗,以及 Diphereline 肌肉注射治疗 6 周。比较各组子宫内膜植入物的组织病理学评分(0、1、2、3:分别为无、较差、中等和保存良好的上皮层)以及腹膜组织中 Bcl-2、Bax、Caspase-3、Beclin-1、Lc3 和 Sod 的 mRNA 表达水平:结果:与对照组(2.08±0.44)相比,Diphereline 组(1.2±0.27)和 BE+SI 组(1.2±0.41)的病理评分明显下降(P≤0.001)。在子宫内膜异位结构中,与对照组相比,我们的目标基因的 mRNA 表达水平明显提高(P≤0.01):本研究结果表明,同时服用一定量的西兰花提取物和SI可被视为治疗子宫内膜异位症的一种有前途的治疗策略。
本文章由计算机程序翻译,如有差异,请以英文原文为准。

Potential Effects of Soy Isoflavones and Broccoli Extract on Oxidative Stress, Autophagy, and Apoptosis Gene Markers in Endometriosis.

Potential Effects of Soy Isoflavones and Broccoli Extract on Oxidative Stress, Autophagy, and Apoptosis Gene Markers in Endometriosis.

Potential Effects of Soy Isoflavones and Broccoli Extract on Oxidative Stress, Autophagy, and Apoptosis Gene Markers in Endometriosis.

Potential Effects of Soy Isoflavones and Broccoli Extract on Oxidative Stress, Autophagy, and Apoptosis Gene Markers in Endometriosis.

Background: Endometriosis is an idiopathic gynecological condition affecting women with pelvic pain and infertility in reproductive ages. Due to preventive and therapeutic effects of soy isoflavones (SI) and broccoli extract (BE) on tumor angiogenesis, inflammation and oxidative stress and since endometriosis is accompanied by chronic inflammation, in this study, we aim to evaluate the potential role of these compounds on the pathological scores of endometriosis and also consider the expression level of the gene markers of autophagy, apoptosis, and oxidative stress in an endometriosis rat model.

Materials and methods: In the present experimental study, 45 mature female Sprague- Dawley rats weighing 220 ± 20 g at the age of eight weeks with surgically induced endometriosis was divided into five groups and treated for six weeks with normal saline (control group), BE, SI, BE+SI by oral gavage, and also Diphereline intramuscularly. The histopathological scores of the endometrial implants (0, 1, 2, 3: no, poorly, moderately and well-preserved epithelial layers, respectively) and the mRNA expression level of Bcl-2, Bax, Caspase-3, Beclin-1, Lc3, and Sod within peritoneal tissue were compared among the groups.

Results: Pathologic scores of the implants in the Diphereline (1.2 ± 0.27) and BE+SI (1.2 ± 0.41) groups were declined significantly in comparison with the control group (2.08 ± 0.44) (P≤0.001). In the endometriotic structures, the mRNA expression levels of our target genes were improved significantly (P≤0.01) in comparison with the control group.

Conclusion: The findings of the current study demonstrated that the simultaneous consumption of a certain amount of broccoli extract and SI can be considered as a promising therapeutic strategy for treatment of endometriosis.

求助全文
通过发布文献求助,成功后即可免费获取论文全文。 去求助
来源期刊
CiteScore
4.20
自引率
0.00%
发文量
68
审稿时长
>12 weeks
期刊介绍: International Journal of Fertility & Sterility is a quarterly English publication of Royan Institute . The aim of the journal is to disseminate information through publishing the most recent scientific research studies on Fertility and Sterility and other related topics. Int J Fertil Steril has been certified by Ministry of Culture and Islamic Guidance in 2007 and was accredited as a scientific and research journal by HBI (Health and Biomedical Information) Journal Accreditation Commission in 2008. Int J Fertil Steril is an Open Access journal.
×
引用
GB/T 7714-2015
复制
MLA
复制
APA
复制
导出至
BibTeX EndNote RefMan NoteFirst NoteExpress
×
提示
您的信息不完整,为了账户安全,请先补充。
现在去补充
×
提示
您因"违规操作"
具体请查看互助需知
我知道了
×
提示
确定
请完成安全验证×
copy
已复制链接
快去分享给好友吧!
我知道了
右上角分享
点击右上角分享
0
联系我们:info@booksci.cn Book学术提供免费学术资源搜索服务,方便国内外学者检索中英文文献。致力于提供最便捷和优质的服务体验。 Copyright © 2023 布克学术 All rights reserved.
京ICP备2023020795号-1
ghs 京公网安备 11010802042870号
Book学术文献互助
Book学术文献互助群
群 号:604180095
Book学术官方微信