完全切除枕骨巨大表皮样囊肿:病例报告和系统综述。

Q1 Medicine
CNS Oncology Pub Date : 2024-12-31 Epub Date: 2024-11-19 DOI:10.1080/20450907.2024.2415279
Ishwarya Nair, Adrian Zammit, Timothy Williamson, Ananthababu Pattavilakom Sadasivan
{"title":"完全切除枕骨巨大表皮样囊肿:病例报告和系统综述。","authors":"Ishwarya Nair, Adrian Zammit, Timothy Williamson, Ananthababu Pattavilakom Sadasivan","doi":"10.1080/20450907.2024.2415279","DOIUrl":null,"url":null,"abstract":"<p><p>Epidermoid cysts are uncommon accounting for less than 1% of all intracranial tumors. Among them, giant intradiploic epidermoid cysts of the posterior fossa i.e. those exceeding 5 cm are an even rarer entity. Here we report on the complete resection of a 7 cm posterior fossa epidermoid cyst involving the occipital bone in a 32-year-old female presenting with an acute on chronic exacerbation of headaches and vertigo. Complete resection including the cyst wall is crucial in preventing recurrence and malignant transformation. We add to limited existing data by reporting on the first systematic review to date assessing 25 cases of giant epidermoid cysts of the posterior fossa to discuss presentation, clinical and radiographic features and definitive management strategies.</p>","PeriodicalId":10469,"journal":{"name":"CNS Oncology","volume":"13 1","pages":"2415279"},"PeriodicalIF":0.0000,"publicationDate":"2024-12-31","publicationTypes":"Journal Article","fieldsOfStudy":null,"isOpenAccess":false,"openAccessPdf":"https://www.ncbi.nlm.nih.gov/pmc/articles/PMC11581160/pdf/","citationCount":"0","resultStr":"{\"title\":\"Complete resection of a giant epidermoid cyst of the occipital bone: case report and systematic review.\",\"authors\":\"Ishwarya Nair, Adrian Zammit, Timothy Williamson, Ananthababu Pattavilakom Sadasivan\",\"doi\":\"10.1080/20450907.2024.2415279\",\"DOIUrl\":null,\"url\":null,\"abstract\":\"<p><p>Epidermoid cysts are uncommon accounting for less than 1% of all intracranial tumors. Among them, giant intradiploic epidermoid cysts of the posterior fossa i.e. those exceeding 5 cm are an even rarer entity. Here we report on the complete resection of a 7 cm posterior fossa epidermoid cyst involving the occipital bone in a 32-year-old female presenting with an acute on chronic exacerbation of headaches and vertigo. Complete resection including the cyst wall is crucial in preventing recurrence and malignant transformation. We add to limited existing data by reporting on the first systematic review to date assessing 25 cases of giant epidermoid cysts of the posterior fossa to discuss presentation, clinical and radiographic features and definitive management strategies.</p>\",\"PeriodicalId\":10469,\"journal\":{\"name\":\"CNS Oncology\",\"volume\":\"13 1\",\"pages\":\"2415279\"},\"PeriodicalIF\":0.0000,\"publicationDate\":\"2024-12-31\",\"publicationTypes\":\"Journal Article\",\"fieldsOfStudy\":null,\"isOpenAccess\":false,\"openAccessPdf\":\"https://www.ncbi.nlm.nih.gov/pmc/articles/PMC11581160/pdf/\",\"citationCount\":\"0\",\"resultStr\":null,\"platform\":\"Semanticscholar\",\"paperid\":null,\"PeriodicalName\":\"CNS Oncology\",\"FirstCategoryId\":\"1085\",\"ListUrlMain\":\"https://doi.org/10.1080/20450907.2024.2415279\",\"RegionNum\":0,\"RegionCategory\":null,\"ArticlePicture\":[],\"TitleCN\":null,\"AbstractTextCN\":null,\"PMCID\":null,\"EPubDate\":\"2024/11/19 0:00:00\",\"PubModel\":\"Epub\",\"JCR\":\"Q1\",\"JCRName\":\"Medicine\",\"Score\":null,\"Total\":0}","platform":"Semanticscholar","paperid":null,"PeriodicalName":"CNS Oncology","FirstCategoryId":"1085","ListUrlMain":"https://doi.org/10.1080/20450907.2024.2415279","RegionNum":0,"RegionCategory":null,"ArticlePicture":[],"TitleCN":null,"AbstractTextCN":null,"PMCID":null,"EPubDate":"2024/11/19 0:00:00","PubModel":"Epub","JCR":"Q1","JCRName":"Medicine","Score":null,"Total":0}
引用次数: 0

摘要

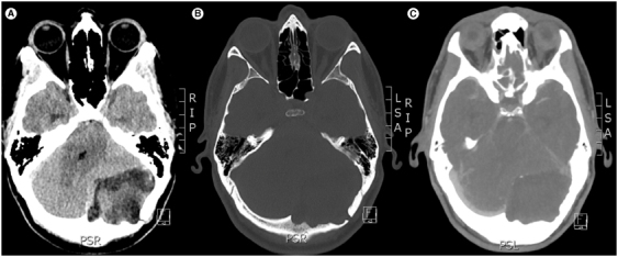
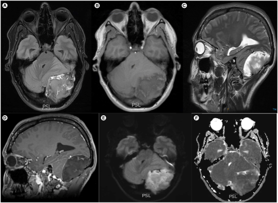
表皮样囊肿并不常见,在所有颅内肿瘤中占比不到 1%。其中,后窝巨大蝶鞍内表皮样囊肿(即超过5厘米的囊肿)更为罕见。在此,我们报告了对一名累及枕骨的 7 厘米后窝表皮样囊肿的完全切除,患者是一名 32 岁女性,头痛和眩晕由急性转为慢性加重。包括囊壁在内的完整切除对于防止复发和恶变至关重要。我们报告了迄今为止第一篇系统性综述,评估了 25 例后窝巨大表皮样囊肿病例,讨论了其表现、临床和影像学特征以及明确的治疗策略,为有限的现有数据增添了新的内容。
本文章由计算机程序翻译,如有差异,请以英文原文为准。

Complete resection of a giant epidermoid cyst of the occipital bone: case report and systematic review.

Complete resection of a giant epidermoid cyst of the occipital bone: case report and systematic review.

Complete resection of a giant epidermoid cyst of the occipital bone: case report and systematic review.

Complete resection of a giant epidermoid cyst of the occipital bone: case report and systematic review.

Epidermoid cysts are uncommon accounting for less than 1% of all intracranial tumors. Among them, giant intradiploic epidermoid cysts of the posterior fossa i.e. those exceeding 5 cm are an even rarer entity. Here we report on the complete resection of a 7 cm posterior fossa epidermoid cyst involving the occipital bone in a 32-year-old female presenting with an acute on chronic exacerbation of headaches and vertigo. Complete resection including the cyst wall is crucial in preventing recurrence and malignant transformation. We add to limited existing data by reporting on the first systematic review to date assessing 25 cases of giant epidermoid cysts of the posterior fossa to discuss presentation, clinical and radiographic features and definitive management strategies.

求助全文
通过发布文献求助,成功后即可免费获取论文全文。 去求助
来源期刊
CNS Oncology
CNS Oncology Medicine-Neurology (clinical)
CiteScore
3.80
自引率
0.00%
发文量
12
审稿时长
13 weeks
×
引用
GB/T 7714-2015
复制
MLA
复制
APA
复制
导出至
BibTeX EndNote RefMan NoteFirst NoteExpress
×
提示
您的信息不完整,为了账户安全,请先补充。
现在去补充
×
提示
您因"违规操作"
具体请查看互助需知
我知道了
×
提示
确定
请完成安全验证×
copy
已复制链接
快去分享给好友吧!
我知道了
右上角分享
点击右上角分享
0
联系我们:info@booksci.cn Book学术提供免费学术资源搜索服务,方便国内外学者检索中英文文献。致力于提供最便捷和优质的服务体验。 Copyright © 2023 布克学术 All rights reserved.
京ICP备2023020795号-1
ghs 京公网安备 11010802042870号
Book学术文献互助
Book学术文献互助群
群 号:604180095
Book学术官方微信