作为肝细胞癌转移部位的甲状腺:罕见病例报告

IF 2.8 4区 医学 Q3 BIOTECHNOLOGY & APPLIED MICROBIOLOGY
OncoTargets and therapy Pub Date : 2024-11-14 eCollection Date: 2024-01-01 DOI:10.2147/OTT.S481613
Yang-Lu Ge, Shui-Quan Jin, Lv-Zhou Han, Xiang Zhang
{"title":"作为肝细胞癌转移部位的甲状腺:罕见病例报告","authors":"Yang-Lu Ge, Shui-Quan Jin, Lv-Zhou Han, Xiang Zhang","doi":"10.2147/OTT.S481613","DOIUrl":null,"url":null,"abstract":"<p><strong>Background: </strong>Thyroid gland metastasis from distant primary tumors is uncommon, with liver cancer being a particularly rare source. This case report describes the clinical challenges and diagnostic journey of a thyroid mass in a patient with chronic hepatitis B, liver cirrhosis, and hepatocellular carcinoma, underscoring the rarity and complexity of such metastatic relationships.</p><p><strong>Case presentation: </strong>A 63-year-old male with a long-standing history of hepatitis B-related liver cirrhosis and a recent diagnosis of hepatocellular carcinoma presented with a rapidly enlarging painful right-sided thyroid mass associated with swelling but no systemic symptoms such as fever or dysphonia. This prompted a thorough diagnostic workup. Enhanced neck scans indicated a mass potentially originating from the thyroid with tracheal compression, yet crucially, there was no evidence of lung involvement based on the chest CT. Despite the rarity of liver-to-thyroid metastasis, the patient's multifaceted medical history warranted a broad differential diagnosis.</p><p><strong>Intervention and outcome: </strong>Surgical intervention included a right-sided thyroidectomy and partial left thyroidectomy under general anesthesia. Histopathological examination unexpectedly confirmed the presence of metastatic thyroid cancer originating from the primary liver tumor. This led to further extensive surgical management, including lymph node dissection in the central neck area. The postoperative regimen was adapted to include thyroid hormone replacement and ongoing treatment for hepatocellular carcinoma. The patient's postoperative recovery was closely monitored, reflecting stable disease with no immediate complications.</p><p><strong>Conclusion: </strong>This case highlights the clinical rarity and diagnostic challenges of liver cancer metastasizing to the thyroid. It emphasizes the need for vigilance in patients with known primary malignancies, especially hepatocellular carcinoma, presenting with new thyroid abnormalities. This advocates for a comprehensive diagnostic approach in such atypical presentations.</p>","PeriodicalId":19534,"journal":{"name":"OncoTargets and therapy","volume":"17 ","pages":"1033-1039"},"PeriodicalIF":2.8000,"publicationDate":"2024-11-14","publicationTypes":"Journal Article","fieldsOfStudy":null,"isOpenAccess":false,"openAccessPdf":"https://www.ncbi.nlm.nih.gov/pmc/articles/PMC11572053/pdf/","citationCount":"0","resultStr":"{\"title\":\"Thyroid Gland as a Metastatic Site for Hepatocellular Carcinoma: A Rare Case Report.\",\"authors\":\"Yang-Lu Ge, Shui-Quan Jin, Lv-Zhou Han, Xiang Zhang\",\"doi\":\"10.2147/OTT.S481613\",\"DOIUrl\":null,\"url\":null,\"abstract\":\"<p><strong>Background: </strong>Thyroid gland metastasis from distant primary tumors is uncommon, with liver cancer being a particularly rare source. This case report describes the clinical challenges and diagnostic journey of a thyroid mass in a patient with chronic hepatitis B, liver cirrhosis, and hepatocellular carcinoma, underscoring the rarity and complexity of such metastatic relationships.</p><p><strong>Case presentation: </strong>A 63-year-old male with a long-standing history of hepatitis B-related liver cirrhosis and a recent diagnosis of hepatocellular carcinoma presented with a rapidly enlarging painful right-sided thyroid mass associated with swelling but no systemic symptoms such as fever or dysphonia. This prompted a thorough diagnostic workup. Enhanced neck scans indicated a mass potentially originating from the thyroid with tracheal compression, yet crucially, there was no evidence of lung involvement based on the chest CT. Despite the rarity of liver-to-thyroid metastasis, the patient's multifaceted medical history warranted a broad differential diagnosis.</p><p><strong>Intervention and outcome: </strong>Surgical intervention included a right-sided thyroidectomy and partial left thyroidectomy under general anesthesia. Histopathological examination unexpectedly confirmed the presence of metastatic thyroid cancer originating from the primary liver tumor. This led to further extensive surgical management, including lymph node dissection in the central neck area. The postoperative regimen was adapted to include thyroid hormone replacement and ongoing treatment for hepatocellular carcinoma. The patient's postoperative recovery was closely monitored, reflecting stable disease with no immediate complications.</p><p><strong>Conclusion: </strong>This case highlights the clinical rarity and diagnostic challenges of liver cancer metastasizing to the thyroid. It emphasizes the need for vigilance in patients with known primary malignancies, especially hepatocellular carcinoma, presenting with new thyroid abnormalities. This advocates for a comprehensive diagnostic approach in such atypical presentations.</p>\",\"PeriodicalId\":19534,\"journal\":{\"name\":\"OncoTargets and therapy\",\"volume\":\"17 \",\"pages\":\"1033-1039\"},\"PeriodicalIF\":2.8000,\"publicationDate\":\"2024-11-14\",\"publicationTypes\":\"Journal Article\",\"fieldsOfStudy\":null,\"isOpenAccess\":false,\"openAccessPdf\":\"https://www.ncbi.nlm.nih.gov/pmc/articles/PMC11572053/pdf/\",\"citationCount\":\"0\",\"resultStr\":null,\"platform\":\"Semanticscholar\",\"paperid\":null,\"PeriodicalName\":\"OncoTargets and therapy\",\"FirstCategoryId\":\"3\",\"ListUrlMain\":\"https://doi.org/10.2147/OTT.S481613\",\"RegionNum\":4,\"RegionCategory\":\"医学\",\"ArticlePicture\":[],\"TitleCN\":null,\"AbstractTextCN\":null,\"PMCID\":null,\"EPubDate\":\"2024/1/1 0:00:00\",\"PubModel\":\"eCollection\",\"JCR\":\"Q3\",\"JCRName\":\"BIOTECHNOLOGY & APPLIED MICROBIOLOGY\",\"Score\":null,\"Total\":0}","platform":"Semanticscholar","paperid":null,"PeriodicalName":"OncoTargets and therapy","FirstCategoryId":"3","ListUrlMain":"https://doi.org/10.2147/OTT.S481613","RegionNum":4,"RegionCategory":"医学","ArticlePicture":[],"TitleCN":null,"AbstractTextCN":null,"PMCID":null,"EPubDate":"2024/1/1 0:00:00","PubModel":"eCollection","JCR":"Q3","JCRName":"BIOTECHNOLOGY & APPLIED MICROBIOLOGY","Score":null,"Total":0}
引用次数: 0

摘要

背景:甲状腺从远处原发肿瘤转移的情况并不常见,其中肝癌是一个特别罕见的来源。本病例报告描述了一名患有慢性乙型肝炎、肝硬化和肝细胞癌的患者甲状腺肿块的临床挑战和诊断过程,强调了这种转移关系的罕见性和复杂性:一名 63 岁的男性患者,长期患有乙型肝炎相关肝硬化,最近被诊断为肝细胞癌,其右侧甲状腺肿块迅速增大,疼痛并伴有肿胀,但无发热或发音障碍等全身症状。这促使他接受了全面的诊断检查。颈部增强扫描显示肿块可能来自甲状腺,并伴有气管压迫,但关键的是,胸部 CT 没有显示肺部受累。尽管肝脏转移至甲状腺的情况非常罕见,但患者多方面的病史需要进行广泛的鉴别诊断:手术治疗包括在全身麻醉下进行右侧甲状腺切除术和左侧甲状腺部分切除术。组织病理学检查意外证实了原发性肝肿瘤转移性甲状腺癌的存在。这导致了进一步的广泛手术治疗,包括颈部中央区域的淋巴结清扫。术后治疗方案进行了调整,包括甲状腺激素替代和肝细胞癌的持续治疗。对患者术后恢复情况进行了密切监测,结果显示病情稳定,没有出现直接并发症:本病例凸显了肝癌转移至甲状腺的临床罕见性和诊断难题。结论:本病例凸显了肝癌转移至甲状腺的临床罕见性和诊断难题,强调了对已知有原发性恶性肿瘤(尤其是肝细胞癌)但出现新的甲状腺异常的患者保持警惕的必要性。这主张对此类非典型表现采取综合诊断方法。
本文章由计算机程序翻译,如有差异,请以英文原文为准。

Thyroid Gland as a Metastatic Site for Hepatocellular Carcinoma: A Rare Case Report.

Thyroid Gland as a Metastatic Site for Hepatocellular Carcinoma: A Rare Case Report.

Thyroid Gland as a Metastatic Site for Hepatocellular Carcinoma: A Rare Case Report.

Thyroid Gland as a Metastatic Site for Hepatocellular Carcinoma: A Rare Case Report.

Background: Thyroid gland metastasis from distant primary tumors is uncommon, with liver cancer being a particularly rare source. This case report describes the clinical challenges and diagnostic journey of a thyroid mass in a patient with chronic hepatitis B, liver cirrhosis, and hepatocellular carcinoma, underscoring the rarity and complexity of such metastatic relationships.

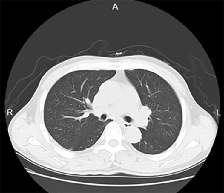
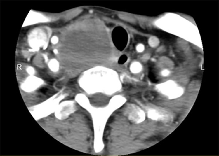
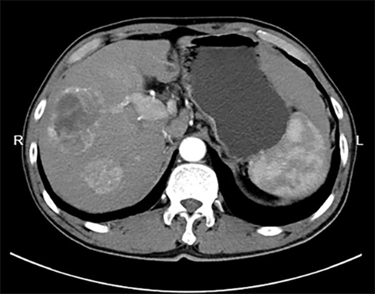
Case presentation: A 63-year-old male with a long-standing history of hepatitis B-related liver cirrhosis and a recent diagnosis of hepatocellular carcinoma presented with a rapidly enlarging painful right-sided thyroid mass associated with swelling but no systemic symptoms such as fever or dysphonia. This prompted a thorough diagnostic workup. Enhanced neck scans indicated a mass potentially originating from the thyroid with tracheal compression, yet crucially, there was no evidence of lung involvement based on the chest CT. Despite the rarity of liver-to-thyroid metastasis, the patient's multifaceted medical history warranted a broad differential diagnosis.

Intervention and outcome: Surgical intervention included a right-sided thyroidectomy and partial left thyroidectomy under general anesthesia. Histopathological examination unexpectedly confirmed the presence of metastatic thyroid cancer originating from the primary liver tumor. This led to further extensive surgical management, including lymph node dissection in the central neck area. The postoperative regimen was adapted to include thyroid hormone replacement and ongoing treatment for hepatocellular carcinoma. The patient's postoperative recovery was closely monitored, reflecting stable disease with no immediate complications.

Conclusion: This case highlights the clinical rarity and diagnostic challenges of liver cancer metastasizing to the thyroid. It emphasizes the need for vigilance in patients with known primary malignancies, especially hepatocellular carcinoma, presenting with new thyroid abnormalities. This advocates for a comprehensive diagnostic approach in such atypical presentations.

求助全文
通过发布文献求助,成功后即可免费获取论文全文。 去求助
来源期刊
OncoTargets and therapy
OncoTargets and therapy BIOTECHNOLOGY & APPLIED MICROBIOLOGY-ONCOLOGY
CiteScore
9.70
自引率
0.00%
发文量
221
审稿时长
1 months
期刊介绍: OncoTargets and Therapy is an international, peer-reviewed journal focusing on molecular aspects of cancer research, that is, the molecular diagnosis of and targeted molecular or precision therapy for all types of cancer. The journal is characterized by the rapid reporting of high-quality original research, basic science, reviews and evaluations, expert opinion and commentary that shed novel insight on a cancer or cancer subtype. Specific topics covered by the journal include: -Novel therapeutic targets and innovative agents -Novel therapeutic regimens for improved benefit and/or decreased side effects -Early stage clinical trials Further considerations when submitting to OncoTargets and Therapy: -Studies containing in vivo animal model data will be considered favorably. -Tissue microarray analyses will not be considered except in cases where they are supported by comprehensive biological studies involving multiple cell lines. -Biomarker association studies will be considered only when validated by comprehensive in vitro data and analysis of human tissue samples. -Studies utilizing publicly available data (e.g. GWAS/TCGA/GEO etc.) should add to the body of knowledge about a specific disease or relevant phenotype and must be validated using the authors’ own data through replication in an independent sample set and functional follow-up. -Bioinformatics studies must be validated using the authors’ own data through replication in an independent sample set and functional follow-up. -Single nucleotide polymorphism (SNP) studies will not be considered.
×
引用
GB/T 7714-2015
复制
MLA
复制
APA
复制
导出至
BibTeX EndNote RefMan NoteFirst NoteExpress
×
提示
您的信息不完整,为了账户安全,请先补充。
现在去补充
×
提示
您因"违规操作"
具体请查看互助需知
我知道了
×
提示
确定
请完成安全验证×
copy
已复制链接
快去分享给好友吧!
我知道了
右上角分享
点击右上角分享
0
联系我们:info@booksci.cn Book学术提供免费学术资源搜索服务,方便国内外学者检索中英文文献。致力于提供最便捷和优质的服务体验。 Copyright © 2023 布克学术 All rights reserved.
京ICP备2023020795号-1
ghs 京公网安备 11010802042870号
Book学术文献互助
Book学术文献互助群
群 号:604180095
Book学术官方微信