无性淋巴瘤激酶阴性原发性系统性无性大细胞淋巴瘤模仿头皮表皮囊肿破裂:病例报告和文献综述。

Q2 Medicine
Archives of Craniofacial Surgery Pub Date : 2024-12-01 Epub Date: 2024-11-18 DOI:10.7181/acfs.2024.00262
Il Young Ahn, Tae Hui Bae, Shin Hyuk Kang, Soo Hyun Woo, Woo Ju Kim, Min Eui Hong, Han Koo Kim
{"title":"无性淋巴瘤激酶阴性原发性系统性无性大细胞淋巴瘤模仿头皮表皮囊肿破裂:病例报告和文献综述。","authors":"Il Young Ahn, Tae Hui Bae, Shin Hyuk Kang, Soo Hyun Woo, Woo Ju Kim, Min Eui Hong, Han Koo Kim","doi":"10.7181/acfs.2024.00262","DOIUrl":null,"url":null,"abstract":"<p><p>The incidence of anaplastic large cell lymphoma is 0.25 cases per 100,000 people. It usually causes lymphadenopathy and B symptoms; however, diverse cutaneous manifestations can also be observed. We report a rare case of anaplastic large cell lymphoma of the scalp, which presented similarly to a ruptured epidermal cyst. A 77-year-old woman visited the outpatient clinic complaining of scalp masses that had appeared 2 months before. One week before her visit, she had undergone incision and drainage at a local clinic but showed no improvement. Before surgery, facial magnetic resonance imaging revealed two suspicious ruptured cystic masses. Surgical excision was performed with a 1-cm free margin from the soft mass. Histopathology confirmed anaplastic lymphoma kinase-negative anaplastic large cell lymphoma. After wide excision and skin grafting for wound reconstruction, followed by consultation with a hemato-oncologist and radiation oncologist, chemotherapy was planned to prevent recurrence. Differentiating anaplastic lymphoma kinase-negative anaplastic large cell lymphoma of the scalp from a ruptured epidermal cyst-like mass proved challenging. We recommend considering the possibility of anaplastic large cell lymphoma if an epidermal cyst-like mass does not respond to antibiotics or conventional dressing, as illustrated by our rare case.</p>","PeriodicalId":52238,"journal":{"name":"Archives of Craniofacial Surgery","volume":" ","pages":"298-302"},"PeriodicalIF":0.0000,"publicationDate":"2024-12-01","publicationTypes":"Journal Article","fieldsOfStudy":null,"isOpenAccess":false,"openAccessPdf":"https://www.ncbi.nlm.nih.gov/pmc/articles/PMC11704716/pdf/","citationCount":"0","resultStr":"{\"title\":\"Anaplastic lymphoma kinase-negative primary systemic anaplastic large cell lymphoma mimicking a ruptured epidermal cyst of the scalp: a case report and literature review.\",\"authors\":\"Il Young Ahn, Tae Hui Bae, Shin Hyuk Kang, Soo Hyun Woo, Woo Ju Kim, Min Eui Hong, Han Koo Kim\",\"doi\":\"10.7181/acfs.2024.00262\",\"DOIUrl\":null,\"url\":null,\"abstract\":\"<p><p>The incidence of anaplastic large cell lymphoma is 0.25 cases per 100,000 people. It usually causes lymphadenopathy and B symptoms; however, diverse cutaneous manifestations can also be observed. We report a rare case of anaplastic large cell lymphoma of the scalp, which presented similarly to a ruptured epidermal cyst. A 77-year-old woman visited the outpatient clinic complaining of scalp masses that had appeared 2 months before. One week before her visit, she had undergone incision and drainage at a local clinic but showed no improvement. Before surgery, facial magnetic resonance imaging revealed two suspicious ruptured cystic masses. Surgical excision was performed with a 1-cm free margin from the soft mass. Histopathology confirmed anaplastic lymphoma kinase-negative anaplastic large cell lymphoma. After wide excision and skin grafting for wound reconstruction, followed by consultation with a hemato-oncologist and radiation oncologist, chemotherapy was planned to prevent recurrence. Differentiating anaplastic lymphoma kinase-negative anaplastic large cell lymphoma of the scalp from a ruptured epidermal cyst-like mass proved challenging. We recommend considering the possibility of anaplastic large cell lymphoma if an epidermal cyst-like mass does not respond to antibiotics or conventional dressing, as illustrated by our rare case.</p>\",\"PeriodicalId\":52238,\"journal\":{\"name\":\"Archives of Craniofacial Surgery\",\"volume\":\" \",\"pages\":\"298-302\"},\"PeriodicalIF\":0.0000,\"publicationDate\":\"2024-12-01\",\"publicationTypes\":\"Journal Article\",\"fieldsOfStudy\":null,\"isOpenAccess\":false,\"openAccessPdf\":\"https://www.ncbi.nlm.nih.gov/pmc/articles/PMC11704716/pdf/\",\"citationCount\":\"0\",\"resultStr\":null,\"platform\":\"Semanticscholar\",\"paperid\":null,\"PeriodicalName\":\"Archives of Craniofacial Surgery\",\"FirstCategoryId\":\"1085\",\"ListUrlMain\":\"https://doi.org/10.7181/acfs.2024.00262\",\"RegionNum\":0,\"RegionCategory\":null,\"ArticlePicture\":[],\"TitleCN\":null,\"AbstractTextCN\":null,\"PMCID\":null,\"EPubDate\":\"2024/11/18 0:00:00\",\"PubModel\":\"Epub\",\"JCR\":\"Q2\",\"JCRName\":\"Medicine\",\"Score\":null,\"Total\":0}","platform":"Semanticscholar","paperid":null,"PeriodicalName":"Archives of Craniofacial Surgery","FirstCategoryId":"1085","ListUrlMain":"https://doi.org/10.7181/acfs.2024.00262","RegionNum":0,"RegionCategory":null,"ArticlePicture":[],"TitleCN":null,"AbstractTextCN":null,"PMCID":null,"EPubDate":"2024/11/18 0:00:00","PubModel":"Epub","JCR":"Q2","JCRName":"Medicine","Score":null,"Total":0}
引用次数: 0

摘要

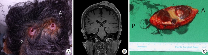
无细胞大细胞淋巴瘤的发病率为每 10 万人中 0.25 例。它通常会引起淋巴结病变和 B 型症状,但也可出现多种皮肤表现。我们报告了一例罕见的头皮无弹性大细胞淋巴瘤病例,其表现与表皮囊肿破裂相似。一位 77 岁的妇女前来门诊就诊,主诉两个月前出现头皮肿块。就诊前一周,她在当地一家诊所接受了切开引流术,但没有好转。手术前,面部磁共振成像显示有两个可疑的破裂囊性肿块。手术切除时,软肿块的游离缘为 1 厘米。组织病理学证实为非典型淋巴瘤激酶阴性的非典型大细胞淋巴瘤。在广泛切除和植皮重建伤口后,患者接受了血液肿瘤专家和放射肿瘤专家的会诊,并计划接受化疗以防止复发。事实证明,将头皮上的无细胞淋巴瘤激酶阴性无细胞大细胞淋巴瘤与表皮囊肿样破裂肿块区分开来是一项挑战。我们建议,如果表皮囊肿样肿块对抗生素或常规敷料无效,应考虑无性大细胞淋巴瘤的可能性,我们的罕见病例就说明了这一点。
本文章由计算机程序翻译,如有差异,请以英文原文为准。

Anaplastic lymphoma kinase-negative primary systemic anaplastic large cell lymphoma mimicking a ruptured epidermal cyst of the scalp: a case report and literature review.

Anaplastic lymphoma kinase-negative primary systemic anaplastic large cell lymphoma mimicking a ruptured epidermal cyst of the scalp: a case report and literature review.

Anaplastic lymphoma kinase-negative primary systemic anaplastic large cell lymphoma mimicking a ruptured epidermal cyst of the scalp: a case report and literature review.

Anaplastic lymphoma kinase-negative primary systemic anaplastic large cell lymphoma mimicking a ruptured epidermal cyst of the scalp: a case report and literature review.

The incidence of anaplastic large cell lymphoma is 0.25 cases per 100,000 people. It usually causes lymphadenopathy and B symptoms; however, diverse cutaneous manifestations can also be observed. We report a rare case of anaplastic large cell lymphoma of the scalp, which presented similarly to a ruptured epidermal cyst. A 77-year-old woman visited the outpatient clinic complaining of scalp masses that had appeared 2 months before. One week before her visit, she had undergone incision and drainage at a local clinic but showed no improvement. Before surgery, facial magnetic resonance imaging revealed two suspicious ruptured cystic masses. Surgical excision was performed with a 1-cm free margin from the soft mass. Histopathology confirmed anaplastic lymphoma kinase-negative anaplastic large cell lymphoma. After wide excision and skin grafting for wound reconstruction, followed by consultation with a hemato-oncologist and radiation oncologist, chemotherapy was planned to prevent recurrence. Differentiating anaplastic lymphoma kinase-negative anaplastic large cell lymphoma of the scalp from a ruptured epidermal cyst-like mass proved challenging. We recommend considering the possibility of anaplastic large cell lymphoma if an epidermal cyst-like mass does not respond to antibiotics or conventional dressing, as illustrated by our rare case.

求助全文
通过发布文献求助,成功后即可免费获取论文全文。 去求助
来源期刊
Archives of Craniofacial Surgery
Archives of Craniofacial Surgery Medicine-Otorhinolaryngology
CiteScore
2.90
自引率
0.00%
发文量
44
×
引用
GB/T 7714-2015
复制
MLA
复制
APA
复制
导出至
BibTeX EndNote RefMan NoteFirst NoteExpress
×
提示
您的信息不完整,为了账户安全,请先补充。
现在去补充
×
提示
您因"违规操作"
具体请查看互助需知
我知道了
×
提示
确定
请完成安全验证×
copy
已复制链接
快去分享给好友吧!
我知道了
右上角分享
点击右上角分享
0
联系我们:info@booksci.cn Book学术提供免费学术资源搜索服务,方便国内外学者检索中英文文献。致力于提供最便捷和优质的服务体验。 Copyright © 2023 布克学术 All rights reserved.
京ICP备2023020795号-1
ghs 京公网安备 11010802042870号
Book学术文献互助
Book学术文献互助群
群 号:604180095
Book学术官方微信