弥散加权磁共振成像(DW-MRI)在甲状腺结节分化中的有效性。

IF 1.8 Q3 ENDOCRINOLOGY & METABOLISM
Bilgen Mehpare Özer, Yüksel Pabuşçu, Serdar Tarhan, Gülgün Yılmaz Ovalı, Hasan Aydede, Peyker Demireli, Tuğba Karadeniz
{"title":"弥散加权磁共振成像(DW-MRI)在甲状腺结节分化中的有效性。","authors":"Bilgen Mehpare Özer, Yüksel Pabuşçu, Serdar Tarhan, Gülgün Yılmaz Ovalı, Hasan Aydede, Peyker Demireli, Tuğba Karadeniz","doi":"10.1186/s13044-024-00210-x","DOIUrl":null,"url":null,"abstract":"<p><strong>Background: </strong>The aim was to investigate which of two different b values (b 500 s/mm² and b 800 s/mm²) are more effective in the differentiation of benign-malignant nodules using Diffusion-Weighted Magnetic Resonance Imaging (DW-MRI).</p><p><strong>Materials and methods: </strong>Patients presenting with a preoperative diagnosis of nodular goiter or multinodular goiter were included in this study. These patients underwent neck MRI examinations, and their cases were analyzed retrospectively. A total of 26 patients were included in the study. A total of 46 nodules meeting the study criteria were examined. Measurements were performed on Apparent Diffusion Coefficient (ADC) maps of patients at two different b values (b 500 s/mm² and b 800 s/mm²), and the results were compared with histopathological findings.</p><p><strong>Results: </strong>Out of a total of 46 nodules, 37 were identified as benign, and 9 as malignant based on histopathological analysis. The mean ADC value at b 500 was lower in malignant nodules (1259.65 ± 328.13) compared to benign nodules (19037.48 ± 472.74). Similarly, the mean ADC value at b 800 was lower in malignant nodules (1081.72 ± 200.23) compared to benign nodules (1610.44 ± 418.06). When a cut-off value of 1.1 × 10<sup>- 3</sup> was accepted for the differentiation of pathology, the sensitivity for distinguishing pathology with ADC values at b 500 was 83.3%, with a specificity of 90.0%, and for ADC values at b 800, the sensitivity was 71.4%, with a specificity of 89.7%.</p><p><strong>Conclusion: </strong>DW-MRI without the need for contrast agent administration is a useful method in the differentiation of benign-malignant thyroid nodules.</p>","PeriodicalId":39048,"journal":{"name":"Thyroid Research","volume":"17 1","pages":"24"},"PeriodicalIF":1.8000,"publicationDate":"2024-11-18","publicationTypes":"Journal Article","fieldsOfStudy":null,"isOpenAccess":false,"openAccessPdf":"https://www.ncbi.nlm.nih.gov/pmc/articles/PMC11571896/pdf/","citationCount":"0","resultStr":"{\"title\":\"Effectiveness of diffusion-weighted magnetic resonance imaging (DW-MRI) in the differentiation of thyroid nodules.\",\"authors\":\"Bilgen Mehpare Özer, Yüksel Pabuşçu, Serdar Tarhan, Gülgün Yılmaz Ovalı, Hasan Aydede, Peyker Demireli, Tuğba Karadeniz\",\"doi\":\"10.1186/s13044-024-00210-x\",\"DOIUrl\":null,\"url\":null,\"abstract\":\"<p><strong>Background: </strong>The aim was to investigate which of two different b values (b 500 s/mm² and b 800 s/mm²) are more effective in the differentiation of benign-malignant nodules using Diffusion-Weighted Magnetic Resonance Imaging (DW-MRI).</p><p><strong>Materials and methods: </strong>Patients presenting with a preoperative diagnosis of nodular goiter or multinodular goiter were included in this study. These patients underwent neck MRI examinations, and their cases were analyzed retrospectively. A total of 26 patients were included in the study. A total of 46 nodules meeting the study criteria were examined. Measurements were performed on Apparent Diffusion Coefficient (ADC) maps of patients at two different b values (b 500 s/mm² and b 800 s/mm²), and the results were compared with histopathological findings.</p><p><strong>Results: </strong>Out of a total of 46 nodules, 37 were identified as benign, and 9 as malignant based on histopathological analysis. The mean ADC value at b 500 was lower in malignant nodules (1259.65 ± 328.13) compared to benign nodules (19037.48 ± 472.74). Similarly, the mean ADC value at b 800 was lower in malignant nodules (1081.72 ± 200.23) compared to benign nodules (1610.44 ± 418.06). When a cut-off value of 1.1 × 10<sup>- 3</sup> was accepted for the differentiation of pathology, the sensitivity for distinguishing pathology with ADC values at b 500 was 83.3%, with a specificity of 90.0%, and for ADC values at b 800, the sensitivity was 71.4%, with a specificity of 89.7%.</p><p><strong>Conclusion: </strong>DW-MRI without the need for contrast agent administration is a useful method in the differentiation of benign-malignant thyroid nodules.</p>\",\"PeriodicalId\":39048,\"journal\":{\"name\":\"Thyroid Research\",\"volume\":\"17 1\",\"pages\":\"24\"},\"PeriodicalIF\":1.8000,\"publicationDate\":\"2024-11-18\",\"publicationTypes\":\"Journal Article\",\"fieldsOfStudy\":null,\"isOpenAccess\":false,\"openAccessPdf\":\"https://www.ncbi.nlm.nih.gov/pmc/articles/PMC11571896/pdf/\",\"citationCount\":\"0\",\"resultStr\":null,\"platform\":\"Semanticscholar\",\"paperid\":null,\"PeriodicalName\":\"Thyroid Research\",\"FirstCategoryId\":\"1085\",\"ListUrlMain\":\"https://doi.org/10.1186/s13044-024-00210-x\",\"RegionNum\":0,\"RegionCategory\":null,\"ArticlePicture\":[],\"TitleCN\":null,\"AbstractTextCN\":null,\"PMCID\":null,\"EPubDate\":\"\",\"PubModel\":\"\",\"JCR\":\"Q3\",\"JCRName\":\"ENDOCRINOLOGY & METABOLISM\",\"Score\":null,\"Total\":0}","platform":"Semanticscholar","paperid":null,"PeriodicalName":"Thyroid Research","FirstCategoryId":"1085","ListUrlMain":"https://doi.org/10.1186/s13044-024-00210-x","RegionNum":0,"RegionCategory":null,"ArticlePicture":[],"TitleCN":null,"AbstractTextCN":null,"PMCID":null,"EPubDate":"","PubModel":"","JCR":"Q3","JCRName":"ENDOCRINOLOGY & METABOLISM","Score":null,"Total":0}
引用次数: 0

摘要

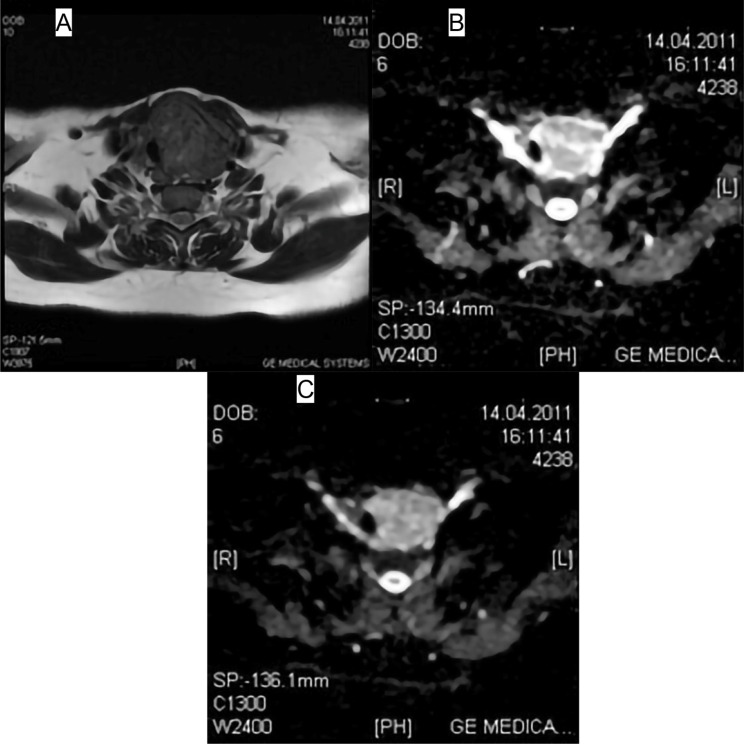
背景:目的是研究两种不同的b值(b 500 s/mm²和b 800 s/mm²)在使用弥散加权磁共振成像(DW-MRI)区分良恶性结节时哪个更有效:研究对象包括术前诊断为结节性甲状腺肿或多结节性甲状腺肿的患者。这些患者接受了颈部核磁共振成像检查,并对其病例进行了回顾性分析。研究共纳入了 26 名患者。共检查了 46 个符合研究标准的结节。在两种不同的b值(b 500 s/mm²和b 800 s/mm²)下对患者的表观扩散系数(ADC)图进行测量,并将结果与组织病理学结果进行比较:在总共 46 个结节中,根据组织病理学分析,37 个被确定为良性,9 个为恶性。恶性结节在 b 500 处的平均 ADC 值(1259.65 ± 328.13)低于良性结节(19037.48 ± 472.74)。同样,与良性结节(1610.44 ± 418.06)相比,恶性结节在 b 800 时的平均 ADC 值(1081.72 ± 200.23)也较低。如果以 1.1 × 10- 3 作为区分病理的临界值,则 b 500 ADC 值区分病理的灵敏度为 83.3%,特异度为 90.0%;b 800 ADC 值的灵敏度为 71.4%,特异度为 89.7%:结论:无需使用造影剂的 DW-MRI 是区分甲状腺结节良恶性的有效方法。
本文章由计算机程序翻译,如有差异,请以英文原文为准。

Effectiveness of diffusion-weighted magnetic resonance imaging (DW-MRI) in the differentiation of thyroid nodules.

Effectiveness of diffusion-weighted magnetic resonance imaging (DW-MRI) in the differentiation of thyroid nodules.

Effectiveness of diffusion-weighted magnetic resonance imaging (DW-MRI) in the differentiation of thyroid nodules.

Effectiveness of diffusion-weighted magnetic resonance imaging (DW-MRI) in the differentiation of thyroid nodules.

Background: The aim was to investigate which of two different b values (b 500 s/mm² and b 800 s/mm²) are more effective in the differentiation of benign-malignant nodules using Diffusion-Weighted Magnetic Resonance Imaging (DW-MRI).

Materials and methods: Patients presenting with a preoperative diagnosis of nodular goiter or multinodular goiter were included in this study. These patients underwent neck MRI examinations, and their cases were analyzed retrospectively. A total of 26 patients were included in the study. A total of 46 nodules meeting the study criteria were examined. Measurements were performed on Apparent Diffusion Coefficient (ADC) maps of patients at two different b values (b 500 s/mm² and b 800 s/mm²), and the results were compared with histopathological findings.

Results: Out of a total of 46 nodules, 37 were identified as benign, and 9 as malignant based on histopathological analysis. The mean ADC value at b 500 was lower in malignant nodules (1259.65 ± 328.13) compared to benign nodules (19037.48 ± 472.74). Similarly, the mean ADC value at b 800 was lower in malignant nodules (1081.72 ± 200.23) compared to benign nodules (1610.44 ± 418.06). When a cut-off value of 1.1 × 10- 3 was accepted for the differentiation of pathology, the sensitivity for distinguishing pathology with ADC values at b 500 was 83.3%, with a specificity of 90.0%, and for ADC values at b 800, the sensitivity was 71.4%, with a specificity of 89.7%.

Conclusion: DW-MRI without the need for contrast agent administration is a useful method in the differentiation of benign-malignant thyroid nodules.

求助全文
通过发布文献求助,成功后即可免费获取论文全文。 去求助
来源期刊
Thyroid Research
Thyroid Research Medicine-Endocrinology, Diabetes and Metabolism
CiteScore
3.10
自引率
4.50%
发文量
21
审稿时长
8 weeks
×
引用
GB/T 7714-2015
复制
MLA
复制
APA
复制
导出至
BibTeX EndNote RefMan NoteFirst NoteExpress
×
提示
您的信息不完整,为了账户安全,请先补充。
现在去补充
×
提示
您因"违规操作"
具体请查看互助需知
我知道了
×
提示
确定
请完成安全验证×
copy
已复制链接
快去分享给好友吧!
我知道了
右上角分享
点击右上角分享
0
联系我们:info@booksci.cn Book学术提供免费学术资源搜索服务,方便国内外学者检索中英文文献。致力于提供最便捷和优质的服务体验。 Copyright © 2023 布克学术 All rights reserved.
京ICP备2023020795号-1
ghs 京公网安备 11010802042870号
Book学术文献互助
Book学术文献互助群
群 号:604180095
Book学术官方微信