由副丝状念珠菌引起的人工瓣膜心内膜炎导致的心栓塞性中风:病例报告。

IF 0.8 Q4 INFECTIOUS DISEASES
Case Reports in Infectious Diseases Pub Date : 2024-11-09 eCollection Date: 2024-01-01 DOI:10.1155/2024/5581547
Mohammad Nasser Affas, Yamane Chawa, Mohammad Salem Khalil, Sham Alkodmani
{"title":"由副丝状念珠菌引起的人工瓣膜心内膜炎导致的心栓塞性中风:病例报告。","authors":"Mohammad Nasser Affas, Yamane Chawa, Mohammad Salem Khalil, Sham Alkodmani","doi":"10.1155/2024/5581547","DOIUrl":null,"url":null,"abstract":"<p><p>Embolic stroke due to prosthetic valve endocarditis (PVE) caused by <i>Candida parapsilosis</i> is a rare and serious complication. Successful management requires a combination of medical and surgical approaches. We present a case full of complexities in diagnosing and managing <i>Candida</i> PVE, emphasizing the importance of a multidisciplinary approach. A 50 year-old male presented to the emergency department with vertigo and low-grade fever and was found to have cerebellar stroke likely from the cardioembolic origin, and the patient had a history of uncontrolled diabetes and double prosthetic valves. The diagnosis was challenging and required transesophageal echocardiography (TEE) which showed two vegetations attached to the mitral valve prosthesis. The management involved antifungal therapy, but surgery was hindered by financial issues. The patient was considered for the AngioVac vegetation aspiration system due to persistent fungemia. Eventually, surgery was not performed, and the patient was discharged with a plan for long-term suppressive antifungal therapy.</p>","PeriodicalId":9608,"journal":{"name":"Case Reports in Infectious Diseases","volume":"2024 ","pages":"5581547"},"PeriodicalIF":0.8000,"publicationDate":"2024-11-09","publicationTypes":"Journal Article","fieldsOfStudy":null,"isOpenAccess":false,"openAccessPdf":"https://www.ncbi.nlm.nih.gov/pmc/articles/PMC11568888/pdf/","citationCount":"0","resultStr":"{\"title\":\"Cardioembolic Stroke Due to Prosthetic Valve Endocarditis Caused by <i>Candida parapsilosis</i>: A Case Report.\",\"authors\":\"Mohammad Nasser Affas, Yamane Chawa, Mohammad Salem Khalil, Sham Alkodmani\",\"doi\":\"10.1155/2024/5581547\",\"DOIUrl\":null,\"url\":null,\"abstract\":\"<p><p>Embolic stroke due to prosthetic valve endocarditis (PVE) caused by <i>Candida parapsilosis</i> is a rare and serious complication. Successful management requires a combination of medical and surgical approaches. We present a case full of complexities in diagnosing and managing <i>Candida</i> PVE, emphasizing the importance of a multidisciplinary approach. A 50 year-old male presented to the emergency department with vertigo and low-grade fever and was found to have cerebellar stroke likely from the cardioembolic origin, and the patient had a history of uncontrolled diabetes and double prosthetic valves. The diagnosis was challenging and required transesophageal echocardiography (TEE) which showed two vegetations attached to the mitral valve prosthesis. The management involved antifungal therapy, but surgery was hindered by financial issues. The patient was considered for the AngioVac vegetation aspiration system due to persistent fungemia. Eventually, surgery was not performed, and the patient was discharged with a plan for long-term suppressive antifungal therapy.</p>\",\"PeriodicalId\":9608,\"journal\":{\"name\":\"Case Reports in Infectious Diseases\",\"volume\":\"2024 \",\"pages\":\"5581547\"},\"PeriodicalIF\":0.8000,\"publicationDate\":\"2024-11-09\",\"publicationTypes\":\"Journal Article\",\"fieldsOfStudy\":null,\"isOpenAccess\":false,\"openAccessPdf\":\"https://www.ncbi.nlm.nih.gov/pmc/articles/PMC11568888/pdf/\",\"citationCount\":\"0\",\"resultStr\":null,\"platform\":\"Semanticscholar\",\"paperid\":null,\"PeriodicalName\":\"Case Reports in Infectious Diseases\",\"FirstCategoryId\":\"1085\",\"ListUrlMain\":\"https://doi.org/10.1155/2024/5581547\",\"RegionNum\":0,\"RegionCategory\":null,\"ArticlePicture\":[],\"TitleCN\":null,\"AbstractTextCN\":null,\"PMCID\":null,\"EPubDate\":\"2024/1/1 0:00:00\",\"PubModel\":\"eCollection\",\"JCR\":\"Q4\",\"JCRName\":\"INFECTIOUS DISEASES\",\"Score\":null,\"Total\":0}","platform":"Semanticscholar","paperid":null,"PeriodicalName":"Case Reports in Infectious Diseases","FirstCategoryId":"1085","ListUrlMain":"https://doi.org/10.1155/2024/5581547","RegionNum":0,"RegionCategory":null,"ArticlePicture":[],"TitleCN":null,"AbstractTextCN":null,"PMCID":null,"EPubDate":"2024/1/1 0:00:00","PubModel":"eCollection","JCR":"Q4","JCRName":"INFECTIOUS DISEASES","Score":null,"Total":0}
引用次数: 0

摘要

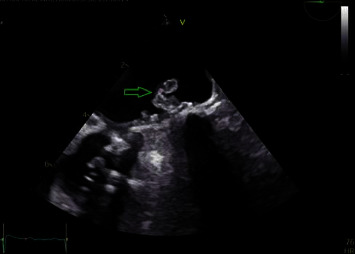
由副丝状念珠菌引起的人工瓣膜心内膜炎(PVE)导致的栓塞性中风是一种罕见的严重并发症。成功的治疗需要内科和外科相结合的方法。我们介绍了一个在诊断和治疗念珠菌性 PVE 时充满复杂性的病例,强调了多学科方法的重要性。一名50岁的男性因眩晕和低烧到急诊科就诊,被发现患有小脑卒中,很可能是心源性栓塞引起的,患者有未控制的糖尿病史和双人工瓣膜病史。诊断具有挑战性,需要进行经食道超声心动图(TEE)检查,结果显示二尖瓣假体上附着两个植被。治疗包括抗真菌治疗,但手术因经济问题而受阻。由于真菌血症持续存在,患者被考虑使用 AngioVac 植被抽吸系统。最终,手术没有进行,患者出院时计划接受长期抑制性抗真菌治疗。
本文章由计算机程序翻译,如有差异,请以英文原文为准。

Cardioembolic Stroke Due to Prosthetic Valve Endocarditis Caused by <i>Candida parapsilosis</i>: A Case Report.

Cardioembolic Stroke Due to Prosthetic Valve Endocarditis Caused by <i>Candida parapsilosis</i>: A Case Report.

Cardioembolic Stroke Due to Prosthetic Valve Endocarditis Caused by <i>Candida parapsilosis</i>: A Case Report.

Cardioembolic Stroke Due to Prosthetic Valve Endocarditis Caused by Candida parapsilosis: A Case Report.

Embolic stroke due to prosthetic valve endocarditis (PVE) caused by Candida parapsilosis is a rare and serious complication. Successful management requires a combination of medical and surgical approaches. We present a case full of complexities in diagnosing and managing Candida PVE, emphasizing the importance of a multidisciplinary approach. A 50 year-old male presented to the emergency department with vertigo and low-grade fever and was found to have cerebellar stroke likely from the cardioembolic origin, and the patient had a history of uncontrolled diabetes and double prosthetic valves. The diagnosis was challenging and required transesophageal echocardiography (TEE) which showed two vegetations attached to the mitral valve prosthesis. The management involved antifungal therapy, but surgery was hindered by financial issues. The patient was considered for the AngioVac vegetation aspiration system due to persistent fungemia. Eventually, surgery was not performed, and the patient was discharged with a plan for long-term suppressive antifungal therapy.

求助全文
通过发布文献求助,成功后即可免费获取论文全文。 去求助
来源期刊
自引率
0.00%
发文量
64
审稿时长
13 weeks
×
引用
GB/T 7714-2015
复制
MLA
复制
APA
复制
导出至
BibTeX EndNote RefMan NoteFirst NoteExpress
×
提示
您的信息不完整,为了账户安全,请先补充。
现在去补充
×
提示
您因"违规操作"
具体请查看互助需知
我知道了
×
提示
确定
请完成安全验证×
copy
已复制链接
快去分享给好友吧!
我知道了
右上角分享
点击右上角分享
0
联系我们:info@booksci.cn Book学术提供免费学术资源搜索服务,方便国内外学者检索中英文文献。致力于提供最便捷和优质的服务体验。 Copyright © 2023 布克学术 All rights reserved.
京ICP备2023020795号-1
ghs 京公网安备 11010802042870号
Book学术文献互助
Book学术文献互助群
群 号:604180095
Book学术官方微信