副球孢子菌病表现为模仿胆管癌的盲肠病变:一例异常肠道表现的病例报告。

IF 1.7 4区 医学 Q4 INFECTIOUS DISEASES
Eduarda Raunheitti Giesteira, Giovanna França Santore, Julia de Abreu Teixeira, Ezequias Batista Martins, Bianca Balzano de la Fuente Villar, Billy McBenedict, Karla Regina Oliveira de Moura Ronchini, Natalia Chilinque Zambão da Silva, Nilo Fernandes Leça Junior, Patrícia Yvonne Maciel Pinheiro, Remberto Maurício de La Cruz Vargas Vilte, Thais de Oliveira Vieira, Laura da Cunha Ferreira
{"title":"副球孢子菌病表现为模仿胆管癌的盲肠病变:一例异常肠道表现的病例报告。","authors":"Eduarda Raunheitti Giesteira, Giovanna França Santore, Julia de Abreu Teixeira, Ezequias Batista Martins, Bianca Balzano de la Fuente Villar, Billy McBenedict, Karla Regina Oliveira de Moura Ronchini, Natalia Chilinque Zambão da Silva, Nilo Fernandes Leça Junior, Patrícia Yvonne Maciel Pinheiro, Remberto Maurício de La Cruz Vargas Vilte, Thais de Oliveira Vieira, Laura da Cunha Ferreira","doi":"10.1590/S1678-9946202466063","DOIUrl":null,"url":null,"abstract":"<p><p>Paracoccidioidomycosis, the most important systemic mycosis in Latin America, is closely linked to rural activities. In Brazil, it is an endemic disease, with an estimated 4,000 to 6,000 annual cases, accounting for over 80% of the global diagnoses. We present an intriguing case of this disease with an intestinal manifestation in a 71-year-old woman. The involvement of the cecal appendix led to a complication of cholangitis that mimicked cholangiocarcinoma.</p>","PeriodicalId":54466,"journal":{"name":"Revista Do Instituto De Medicina Tropical De Sao Paulo","volume":"66 ","pages":"e63"},"PeriodicalIF":1.7000,"publicationDate":"2024-11-11","publicationTypes":"Journal Article","fieldsOfStudy":null,"isOpenAccess":false,"openAccessPdf":"https://www.ncbi.nlm.nih.gov/pmc/articles/PMC11556835/pdf/","citationCount":"0","resultStr":"{\"title\":\"Paracoccidioidomycosis presenting as a cecal lesion mimicking cholangiocarcinoma: a case report of unusual intestinal manifestation.\",\"authors\":\"Eduarda Raunheitti Giesteira, Giovanna França Santore, Julia de Abreu Teixeira, Ezequias Batista Martins, Bianca Balzano de la Fuente Villar, Billy McBenedict, Karla Regina Oliveira de Moura Ronchini, Natalia Chilinque Zambão da Silva, Nilo Fernandes Leça Junior, Patrícia Yvonne Maciel Pinheiro, Remberto Maurício de La Cruz Vargas Vilte, Thais de Oliveira Vieira, Laura da Cunha Ferreira\",\"doi\":\"10.1590/S1678-9946202466063\",\"DOIUrl\":null,\"url\":null,\"abstract\":\"<p><p>Paracoccidioidomycosis, the most important systemic mycosis in Latin America, is closely linked to rural activities. In Brazil, it is an endemic disease, with an estimated 4,000 to 6,000 annual cases, accounting for over 80% of the global diagnoses. We present an intriguing case of this disease with an intestinal manifestation in a 71-year-old woman. The involvement of the cecal appendix led to a complication of cholangitis that mimicked cholangiocarcinoma.</p>\",\"PeriodicalId\":54466,\"journal\":{\"name\":\"Revista Do Instituto De Medicina Tropical De Sao Paulo\",\"volume\":\"66 \",\"pages\":\"e63\"},\"PeriodicalIF\":1.7000,\"publicationDate\":\"2024-11-11\",\"publicationTypes\":\"Journal Article\",\"fieldsOfStudy\":null,\"isOpenAccess\":false,\"openAccessPdf\":\"https://www.ncbi.nlm.nih.gov/pmc/articles/PMC11556835/pdf/\",\"citationCount\":\"0\",\"resultStr\":null,\"platform\":\"Semanticscholar\",\"paperid\":null,\"PeriodicalName\":\"Revista Do Instituto De Medicina Tropical De Sao Paulo\",\"FirstCategoryId\":\"3\",\"ListUrlMain\":\"https://doi.org/10.1590/S1678-9946202466063\",\"RegionNum\":4,\"RegionCategory\":\"医学\",\"ArticlePicture\":[],\"TitleCN\":null,\"AbstractTextCN\":null,\"PMCID\":null,\"EPubDate\":\"2024/1/1 0:00:00\",\"PubModel\":\"eCollection\",\"JCR\":\"Q4\",\"JCRName\":\"INFECTIOUS DISEASES\",\"Score\":null,\"Total\":0}","platform":"Semanticscholar","paperid":null,"PeriodicalName":"Revista Do Instituto De Medicina Tropical De Sao Paulo","FirstCategoryId":"3","ListUrlMain":"https://doi.org/10.1590/S1678-9946202466063","RegionNum":4,"RegionCategory":"医学","ArticlePicture":[],"TitleCN":null,"AbstractTextCN":null,"PMCID":null,"EPubDate":"2024/1/1 0:00:00","PubModel":"eCollection","JCR":"Q4","JCRName":"INFECTIOUS DISEASES","Score":null,"Total":0}
引用次数: 0

摘要

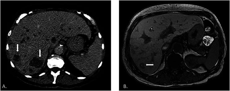
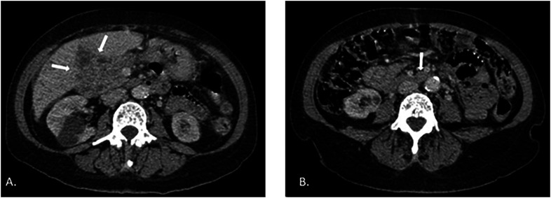
副球孢子菌病是拉丁美洲最重要的全身性真菌病,与农村活动密切相关。在巴西,它是一种地方病,估计每年有 4000 到 6000 个病例,占全球诊断病例的 80% 以上。我们介绍了一例罕见的病例,患者是一名 71 岁的妇女,以肠道表现为主。盲肠阑尾受累导致了胆管炎并发症,其症状与胆管癌相似。
本文章由计算机程序翻译,如有差异,请以英文原文为准。

Paracoccidioidomycosis presenting as a cecal lesion mimicking cholangiocarcinoma: a case report of unusual intestinal manifestation.

Paracoccidioidomycosis presenting as a cecal lesion mimicking cholangiocarcinoma: a case report of unusual intestinal manifestation.

Paracoccidioidomycosis presenting as a cecal lesion mimicking cholangiocarcinoma: a case report of unusual intestinal manifestation.

Paracoccidioidomycosis, the most important systemic mycosis in Latin America, is closely linked to rural activities. In Brazil, it is an endemic disease, with an estimated 4,000 to 6,000 annual cases, accounting for over 80% of the global diagnoses. We present an intriguing case of this disease with an intestinal manifestation in a 71-year-old woman. The involvement of the cecal appendix led to a complication of cholangitis that mimicked cholangiocarcinoma.

求助全文
通过发布文献求助,成功后即可免费获取论文全文。 去求助
来源期刊
CiteScore
3.60
自引率
5.30%
发文量
100
审稿时长
6-12 weeks
期刊介绍: The Revista do Instituto de Medicina Tropical de São Paulo (Journal of the São Paulo Institute of Tropical Medicine) is a journal devoted to research on different aspects of tropical infectious diseases. The journal welcomes original work on all infectious diseases, provided that data and results are directly linked to human health. The journal publishes, besides original articles, review articles, case reports, brief communications, and letters to the editor. The journal publishes manuscripts only in English. From 2016 on, the Revista do Instituto de Medicina Tropical de São Paulo (Journal of the São Paulo Institute of Tropical Medicine) is published online only, maintaining the free access. For more information visit: - http://www.scielo.br/rimtsp - http://www.imt.usp.br/revista-imt/
×
引用
GB/T 7714-2015
复制
MLA
复制
APA
复制
导出至
BibTeX EndNote RefMan NoteFirst NoteExpress
×
提示
您的信息不完整,为了账户安全,请先补充。
现在去补充
×
提示
您因"违规操作"
具体请查看互助需知
我知道了
×
提示
确定
请完成安全验证×
copy
已复制链接
快去分享给好友吧!
我知道了
右上角分享
点击右上角分享
0
联系我们:info@booksci.cn Book学术提供免费学术资源搜索服务,方便国内外学者检索中英文文献。致力于提供最便捷和优质的服务体验。 Copyright © 2023 布克学术 All rights reserved.
京ICP备2023020795号-1
ghs 京公网安备 11010802042870号
Book学术文献互助
Book学术文献互助群
群 号:604180095
Book学术官方微信