慢性外侧踝关节不稳的诊断策略:叙述性综述。

IF 0.9 4区 医学 Q4 ORTHOPEDICS
Annals of Joint Pub Date : 2024-10-29 eCollection Date: 2024-01-01 DOI:10.21037/aoj-24-31
Kohei Kamada, Yuichi Hoshino, Tetsuya Yamamoto, Masamune Kamachi, Noriyuki Kanzaki, Ryosuke Kuroda
{"title":"慢性外侧踝关节不稳的诊断策略:叙述性综述。","authors":"Kohei Kamada, Yuichi Hoshino, Tetsuya Yamamoto, Masamune Kamachi, Noriyuki Kanzaki, Ryosuke Kuroda","doi":"10.21037/aoj-24-31","DOIUrl":null,"url":null,"abstract":"<p><strong>Background and objective: </strong>Diagnosing chronic lateral ankle instability (CLAI) involves a comprehensive evaluation encompassing medical history, physical findings, and imaging examination. The optimal method of diagnosis of CLAI remains controversial. Therefore, the objective of this review was to summarize the current literatures regarding recent evolution and technical improvement of diagnostic methods for CLAI.</p><p><strong>Methods: </strong>A literature regarding the diagnosis of CLAI was reviewed on PubMed, including articles written in English until May 2024.</p><p><strong>Key content and findings: </strong>In the manual examination for the diagnosis of CLAI, the anterior drawer test is the standard evaluation for lateral ligament insufficiency. The anterolateral drawer test, meanwhile, which focuses more on lateral instability biomechanically, has also been performed. Ultrasonography is a point-of-care tool that is less invasive than stress radiography and can dynamically assess ligament integrity, making the diagnosis of CLAI more accurate and convenient. Magnetic resonance imaging (MRI) is a useful modality that allows extensive preoperative evaluation of ligamentous properties and associated osteochondral damage, and it is essential in the preoperative diagnosis of CLAI.</p><p><strong>Conclusions: </strong>A combination of physical examination and imaging studies is especially important to more accurately diagnose CLAI. Future research should focus on standardizing testing and measurement methods to objectively define CLAI.</p>","PeriodicalId":44459,"journal":{"name":"Annals of Joint","volume":"9 ","pages":"41"},"PeriodicalIF":0.9000,"publicationDate":"2024-10-29","publicationTypes":"Journal Article","fieldsOfStudy":null,"isOpenAccess":false,"openAccessPdf":"https://www.ncbi.nlm.nih.gov/pmc/articles/PMC11558280/pdf/","citationCount":"0","resultStr":"{\"title\":\"Diagnostic strategies for chronic lateral ankle instability: a narrative review.\",\"authors\":\"Kohei Kamada, Yuichi Hoshino, Tetsuya Yamamoto, Masamune Kamachi, Noriyuki Kanzaki, Ryosuke Kuroda\",\"doi\":\"10.21037/aoj-24-31\",\"DOIUrl\":null,\"url\":null,\"abstract\":\"<p><strong>Background and objective: </strong>Diagnosing chronic lateral ankle instability (CLAI) involves a comprehensive evaluation encompassing medical history, physical findings, and imaging examination. The optimal method of diagnosis of CLAI remains controversial. Therefore, the objective of this review was to summarize the current literatures regarding recent evolution and technical improvement of diagnostic methods for CLAI.</p><p><strong>Methods: </strong>A literature regarding the diagnosis of CLAI was reviewed on PubMed, including articles written in English until May 2024.</p><p><strong>Key content and findings: </strong>In the manual examination for the diagnosis of CLAI, the anterior drawer test is the standard evaluation for lateral ligament insufficiency. The anterolateral drawer test, meanwhile, which focuses more on lateral instability biomechanically, has also been performed. Ultrasonography is a point-of-care tool that is less invasive than stress radiography and can dynamically assess ligament integrity, making the diagnosis of CLAI more accurate and convenient. Magnetic resonance imaging (MRI) is a useful modality that allows extensive preoperative evaluation of ligamentous properties and associated osteochondral damage, and it is essential in the preoperative diagnosis of CLAI.</p><p><strong>Conclusions: </strong>A combination of physical examination and imaging studies is especially important to more accurately diagnose CLAI. Future research should focus on standardizing testing and measurement methods to objectively define CLAI.</p>\",\"PeriodicalId\":44459,\"journal\":{\"name\":\"Annals of Joint\",\"volume\":\"9 \",\"pages\":\"41\"},\"PeriodicalIF\":0.9000,\"publicationDate\":\"2024-10-29\",\"publicationTypes\":\"Journal Article\",\"fieldsOfStudy\":null,\"isOpenAccess\":false,\"openAccessPdf\":\"https://www.ncbi.nlm.nih.gov/pmc/articles/PMC11558280/pdf/\",\"citationCount\":\"0\",\"resultStr\":null,\"platform\":\"Semanticscholar\",\"paperid\":null,\"PeriodicalName\":\"Annals of Joint\",\"FirstCategoryId\":\"3\",\"ListUrlMain\":\"https://doi.org/10.21037/aoj-24-31\",\"RegionNum\":4,\"RegionCategory\":\"医学\",\"ArticlePicture\":[],\"TitleCN\":null,\"AbstractTextCN\":null,\"PMCID\":null,\"EPubDate\":\"2024/1/1 0:00:00\",\"PubModel\":\"eCollection\",\"JCR\":\"Q4\",\"JCRName\":\"ORTHOPEDICS\",\"Score\":null,\"Total\":0}","platform":"Semanticscholar","paperid":null,"PeriodicalName":"Annals of Joint","FirstCategoryId":"3","ListUrlMain":"https://doi.org/10.21037/aoj-24-31","RegionNum":4,"RegionCategory":"医学","ArticlePicture":[],"TitleCN":null,"AbstractTextCN":null,"PMCID":null,"EPubDate":"2024/1/1 0:00:00","PubModel":"eCollection","JCR":"Q4","JCRName":"ORTHOPEDICS","Score":null,"Total":0}
引用次数: 0

摘要

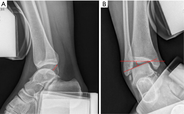
背景和目的:诊断慢性外侧踝关节不稳(CLAI)需要进行全面评估,包括病史、体格检查结果和影像学检查。诊断 CLAI 的最佳方法仍存在争议。因此,本综述旨在总结目前有关 CLAI 诊断方法的最新演变和技术改进的文献:方法:在 PubMed 上查阅了有关 CLAI 诊断的文献,包括截至 2024 年 5 月的英文文章:在诊断 CLAI 的人工检查中,前抽屉试验是评估外侧韧带功能不全的标准方法。同时,前外侧牵引试验在生物力学上更侧重于外侧不稳定性,该试验也已开展。超声波检查是一种护理点工具,其创伤性小于压力放射检查,可动态评估韧带的完整性,使 CLAI 的诊断更加准确和方便。磁共振成像(MRI)是一种有用的方式,可在术前对韧带特性和相关骨软骨损伤进行广泛评估,对 CLAI 的术前诊断至关重要:结论:体格检查和影像学检查相结合对于更准确地诊断 CLAI 尤为重要。未来的研究应侧重于标准化测试和测量方法,以客观地定义 CLAI。
本文章由计算机程序翻译,如有差异,请以英文原文为准。

Diagnostic strategies for chronic lateral ankle instability: a narrative review.

Diagnostic strategies for chronic lateral ankle instability: a narrative review.

Diagnostic strategies for chronic lateral ankle instability: a narrative review.

Diagnostic strategies for chronic lateral ankle instability: a narrative review.

Background and objective: Diagnosing chronic lateral ankle instability (CLAI) involves a comprehensive evaluation encompassing medical history, physical findings, and imaging examination. The optimal method of diagnosis of CLAI remains controversial. Therefore, the objective of this review was to summarize the current literatures regarding recent evolution and technical improvement of diagnostic methods for CLAI.

Methods: A literature regarding the diagnosis of CLAI was reviewed on PubMed, including articles written in English until May 2024.

Key content and findings: In the manual examination for the diagnosis of CLAI, the anterior drawer test is the standard evaluation for lateral ligament insufficiency. The anterolateral drawer test, meanwhile, which focuses more on lateral instability biomechanically, has also been performed. Ultrasonography is a point-of-care tool that is less invasive than stress radiography and can dynamically assess ligament integrity, making the diagnosis of CLAI more accurate and convenient. Magnetic resonance imaging (MRI) is a useful modality that allows extensive preoperative evaluation of ligamentous properties and associated osteochondral damage, and it is essential in the preoperative diagnosis of CLAI.

Conclusions: A combination of physical examination and imaging studies is especially important to more accurately diagnose CLAI. Future research should focus on standardizing testing and measurement methods to objectively define CLAI.

求助全文
通过发布文献求助,成功后即可免费获取论文全文。 去求助
来源期刊
Annals of Joint
Annals of Joint ORTHOPEDICS-
CiteScore
1.10
自引率
-25.00%
发文量
17
×
引用
GB/T 7714-2015
复制
MLA
复制
APA
复制
导出至
BibTeX EndNote RefMan NoteFirst NoteExpress
×
提示
您的信息不完整,为了账户安全,请先补充。
现在去补充
×
提示
您因"违规操作"
具体请查看互助需知
我知道了
×
提示
确定
请完成安全验证×
copy
已复制链接
快去分享给好友吧!
我知道了
右上角分享
点击右上角分享
0
联系我们:info@booksci.cn Book学术提供免费学术资源搜索服务,方便国内外学者检索中英文文献。致力于提供最便捷和优质的服务体验。 Copyright © 2023 布克学术 All rights reserved.
京ICP备2023020795号-1
ghs 京公网安备 11010802042870号
Book学术文献互助
Book学术文献互助群
群 号:604180095
Book学术官方微信