Thrombo-CARE-根据富含纤维蛋白/血小板的血块组织学提示隐源性中风的心栓塞性中风病因:Thrombo-CARE(配置分析以完善病因)。

IF 1.5 Q2 MEDICINE, GENERAL & INTERNAL
Wiener medizinische Wochenschrift Pub Date : 2025-06-01 Epub Date: 2024-11-11 DOI:10.1007/s10354-024-01060-w
Daniel C Schwarzenhofer, Tim von Oertzen, Serge Weis, Michael Sonnberger, Joachim Gruber, Anna Tröscher, Helga Wagner, Philipp Hermann, Birgit Grubauer, Judith Wagner
{"title":"Thrombo-CARE-根据富含纤维蛋白/血小板的血块组织学提示隐源性中风的心栓塞性中风病因:Thrombo-CARE(配置分析以完善病因)。","authors":"Daniel C Schwarzenhofer, Tim von Oertzen, Serge Weis, Michael Sonnberger, Joachim Gruber, Anna Tröscher, Helga Wagner, Philipp Hermann, Birgit Grubauer, Judith Wagner","doi":"10.1007/s10354-024-01060-w","DOIUrl":null,"url":null,"abstract":"<p><strong>Background: </strong>Despite extensive diagnostic efforts, the etiology of stroke remains unclear in up to 30% of patients. Mechanical thrombectomy (MT) potentially enhances etiological determination by (immuno)histological analysis of retrieved thrombotic material.</p><p><strong>Methods: </strong>In this monocentric exploratory study, clots from 200 patients undergoing MT were investigated by hematoxylin and eosin, CD3, and CD45 staining. Semiquantitative and computer-based image analysis defined the histological composition and relative fractions of immunohistochemically stained areas. First, we correlated these results with strokes of known etiology. Subsequently, clots of unknown source were characterized with regard to their (immuno)histological profile to attempt etiological classification.</p><p><strong>Results: </strong>Samples from 198 patients were accessible for analysis. Fibrin-/platelet-rich histology appeared in 45 (23%), erythrocyte-rich in 18 (9%), and mixed histology in 123 (62%) patients. Etiology was classified as cardioembolic in 87 (44%), arterioembolic in 37 (19%), and as cryptogenic stroke (CS) in 26 (13%) cases. 20 (23%) patients with cardioembolic stroke and 5 (14%) patients with arterioembolic stroke had fibrin-/platelet-rich clots. 8 (22%) patients with arterioembolic stroke and 1 (1%) patient with cardioembolic stroke had erythrocyte-rich clots. In CS, cardioembolic clot features appeared more than twice as often as arterioembolic clot features. Whereas the association between histology and etiology was significant (p = 0.0057), CD3/CD45 staining did not correlate.</p><p><strong>Conclusion: </strong>A significant association between histology and etiology was observed, with the proportion of erythrocyte-rich thrombi being largest among arterioembolic strokes and the proportion of fibrin-/platelet-rich thrombi highest among cardioembolic strokes. A high number of clots from CS presented histological features of cardioembolic clots. Thus, patients with CS and fibrin-/platelet-rich clots particularly require long-term cardiac rhythm monitoring and may benefit from oral anticoagulation.</p>","PeriodicalId":23882,"journal":{"name":"Wiener medizinische Wochenschrift","volume":" ","pages":"227-236"},"PeriodicalIF":1.5000,"publicationDate":"2025-06-01","publicationTypes":"Journal Article","fieldsOfStudy":null,"isOpenAccess":false,"openAccessPdf":"https://www.ncbi.nlm.nih.gov/pmc/articles/PMC12089195/pdf/","citationCount":"0","resultStr":"{\"title\":\"Thrombo-CARE-cardioembolic stroke etiology in cryptogenic stroke suggested by fibrin-/platelet-rich clot histology : Thrombo-CARE (configuration analysis to refine etiology).\",\"authors\":\"Daniel C Schwarzenhofer, Tim von Oertzen, Serge Weis, Michael Sonnberger, Joachim Gruber, Anna Tröscher, Helga Wagner, Philipp Hermann, Birgit Grubauer, Judith Wagner\",\"doi\":\"10.1007/s10354-024-01060-w\",\"DOIUrl\":null,\"url\":null,\"abstract\":\"<p><strong>Background: </strong>Despite extensive diagnostic efforts, the etiology of stroke remains unclear in up to 30% of patients. Mechanical thrombectomy (MT) potentially enhances etiological determination by (immuno)histological analysis of retrieved thrombotic material.</p><p><strong>Methods: </strong>In this monocentric exploratory study, clots from 200 patients undergoing MT were investigated by hematoxylin and eosin, CD3, and CD45 staining. Semiquantitative and computer-based image analysis defined the histological composition and relative fractions of immunohistochemically stained areas. First, we correlated these results with strokes of known etiology. Subsequently, clots of unknown source were characterized with regard to their (immuno)histological profile to attempt etiological classification.</p><p><strong>Results: </strong>Samples from 198 patients were accessible for analysis. Fibrin-/platelet-rich histology appeared in 45 (23%), erythrocyte-rich in 18 (9%), and mixed histology in 123 (62%) patients. Etiology was classified as cardioembolic in 87 (44%), arterioembolic in 37 (19%), and as cryptogenic stroke (CS) in 26 (13%) cases. 20 (23%) patients with cardioembolic stroke and 5 (14%) patients with arterioembolic stroke had fibrin-/platelet-rich clots. 8 (22%) patients with arterioembolic stroke and 1 (1%) patient with cardioembolic stroke had erythrocyte-rich clots. In CS, cardioembolic clot features appeared more than twice as often as arterioembolic clot features. Whereas the association between histology and etiology was significant (p = 0.0057), CD3/CD45 staining did not correlate.</p><p><strong>Conclusion: </strong>A significant association between histology and etiology was observed, with the proportion of erythrocyte-rich thrombi being largest among arterioembolic strokes and the proportion of fibrin-/platelet-rich thrombi highest among cardioembolic strokes. A high number of clots from CS presented histological features of cardioembolic clots. Thus, patients with CS and fibrin-/platelet-rich clots particularly require long-term cardiac rhythm monitoring and may benefit from oral anticoagulation.</p>\",\"PeriodicalId\":23882,\"journal\":{\"name\":\"Wiener medizinische Wochenschrift\",\"volume\":\" \",\"pages\":\"227-236\"},\"PeriodicalIF\":1.5000,\"publicationDate\":\"2025-06-01\",\"publicationTypes\":\"Journal Article\",\"fieldsOfStudy\":null,\"isOpenAccess\":false,\"openAccessPdf\":\"https://www.ncbi.nlm.nih.gov/pmc/articles/PMC12089195/pdf/\",\"citationCount\":\"0\",\"resultStr\":null,\"platform\":\"Semanticscholar\",\"paperid\":null,\"PeriodicalName\":\"Wiener medizinische Wochenschrift\",\"FirstCategoryId\":\"1085\",\"ListUrlMain\":\"https://doi.org/10.1007/s10354-024-01060-w\",\"RegionNum\":0,\"RegionCategory\":null,\"ArticlePicture\":[],\"TitleCN\":null,\"AbstractTextCN\":null,\"PMCID\":null,\"EPubDate\":\"2024/11/11 0:00:00\",\"PubModel\":\"Epub\",\"JCR\":\"Q2\",\"JCRName\":\"MEDICINE, GENERAL & INTERNAL\",\"Score\":null,\"Total\":0}","platform":"Semanticscholar","paperid":null,"PeriodicalName":"Wiener medizinische Wochenschrift","FirstCategoryId":"1085","ListUrlMain":"https://doi.org/10.1007/s10354-024-01060-w","RegionNum":0,"RegionCategory":null,"ArticlePicture":[],"TitleCN":null,"AbstractTextCN":null,"PMCID":null,"EPubDate":"2024/11/11 0:00:00","PubModel":"Epub","JCR":"Q2","JCRName":"MEDICINE, GENERAL & INTERNAL","Score":null,"Total":0}
引用次数: 0

摘要

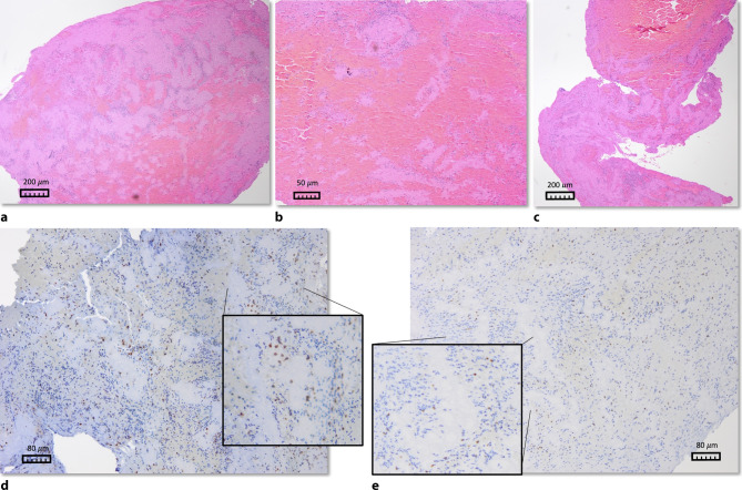
背景:尽管开展了大量诊断工作,但仍有多达 30% 的中风患者病因不明。机械性血栓切除术(MT)通过对取回的血栓材料进行(免疫)组织学分析,有可能加强病因学的确定:在这项单中心探索性研究中,通过苏木精和伊红、CD3和CD45染色对200名接受机械血栓切除术的患者的血栓进行了研究。半定量和计算机图像分析确定了免疫组化染色区域的组织学组成和相对比例。首先,我们将这些结果与已知病因的脑卒中相关联。随后,我们对来源不明的血栓进行了(免疫)组织学特征描述,以尝试进行病因分类:结果:198 名患者的样本可用于分析。45例(23%)患者出现富含纤维蛋白/血小板的组织学特征,18例(9%)患者出现富含红细胞的组织学特征,123例(62%)患者出现混合组织学特征。病因分类为心源性栓塞的有 87 例(44%),动脉栓塞的有 37 例(19%),隐源性卒中(CS)的有 26 例(13%)。20(23%)例心源性栓塞性中风患者和 5(14%)例动脉栓塞性中风患者有富含纤维蛋白/血小板的血栓。8(22%)名动脉栓塞性中风患者和 1(1%)名心肌栓塞性中风患者有富含红细胞的血凝块。在 CS 中,心肌栓塞特征出现的频率是动脉栓塞特征的两倍多。组织学与病因学之间的关联显著(p = 0.0057),而 CD3/CD45 染色则不相关:结论:组织学与病因学之间存在明显关联,动脉栓塞性脑卒中中富含红细胞的血栓比例最高,而心肌栓塞性脑卒中中富含纤维蛋白/血小板的血栓比例最高。CS 中的大量血栓具有心肌栓塞的组织学特征。因此,CS 和富含纤维蛋白/血小板血栓的患者尤其需要长期心律监测,并可能从口服抗凝药中获益。
本文章由计算机程序翻译,如有差异,请以英文原文为准。

Thrombo-CARE-cardioembolic stroke etiology in cryptogenic stroke suggested by fibrin-/platelet-rich clot histology : Thrombo-CARE (configuration analysis to refine etiology).

Thrombo-CARE-cardioembolic stroke etiology in cryptogenic stroke suggested by fibrin-/platelet-rich clot histology : Thrombo-CARE (configuration analysis to refine etiology).

Thrombo-CARE-cardioembolic stroke etiology in cryptogenic stroke suggested by fibrin-/platelet-rich clot histology : Thrombo-CARE (configuration analysis to refine etiology).

Background: Despite extensive diagnostic efforts, the etiology of stroke remains unclear in up to 30% of patients. Mechanical thrombectomy (MT) potentially enhances etiological determination by (immuno)histological analysis of retrieved thrombotic material.

Methods: In this monocentric exploratory study, clots from 200 patients undergoing MT were investigated by hematoxylin and eosin, CD3, and CD45 staining. Semiquantitative and computer-based image analysis defined the histological composition and relative fractions of immunohistochemically stained areas. First, we correlated these results with strokes of known etiology. Subsequently, clots of unknown source were characterized with regard to their (immuno)histological profile to attempt etiological classification.

Results: Samples from 198 patients were accessible for analysis. Fibrin-/platelet-rich histology appeared in 45 (23%), erythrocyte-rich in 18 (9%), and mixed histology in 123 (62%) patients. Etiology was classified as cardioembolic in 87 (44%), arterioembolic in 37 (19%), and as cryptogenic stroke (CS) in 26 (13%) cases. 20 (23%) patients with cardioembolic stroke and 5 (14%) patients with arterioembolic stroke had fibrin-/platelet-rich clots. 8 (22%) patients with arterioembolic stroke and 1 (1%) patient with cardioembolic stroke had erythrocyte-rich clots. In CS, cardioembolic clot features appeared more than twice as often as arterioembolic clot features. Whereas the association between histology and etiology was significant (p = 0.0057), CD3/CD45 staining did not correlate.

Conclusion: A significant association between histology and etiology was observed, with the proportion of erythrocyte-rich thrombi being largest among arterioembolic strokes and the proportion of fibrin-/platelet-rich thrombi highest among cardioembolic strokes. A high number of clots from CS presented histological features of cardioembolic clots. Thus, patients with CS and fibrin-/platelet-rich clots particularly require long-term cardiac rhythm monitoring and may benefit from oral anticoagulation.

求助全文
通过发布文献求助,成功后即可免费获取论文全文。 去求助
来源期刊
Wiener medizinische Wochenschrift
Wiener medizinische Wochenschrift MEDICINE, GENERAL & INTERNAL-
CiteScore
2.50
自引率
0.00%
发文量
79
期刊介绍: ''From the microscope to clinical application!'', Scientists from all European countries make available their recent research results and practical experience through Wiener Medizinische Wochenschrift, the renowned English- and German-language forum. Both original articles and reviews on a broad spectrum of clinical and preclinical medicine are presented within the successful framework of thematic issues compiled by guest editors. Selected cutting-edge topics, such as dementia, geriatric oncology, Helicobacter pylori and phytomedicine make the journal a mandatory source of information.
×
引用
GB/T 7714-2015
复制
MLA
复制
APA
复制
导出至
BibTeX EndNote RefMan NoteFirst NoteExpress
×
提示
您的信息不完整,为了账户安全,请先补充。
现在去补充
×
提示
您因"违规操作"
具体请查看互助需知
我知道了
×
提示
确定
请完成安全验证×
copy
已复制链接
快去分享给好友吧!
我知道了
右上角分享
点击右上角分享
0
联系我们:info@booksci.cn Book学术提供免费学术资源搜索服务,方便国内外学者检索中英文文献。致力于提供最便捷和优质的服务体验。 Copyright © 2023 布克学术 All rights reserved.
京ICP备2023020795号-1
ghs 京公网安备 11010802042870号
Book学术文献互助
Book学术文献互助群
群 号:604180095
Book学术官方微信