鉴定嗜热链霉菌株的质粒并开发嗜热链霉菌种的基因克隆系统。

IF 3.2 4区 生物学 Q2 BIOTECHNOLOGY & APPLIED MICROBIOLOGY
Yuuki Yamada, Haruo Ikeda
{"title":"鉴定嗜热链霉菌株的质粒并开发嗜热链霉菌种的基因克隆系统。","authors":"Yuuki Yamada, Haruo Ikeda","doi":"10.1093/jimb/kuae042","DOIUrl":null,"url":null,"abstract":"<p><p>To develop a host-vector system for use in thermophilic Streptomyces, multi-copy plasmids were screened for thermophilic Streptomyces species using data from public bioresource centers (JCM and NBRC). Of 27 thermophilic Streptomyces strains, 3 harbored plasmids. One plasmid (pSTVU1), derived from S. thermovulgaris NBRC 16615 (= JCM 4520, ATCC 19284, DSM 40444, ISP 5444, NRRL B-12375, and NCIMB 10078), was multi-copy and relatively small in size. Analysis of the sequence of this multi-copy plasmid revealed that it was 7,838 bp and contained at least 10 predicted open reading frames. The plasmid was introduced into 14 thermophilic Streptomyces strains (of 18 strains examined) and several mesophilic Streptomyces strains (S.lividans, S.parvulus, and S.avermitilis). pSTVU1 can be transferred by mixed culture because the plasmid encodes the ORF that regulates the transfer function. Plasmid transfer was observed not only between strains within the same species but also between mesophilic Streptomyces and thermophilic Streptomyces (and vice versa); however, the efficiency of this transfer was extremely low. We also confirmed that a derivative of pSTVU1 can be used as a multi-copy vector in the gene expression system that is expected to exhibit gene-dosage effects, establishing a method for efficient production of thermophilic α-amylase.</p><p><strong>One-sentence summary: </strong>A multi-copy plasmid was identified in thermophilic Streptomyces and used to develop a gene cloning system for thermophilic Streptomyces species.</p>","PeriodicalId":16092,"journal":{"name":"Journal of Industrial Microbiology & Biotechnology","volume":" ","pages":""},"PeriodicalIF":3.2000,"publicationDate":"2024-01-09","publicationTypes":"Journal Article","fieldsOfStudy":null,"isOpenAccess":false,"openAccessPdf":"https://www.ncbi.nlm.nih.gov/pmc/articles/PMC11600335/pdf/","citationCount":"0","resultStr":"{\"title\":\"Identification of plasmids from thermophilic Streptomyces strains and development of a gene cloning system for thermophilic Streptomyces species.\",\"authors\":\"Yuuki Yamada, Haruo Ikeda\",\"doi\":\"10.1093/jimb/kuae042\",\"DOIUrl\":null,\"url\":null,\"abstract\":\"<p><p>To develop a host-vector system for use in thermophilic Streptomyces, multi-copy plasmids were screened for thermophilic Streptomyces species using data from public bioresource centers (JCM and NBRC). Of 27 thermophilic Streptomyces strains, 3 harbored plasmids. One plasmid (pSTVU1), derived from S. thermovulgaris NBRC 16615 (= JCM 4520, ATCC 19284, DSM 40444, ISP 5444, NRRL B-12375, and NCIMB 10078), was multi-copy and relatively small in size. Analysis of the sequence of this multi-copy plasmid revealed that it was 7,838 bp and contained at least 10 predicted open reading frames. The plasmid was introduced into 14 thermophilic Streptomyces strains (of 18 strains examined) and several mesophilic Streptomyces strains (S.lividans, S.parvulus, and S.avermitilis). pSTVU1 can be transferred by mixed culture because the plasmid encodes the ORF that regulates the transfer function. Plasmid transfer was observed not only between strains within the same species but also between mesophilic Streptomyces and thermophilic Streptomyces (and vice versa); however, the efficiency of this transfer was extremely low. We also confirmed that a derivative of pSTVU1 can be used as a multi-copy vector in the gene expression system that is expected to exhibit gene-dosage effects, establishing a method for efficient production of thermophilic α-amylase.</p><p><strong>One-sentence summary: </strong>A multi-copy plasmid was identified in thermophilic Streptomyces and used to develop a gene cloning system for thermophilic Streptomyces species.</p>\",\"PeriodicalId\":16092,\"journal\":{\"name\":\"Journal of Industrial Microbiology & Biotechnology\",\"volume\":\" \",\"pages\":\"\"},\"PeriodicalIF\":3.2000,\"publicationDate\":\"2024-01-09\",\"publicationTypes\":\"Journal Article\",\"fieldsOfStudy\":null,\"isOpenAccess\":false,\"openAccessPdf\":\"https://www.ncbi.nlm.nih.gov/pmc/articles/PMC11600335/pdf/\",\"citationCount\":\"0\",\"resultStr\":null,\"platform\":\"Semanticscholar\",\"paperid\":null,\"PeriodicalName\":\"Journal of Industrial Microbiology & Biotechnology\",\"FirstCategoryId\":\"5\",\"ListUrlMain\":\"https://doi.org/10.1093/jimb/kuae042\",\"RegionNum\":4,\"RegionCategory\":\"生物学\",\"ArticlePicture\":[],\"TitleCN\":null,\"AbstractTextCN\":null,\"PMCID\":null,\"EPubDate\":\"\",\"PubModel\":\"\",\"JCR\":\"Q2\",\"JCRName\":\"BIOTECHNOLOGY & APPLIED MICROBIOLOGY\",\"Score\":null,\"Total\":0}","platform":"Semanticscholar","paperid":null,"PeriodicalName":"Journal of Industrial Microbiology & Biotechnology","FirstCategoryId":"5","ListUrlMain":"https://doi.org/10.1093/jimb/kuae042","RegionNum":4,"RegionCategory":"生物学","ArticlePicture":[],"TitleCN":null,"AbstractTextCN":null,"PMCID":null,"EPubDate":"","PubModel":"","JCR":"Q2","JCRName":"BIOTECHNOLOGY & APPLIED MICROBIOLOGY","Score":null,"Total":0}
引用次数: 0

摘要

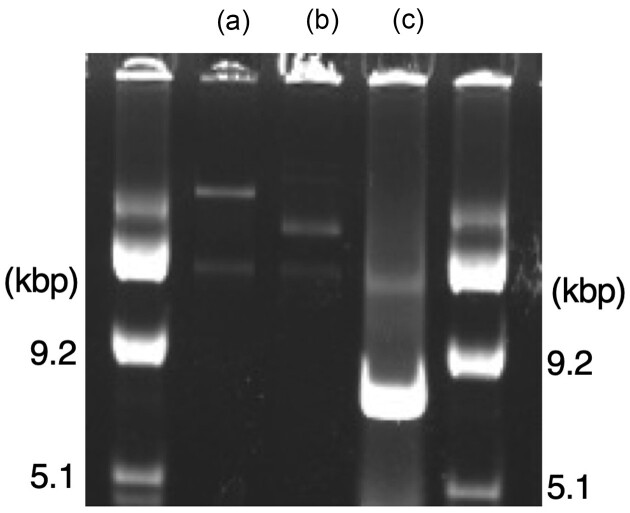
为了开发用于嗜热链霉菌的宿主-载体系统,我们利用公共生物资源中心(JCM 和 NBRC)的数据筛选了嗜热链霉菌的多拷贝质粒。在 27 株嗜热链霉菌中,有 3 株携带质粒。其中一个质粒(pSTVU1)来自 S. thermovulgaris NBRC 16615(= JCM 4520、ATCC 19284、DSM 40444、ISP 5444、NRRL B-12375、NCIMB 10078),是多拷贝质粒,体积相对较小。对这种多拷贝质粒的序列分析表明,它的长度为 7 838 bp,至少包含 10 个预测的开放阅读框(ORF)。pSTVU1 可以通过混合培养进行转移,因为质粒编码了调控转移功能的 ORF。我们不仅观察到质粒在同一物种的菌株之间转移,还观察到质粒在嗜中性链霉菌和嗜热链霉(反之亦然)之间转移;但是,这种转移的效率极低。我们还证实,pSTVU1 的衍生物可用作基因表达系统中的多拷贝载体,预计会表现出基因剂量效应,从而建立了一种高效生产嗜热型 α 淀粉酶的方法。
本文章由计算机程序翻译,如有差异,请以英文原文为准。

Identification of plasmids from thermophilic Streptomyces strains and development of a gene cloning system for thermophilic Streptomyces species.

Identification of plasmids from thermophilic Streptomyces strains and development of a gene cloning system for thermophilic Streptomyces species.

Identification of plasmids from thermophilic Streptomyces strains and development of a gene cloning system for thermophilic Streptomyces species.

Identification of plasmids from thermophilic Streptomyces strains and development of a gene cloning system for thermophilic Streptomyces species.

To develop a host-vector system for use in thermophilic Streptomyces, multi-copy plasmids were screened for thermophilic Streptomyces species using data from public bioresource centers (JCM and NBRC). Of 27 thermophilic Streptomyces strains, 3 harbored plasmids. One plasmid (pSTVU1), derived from S. thermovulgaris NBRC 16615 (= JCM 4520, ATCC 19284, DSM 40444, ISP 5444, NRRL B-12375, and NCIMB 10078), was multi-copy and relatively small in size. Analysis of the sequence of this multi-copy plasmid revealed that it was 7,838 bp and contained at least 10 predicted open reading frames. The plasmid was introduced into 14 thermophilic Streptomyces strains (of 18 strains examined) and several mesophilic Streptomyces strains (S.lividans, S.parvulus, and S.avermitilis). pSTVU1 can be transferred by mixed culture because the plasmid encodes the ORF that regulates the transfer function. Plasmid transfer was observed not only between strains within the same species but also between mesophilic Streptomyces and thermophilic Streptomyces (and vice versa); however, the efficiency of this transfer was extremely low. We also confirmed that a derivative of pSTVU1 can be used as a multi-copy vector in the gene expression system that is expected to exhibit gene-dosage effects, establishing a method for efficient production of thermophilic α-amylase.

One-sentence summary: A multi-copy plasmid was identified in thermophilic Streptomyces and used to develop a gene cloning system for thermophilic Streptomyces species.

求助全文
通过发布文献求助,成功后即可免费获取论文全文。 去求助
来源期刊
Journal of Industrial Microbiology & Biotechnology
Journal of Industrial Microbiology & Biotechnology 工程技术-生物工程与应用微生物
CiteScore
7.70
自引率
0.00%
发文量
25
审稿时长
3 months
期刊介绍: The Journal of Industrial Microbiology and Biotechnology is an international journal which publishes papers describing original research, short communications, and critical reviews in the fields of biotechnology, fermentation and cell culture, biocatalysis, environmental microbiology, natural products discovery and biosynthesis, marine natural products, metabolic engineering, genomics, bioinformatics, food microbiology, and other areas of applied microbiology
×
引用
GB/T 7714-2015
复制
MLA
复制
APA
复制
导出至
BibTeX EndNote RefMan NoteFirst NoteExpress
×
提示
您的信息不完整,为了账户安全,请先补充。
现在去补充
×
提示
您因"违规操作"
具体请查看互助需知
我知道了
×
提示
确定
请完成安全验证×
copy
已复制链接
快去分享给好友吧!
我知道了
右上角分享
点击右上角分享
0
联系我们:info@booksci.cn Book学术提供免费学术资源搜索服务,方便国内外学者检索中英文文献。致力于提供最便捷和优质的服务体验。 Copyright © 2023 布克学术 All rights reserved.
京ICP备2023020795号-1
ghs 京公网安备 11010802042870号
Book学术文献互助
Book学术文献互助群
群 号:604180095
Book学术官方微信