在日本大阪的印刷公司工作时,因接触1,2-二氯丙烷和/或二氯甲烷而继发胆管癌。

IF 1.6 4区 医学 Q3 ENVIRONMENTAL SCIENCES
Industrial Health Pub Date : 2025-05-20 Epub Date: 2024-11-14 DOI:10.2486/indhealth.2024-0159
Shoji Kubo, Masahiko Kinoshita, Yasunori Sato, Hiroji Shinkawa, Shogo Tanaka, Takeaki Ishizawa, Sakae Maeda, Atsushi Miyamoto, Shinji Kumagai, Ginji Endo
{"title":"在日本大阪的印刷公司工作时,因接触1,2-二氯丙烷和/或二氯甲烷而继发胆管癌。","authors":"Shoji Kubo, Masahiko Kinoshita, Yasunori Sato, Hiroji Shinkawa, Shogo Tanaka, Takeaki Ishizawa, Sakae Maeda, Atsushi Miyamoto, Shinji Kumagai, Ginji Endo","doi":"10.2486/indhealth.2024-0159","DOIUrl":null,"url":null,"abstract":"<p><p>After the report of 17 patients with occupational cholangiocarcinoma caused by long-term exposure to high concentrations of 1,2-dichloropropane and/or dichloromethane in a printing company in Osaka in 2014, additional five patients were diagnosed to have such cholangiocarcinoma. Cholangiocarcinoma was detected during regular health examination or follow-up for liver dysfunction in four of the five patients. Nearly all five patients presented with clinicopathological findings such as an elevated γ-glutamyl transpeptidase activity at the diagnosis, regional dilatation of intrahepatic bile ducts without tumor-induced obstruction, chronic bile duct injury, and precancerous/early cancerous lesions (biliary intraepithelial neoplasia and intraductal papillary neoplasm of the bile duct) at various sites of the bile duct. These findings were similar to those of the previous 17 patients. In total, cholangiocarcinoma developed in 22 of 95 workers exposed to 1,2-dichloropropane in the printing company. Of 22 patients with cholangiocarcinoma, 18 patients were members of 19 high exposure workers (≥1,500 ppm-yr). These findings strengthen further the theory that 1,2-dichloropropane causes occupational cholangiocarcinoma. Regular health examination of workers exposed to 1,2-dichloropropane and/or dichloromethane is necessary to detect such cholangiocarcinoma because the potential of the carcinogenesis risk persists over the long term.</p>","PeriodicalId":13531,"journal":{"name":"Industrial Health","volume":" ","pages":"254-264"},"PeriodicalIF":1.6000,"publicationDate":"2025-05-20","publicationTypes":"Journal Article","fieldsOfStudy":null,"isOpenAccess":false,"openAccessPdf":"https://www.ncbi.nlm.nih.gov/pmc/articles/PMC12107343/pdf/","citationCount":"0","resultStr":"{\"title\":\"Subsequent development of cholangiocarcinoma caused by exposure to 1,2-dichloropropane and/or dichloromethane in the printing company in Osaka, Japan.\",\"authors\":\"Shoji Kubo, Masahiko Kinoshita, Yasunori Sato, Hiroji Shinkawa, Shogo Tanaka, Takeaki Ishizawa, Sakae Maeda, Atsushi Miyamoto, Shinji Kumagai, Ginji Endo\",\"doi\":\"10.2486/indhealth.2024-0159\",\"DOIUrl\":null,\"url\":null,\"abstract\":\"<p><p>After the report of 17 patients with occupational cholangiocarcinoma caused by long-term exposure to high concentrations of 1,2-dichloropropane and/or dichloromethane in a printing company in Osaka in 2014, additional five patients were diagnosed to have such cholangiocarcinoma. Cholangiocarcinoma was detected during regular health examination or follow-up for liver dysfunction in four of the five patients. Nearly all five patients presented with clinicopathological findings such as an elevated γ-glutamyl transpeptidase activity at the diagnosis, regional dilatation of intrahepatic bile ducts without tumor-induced obstruction, chronic bile duct injury, and precancerous/early cancerous lesions (biliary intraepithelial neoplasia and intraductal papillary neoplasm of the bile duct) at various sites of the bile duct. These findings were similar to those of the previous 17 patients. In total, cholangiocarcinoma developed in 22 of 95 workers exposed to 1,2-dichloropropane in the printing company. Of 22 patients with cholangiocarcinoma, 18 patients were members of 19 high exposure workers (≥1,500 ppm-yr). These findings strengthen further the theory that 1,2-dichloropropane causes occupational cholangiocarcinoma. Regular health examination of workers exposed to 1,2-dichloropropane and/or dichloromethane is necessary to detect such cholangiocarcinoma because the potential of the carcinogenesis risk persists over the long term.</p>\",\"PeriodicalId\":13531,\"journal\":{\"name\":\"Industrial Health\",\"volume\":\" \",\"pages\":\"254-264\"},\"PeriodicalIF\":1.6000,\"publicationDate\":\"2025-05-20\",\"publicationTypes\":\"Journal Article\",\"fieldsOfStudy\":null,\"isOpenAccess\":false,\"openAccessPdf\":\"https://www.ncbi.nlm.nih.gov/pmc/articles/PMC12107343/pdf/\",\"citationCount\":\"0\",\"resultStr\":null,\"platform\":\"Semanticscholar\",\"paperid\":null,\"PeriodicalName\":\"Industrial Health\",\"FirstCategoryId\":\"3\",\"ListUrlMain\":\"https://doi.org/10.2486/indhealth.2024-0159\",\"RegionNum\":4,\"RegionCategory\":\"医学\",\"ArticlePicture\":[],\"TitleCN\":null,\"AbstractTextCN\":null,\"PMCID\":null,\"EPubDate\":\"2024/11/14 0:00:00\",\"PubModel\":\"Epub\",\"JCR\":\"Q3\",\"JCRName\":\"ENVIRONMENTAL SCIENCES\",\"Score\":null,\"Total\":0}","platform":"Semanticscholar","paperid":null,"PeriodicalName":"Industrial Health","FirstCategoryId":"3","ListUrlMain":"https://doi.org/10.2486/indhealth.2024-0159","RegionNum":4,"RegionCategory":"医学","ArticlePicture":[],"TitleCN":null,"AbstractTextCN":null,"PMCID":null,"EPubDate":"2024/11/14 0:00:00","PubModel":"Epub","JCR":"Q3","JCRName":"ENVIRONMENTAL SCIENCES","Score":null,"Total":0}
引用次数: 0

摘要

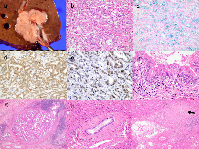
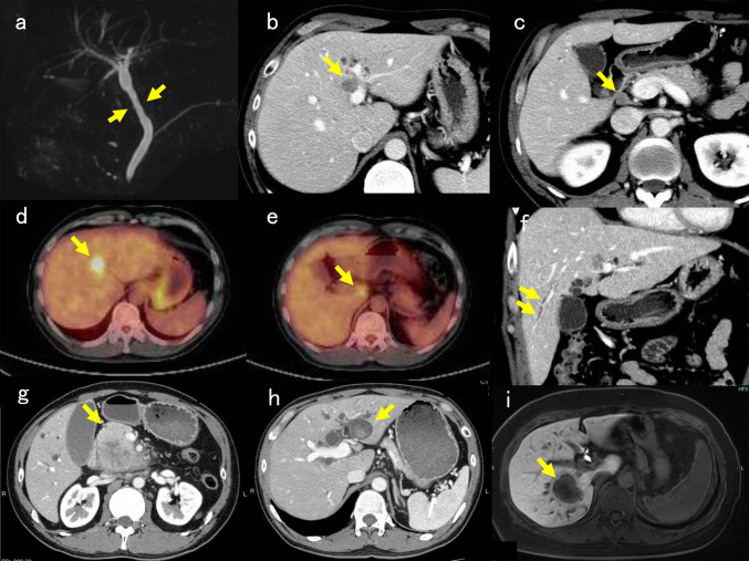
2014年,大阪一家印刷公司报告了17名因长期接触高浓度1,2-二氯丙烷和/或二氯甲烷而罹患职业性胆管癌的患者,此后又有5名患者被确诊患有此类胆管癌。五名患者中有四名是在定期体检或肝功能异常随访时发现胆管癌的。这五名患者几乎都有临床病理发现,如确诊时γ-谷氨酰转肽酶活性升高、肝内胆管区域性扩张而无肿瘤引起的梗阻、慢性胆管损伤以及胆管不同部位的癌前病变/早期癌变(胆管上皮内瘤变和胆管导管内乳头状瘤变)。这些结果与之前 17 例患者的结果相似。在印刷公司接触过 1,2 二氯丙烷的 95 名工人中,共有 22 人罹患胆管癌。在 22 名胆管癌患者中,18 名患者属于 19 名高接触率工人(≥ 1,500 ppm-年)。这些发现进一步加强了 1,2-二氯丙烷导致职业性胆管癌的理论。有必要对接触 1,2 二氯丙烷和/或二氯甲烷的工人进行定期健康检查,以发现此类胆管癌,因为潜在的致癌风险长期存在。
本文章由计算机程序翻译,如有差异,请以英文原文为准。

Subsequent development of cholangiocarcinoma caused by exposure to 1,2-dichloropropane and/or dichloromethane in the printing company in Osaka, Japan.

Subsequent development of cholangiocarcinoma caused by exposure to 1,2-dichloropropane and/or dichloromethane in the printing company in Osaka, Japan.

Subsequent development of cholangiocarcinoma caused by exposure to 1,2-dichloropropane and/or dichloromethane in the printing company in Osaka, Japan.

After the report of 17 patients with occupational cholangiocarcinoma caused by long-term exposure to high concentrations of 1,2-dichloropropane and/or dichloromethane in a printing company in Osaka in 2014, additional five patients were diagnosed to have such cholangiocarcinoma. Cholangiocarcinoma was detected during regular health examination or follow-up for liver dysfunction in four of the five patients. Nearly all five patients presented with clinicopathological findings such as an elevated γ-glutamyl transpeptidase activity at the diagnosis, regional dilatation of intrahepatic bile ducts without tumor-induced obstruction, chronic bile duct injury, and precancerous/early cancerous lesions (biliary intraepithelial neoplasia and intraductal papillary neoplasm of the bile duct) at various sites of the bile duct. These findings were similar to those of the previous 17 patients. In total, cholangiocarcinoma developed in 22 of 95 workers exposed to 1,2-dichloropropane in the printing company. Of 22 patients with cholangiocarcinoma, 18 patients were members of 19 high exposure workers (≥1,500 ppm-yr). These findings strengthen further the theory that 1,2-dichloropropane causes occupational cholangiocarcinoma. Regular health examination of workers exposed to 1,2-dichloropropane and/or dichloromethane is necessary to detect such cholangiocarcinoma because the potential of the carcinogenesis risk persists over the long term.

求助全文
通过发布文献求助,成功后即可免费获取论文全文。 去求助
来源期刊
Industrial Health
Industrial Health 医学-毒理学
CiteScore
3.40
自引率
5.00%
发文量
64
审稿时长
6-12 weeks
期刊介绍: INDUSTRIAL HEALTH covers all aspects of occupational medicine, ergonomics, industrial hygiene, engineering, safety and policy sciences. The journal helps promote solutions for the control and improvement of working conditions, and for the application of valuable research findings to the actual working environment.
×
引用
GB/T 7714-2015
复制
MLA
复制
APA
复制
导出至
BibTeX EndNote RefMan NoteFirst NoteExpress
×
提示
您的信息不完整,为了账户安全,请先补充。
现在去补充
×
提示
您因"违规操作"
具体请查看互助需知
我知道了
×
提示
确定
请完成安全验证×
copy
已复制链接
快去分享给好友吧!
我知道了
右上角分享
点击右上角分享
0
联系我们:info@booksci.cn Book学术提供免费学术资源搜索服务,方便国内外学者检索中英文文献。致力于提供最便捷和优质的服务体验。 Copyright © 2023 布克学术 All rights reserved.
京ICP备2023020795号-1
ghs 京公网安备 11010802042870号
Book学术文献互助
Book学术文献互助群
群 号:604180095
Book学术官方微信