发生肺栓塞的慢性阻塞性肺病患者肺动脉树中血块的位置与肺支气管树中粘液塞的位置是否相关?新发现。

IF 0.6 0 RESPIRATORY SYSTEM
Neda Akhoundi, Alireza Siami, Zahra Naseri, Mahlagha Amirbakhtiarvand
{"title":"发生肺栓塞的慢性阻塞性肺病患者肺动脉树中血块的位置与肺支气管树中粘液塞的位置是否相关?新发现。","authors":"Neda Akhoundi, Alireza Siami, Zahra Naseri, Mahlagha Amirbakhtiarvand","doi":"10.5152/ThoracResPract.2024.23137","DOIUrl":null,"url":null,"abstract":"<p><strong>Objective: </strong>The study aimed to investigate the impact of mucus plugs on the localization of clots in pulmonary embolisms among chronic obstructive pulmonary disease (COPD) patients.</p><p><strong>Material and methods: </strong>The retrospective study examined 200 participants diagnosed with both COPD and pulmonary embolism. Of these, 100 patients exhibited mucus plugs in the segmental and subsegmental branches of the pulmonary bronchial tree, while the remaining 100 did not, using computed tomography images for diagnosis. Data collection encompassed a comprehensive review of patient records, including medical history and imaging reports, to determine the presence of mucus plugs and the localization of clots in pulmonary embolism cases.</p><p><strong>Results: </strong>Patients with mucus plugs exhibited a notably longer duration of COPD (P = .021) and a higher mean pulmonary arterial occlusion index (23 vs. 12, P = .001). Moreover, the prevalence of clots in major pulmonary arteries was significantly elevated in the mucus plug group compared to the non-mucus plug group (P < .05). Conversely, patients without mucus plugs displayed a higher incidence of clots in segmental and subsegmental arteries (P < .001). Strong positive correlations existed between mucus plugs in segmental branches and clots in major pulmonary arteries, with moderate to strong correlation coefficients (0.51 to 0.62, P < .05). Additionally, strong negative correlations were observed between mucus plugs in segmental branches and clots in segmental and subsegmental arteries, with correlation coefficients (CC) ranging from -0.74 to -0.76 (P < .05). Similarly, a significant negative correlation was noted between mucus plugs in subsegmental branches and clots in subsegmental arteries (CC: -0.68 and -0.71, P < .05).</p><p><strong>Conclusion: </strong>The results suggest that mucus plugs may be associated with increased severity of COPD, higher pulmonary arterial occlusion index, and altered clot distribution within the pulmonary artery tree. These findings emphasize the importance of recognizing mucus plugs as a key consideration in COPD assessment and management, potentially influencing disease severity, vascular remodeling, and thrombotic risk management.</p>","PeriodicalId":75221,"journal":{"name":"Thoracic research and practice","volume":"25 6","pages":"203-208"},"PeriodicalIF":0.6000,"publicationDate":"2024-11-01","publicationTypes":"Journal Article","fieldsOfStudy":null,"isOpenAccess":false,"openAccessPdf":"https://www.ncbi.nlm.nih.gov/pmc/articles/PMC11565401/pdf/","citationCount":"0","resultStr":"{\"title\":\"Is There a Correlation Between the Location of the Clot in the Pulmonary Arterial Tree with the Location of the Mucus Plug in the Pulmonary Bronchial Tree in Patients with chronic obstructive pulmonary disease Experiencing Pulmonary Embolism? Novel Findings.\",\"authors\":\"Neda Akhoundi, Alireza Siami, Zahra Naseri, Mahlagha Amirbakhtiarvand\",\"doi\":\"10.5152/ThoracResPract.2024.23137\",\"DOIUrl\":null,\"url\":null,\"abstract\":\"<p><strong>Objective: </strong>The study aimed to investigate the impact of mucus plugs on the localization of clots in pulmonary embolisms among chronic obstructive pulmonary disease (COPD) patients.</p><p><strong>Material and methods: </strong>The retrospective study examined 200 participants diagnosed with both COPD and pulmonary embolism. Of these, 100 patients exhibited mucus plugs in the segmental and subsegmental branches of the pulmonary bronchial tree, while the remaining 100 did not, using computed tomography images for diagnosis. Data collection encompassed a comprehensive review of patient records, including medical history and imaging reports, to determine the presence of mucus plugs and the localization of clots in pulmonary embolism cases.</p><p><strong>Results: </strong>Patients with mucus plugs exhibited a notably longer duration of COPD (P = .021) and a higher mean pulmonary arterial occlusion index (23 vs. 12, P = .001). Moreover, the prevalence of clots in major pulmonary arteries was significantly elevated in the mucus plug group compared to the non-mucus plug group (P < .05). Conversely, patients without mucus plugs displayed a higher incidence of clots in segmental and subsegmental arteries (P < .001). Strong positive correlations existed between mucus plugs in segmental branches and clots in major pulmonary arteries, with moderate to strong correlation coefficients (0.51 to 0.62, P < .05). Additionally, strong negative correlations were observed between mucus plugs in segmental branches and clots in segmental and subsegmental arteries, with correlation coefficients (CC) ranging from -0.74 to -0.76 (P < .05). Similarly, a significant negative correlation was noted between mucus plugs in subsegmental branches and clots in subsegmental arteries (CC: -0.68 and -0.71, P < .05).</p><p><strong>Conclusion: </strong>The results suggest that mucus plugs may be associated with increased severity of COPD, higher pulmonary arterial occlusion index, and altered clot distribution within the pulmonary artery tree. These findings emphasize the importance of recognizing mucus plugs as a key consideration in COPD assessment and management, potentially influencing disease severity, vascular remodeling, and thrombotic risk management.</p>\",\"PeriodicalId\":75221,\"journal\":{\"name\":\"Thoracic research and practice\",\"volume\":\"25 6\",\"pages\":\"203-208\"},\"PeriodicalIF\":0.6000,\"publicationDate\":\"2024-11-01\",\"publicationTypes\":\"Journal Article\",\"fieldsOfStudy\":null,\"isOpenAccess\":false,\"openAccessPdf\":\"https://www.ncbi.nlm.nih.gov/pmc/articles/PMC11565401/pdf/\",\"citationCount\":\"0\",\"resultStr\":null,\"platform\":\"Semanticscholar\",\"paperid\":null,\"PeriodicalName\":\"Thoracic research and practice\",\"FirstCategoryId\":\"1085\",\"ListUrlMain\":\"https://doi.org/10.5152/ThoracResPract.2024.23137\",\"RegionNum\":0,\"RegionCategory\":null,\"ArticlePicture\":[],\"TitleCN\":null,\"AbstractTextCN\":null,\"PMCID\":null,\"EPubDate\":\"\",\"PubModel\":\"\",\"JCR\":\"0\",\"JCRName\":\"RESPIRATORY SYSTEM\",\"Score\":null,\"Total\":0}","platform":"Semanticscholar","paperid":null,"PeriodicalName":"Thoracic research and practice","FirstCategoryId":"1085","ListUrlMain":"https://doi.org/10.5152/ThoracResPract.2024.23137","RegionNum":0,"RegionCategory":null,"ArticlePicture":[],"TitleCN":null,"AbstractTextCN":null,"PMCID":null,"EPubDate":"","PubModel":"","JCR":"0","JCRName":"RESPIRATORY SYSTEM","Score":null,"Total":0}
引用次数: 0

摘要

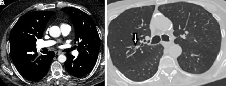
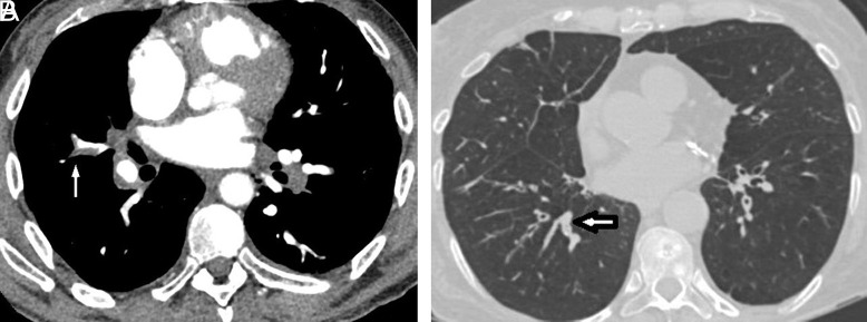
研究目的该研究旨在探讨粘液栓对慢性阻塞性肺病(COPD)患者肺栓塞血块定位的影响:这项回顾性研究对 200 名同时被诊断为慢性阻塞性肺病和肺栓塞的患者进行了检查。通过计算机断层扫描图像进行诊断,其中 100 名患者的肺支气管树节段和亚节段分支出现粘液栓塞,而其余 100 名患者没有粘液栓塞。数据收集包括对患者病历(包括病史和影像报告)的全面审查,以确定肺栓塞病例中是否存在粘液栓和血块的定位:结果:粘液栓患者的慢性阻塞性肺病病程明显更长(P = .021),平均肺动脉闭塞指数更高(23 对 12,P = .001)。此外,与无粘液栓组相比,粘液栓组主要肺动脉中血块的发生率明显升高(P < .05)。相反,无粘液栓患者的节段动脉和亚节段动脉血栓发生率更高(P < .001)。节段性分支中的粘液栓与主要肺动脉中的血块之间存在很强的正相关性,相关系数为中度到高度(0.51 到 0.62,P < .05)。此外,节段分支中的粘液栓与节段动脉和亚节段动脉中的血块之间呈强负相关,相关系数(CC)为-0.74 至 -0.76(P < .05)。同样,节段下分支中的粘液栓与节段下动脉中的血块之间存在明显的负相关(CC:-0.68 和 -0.71,P < .05):结果表明,粘液栓可能与慢性阻塞性肺病严重程度增加、肺动脉闭塞指数升高以及肺动脉树内血块分布改变有关。这些研究结果强调了将粘液栓作为慢性阻塞性肺病评估和管理的一个重要考虑因素的重要性,它可能会影响疾病的严重程度、血管重塑和血栓风险管理。
本文章由计算机程序翻译,如有差异,请以英文原文为准。

Is There a Correlation Between the Location of the Clot in the Pulmonary Arterial Tree with the Location of the Mucus Plug in the Pulmonary Bronchial Tree in Patients with chronic obstructive pulmonary disease Experiencing Pulmonary Embolism? Novel Findings.

Is There a Correlation Between the Location of the Clot in the Pulmonary Arterial Tree with the Location of the Mucus Plug in the Pulmonary Bronchial Tree in Patients with chronic obstructive pulmonary disease Experiencing Pulmonary Embolism? Novel Findings.

Is There a Correlation Between the Location of the Clot in the Pulmonary Arterial Tree with the Location of the Mucus Plug in the Pulmonary Bronchial Tree in Patients with chronic obstructive pulmonary disease Experiencing Pulmonary Embolism? Novel Findings.

Is There a Correlation Between the Location of the Clot in the Pulmonary Arterial Tree with the Location of the Mucus Plug in the Pulmonary Bronchial Tree in Patients with chronic obstructive pulmonary disease Experiencing Pulmonary Embolism? Novel Findings.

Objective: The study aimed to investigate the impact of mucus plugs on the localization of clots in pulmonary embolisms among chronic obstructive pulmonary disease (COPD) patients.

Material and methods: The retrospective study examined 200 participants diagnosed with both COPD and pulmonary embolism. Of these, 100 patients exhibited mucus plugs in the segmental and subsegmental branches of the pulmonary bronchial tree, while the remaining 100 did not, using computed tomography images for diagnosis. Data collection encompassed a comprehensive review of patient records, including medical history and imaging reports, to determine the presence of mucus plugs and the localization of clots in pulmonary embolism cases.

Results: Patients with mucus plugs exhibited a notably longer duration of COPD (P = .021) and a higher mean pulmonary arterial occlusion index (23 vs. 12, P = .001). Moreover, the prevalence of clots in major pulmonary arteries was significantly elevated in the mucus plug group compared to the non-mucus plug group (P < .05). Conversely, patients without mucus plugs displayed a higher incidence of clots in segmental and subsegmental arteries (P < .001). Strong positive correlations existed between mucus plugs in segmental branches and clots in major pulmonary arteries, with moderate to strong correlation coefficients (0.51 to 0.62, P < .05). Additionally, strong negative correlations were observed between mucus plugs in segmental branches and clots in segmental and subsegmental arteries, with correlation coefficients (CC) ranging from -0.74 to -0.76 (P < .05). Similarly, a significant negative correlation was noted between mucus plugs in subsegmental branches and clots in subsegmental arteries (CC: -0.68 and -0.71, P < .05).

Conclusion: The results suggest that mucus plugs may be associated with increased severity of COPD, higher pulmonary arterial occlusion index, and altered clot distribution within the pulmonary artery tree. These findings emphasize the importance of recognizing mucus plugs as a key consideration in COPD assessment and management, potentially influencing disease severity, vascular remodeling, and thrombotic risk management.

求助全文
通过发布文献求助,成功后即可免费获取论文全文。 去求助
来源期刊
CiteScore
1.50
自引率
0.00%
发文量
0
×
引用
GB/T 7714-2015
复制
MLA
复制
APA
复制
导出至
BibTeX EndNote RefMan NoteFirst NoteExpress
×
提示
您的信息不完整,为了账户安全,请先补充。
现在去补充
×
提示
您因"违规操作"
具体请查看互助需知
我知道了
×
提示
确定
请完成安全验证×
copy
已复制链接
快去分享给好友吧!
我知道了
右上角分享
点击右上角分享
0
联系我们:info@booksci.cn Book学术提供免费学术资源搜索服务,方便国内外学者检索中英文文献。致力于提供最便捷和优质的服务体验。 Copyright © 2023 布克学术 All rights reserved.
京ICP备2023020795号-1
ghs 京公网安备 11010802042870号
Book学术文献互助
Book学术文献互助群
群 号:604180095
Book学术官方微信