超声引导下结节内淋巴管造影在诊断和治疗腹部手术后乳糜腹水中的应用。

Polish journal of radiology Pub Date : 2024-10-18 eCollection Date: 2024-01-01 DOI:10.5114/pjr/193577
Juncheng Wan, Wen Zhang, Caihong Yu, Changyu Li, Yongjie Zhou, Wei Zhang, Zhuoyang Fan, Chaoqiao Jin, Xudong Qu
{"title":"超声引导下结节内淋巴管造影在诊断和治疗腹部手术后乳糜腹水中的应用。","authors":"Juncheng Wan, Wen Zhang, Caihong Yu, Changyu Li, Yongjie Zhou, Wei Zhang, Zhuoyang Fan, Chaoqiao Jin, Xudong Qu","doi":"10.5114/pjr/193577","DOIUrl":null,"url":null,"abstract":"<p><strong>Purpose: </strong>Chylous leakage is a serious and challenging postoperative complication. The purpose of this study was to explore the application of ultrasound-guided intranodal lymphangiography in the diagnosis and treatment of chylous ascites following abdominal surgery.</p><p><strong>Material and methods: </strong>Ten patients with chylous ascites after abdominal surgery after ineffective conservative treatment such as low-fat diet, parenteral nutrition, and negative pressure drainage were included in this single-center retrospective study. Of these 10 patients, 9 developed chylous ascites after liver surgery, and 1 after a radical gastrectomy.</p><p><strong>Results: </strong>Lymphangiography was successfully performed in all 10 patients. The average dosage of lipiodol used was 4.5 ml (range 3.5-7.0 ml). No procedure-related complications were observed after excluding unrelated factors. During lymphangiography, lipiodol leakage was directly observed in 3 cases, and in the other 5 cases, it was detected through abdominal computed tomography post-lymphangiography. Chylous ascites resolved solely through lymphangiography in 6 patients without requiring additional surgical intervention.</p><p><strong>Conclusions: </strong>Lymphangiography may help identify leakage sites in patients with chylous ascites unresponsive to conservative treatment and could potentially be effective in treating chylous ascites following abdominal surgery.</p>","PeriodicalId":94174,"journal":{"name":"Polish journal of radiology","volume":"89 ","pages":"e502-e507"},"PeriodicalIF":0.0000,"publicationDate":"2024-10-18","publicationTypes":"Journal Article","fieldsOfStudy":null,"isOpenAccess":false,"openAccessPdf":"https://www.ncbi.nlm.nih.gov/pmc/articles/PMC11538909/pdf/","citationCount":"0","resultStr":"{\"title\":\"Application of ultrasound-guided intranodal lymphangiography in the diagnosis and treatment of chylous ascites after abdominal surgery.\",\"authors\":\"Juncheng Wan, Wen Zhang, Caihong Yu, Changyu Li, Yongjie Zhou, Wei Zhang, Zhuoyang Fan, Chaoqiao Jin, Xudong Qu\",\"doi\":\"10.5114/pjr/193577\",\"DOIUrl\":null,\"url\":null,\"abstract\":\"<p><strong>Purpose: </strong>Chylous leakage is a serious and challenging postoperative complication. The purpose of this study was to explore the application of ultrasound-guided intranodal lymphangiography in the diagnosis and treatment of chylous ascites following abdominal surgery.</p><p><strong>Material and methods: </strong>Ten patients with chylous ascites after abdominal surgery after ineffective conservative treatment such as low-fat diet, parenteral nutrition, and negative pressure drainage were included in this single-center retrospective study. Of these 10 patients, 9 developed chylous ascites after liver surgery, and 1 after a radical gastrectomy.</p><p><strong>Results: </strong>Lymphangiography was successfully performed in all 10 patients. The average dosage of lipiodol used was 4.5 ml (range 3.5-7.0 ml). No procedure-related complications were observed after excluding unrelated factors. During lymphangiography, lipiodol leakage was directly observed in 3 cases, and in the other 5 cases, it was detected through abdominal computed tomography post-lymphangiography. Chylous ascites resolved solely through lymphangiography in 6 patients without requiring additional surgical intervention.</p><p><strong>Conclusions: </strong>Lymphangiography may help identify leakage sites in patients with chylous ascites unresponsive to conservative treatment and could potentially be effective in treating chylous ascites following abdominal surgery.</p>\",\"PeriodicalId\":94174,\"journal\":{\"name\":\"Polish journal of radiology\",\"volume\":\"89 \",\"pages\":\"e502-e507\"},\"PeriodicalIF\":0.0000,\"publicationDate\":\"2024-10-18\",\"publicationTypes\":\"Journal Article\",\"fieldsOfStudy\":null,\"isOpenAccess\":false,\"openAccessPdf\":\"https://www.ncbi.nlm.nih.gov/pmc/articles/PMC11538909/pdf/\",\"citationCount\":\"0\",\"resultStr\":null,\"platform\":\"Semanticscholar\",\"paperid\":null,\"PeriodicalName\":\"Polish journal of radiology\",\"FirstCategoryId\":\"1085\",\"ListUrlMain\":\"https://doi.org/10.5114/pjr/193577\",\"RegionNum\":0,\"RegionCategory\":null,\"ArticlePicture\":[],\"TitleCN\":null,\"AbstractTextCN\":null,\"PMCID\":null,\"EPubDate\":\"2024/1/1 0:00:00\",\"PubModel\":\"eCollection\",\"JCR\":\"\",\"JCRName\":\"\",\"Score\":null,\"Total\":0}","platform":"Semanticscholar","paperid":null,"PeriodicalName":"Polish journal of radiology","FirstCategoryId":"1085","ListUrlMain":"https://doi.org/10.5114/pjr/193577","RegionNum":0,"RegionCategory":null,"ArticlePicture":[],"TitleCN":null,"AbstractTextCN":null,"PMCID":null,"EPubDate":"2024/1/1 0:00:00","PubModel":"eCollection","JCR":"","JCRName":"","Score":null,"Total":0}
引用次数: 0

摘要

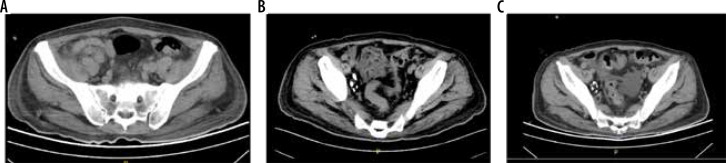
目的:乳糜腹水是一种严重且具有挑战性的术后并发症。本研究旨在探讨超声引导下结节内淋巴管造影在诊断和治疗腹部手术后乳糜腹水中的应用:这项单中心回顾性研究共纳入了 10 名腹部手术后出现乳糜腹水的患者,这些患者在接受低脂饮食、肠外营养和负压引流等保守治疗无效后出现了乳糜腹水。在这 10 名患者中,9 人在肝脏手术后出现了乳糜腹水,1 人在根治性胃切除术后出现了乳糜腹水:结果:10 名患者均成功实施了淋巴管造影术。脂肪碘醇的平均用量为 4.5 毫升(3.5-7.0 毫升不等)。排除无关因素后,未发现与手术相关的并发症。在淋巴管造影过程中,有 3 例患者直接观察到了脂肪碘的渗漏,另外 5 例患者则是在淋巴管造影后通过腹部计算机断层扫描发现的。6例患者的乳糜腹水仅通过淋巴管造影就得到了缓解,无需额外的手术干预:淋巴管造影可帮助确定保守治疗无效的乳糜腹水患者的渗漏部位,并有可能有效治疗腹部手术后的乳糜腹水。
本文章由计算机程序翻译,如有差异,请以英文原文为准。

Application of ultrasound-guided intranodal lymphangiography in the diagnosis and treatment of chylous ascites after abdominal surgery.

Application of ultrasound-guided intranodal lymphangiography in the diagnosis and treatment of chylous ascites after abdominal surgery.

Application of ultrasound-guided intranodal lymphangiography in the diagnosis and treatment of chylous ascites after abdominal surgery.

Application of ultrasound-guided intranodal lymphangiography in the diagnosis and treatment of chylous ascites after abdominal surgery.

Purpose: Chylous leakage is a serious and challenging postoperative complication. The purpose of this study was to explore the application of ultrasound-guided intranodal lymphangiography in the diagnosis and treatment of chylous ascites following abdominal surgery.

Material and methods: Ten patients with chylous ascites after abdominal surgery after ineffective conservative treatment such as low-fat diet, parenteral nutrition, and negative pressure drainage were included in this single-center retrospective study. Of these 10 patients, 9 developed chylous ascites after liver surgery, and 1 after a radical gastrectomy.

Results: Lymphangiography was successfully performed in all 10 patients. The average dosage of lipiodol used was 4.5 ml (range 3.5-7.0 ml). No procedure-related complications were observed after excluding unrelated factors. During lymphangiography, lipiodol leakage was directly observed in 3 cases, and in the other 5 cases, it was detected through abdominal computed tomography post-lymphangiography. Chylous ascites resolved solely through lymphangiography in 6 patients without requiring additional surgical intervention.

Conclusions: Lymphangiography may help identify leakage sites in patients with chylous ascites unresponsive to conservative treatment and could potentially be effective in treating chylous ascites following abdominal surgery.

求助全文
通过发布文献求助,成功后即可免费获取论文全文。 去求助
来源期刊
CiteScore
2.10
自引率
0.00%
发文量
0
×
引用
GB/T 7714-2015
复制
MLA
复制
APA
复制
导出至
BibTeX EndNote RefMan NoteFirst NoteExpress
×
提示
您的信息不完整,为了账户安全,请先补充。
现在去补充
×
提示
您因"违规操作"
具体请查看互助需知
我知道了
×
提示
确定
请完成安全验证×
copy
已复制链接
快去分享给好友吧!
我知道了
右上角分享
点击右上角分享
0
联系我们:info@booksci.cn Book学术提供免费学术资源搜索服务,方便国内外学者检索中英文文献。致力于提供最便捷和优质的服务体验。 Copyright © 2023 布克学术 All rights reserved.
京ICP备2023020795号-1
ghs 京公网安备 11010802042870号
Book学术文献互助
Book学术文献互助群
群 号:604180095
Book学术官方微信